Kieferorthopädie 14.12.2023

Der frontoffene Biss: Diagnose, Differenzialdiagnose und Prognose



Der frontoffene Biss: Diagnose, Differenzialdiagnose und Prognose

Foto: Prof. em. Dr. Ingrid Rudzki & Dr. Karin Habersack

Der klinische Befund frontoffener Biss in der Kieferorthopädie hat in jedem Lebensalter unterschiedliche diagnostische Konsequenzen und führt somit in Art und Umfang zu einer unterschiedlichen Behandlung. Abhängig vom Häufigkeitsprofil, von Lokalisation und Ausmaß der fehlenden okklusalen Kontakte bis hin zur Ursache, erworben und/oder ererbt, lassen sich funktionelle, morphologische und psychische Charakteristika differenzieren. Sie führen zu einer personalisierten Diagnose mit Prognose, die den individuell langfristig erfolgreichen Therapieweg weist.

Diagnostik und Therapie

Fehlende okklusale Zahnkontakte in der vertikalen Dimension kennzeichnen einen offenen Biss, der im Front- und/oder Seitenzahnbereich auffallen kann, ebenso wie auch zirkulär, mit Abstützung nur auf den letzten Zähnen der Zahnreihen. Dieser Kontaktmangel im Gebiss ist in unserer Ethnie mit ca. 15 Prozent in der ersten Dentition, mit ca. 2 Prozent in der zweiten Dentition zu finden. Die damit verbundenen Störungen für eine regelrechte Funktion des Kauorgans wie Abbeißen, Kauen, Schlucken, Sprechen bis hin zum inkompetenten Lippenschluss belasten die Betroffenen sehr unterschiedlich.

Die Spannbreite reicht von Akzeptanz ohne Einschränkungen der Gesundheit bis zu hochgradigen physischen und psychischen Belastungen. Akzeptanz erhalten vor allem die physiologisch entstehenden zeitbegrenzten frontoffenen Bisse, teilweise auch unbehandelte geringfügig offene Bisse, obwohl hier ein Lispeln nicht zu überhören ist. Nicht akzeptiert werden ausgeprägte frontoffene Bisse, vor allem, wenn gravierende funktionelle und ästhetische Probleme im Alter hinzukommen, und nahezu immer dann, wenn sie im Zusammenhang mit kieferorthopädischen Rezidiven nach einer Fehlbehandlung auftreten.

Zahlreiche optimal wirkende noninvasive oder invasive Therapieoptionen, dental oder skelettal verankert, stehen aktuell in der Kieferorthopädie zur Verfügung. Bei jeder therapeutischen Einflussnahme ist jedoch die entscheidende Frage, bei welchem Patienten zu welcher Zeit welche Therapie indiziert ist. Eine zufriedenstellende Antwort gibt nur eine personalisierte Diagnostik mit Prognose. Unabdingbar ist eine differenzialdiagnostische Abklärung, abgeleitet vom individuellen Typ und Charakter der vorliegenden Malokklusion. Das individuell ererbte mandibuläre Wachstumspotenzial und seine Richtung ist für Art und Ausmaß des pubertären Wachstums und Restwachstums sowie für den morphologischen Wandel während der Gebissalterung verantwortlich.

In der ersten Lebensdekade dominieren frontoffene Bisse bedingt durch Störungen im inneren und äußeren Funktionskreis, wie Adenoide, Dysfunktion von Lippe und Zunge sowie Habits, die mit dem beliebten Schnuller und Fingerlutschen zusammenhängen. Hier steht die Kieferorthopädie mit Prävention und Prophylaxe in der Verantwortung. Durch eine regelmäßige Überwachung des Zahnwechsels können abweichende Entwicklungen rechtzeitig erkannt und mit interzeptiven apparativen Maßnahmen in geregelte Bahnen zurückgeführt werden. Dies ist mit Abgewöhnungshilfen, z. B. einer elastischen Mundvorhofplatte, möglich. Sie eignet sich für Plopp-Übungen zur Stärkung der Lippenmuskulatur und führt direkt zu dem so wichtigen kompetenten Lippenschluss. Geschlossene Bionatoren sind ebenfalls zielführend und verhindern eine Entwicklungshemmung für den alveolären Bereich.

