Kieferorthopädie 28.02.2011

Okklusales CMD - Risikofaktoren im Wachstum



Okklusales CMD - Risikofaktoren im Wachstum

In der Kieferorthopädie werden derzeit von verschiedenen Autoren folgende strukturelle Abweichungen von der Norm als Risikofaktoren zur Begünstigung einer CMD angesehen: geringer Gelenkbahn-Okklusionsebenenwinkel, Trauma, Deckbiss, Rezidiv einer kieferorthopädischen Behandlung z.B. infolge kieferorthopädischer Überexpansion, Rezidive von kieferorthopädischer Wachstumshemmung des Unterkiefers mit Kopf-Kinn-Kappen bei Jugendlichen oder Re­zidive von kieferorthopädischen Unterkiefervorverlagerungen nach überschrittenem Wachstumsmaximum, infolgedessen oder unabhängig hiervon entstandener Zwangsbiss, fehlende posteriore Abstützung, offener Biss.5 Man muss diese strukturellen Störungen in prothetisch und kieferorthopädisch relevante sowie in physiologische und pathologische Störungen unterteilen.


Die physiologischen Wachstumsvorgänge des Craniums wurden durch Enlow umfassend beschrieben.3 Laufen Wachstumsvorgänge des Craniums atypisch ab, so können funktionelle Auswirkungen auf den Bewegungsapparat resultieren, die zwar in der Regel von ansonsten gesunden Kindern gut kompensiert werden, aber mit statistischem Gipfel in der Pubertät, im jungen Erwachsenenalter und in den Wechseljahren5 und meist hier im Zusammenhang mit weiteren maßgeblichen Faktoren, wie z.B. umfangreichen emotionalen Belastungssituationen, zum Bild der CMD führen können.

Unter physiologischen Störungen werden in diesem Zusammenhang Okklusionsstörungen verstanden, die aufgrund normaler Wachstumsvorgänge bzw. durch den Zahnwechsel entstehen. So elongieren die Milchmolaren regelmäßig in der Phase der Eruption der Prämolaren einige Wochen, bevor sie ausfallen (Abb. 1). Es entstehen vorübergehend mitunter enorme Gleithindernisse, die allerdings bei funktionell gesunden Kindern ohne Auswirkungen bleiben, da Kinder kurzfristige Störungen hinreichend kompensieren können. Nur in denjenigen Fällen, in denen bereits eine latente Funktionsstörung vorliegt, z.B. eine kompensierte muskuläre Dysbalance im Kiefer-Gesichtsbereich bei muskuloskelettalen Asymmetrien der oberen HWS, kann ein solches Gleit­hindernis einen auslösenden Faktor zur Schmerzentstehung im Sinne einer craniomandibulären Dysfunktion (CMD) darstellen. Dies beobachtet man vorwiegend bei psychisch vorbelasteten Kindern,7 Syndrom- und ADHS-Patienten.

Davon zu unterscheiden sind die pathologischen Störungen. Auf die zahlreichen Ausprägungsformen der schweren Syndrome mit Beteiligung der Kopfregion sei hier nur hingewiesen. An erster Stelle der kieferorthopädisch häufigen CMD-relevanten Fehlentwicklungen des Craniums zu nennen sind jedoch der Deckbiss (Abb. 2), bei dem man trotz der auf den ersten Blick oft harmonisch erscheinenden Zahnreihen gegenüber den anderen Zahnstellungsanomalien eine auffällige Häufung von Funktionsstörungen beobachtet1 und der Kreuzbiss (Abb. 3), der zu umfang­reichen muskuloskelettalen Asymmetrien führen kann.6 Beide Anomalien führen in ihrer Folge regelmäßig zu einer Zwangsbiss-Situation, die für eine CMD-Entstehung mitverantwortlich gemacht werden kann.2 Hierauf wird später noch eingegangen. Iatrogene Störungen, die durch Rezidive therapeutischer Eingriffe oder durch die Eingriffe selbst entstehen, können in den meisten Fällen durch eine geeignete Therapie und Retention vermieden werden. Funktionsstörungen durch Traumata müssen abhängig vom Lebens­alter, in dem sie entstehen, therapiert werden. Ein geringer Gelenkbahn-Okklusionsebenenwinkel ist abhängig vom Wachstumsmuster3 und damit nur in früher Kindheit therapeutisch relevant zu beeinflussen (Clark, 2007).

