Mit Wedgewise™ steht ab sofort eine Behandlungsmethode zur Verfügung, die durch Einsatz geringerer Kräfte und Beseitigung unkontrollierter Kippbewegungen schnellere und gesündere Zahnbewegungen ermöglicht. Das Herzstück der neuen Technik bildet das Triamond™-Wedgewise-Bracket. Dessen zweiwandiger Slot ist mit einer dreieckig gestalteten Slot-Tiefe ausgestattet. Der speziell hierfür entwickelte Vierkantbogen ist um 45° gedreht, sodass er durch den selbstligierenden Clip der Bracketneuheit ohne Spiel vollständig im Slot sitzt. Lediglich zwei Bogensets (runder Arbeitsbogen und Vierkant-Finishing-Bogen) kommen während einer Behandlung zur Anwendung. Part 1 dieses zweiteiligen Artikels stellt die Wedgewise™-Technik vor und zeigt erste klinische Fallbeispiele. Part 2 wird sich dann detailliert dem empfohlenen Behandlungsprotokoll widmen.
100 Jahre Edgewise – und nun?
Unlängst nach ihrer Einführung durch Edward H. Angle im Jahre 1925 entwickelte sich die Edgewise-Apparatur zu dem Behandlungsmittel der Wahl.1–6 Noch heute basieren die Bracketsysteme und Variationen auf dieser Technik und sind weiterhin fester Bestandteil des Lehrplans jeder kieferorthopädischen Ausbildung. Daher ist es auch nicht verwunderlich, dass der klinische Schwerpunkt auf der intensiven Auseinandersetzung der Antizipation und Kompensation der Mängel dieser genialen Apparatur liegt. Die aktuelle Verwendung als vorprogrammierte, oder indirekte geklebte und mit Bögen verschiedenster Legierungen kombinierte Apparatur hat deren Chairside-Handhabung vereinfacht – und dennoch ist die Effizienz und somit die Gesamtbehandlungsdauer seit nahezu fast einem Jahrhundert unverändert geblieben.7
Fall 1 (Abb. 1–8) Abb. 1a und b: Profilansicht des Triamond®-Brackets mit einligiertem Wedgewise-Bogen (a) im Vergleich zum Edgewise-Bracket (b). Man beachte die Slot-Bogen-Passung. © Dr. Moshe Davidovitch
Fall 1 (Abb. 1–8) Abb. 1a und b: Profilansicht des Triamond®-Brackets mit einligiertem Wedgewise-Bogen (a) im Vergleich zum Edgewise-Bracket (b). Man beachte die Slot-Bogen-Passung. © Dr. Moshe Davidovitch
Fall 1 (Abb. 1–8) Abb. 2a und b: Abwechselnde Kronen- und Wurzelbewegung, wie sie beim Edgewise-„Jiggling“ (A+B=C) auftritt (a). Gradienten der Kompressionsumkehrbereiche (in rot) im PDL, wenn sich der Zahn mithilfe der Edgewise-Technik bewegt (b). © Dr. Moshe Davidovitch
Fall 1 (Abb. 1–8) Abb. 2a und b: Abwechselnde Kronen- und Wurzelbewegung, wie sie beim Edgewise-„Jiggling“ (A+B=C) auftritt (a). Gradienten der Kompressionsumkehrbereiche (in rot) im PDL, wenn sich der Zahn mithilfe der Edgewise-Technik bewegt (b). © Dr. Moshe Davidovitch
Fall 1 (Abb. 1–8) Abb. 3a–h: Intraorale Aufnahmen sowie Röntgenbilder vor Therapiebeginn. © Dr. Moshe Davidovitch
Fall 1 (Abb. 1–8) Abb. 3a–h: Intraorale Aufnahmen sowie Röntgenbilder vor Therapiebeginn. © Dr. Moshe Davidovitch
Fall 1 (Abb. 1–8) Abb. 3a–h: Intraorale Aufnahmen sowie Röntgenbilder vor Therapiebeginn. © Dr. Moshe Davidovitch
Fall 1 (Abb. 1–8) Abb. 3a–h: Intraorale Aufnahmen sowie Röntgenbilder vor Therapiebeginn. © Dr. Moshe Davidovitch
Fall 1 (Abb. 1–8) Abb. 3a–h: Intraorale Aufnahmen sowie Röntgenbilder vor Therapiebeginn. © Dr. Moshe Davidovitch
Fall 1 (Abb. 1–8) Abb. 3a–h: Intraorale Aufnahmen sowie Röntgenbilder vor Therapiebeginn. © Dr. Moshe Davidovitch