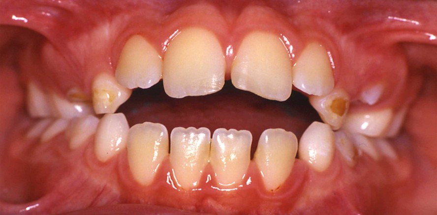
Die Abbildung 1 zeigt eine interzeptive Behandlung, beginnend im Milchgebiss. Gemäß der Anamnese führte ein langjährig benutzter Schnuller zum erworbenen fehlenden Frontzahnkontakt. Eine günstige Prognose zum anterioren Bissschluss wird nach Abgewöhnen des Habits angenommen. Ein zierliches Bionator-Abschirmgerät als apparative Hilfe lenkt die Zunge in ihre physiologische Position am Gaumen, der anteriore Verbindungsbügel reizt die Lippen zum weiteren Lippenschluss. Da sich die Therapie bis zum vollständigen Durchbruch 12,22 erstreckte, war eine Schraube im Gerät nötig, um die Transversalentwicklung nicht zu behindern. Die bekannten Moorrees-Kurven verdeutlichen das „spacing and crowding“ im entsprechenden Alter.

Spätestens kurz vor Beginn der ersten Bisshebung, die mit dem Durchbruch der zweiten Milchmolaren erfolgt, ist auch das Abstellen von Lutschgewohnheiten dringend nötig, um noch einen spontanen frontalen Bissschluss zu ermöglichen.

Bei zu frühem traumatischen oder kariesbedingten Milchfrontzahnverlust mit der Folge eines möglichen temporär auftretenden frontoffenen Bisses, bringen zwar abnehmbare OK-Platten einen künstlichen Bissschluss, aber sekundär auch Probleme für den betroffenen Zahnbogen. Ohne Schraube im prothetischen Behelf entsteht eine transversale Entwicklungshemmung.

Im frühen Wechselgebiss wird beim Übergang von der ersten zur zweiten Dentition im gesamten Zahnbogen ein offener Biss etappenweise ersichtlich, bedingt auch durch die zweite Bisshebung mit Durchbruch der ersten Molaren. Im Frontzahnbereich schließt er sich rasch mit der Eruption der permanenten Inzisiven, die mit einer leichten Kronenneigung nach ventral einhergeht. Dies führt neben der physiologischen anterioren Zahnbogenvergrößerung zwar zu einem weiteren Platzgewinn, aber auch zur Bissöffnung, die beim „Tiefbiss“, nicht aber beim „offenen Biss“ erwünscht ist. Das Hauptproblem betrifft hier die Transversale in der Maxilla, wenn eine zu kleine apikale Basis vorliegt. In diesem frühen Entwicklungs- (dentoalveolär) und Wachstumsstadium (skelettal) kann eine Zungeneinengung, ebenso wie das Habit Daumenlutschen, sogar die Inklination der Maxilla im anterioren Bereich nach kranial aufbiegen, woraus eine erworbene, skelettal bedingte Bissöffnung, resultiert.

Eine Gaumennahterweiterung (GNE) ist ca. ein Jahr vor der Einschulung ideal, um Sprechfehler rechtzeitig zu eliminieren, und um eine freie Nasenatmung mit kompetentem Lippenschluss bei korrekter Zungenlage am Gaumen zu sichern. Die anschließende Stabilisierung von Gaumenhöhe und Breite sowie die Reduzierung des frontoffenen Bisses wird durch logopädische Übungen unterstützt, die direkt nach Abnahme der HyraxApparatur einsetzen.

