Kieferorthopädie 02.03.2018

Rethink KFO: Neue Herausforderungen erfordern Umdenken



Rethink KFO: Neue Herausforderungen erfordern Umdenken

Foto: Autor

Seit dem Ende der 1980er-Jahre wurden die gesetzlichen Bestimmungen im Bereich der Kieferorthopädie (KIG-System) nicht wesentlich verändert oder angepasst. Veränderungen kommen jedoch aus verschiedenen anderen Richtungen auf uns zu. Veränderungen, die für unsere Praxen zum Teil schon jetzt, spätestens aber in naher Zukunft, weitreichende Konsequenzen haben dürften. Diesen Entwicklungen sollten wir uns zwingend stellen, denn sie zu ignorieren und nicht darauf zu reagieren, halte ich persönlich für sehr riskant. Wenn wir nicht bereit sind, unsere Paradigmen zu überdenken, laufen wir Gefahr, einen erheblichen Teil unserer potenziellen Patienten zu verlieren. Das kann und darf nicht unser Streben sein.

Wenn ich von Veränderungen spreche, meine ich damit vor allem folgende drei Trends:

  • Anders als noch vor etwa 30 Jahren existiert heute bei Patienten und Behandlern gleichermaßen das Bewusstsein, dass ein funktionstüchtiges stomatognathes System mit eigenen und gesunden Zähnen einen zentralen Faktor für eine heute 20 bis 30 Jahre länger dauernde Qualitätslebenszeit bedeutet (u. a. Erhalt der unteren Gesichtshöhe).
  • Die ästhetischen Ansprüche unserer Patienten bzw. der Patienteneltern sind erheblich gestiegen. Schöne und gerade Zähne gelten längst als Statussymbol.
  • Im Vergleich zu früher existieren heute deutlich bessere und hochwertigere technische Möglichkeiten für Zahn- und Kieferkorrekturen (Non-Compliance-Geräte, Alignerbehandlung, Digitalisierung etc.).

Diese Entwicklungen eröffnen nicht nur ganz neue Möglichkeiten, sondern durchaus auch ungeahnte Geschäftsfelder – vor allem im Bereich der Selbstzahlerleistungen. Für unsere Berufsgruppe ergeben sich daraus ganz einfache, aber umso wichtigere Fragen. Wollen wir von diesen neuen Chancen profitieren? Oder lassen wir uns im Gegenteil kampflos Arbeiten, die unsere Kernkompetenz betreffen, aus den Händen nehmen? Schauen wir zu, wie ein großer Teil der Tätigkeiten unseres Fachgebietes unter Umgehung der Kieferorthopäden oder sogar der Zahnärzteschaft insgesamt von ganz neuen Akteuren übernommen wird?

Vorsorge, Therapie und Enhancement

Wenn wir unsere Behandlungsfälle unterteilen, unterscheiden wir in aller Regel zwischen Vorsorge und Therapie. Unter Vorsorge verstehen wir Maßnahmen zur Prävention von Krankheiten bzw. zum Erhalt der Gesundheit. Therapie meint hingegen medizinische Anwendungen und Verfahren, die der Heilung von Krankheiten dienen. Der Begriff Enhancement wird zur Charakterisierung biomedizinischer Interaktionen verwendet, die über die Heilung von Krankheiten und die Erhaltung der Gesundheit hinausgehen. Dr. phil. Christian Lenk spricht hier z. B. von „Maßnahmen zur  Verwirklichung kultureller oder individueller Schönheitsideale“ (Lenk, Christian: Therapie und Enhancement. Ziele und Grenzen der modernen Medizin. Münsteraner Bioethische Schriften Bd. 2; Lit Verlag: Münster 2002). Vor dem Hintergrund dieser Sichtweise lässt sich die Gesamtheit unserer kieferorthopädischen Behandlungsfälle in folgende Gruppen aufteilen:

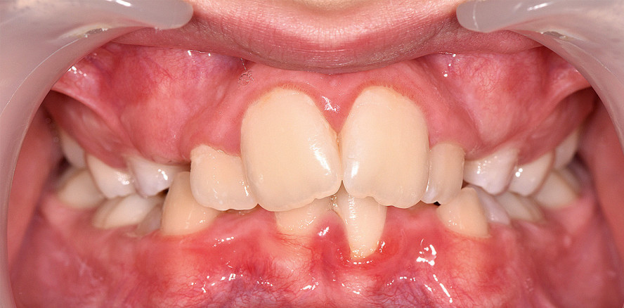
  • 1a: KIG 3/4/5 < 18 Jahre (Abb. 1)
  • 1b: KIG 3/4/5 > 18 Jahre (Abb. 2)
  • 2: Enhancement-Fall (Abb. 3)

Gesetzliche Regelungen existieren ausschließlich für die Fälle 1a. Bei allen anderen, also 1b und 2, muss – unter Berücksichtigung der medizinischen Notwendigkeiten und Gegebenheiten – mit dem Patienten besprochen werden, was ihn konkret stört und was er korrigiert haben möchte. Genau hier aber geraten wir nicht selten in Konflikt mit den Dogmen der Kieferorthopädie (KFO), mit unseren Mindsets.