Fall 1 (Abb. 1–8) Abb. 3a–h: Intraorale Aufnahmen sowie Röntgenbilder vor Therapiebeginn. © Dr. Moshe Davidovitch
Fall 1 (Abb. 1–8) Abb. 3a–h: Intraorale Aufnahmen sowie Röntgenbilder vor Therapiebeginn. © Dr. Moshe Davidovitch
Fall 1 (Abb. 1–8) Abb. 4a–e: Bonding der Apparatur im Unterkiefer nach erfolgter Extraktion. Es wurde ein .014''er Wedgewise-NiTi-Rundbogen inseriert. © Dr. Moshe Davidovitch
Fall 1 (Abb. 1–8) Abb. 4a–e: Bonding der Apparatur im Unterkiefer nach erfolgter Extraktion. Es wurde ein .014''er Wedgewise-NiTi-Rundbogen inseriert. © Dr. Moshe Davidovitch
Fall 1 (Abb. 1–8) Abb. 4a–e: Bonding der Apparatur im Unterkiefer nach erfolgter Extraktion. Es wurde ein .014''er Wedgewise-NiTi-Rundbogen inseriert. © Dr. Moshe Davidovitch
Fall 1 (Abb. 1–8) Abb. 4a–e: Bonding der Apparatur im Unterkiefer nach erfolgter Extraktion. Es wurde ein .014''er Wedgewise-NiTi-Rundbogen inseriert. © Dr. Moshe Davidovitch
Fall 1 (Abb. 1–8) Abb. 4a–e: Bonding der Apparatur im Unterkiefer nach erfolgter Extraktion. Es wurde ein .014''er Wedgewise-NiTi-Rundbogen inseriert. © Dr. Moshe Davidovitch
Fall 1 (Abb. 1–8) Abb. 5a–e: Zur
Unterstützung des Lückenschlusses
platzierte Elastikkette zwischen Zahn
31 und 42. © Dr. Moshe Davidovitch
Fall 1 (Abb. 1–8) Abb. 5a–e: Zur
Unterstützung des Lückenschlusses
platzierte Elastikkette zwischen Zahn
31 und 42. © Dr. Moshe Davidovitch
Fall 1 (Abb. 1–8) Abb. 5a–e: Zur
Unterstützung des Lückenschlusses
platzierte Elastikkette zwischen Zahn
31 und 42. © Dr. Moshe Davidovitch
Fall 1 (Abb. 1–8) Abb. 5a–e: Zur
Unterstützung des Lückenschlusses
platzierte Elastikkette zwischen Zahn
31 und 42. © Dr. Moshe Davidovitch
Fall 1 (Abb. 1–8) Abb. 5a–e: Zur
Unterstützung des Lückenschlusses
platzierte Elastikkette zwischen Zahn
31 und 42. © Dr. Moshe Davidovitch
Fall 1 (Abb. 1–8) Abb. 6a–e: Wechsel auf einen .016'' x .016'' Wedgewise-NiTi-Bogen mit zeitgleichem Einsatz einer Elastikkette
zwischen den ersten unteren Molaren. © Dr. Moshe Davidovitch
Fall 1 (Abb. 1–8) Abb. 6a–e: Wechsel auf einen .016'' x .016'' Wedgewise-NiTi-Bogen mit zeitgleichem Einsatz einer Elastikkette
zwischen den ersten unteren Molaren. © Dr. Moshe Davidovitch
Fall 1 (Abb. 1–8) Abb. 6a–e: Wechsel auf einen .016'' x .016'' Wedgewise-NiTi-Bogen mit zeitgleichem Einsatz einer Elastikkette
zwischen den ersten unteren Molaren. © Dr. Moshe Davidovitch
Fall 1 (Abb. 1–8) Abb. 6a–e: Wechsel auf einen .016'' x .016'' Wedgewise-NiTi-Bogen mit zeitgleichem Einsatz einer Elastikkette
zwischen den ersten unteren Molaren. © Dr. Moshe Davidovitch
Fall 1 (Abb. 1–8) Abb. 6a–e: Wechsel auf einen .016'' x .016'' Wedgewise-NiTi-Bogen mit zeitgleichem Einsatz einer Elastikkette
zwischen den ersten unteren Molaren. © Dr. Moshe Davidovitch
Fall 1 (Abb. 1–8) Abb. 7a–e: Behandlungsfortschritt mit Wechsel auf eine Elastikkette mit kurzem Steg. © Dr. Moshe Davidovitch
Fall 1 (Abb. 1–8) Abb. 7a–e: Behandlungsfortschritt mit Wechsel auf eine Elastikkette mit kurzem Steg. © Dr. Moshe Davidovitch
Fall 1 (Abb. 1–8) Abb. 7a–e: Behandlungsfortschritt mit Wechsel auf eine Elastikkette mit kurzem Steg. © Dr. Moshe Davidovitch
Fall 1 (Abb. 1–8) Abb. 7a–e: Behandlungsfortschritt mit Wechsel auf eine Elastikkette mit kurzem Steg. © Dr. Moshe Davidovitch