Wie die Abbildung 2 belegt, kann eine Langzeitstabilität, hier dokumentiert über 20 Jahre, sogar bei ausschließlicher Behandlung mit GNE am Ende des frühen Wechselgebisses erreicht werden. Es kam zum frontalen Bissschluss durch Zungenraumvergrößerung und zu freier Nasenatmung mit Rückbildung von Adenoiden, gefolgt vom Mundschluss. Ein ererbtes günstiges mandibuläres Wachstum führte zu weiterer Profilbegradigung pubertär und im Restwachstum; wobei sich aus der vorpubertären Angle Klasse II ½ PB eine Angle Klasse I einstellen konnte.

In der zweiten Lebensdekade wird die mit dem Frontzahndurchbruch gekoppelte, physiologisch ablaufende dentoalveoläre Entwicklung nach einer primären Vergrößerung wieder rückläufig, das skelettale Wachstum hingegen wird intensiver, vor allem vertikal im mandibulären Bereich.

Bereits ca. im zehnten Lebensjahr endet die untere transversale Zahnbogenvergrößerung im Intereckzahnbereich und beginnt sich zu verkleinern. Im oberen Zahnbogen vergrößert sich der Intereckzahnabstand bis zum ca. 15. Lebensjahr, dann erst beginnt auch hier die Verkleinerung.

Beide Entwicklungen gelten als logische Vorbereitung für die in der Pubertät anstehenden vertikalen und sagittalen Veränderungen im mandibulären Bereich.

Die ererbten Anlagen zum frontoffenen Biss, bekannt durch Familienanamnesen, werden mit beginnender Pubertät zunehmend deutlicher erkennbar, wobei der skelettale Hintergrund, vor allem mit divergierenden Kieferbasen, sich jetzt zunehmend verstärkt, anstatt sich abzuschwächen. Der Zusammenhang zwischen dentoalveolärer und skelettaler Beteiligung für einen frontoffenen Biss wird immer offensichtlicher und kommt erst nach Abschluss des Restwachstums für eine kleine Weile scheinbar zur Ruhe.

In der Reihenfolge, transversal, vertikal, sagittal, sind alle diagnostischen und therapeutischen Entscheidungen zu treffen. Unterstützung bringen hierbei kephalometrische Langzeitstudien an unbehandelten Probanden in Gegenüberstellung mit behandelten Patienten, wobei beide Gruppen morphologisch in jedem Detail homogen sein müssen. Physiologische skelettale Veränderungen, sowohl im vorpubertären als auch im pubertären Wachstumszeitraum, werden deutlich. Hier wird ein Wunschdenken, skelettale Veränderungen im Sinne einer Wachstumsstimulation mit kieferorthopädischen Maßnahmen bewirken zu können, widerlegt.

Wichtig für die vertikale dentoalveoläre Entwicklung ist die Eruption des zweiten Molaren im Bereich der Zuwachszahnung. Mit ihm kommt es zur dritten Bisshebung, womit das reale vertikale Ausmaß der Höhe eines offenen Bisses individuell deutlich wird. Jede skelettal noninvasive Harmonisierung hilft der Zunge, sich korrekt im Mundraum einzulagern. Die Chance, auf diesem Weg ein somatisches Schluckmuster mit Beseitigung von Sprachstörungen sowie eine freie Nasenatmung langfristig zu etablieren, ist groß. Der so erreichte anteriore Bissschluss wird muskulär optimal retiniert und weiter gesichert durch einen kompetenten Lippenschluss.

Die zur Behandlungsplanung mit Prognose erstellte dreidimensionale Summationsdiagnose basiert wesentlich auf der zweidimensionalen individualisierten kephalometrischen Analyse nach Hasund. Sie ermöglicht mithilfe von fließenden Normen und leitenden Variablen eine personalisierte Diagnostik, ohne Bezug auf ebenso irreführende wie unbrauchbare Mittelwertvorgaben, die von Andresen 1931 bereits als „verwerflich“ charakterisiert wurden.