Dogma 1: bei KIG 1/2 keine KFO erforderlich, wohl aber bei KIG 3/4/5.

Dogma 2: Endpunkt jeder kieferorthopädischen Behandlung ist die „ideale Okklusion“.

Paradigmen neu entwickeln

Ist eine solche Denkweise vor dem Hintergrund der oben dargestellten Entwicklungen noch die richtige? Oder müssen wir nicht vielmehr unsere Paradigmen neu entwickeln und unsere Glaubenssätze neu justieren? Vielleicht ist ja eben auch „nur“ eine Verbesserung der „Social Six“ ohne Korrektur der Klasse II oder Klasse III ein Erfolg, sofern der Patient – vorab über die Vor- und Nachteile informiert – damit zufrieden ist.

Bewusst provokativ vertrete ich persönlich die Auffassung, dass wir uns von alten Mustern lösen müssen. Dass wir unsere Klientel erweitern müssen, wenn es unser Ziel ist, das Wohlergehen unseres Spezialgebietes und damit unserer Praxen zukünftig auch in wirtschaftlicher Hinsicht zu sichern.

Dabei ist aus meiner Sicht der wichtigste Punkt, den „Schalter im Kopf“ umzulegen. Das allein wird jedoch nicht reichen. Wir müssen uns heute verstärkt auch mit weiteren Faktoren beschäftigen, an die wir alle vermutlich vor 20 Jahren noch nicht einmal gedacht haben.

  • Praxismarketing wie moderne, ansprechende Webseite, Bedienung der einschlägigen Social Media-Kanäle wie Facebook, Instagram etc.
  • Praxisausstattung wie Scanner, 3-D-Drucker, zeitgemäße Beratungsstrategien für Patienten etc.
  • Praxiskommunikation mit Online-Terminvergabe, Online-Terminverschiebung, innovativen Kommunikationstools etc.

Zu diesen Themen möchte ich Ihnen u. a. gerne den Blog des Kollegen Dr. Michael Visse ans Herz legen (blog.iie-sytems.de).

All dies im Blick zu haben und auf ein ganz neues Niveau zu heben, ist nicht von heute auf morgen zu realisieren, ist mit Engagement und Einsatz – auch in finanzieller Hinsicht – verbunden. Aber was ist die Alternative? Agieren wir nicht entsprechend, denken wir nicht um, laufen wir Gefahr, einen Großteil unserer potenziellen Patienten an Akteure ohne umfassende fachliche Kompetenz – ich bezeichne sie bewusst provokant als „kieferorthopädische Rosinenpicker“ – zu verlieren. Was uns in diesem Falle bleibt, ist weiterhin die schwierigen KFO-Fälle umfassend bis zur idealen Okklusion zu behandeln. Und das auch nur dann, wenn der Patient diese  Therapie nachvollziehen kann bzw. will und bereit ist, den hiermit verbundenen entsprechenden finanziellen Mehraufwand zu tragen. Die finale Entscheidung, welche Richtung man einschlagen möchte, muss natürlich jede Kollegin und jeder Kollege für sich selbst treffen. Letztendlich ist aber auch eine Neudefinition kieferorthopädischer Paradigmen im Bereich des Berufsverbandes nicht mehr verzichtbar, um uns in Stellung zu bringen für den Kampf um den Patienten – und darum geht es im Grunde. Denn während wir auf zahlreichen Fortbildungen eine weitere neue Non-Compliance-Klasse II-Apparatur und noch ein neues Bogensystem vorgestellt bekommen und uns gegenseitig bekräftigen, wie wissenschaftlich die Kieferorthopädie doch ist, finden die entscheidenden Verteilungskämpfe der KFO in ganz anderen Sphären statt. Das sollten wir – nein, das müssen wir – im Blick haben!

Fit für neue Herausforderungen? Ja, aber …

Können wir unsere Praxen und unseren Berufsstand für die neuen Herausforderungen fit machen? Ich bin überzeugt, dass dies gelingen kann, sofern wir folgende Punkte soweit wie irgend möglich berücksichtigen:

  • Unabhängig von der Pflege und Verbesserung unserer fachlichen Kompetenz , was natürlich selbstverständlich ist, sollten wir es nicht als ehrenrührig empfinden – in geeigneten Fällen bei Selbstzahlern und nach entsprechender Aufklärung –, rein ästhetische Korrekturen der OK- oder UK-Front auch ohne das Anstreben oder Erreichen der idealen Okklusion als erfolgreiche Behandlung zu bewerten.
  • In Verbindung mit einer überarbeiteten Definition unserer Paradigmen sollten wir es schaffen, unsere Mindsets neu zu kalibrieren.

Wenn uns diese mentale Neuausrichtung gelingt und wir die in der Konsequenz notwendigen Maßnahmen auf den Weg bringen, können wir hoffen, in eine Zukunft aufzubrechen, in der wir als „Player“ agieren und wahrgenommen werden und nicht nur als reine Erfüllungsgehilfen für Investoren und Krankenkassen.

Dieser Beitrag ist in den KN Kieferorthopädie Nachrichten 3/18 erschienen.

Mehr Fachartikel aus Kieferorthopädie

ePaper