Fall 1 (Abb. 1–8) Abb. 7a–e: Behandlungsfortschritt mit Wechsel auf eine Elastikkette mit kurzem Steg. © Dr. Moshe Davidovitch
Fall 1 (Abb. 1–8) Abb. 8a–e: Intraorale Aufnahmen nach Behandlungsabschluss. © Dr. Moshe Davidovitch
Fall 1 (Abb. 1–8) Abb. 8a–e: Intraorale Aufnahmen nach Behandlungsabschluss. © Dr. Moshe Davidovitch
Fall 1 (Abb. 1–8) Abb. 8a–e: Intraorale Aufnahmen nach Behandlungsabschluss. © Dr. Moshe Davidovitch
Fall 1 (Abb. 1–8) Abb. 8a–e: Intraorale Aufnahmen nach Behandlungsabschluss. © Dr. Moshe Davidovitch
Fall 1 (Abb. 1–8) Abb. 8a–e: Intraorale Aufnahmen nach Behandlungsabschluss. © Dr. Moshe Davidovitch
Fall 1 (Abb. 1–8) Abb. 9a und b: Die Wurzelintegrität konnte erhalten werden. © Dr. Moshe Davidovitch
Fall 1 (Abb. 1–8) Abb. 9a und b: Die Wurzelintegrität konnte erhalten werden. © Dr. Moshe Davidovitch
Fall 2 (Abb. 10–18) Abb. 10a–h: Intraorale sowie Röntgenaufnahmen der klinischen Ausgangssituation. © Dr. Moshe Davidovitch
Fall 2 (Abb. 10–18) Abb. 10a–h: Intraorale sowie Röntgenaufnahmen der klinischen Ausgangssituation. © Dr. Moshe Davidovitch
Fall 2 (Abb. 10–18) Abb. 10a–h: Intraorale sowie Röntgenaufnahmen der klinischen Ausgangssituation. © Dr. Moshe Davidovitch
Fall 2 (Abb. 10–18) Abb. 10a–h: Intraorale sowie Röntgenaufnahmen der klinischen Ausgangssituation. © Dr. Moshe Davidovitch
Fall 2 (Abb. 10–18) Abb. 10a–h: Intraorale sowie Röntgenaufnahmen der klinischen Ausgangssituation. © Dr. Moshe Davidovitch
Fall 2 (Abb. 10–18) Abb. 10a–h: Intraorale sowie Röntgenaufnahmen der klinischen Ausgangssituation. © Dr. Moshe Davidovitch
Fall 2 (Abb. 10–18) Abb. 10a–h: Intraorale sowie Röntgenaufnahmen der klinischen Ausgangssituation. © Dr. Moshe Davidovitch
Fall 2 (Abb. 10–18) Abb. 10a–h: Intraorale sowie Röntgenaufnahmen der klinischen Ausgangssituation. © Dr. Moshe Davidovitch
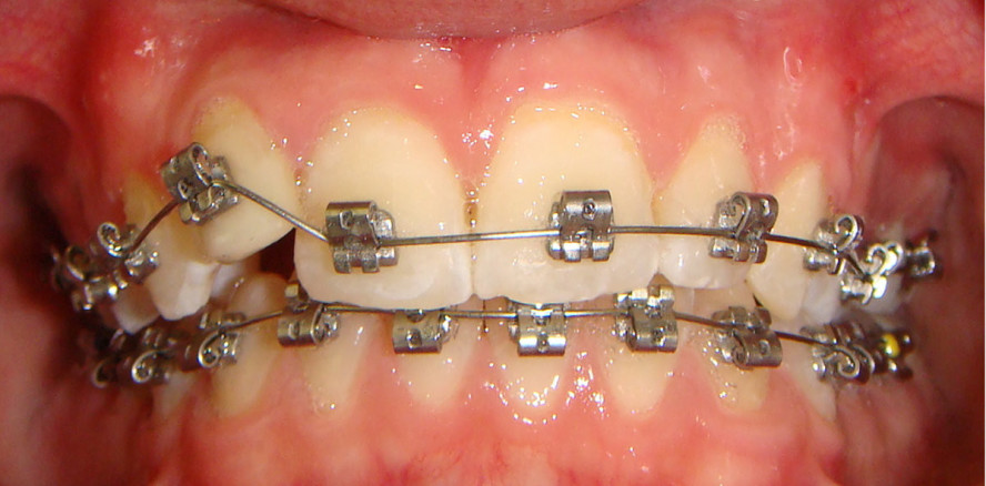
Fall 2 (Abb. 10–18) Abb. 11a–e: Multibracketapparatur im Ober- und Unterkiefer. Es wurden .016''er Wedgewise-NiTi-Rundbögen inseriert. Paralleler Einsatz
von Elastikketten im Unterkiefer, zwischen
den Zähnen 36-34 sowie 47-44. © Dr. Moshe Davidovitch
Fall 2 (Abb. 10–18) Abb. 11a–e: Multibracketapparatur im Ober- und Unterkiefer. Es wurden .016''er Wedgewise-NiTi-Rundbögen inseriert. Paralleler Einsatz
von Elastikketten im Unterkiefer, zwischen
den Zähnen 36-34 sowie 47-44. © Dr. Moshe Davidovitch
Fall 2 (Abb. 10–18) Abb. 11a–e: Multibracketapparatur im Ober- und Unterkiefer. Es wurden .016''er Wedgewise-NiTi-Rundbögen inseriert. Paralleler Einsatz
von Elastikketten im Unterkiefer, zwischen
den Zähnen 36-34 sowie 47-44. © Dr. Moshe Davidovitch
Fall 2 (Abb. 10–18) Abb. 11a–e: Multibracketapparatur im Ober- und Unterkiefer. Es wurden .016''er Wedgewise-NiTi-Rundbögen inseriert. Paralleler Einsatz
von Elastikketten im Unterkiefer, zwischen
den Zähnen 36-34 sowie 47-44. © Dr. Moshe Davidovitch
Fall 2 (Abb. 10–18) Abb. 11a–e: Multibracketapparatur im Ober- und Unterkiefer. Es wurden .016''er Wedgewise-NiTi-Rundbögen inseriert. Paralleler Einsatz
von Elastikketten im Unterkiefer, zwischen
den Zähnen 36-34 sowie 47-44. © Dr. Moshe Davidovitch
Fall 2 (Abb. 10–18) Abb. 12a–e: Inserieren des zweiten Bogen-Sets (.016'' x .016'' Wedgewise-NiTi-Vierkantbogen). Die zeitgleich zur Anwendung kommenden Klasse II-Gummizüge waren rechts 24 Stunden und links nachts zu tragen. © Dr. Moshe Davidovitch