Dank der individualisierten Kephalometrie lassen sich klinisch nahezu identisch anmutende dentoalveoläre Befunde nach ihrem skelettalen Typ und Charakter differenzieren, um den frontoffenen Biss richtig einordnen und behandeln zu können. Primär erfolgt eine Zuordnung nach dem Gesichtstyp (retrognath, orthognath, prognath), weiter nach der Inklinationsart von Maxilla und Mandibula (divergent, harmonisch, konvergent). Der hiervon abgeleitete Interbasiswinkel ML-NL (Gesichtstiefe) dient in Kombination mit dem skelettalen anterioren Gesichtsindex, der die untere anteriore Gesichtshöhe beschreibt, zu einer noch präziseren Definition des vertikalen Charakters. Darüber hinaus sind Kenntnisse erforderlich, welche mandibulären Veränderungen pubertär ablaufen werden. Dies ermöglicht es, Umfang und Art von Restwachstum und Gebissalterung abzuschätzen, was auch die Einschätzung der Prognose begünstigt.

In der Abbildung 3 werden zwei erwachsene Patienten mit klinisch unterschiedlicher vertikaler Ausprägung des frontoffenen Bisses, jedoch mit nahezu gleichen Messwerten des ML-NL-Winkels betrachtet, wobei für Prognose mit Therapie entscheidend ist, wo jeweils die Ursache der basal offenen Konfiguration liegt. Die Transversale ist bei beiden vergleichbar infolge eines maxillären Schmalkiefers und einer scheinbar für beide distalen Relation der Kieferbasen.

Patient 1: Klinisch ausgeprägt frontoffener Biss, der bis in den Prämolarenbereich hineinreicht. Die skelettale Ursache ist als erworben einzustufen und liegt im maxillären Bereich mit einer „Aufbiegung“ der anterioren Maxilla nach kranial zu einer stärkeren anterioren Inklination, infolge des noch immer bestehenden Luschhabits. Der mandibuläre Bereich erweist sich als nur geringfügig disharmonisch für ein orthognathes Gesicht. Die Prognose für eine SARME ist günstig bei Abgewöhnen aller Habits.

Patient 2: Klinisch nur gering ausgeprägt frontoffener Biss, jedoch kein Kontakt möglich. Die skelettale Morphologie ist ererbt und liegt im mandibulären Bereich, verbunden mit einer ausgeprägten posterioren Inklination. Der maxilläre Bereich erweist sich als nur geringfügig disharmonisch mit Tendenz zum retrognathen Gesicht. Die Prognose ist hier, allein mit SARME, als extrem ungünstig einzustufen, der Bedarf einer zusätzlichen bignath ausgerichteten OP, mit posteriorer Impaktation der Maxilla sowie mit Vorverlagerung der Mandibula, ist offensichtlich.

Im jungen bleibenden Gebiss dienen Kontrollröntgenbilder dazu, bereits früher erstellte Prognosen mittels der Individualisierten Kephalometrie zu überprüfen und ggf. differenzialdiagnostisch anzupassen.

Falls die fortlaufende Diagnostik nachweist, dass postpubertär das Hauptproblem des dental und skelettal offenen Bisses die Folge einer anterioren Inklination der Maxilla ist, und die Mandibula sich in einem akzeptablen diagnostischen Feld befindet, kann der weitere therapeutische Ansatz im posterioren Bereich des oberen Zahnbogens zum endgültigen Erfolg mit Bissschluss führen. Bei prognathen und orthognathen Gesichtstypen mit basal tiefen und/oder harmonischen interbasalen Relationen von Maxilla zur Mandibula führen ohnehin nahezu alle Therapieempfehlungen zum erfolgreichen Schluss eines frontoffenen Bisses mit realistischer Stabilität, immer vorausgesetzt, dass keine muskuläre Irritation der Zunge den Biss wieder öffnet. Auch bei schwach retrognathen Gesichtstypen mit harmonischer mandibulärer Morphologie kann eine gezielte vertikale Einflussnahme im dentoalveolären oberen Molarenbereich zur Änderung der maxillären Neigung erfolgreich sein.

In der Abbildung 4 wird am Beispiel von zwei nahezu vergleichbaren klinischen Befunden bezüglich des frontoffenen Bisses mit oberem Schmalkiefer und distaler Relation der Kieferbasen verdeutlicht, wie eine differenzialdiagnostische Abklärung zur individuell richtigen Therapie führt.