Fall 2 (Abb. 10–18) Abb. 12a–e: Inserieren des zweiten Bogen-Sets (.016'' x .016'' Wedgewise-NiTi-Vierkantbogen). Die zeitgleich zur Anwendung kommenden Klasse II-Gummizüge waren rechts 24 Stunden und links nachts zu tragen. © Dr. Moshe Davidovitch
Fall 2 (Abb. 10–18) Abb. 12a–e: Inserieren des zweiten Bogen-Sets (.016'' x .016'' Wedgewise-NiTi-Vierkantbogen). Die zeitgleich zur Anwendung kommenden Klasse II-Gummizüge waren rechts 24 Stunden und links nachts zu tragen. © Dr. Moshe Davidovitch
Fall 2 (Abb. 10–18) Abb. 12a–e: Inserieren des zweiten Bogen-Sets (.016'' x .016'' Wedgewise-NiTi-Vierkantbogen). Die zeitgleich zur Anwendung kommenden Klasse II-Gummizüge waren rechts 24 Stunden und links nachts zu tragen. © Dr. Moshe Davidovitch
Fall 2 (Abb. 10–18) Abb. 12a–e: Inserieren des zweiten Bogen-Sets (.016'' x .016'' Wedgewise-NiTi-Vierkantbogen). Die zeitgleich zur Anwendung kommenden Klasse II-Gummizüge waren rechts 24 Stunden und links nachts zu tragen. © Dr. Moshe Davidovitch
Fall 2 (Abb. 10–18) Abb. 13a–e bis 16a–e: Behandlungsfortschritt. Es wurden Elastikketten und asymmetrische
intermaxilläre Gummizüge eingesetzt, was über die nächsten Kontrolltermine so beibehalten wurde. © Dr. Moshe Davidovitch
Fall 2 (Abb. 10–18) Abb. 13a–e bis 16a–e: Behandlungsfortschritt. Es wurden Elastikketten und asymmetrische
intermaxilläre Gummizüge eingesetzt, was über die nächsten Kontrolltermine so beibehalten wurde. © Dr. Moshe Davidovitch
Fall 2 (Abb. 10–18) Abb. 13a–e bis 16a–e: Behandlungsfortschritt. Es wurden Elastikketten und asymmetrische
intermaxilläre Gummizüge eingesetzt, was über die nächsten Kontrolltermine so beibehalten wurde. © Dr. Moshe Davidovitch
Fall 2 (Abb. 10–18) Abb. 13a–e bis 16a–e: Behandlungsfortschritt. Es wurden Elastikketten und asymmetrische
intermaxilläre Gummizüge eingesetzt, was über die nächsten Kontrolltermine so beibehalten wurde. © Dr. Moshe Davidovitch
Fall 2 (Abb. 10–18) Abb. 13a–e bis 16a–e: Behandlungsfortschritt. Es wurden Elastikketten und asymmetrische
intermaxilläre Gummizüge eingesetzt, was über die nächsten Kontrolltermine so beibehalten wurde. © Dr. Moshe Davidovitch
Fall 2 (Abb. 10–18) Abb. 13a–e bis 16a–e: Behandlungsfortschritt. Es wurden Elastikketten und asymmetrische
intermaxilläre Gummizüge eingesetzt, was über die nächsten Kontrolltermine so beibehalten wurde. © Dr. Moshe Davidovitch
Fall 2 (Abb. 10–18) Abb. 13a–e bis 16a–e: Behandlungsfortschritt. Es wurden Elastikketten und asymmetrische
intermaxilläre Gummizüge eingesetzt, was über die nächsten Kontrolltermine so beibehalten wurde. © Dr. Moshe Davidovitch
Fall 2 (Abb. 10–18) Abb. 13a–e bis 16a–e: Behandlungsfortschritt. Es wurden Elastikketten und asymmetrische
intermaxilläre Gummizüge eingesetzt, was über die nächsten Kontrolltermine so beibehalten wurde. © Dr. Moshe Davidovitch
Fall 2 (Abb. 10–18) Abb. 13a–e bis 16a–e: Behandlungsfortschritt. Es wurden Elastikketten und asymmetrische
intermaxilläre Gummizüge eingesetzt, was über die nächsten Kontrolltermine so beibehalten wurde. © Dr. Moshe Davidovitch
Fall 2 (Abb. 10–18) Abb. 13a–e bis 16a–e: Behandlungsfortschritt. Es wurden Elastikketten und asymmetrische
intermaxilläre Gummizüge eingesetzt, was über die nächsten Kontrolltermine so beibehalten wurde. © Dr. Moshe Davidovitch
Fall 2 (Abb. 10–18) Abb. 13a–e bis 16a–e: Behandlungsfortschritt. Es wurden Elastikketten und asymmetrische
intermaxilläre Gummizüge eingesetzt, was über die nächsten Kontrolltermine so beibehalten wurde. © Dr. Moshe Davidovitch
Fall 2 (Abb. 10–18) Abb. 13a–e bis 16a–e: Behandlungsfortschritt. Es wurden Elastikketten und asymmetrische
intermaxilläre Gummizüge eingesetzt, was über die nächsten Kontrolltermine so beibehalten wurde. © Dr. Moshe Davidovitch
Fall 2 (Abb. 10–18) Abb. 13a–e bis 16a–e: Behandlungsfortschritt. Es wurden Elastikketten und asymmetrische
intermaxilläre Gummizüge eingesetzt, was über die nächsten Kontrolltermine so beibehalten wurde. © Dr. Moshe Davidovitch
Fall 2 (Abb. 10–18) Abb. 13a–e bis 16a–e: Behandlungsfortschritt. Es wurden Elastikketten und asymmetrische
intermaxilläre Gummizüge eingesetzt, was über die nächsten Kontrolltermine so beibehalten wurde. © Dr. Moshe Davidovitch
Fall 2 (Abb. 10–18) Abb. 13a–e bis 16a–e: Behandlungsfortschritt. Es wurden Elastikketten und asymmetrische
intermaxilläre Gummizüge eingesetzt, was über die nächsten Kontrolltermine so beibehalten wurde. © Dr. Moshe Davidovitch
Fall 2 (Abb. 10–18) Abb. 13a–e bis 16a–e: Behandlungsfortschritt. Es wurden Elastikketten und asymmetrische
intermaxilläre Gummizüge eingesetzt, was über die nächsten Kontrolltermine so beibehalten wurde. © Dr. Moshe Davidovitch
Fall 2 (Abb. 10–18) Abb. 13a–e bis 16a–e: Behandlungsfortschritt. Es wurden Elastikketten und asymmetrische
intermaxilläre Gummizüge eingesetzt, was über die nächsten Kontrolltermine so beibehalten wurde. © Dr. Moshe Davidovitch
Fall 2 (Abb. 10–18) Abb. 13a–e bis 16a–e: Behandlungsfortschritt. Es wurden Elastikketten und asymmetrische
intermaxilläre Gummizüge eingesetzt, was über die nächsten Kontrolltermine so beibehalten wurde. © Dr. Moshe Davidovitch
Fall 2 (Abb. 10–18) Abb. 13a–e bis 16a–e: Behandlungsfortschritt. Es wurden Elastikketten und asymmetrische
intermaxilläre Gummizüge eingesetzt, was über die nächsten Kontrolltermine so beibehalten wurde. © Dr. Moshe Davidovitch
Fall 2 (Abb. 10–18) Abb. 13a–e bis 16a–e: Behandlungsfortschritt. Es wurden Elastikketten und asymmetrische
intermaxilläre Gummizüge eingesetzt, was über die nächsten Kontrolltermine so beibehalten wurde. © Dr. Moshe Davidovitch
Fall 2 (Abb. 10–18) Abb. 17a–e: Intraorale Aufnahmen nach Behandlungsabschluss. © Dr. Moshe Davidovitch
Fall 2 (Abb. 10–18) Abb. 17a–e: Intraorale Aufnahmen nach Behandlungsabschluss. © Dr. Moshe Davidovitch
Fall 2 (Abb. 10–18) Abb. 17a–e: Intraorale Aufnahmen nach Behandlungsabschluss. © Dr. Moshe Davidovitch
Fall 2 (Abb. 10–18) Abb. 17a–e: Intraorale Aufnahmen nach Behandlungsabschluss. © Dr. Moshe Davidovitch
Fall 2 (Abb. 10–18) Abb. 17a–e: Intraorale Aufnahmen nach Behandlungsabschluss. © Dr. Moshe Davidovitch
Fall 2 (Abb. 10–18) Abb. 18a–c: Die finalen Röntgenaufnahmen zeigen die positiven Veränderungen der Schneidezahninklination,
die Protraktion des Zahns 47 sowie die Erhaltung der Wurzelintegrität. © Dr. Moshe Davidovitch
Fall 2 (Abb. 10–18) Abb. 18a–c: Die finalen Röntgenaufnahmen zeigen die positiven Veränderungen der Schneidezahninklination,
die Protraktion des Zahns 47 sowie die Erhaltung der Wurzelintegrität. © Dr. Moshe Davidovitch