Patientenbeispiel 1: Zu Beginn des frühen Wechselgebisses konnte die Mundatmung infolge behinderter Nasenatmung durch eine GNE beseitigt werden, der Mundschluss erfolgte spontan, der ererbte günstige vertikale mandibuläre Wachstumscharakter nach anterior und sagittal sorgte für eine weitere physiologische Entwicklung.

Patientenbeispiel 2: Zu Beginn der Adoleszenz konnte das transversale Defizit maxillär miteiner knochengetragenen GNE noch konservativ korrigiert werden und führte zur geringfügigen Reduzierung des skelettal und dental offenen Bisses. Der ererbte ungünstige vertikale mandibuläre Wachstumscharakter nach posterior und vertikal forderte nach definitivem Wachstumsabschluss eine bignathe chirurgische Skelettharmonisierung ein.

Ab der dritten Lebensdekade gilt es, frontoffene Bisse mit basal offener Konfiguration interdisziplinär zu versorgen. Solche OP-Indikationen sind zumeist im retrognathen Gesichtstyp mit divergierenden Kieferbasen, großem Kieferwinkel und einer extrem posterioren Inklination der mandibulären Neigung anzutreffen; ein Befund, der als O1 mand/max strukt. bezeichnet wird.

Eine unignathe operative Skelettverlagerung kann nach einer maxillären posterioren Impaktation, sofern sie eine mandibuläre Autorotation nach anterior bewirkt, bereits zur sagittalen Harmonie von Maxilla und Mandibula führen. Indiziert ist ein bignathes operatives Vorgehen mit sagittaler mandibulärer Vorverlagerung bei skelettaler Klasse II-Ausgangslage, bzw. mit mandibulärer Dorsalverlagerung bei skelettaler Klasse III-Ausgangslage.

Die Abbildung 5 beleuchtet dieses interdisziplinäre Vorgehen an einem Patientenbeispiel mit dental offenem Biss im Klasse III-Formenkreis bei gleichzeitig skelettal offener Konfiguration mit Ursache im Unterkiefer. Diese Apertognathie vom O1 mand/max-Typ zeigt ein nachhaltig zufriedenstellendes Ergebnis nach interdisziplinären Interventionen. Basierend auf einer personalisierten Diagnostik erfolgte zuerst die operative Korrektur des transversalen Defizits maxillär, und dann, zweizeitig, die vertikale und sagittale Skelettverlagerung mit kieferorthopädischer Feineinstellung der Okklusion. Einer ausreichenden posterioren Impaktation maxillär kommt dabei für eine langfristig sichere Verschlüsselung der Inzisiven, vertikal und sagittal, an ihrer individualisiert ermittelten Position, der höchste Stellenwert zu.

Schlussbetrachtung

Sofern alle Behandlungsaufgaben beim frontoffenen Biss von einer personalisierten Diagnose mit Differenzialdiagnose, basierend auf der individualisierten Kephalometrie, abgeleitet werden, ist eine realistische Prognose langfristig möglich. Ein dental offener Biss kann frühzeitig kausal erfolgreich behandelt werden. Der skelettal offene Biss stellt hohe differenzialdiagnostische Anforderungen, wobei die korrekte Interpretation der morphologischen Ausprägung zur konservativen oder mit gnathischer Chirurgie kombinierten Therapie führt. Eine Schlüsselrolle spielt die individuelle Funktion, die alle Mischformen des offenen Bisses begleitet. Um den Behandlungserfolg langfristig zu bewahren, schließt sich je nach Bedarf eine logopädische, myofunktionelle, physiotherapeutische und/oder osteopathische Nachsorge an. Die Problematik des offenen Bisses erfordert auch eine Langzeitkontrolle des craniomandibulären Systems.

Literatur kann bei Prof. Dr. Rudzki angefordert werden.

Dieser Beitrag ist in der KN Kieferorthopädie Nachrichten 12/2023 erschienen.

Mehr Fachartikel aus Kieferorthopädie

ePaper