Fall 2 (Abb. 10–18) Abb. 18a–c: Die finalen Röntgenaufnahmen zeigen die positiven Veränderungen der Schneidezahninklination,
die Protraktion des Zahns 47 sowie die Erhaltung der Wurzelintegrität. © Dr. Moshe Davidovitch
Gerade angesichts der rasanten Entwicklungsfortschritte in anderen medizinischen Bereichen sollte uns dies zu der Überlegung veranlassen, inwieweit dieser Aspekt womöglich grundsätzlich verbessert werden kann. Denn eine klinisch deutlich effizientere und somit auch einfachere Apparatur bei gleichzeitiger niedriger Kraftapplikation wäre sicherlich nach Edgewise die nächste Erfindung von Angle gewesen.
Um 40 bis 60 Prozent verkürzte Behandlungsdauer
Mit der in diesem Artikel vorgestellten Wedgewise™-Technik wird eine neue Ära kieferorthopädischer Behandlungsmechanik eingeleitet. Hierbei handelt es sich um einen fundamentalen technischen Paradigmenwechsel. Dabei standen die Nachteile des technisch-mechanischen Ansatzes der bisherigen Edgewise-Apparatur im Fokus, die trotz des Entwicklungsfortschritts weiterhin unverändert auf dem Prinzip des Vierkantslots basieren.8 Denn gerade unser heutiges verbessertes Verständnis der Biologie der Zahnbewegung sowie das Wissen um die Nachteile der Edgewise-Technik erfordern zwingend, diese Lücke durch eine klinisch zuverlässige Innovation zu schließen.9
Die Wedgewise-Technik kombiniert ein innovatives Slot- und Clipdesign und ermöglicht so ein klinisch einfach anwendbares Bracket, dessen Einsatz, wie in klinischen Studien durchgängig gezeigt, zu einer deutlichen Verkürzung der Gesamtbehandlungsdauer (40 bis 60 Prozent) führen kann. Gleichzeitig können schlanke, jedoch effizientere Biomechaniken eingesetzt werden und somit den einzelnen Behandlungsfall planbarer und reibungsloser gestalten.
Diese mechanischen Vorteile sind für alle Zahnbewegungen im Vergleich zur Edgewise-Technik auf zwei grundlegende Designänderungen zurückzuführen. So verfügt das für diese Technik entwickelte Triamond™-Bracket über ein klinisch geprüftes Slotdesign, welches auch komplexe Behandlungen mit lediglich zwei Sets „leichter“ Bögen ermöglicht. Zentrale Bedeutung kommt auch dem selbstligierenden Clip zu, der Kraftvektoren erzeugt, die sich von denen anderer konventioneller oder selbstligierender Optionen grundlegend unterscheiden.
Zweiwandige Slotgeometrie
Während alle Edgewise-Brackets einen dreiwandigen, rechtwinkligen Rechteckslot aufweisen, ist das Triamond™-Wedgewise-Bracket mit einem zweiwandigen Slot mit dreieckiger Geometrie ausgestattet, in der ein um 45° gedrehter Vierkantbogen passgenau „rautenförmig“ einligiert wird (Abb. 1a). Die Kombination aus Dreieckslot und SL-Clip gewährleistet, dass der Bogen dabei ohne Slotspiel vollständig im Slot sitzt.
Die geometrisch bedingte, formgleiche Passung von Slot und Bogen eliminiert das unerwünschte Binding und Notching des Bogens an den Slotkanten und reduziert die damit verbundene Friktion und gleichzeitig den erhöhten Kraftaufwand zur Überwindung dieser. Der Zahnhalteapparat wird weniger belastet und das dentale „Kippen“, wie wir es von Zahnbewegungen mithilfe der Edgewise-Apparatur her gewohnt sind, beseitigt. Die Korrektur von Fehlstellungen erfolgt daher deutlich effizienter. Somit bewirkt diese technische Neuerung im Vergleich zur Edgewise-Apparatur sowohl klinische als auch wirtschaftliche Vorteile (Abb. 1b).
Die Zahnbewegung wird bei der Edgewise-Technik typischerweise durch eine Kronenbewegung in Richtung der applizierten Kraft initiiert, während die Wurzelspitze des Zahns in die Gegenrichtung verschoben wird. Das setzt sich solange fort, bis die diagonal entgegengesetzten Slotkanten den Bogen blockieren. In der Folge kann dieser nicht mehr wie gewünscht agieren, woraufhin sich die Zahnwurzel in Richtung der am Bracket wirkenden Kraft bewegt. Das bedeutet, dass sich Krone und Wurzel während der initialen Phase der Zahnbewegung solange in entgegengesetzte Richtungen bewegen (unkontrolliertes Kippen), bis ein Moment erzeugt wird, der diesen Prozess umkehrt.
Bei dieser Methode der Zahnbewegung werden entlang der Zahnwurzel oszillierende und alternierende Druck- und Zugzonen generiert (Abb. 2a und b), die nicht nur ineffektive und somit längere Behandlungen bedeuten, sondern auch das Risiko iatrogener Effekte erhöhen können.9 Zahlreiche technische und klinische Versuche, dieses minimale „Wackeln“ (Micro-Jiggling) während der Zahnbewegung auszuschalten, stellen weiterhin mehrheitlich theoretische Ansätze dar. Denn sie basieren alle auf der Edgewise-Slotgeometrie und versuchen, ein entsprechend geeignetes Moment-Kraft-Verhältnis zu finden10, 11, um den durch mechanische Kräfte herbeigeführten Momenten entgegenzuwirken – z. B. von bestimmten Angulationswerten oder Interbracketbiegungen des Bogens.12–15
Alternativ wird ein nahezu vollständiges Ausfüllen des Edgewise-Bracketslots durch den Bogen angestrebt. Allerdings „kann das biomechanische Konzept der Translation nur kurzfristig existieren und mit keinerlei bisher existierender Apparatur über die Zeit aufrechterhalten werden“16. Die durch die Edgewise-Apparatur hervorgerufene Friktion wird nun weiter erhöht, sodass noch größere Kraftniveaus für deren Überwindung erforderlich sind.17
Nicht noch ein selbstligierendes Bracket!
Die Wedgewise-Technik, wie sie mithilfe der Triamond™-Apparatur zur Anwendung kommt, behebt diese Mängel. Sie ermöglicht durch die innovative Slotgeometrie den Einsatz geringer Kräfte für die notwendige Zahnbewegung, reduziert die biomechanischen Nebenwirkungen und bietet darüber hinaus eine Methode, frühzeitig mit Bewegungen erster, zweiter und dritter Ordnung zu beginnen.
Diese Wedgewise-Vorteile verstärken sich gegenseitig und führen somit zu einer biologisch fundierten Zahnbewegung durch geringere Kräfte und dem Eliminieren unkontrollierter Kippbewegungen. Gleichzeitig wird eine echte biomechanische Behandlungsplanung und die direkte Umsetzung der Behandlungstechnik („Prescription“) durch den geradlinigen Behandlungsweg ermöglicht. Die daraus resultierende verkürzte Therapiedauer bietet Vorteile für Patienten und Behandler: ein geringeres Risiko für Wurzelresorptionen und Zahnschmelz-Dekalzifikationen und gleichzeitig reduzierte, einfache, schnellere und somit planbarere Behandlungsmechaniken mit deutlich weniger Terminen für beide Seiten.
Um sie schnell und problemlos in den Workflow einer modernen KFO-Praxis integrieren zu können, wurden die Triamond™-Brackets von Anfang an für eine außergewöhnlich einfache Anwendung konzipiert. Angesichts der Tatsache, dass während des gesamten Behandlungsverlaufs lediglich zwei Bogensets benötigt werden und der Clipmechanismus leicht und zuverlässig zu handhaben ist, eignet sich ihr Einsatz insbesondere in KFO-Praxen, in denen klinische Aufgaben innerhalb des Teams delegiert werden und Zeitersparnis zählt. Darüber hinaus ist lediglich ein überschaubares Instrumentarium erforderlich, um die wenigen anfallenden Mechaniken bei Anwendung der Apparatur erfüllen zu können. Detaillierte Ausführungen zum hierbei empfohlenen Wedgewise-Protokoll wird es in Teil 2 dieses Artikels geben.
Ich überlasse es respektvoll dem Leser, eins und eins zusammenzuzählen, welche Auswirkungen diese neue Technik auf den Terminkalender sowie die Umsätze einer KFO-Praxis haben kann. Damit sich meine Kollegen in Deutschland einen ersten Eindruck von den Vorteilen und dem klinischen Potenzial der neuen Triamond™-Brackets verschaffen können, seien zum Abschluss dieses ersten Artikels drei Fallbeispiele vorgestellt.
Fall 1 – Behandlungsdauer fünf Monate
Eine 35 Jahre alte Patientin stellte sich zur Behandlung ihrer Zahnfehlstellungen im Unterkiefer vor (Abb. 3a bis h). Nach dem Bonding der Triamond™-Brackets wurde sie zunächst zur Extraktion des unteren rechten mittleren Schneidezahns überwiesen. Nach erfolgter Extraktion inserierten wir einen .014'' Wedgewise-NiTi-Rundbogen und platzierten parallel eine Elastikkette mit langem Steg zwischen Zahn 31 und 42 zur Unterstützung des Lückenschlusses (Abb. 4–e; 5a–e). Beim dritten Termin erfolgte der Bogenwechsel auf einen .016'' x .016'' Wedgewise-NiTi-Bogen mit zeitgleichem Einsatz einer Elastikkette mit mittlerem Steg zwischen den jeweils ersten unteren Molaren (Abb. 6a–e). Beim nächsten Kontrolltermin wurde die Elastikkette gegen eine mit kurzem Steg ausgetauscht (Abb. 7a–e). Nach fünf Monaten war die Behandlung abgeschlossen, sodass die Brackets entfernt werden konnten. Bitte beachten Sie die parallel zum Lückenschluss erfolgten Zahnbewegungen, welche bei guter Torquekontrolle und ohne Bogenanpassungen oder ein Umkleben von Brackets umgesetzt werden konnten (Abb. 8a–e). Wurzelintegrität wurde ebenfalls erreicht (Abb. 9a und b).
Fall 2 – Behandlungsdauer 13 Monate
Eine elfjährige Patientin mit chronischem Asthma, einer Klasse II/1-Malokklusion bei mittlerem bis starkem Engstand, einer leichten Proklination der Schneidezähne sowie der Anlage aller dritten Molaren wurde in unserer Praxis vorstellig. Sie zeigte zudem eine rezidivierende Karies und den Verlust des mesialen bukkalen Höckers ihres oberen rechten ersten bleibenden Molaren (Abb. 10a–h). Die Patientin wurde zur Extraktion der Zähne 16, 24, 34 und 46 überwiesen.Anschließend erfolgte das Kleben der Brackets. Die Behandlung wurde im Ober- und Unterkiefer mit .016''er Wedgewise-NiTi-Rundbögen begonnen. Parallel wurden im Unterkiefer zwischen den Zähnen 36-34 und 47-44 Elastikketten mit langem Steg eingehängt (Abb. 11a–e). Beim dritten Termin kam ein neuer Satz Wedgewise-Bögen (.016'' x .016'') mit Klasse II-Gummizügen (4 oz.) zum Einsatz, welche auf der rechten Seite rund um die Uhr und auf der linken Seite nachts zu tragen waren (Abb. 13a–e, 14a–e, 15a–e, 16a–e). Nach 13-monatiger Behandlung konnte die Apparatur entfernt werden (Abb. 17a–e). Die Röntgenaufnahmen nach Therapieabschluss zeigen die positiven Veränderungen der Schneidezahninklination, die Protraktion des Zahns 47 sowie die Erhaltung der Wurzelintegrität (Abb. 18a–c).
Fall 3 – Behandlungsdauer vier Monate
Ein 14,7 Jahre alter männlicher Patient stellte sich vor (Abb. 19a–e). Die kieferorthopädische Behandlung war zunächst mit einer Klasse II-Apparatur (Carriere® Motion™) begonnen worden. Da sich der Patient jedoch als unkooperativ erwies und insgesamt vier herausnehmbare Essix-Retainer (Omnivac) verloren hatte, wurde dieser Therapieansatz eingestellt. Stattdessen wurden Triamond™-Brackets mit .016''er Wedgewise-NiTi-Rundbögen inseriert und Klasse II-Gummizüge (¼'' 4 oz.) platziert (Abb. 20a–e). Binnen sechs Wochen konnte ein Klasse I-Molaren-Eckzahnverhältnis erreicht werden (Abb. 21a–e). Nach insgesamt viermonatiger Behandlung wurde die Bracketapparatur entfernt (Abb. 22a–e). Auf den klinischen Abschlussfotos ist eine signifikante Neuausrichtung der Zähne erkennbar. Zudem lassen sich auf den finalen Röntgenaufnahmen eine deutliche Verbesserung der interinzisalen Verhältnisse sowie der Erhalt der Wurzelintegrität feststellen (Abb. 23a und b). Die Fallbilder können hier eingesehen werden.
Literaturliste
Dieser Beitrag ist in KN Kieferorthopädie Nachrichten erschienen.
Foto Teaserbild: Autor