Pathologische Okklusionsstörungen sind Fehlentwicklungen, die durch persistierende oder progrediente Kiefer- und Zahnstellungsanomalien hervorgerufen werden. Bei Kindern stehen nicht die in der prothetischen und erwachsenenkieferorthopädischen Funktionstherapie relevanten später ent­stehenden Okklusionsstörungen durch fehlende Abstützung, Elongationen oder Kippungen im Lücken- oder Restgebiss im Fokus, sondern im Wesentlichen Okklusionsstörungen aufgrund von Wachstumsvorgängen. Während Okklusionshindernisse im Milchgebiss zur Prophylaxe von Funktionsstörungen oft ein­geschliffen werden können,4,7 stellen Malokklusion im Bereich der Weisheitszähne am anderen Ende der Dentitionszeitachse ebenfalls ein erhöhtes CMD-Risiko dar,11 deren kieferorthopädische Korrektur aufwen­diger ist.

Der funktionell offene Biss entsteht häufig durch ein viszerales Schluckmuster. Der Zungendruck im frontalen interinzisalen Bereich lässt eine physiologische Einstellung der Front nicht zu. So entsteht eine unzureichende Abstützung mit der Neigung zu muskulärer und dentaler Überlastung. Frontal oder zirkulär offene Bisse können durch rheumatoide Erkrankungen und den damit verbundenen charakteristischen Abbau der anterioren Kondylenflächen verstärkt werden (Abb. 4a–c). Seitlich offene Bisse kommen bei lateraler Zungeneinlagerung zustande und sind wegen der Kompressionsgefahr der Kiefergelenke ebenfalls als CMD-Risikofaktoren zu werten. Sie entstehen auch während einer Dekompressionsbehandlung mit intraoralen Schienen als Ausdruck der Dekompression der Kiefergelenke (Abb. 4d). Die kieferorthopädische Aufgabe besteht in beiden Fällen darin, den Biss in den Seitensegmenten zu heben.

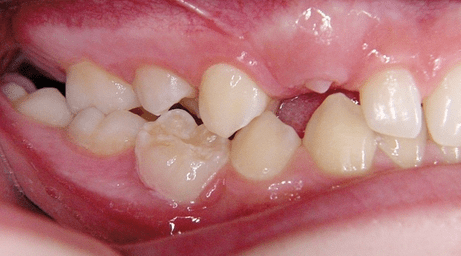
Der Deckbiss ist bereits im Milchgebiss gekennzeichnet durch eine mehr oder weniger stark ausgeprägte Rückwärtskippung der oberen Frontzähne mit einer Tiefbiss-Situation, die sich auf das bleibende Gebiss überträgt. Häufig ist diese Anomalie mit einer Hyperplasie der Oberkieferbasis vergesellschaftet. Erbliche Faktoren werden diskutiert. Der Kreuzbiss hat dagegen häufig funktionelle Ursachen, z.B. ein persistentes viszerales Schluckmuster oder eine kaudale Zungenlage, diese wiederum häufig aufgrund einer eingeschränkten Nasenatmung. Die tiefe Zungenlage führt zu einem funktionellen Ungleichgewicht der Wangen- und Zungendruckverteilung in beiden Kiefern zugunsten des Unterkieferwachstums. Die transversale und sagittale Entwicklung der Oberkieferbasis bleibt dagegen aufgrund des dort fehlenden Wachstumsimpulses durch den Zungendruck zurück, oft gesellt sich ein frontal oder zirkulär offener Biss hinzu. Die sich unbehandelt verstärkende Größendiskrepanz der Kieferbasen führt in der Folge dazu, dass der Unterkiefer sich einseitig orientiert. Im weiteren Verlauf entsteht aus dieser unphysiologischen Unterkieferschwenkung ein einseitig verstärktes Wachstum der beiden Unterkieferhälften und eine asymmetrische muskuläre und skelettale Entwicklung. Aber auch funktionelle Asymmetrien im Bewegungsapparat können verantwortlich für die Entstehung eines Kreuzbisses sein. Korbmacher et al. berichten, dass bei orthopädischen Störungen der Zervikalregion eines Kindes die Neigung zur Ausprägung eines unilateralen Kreuzbiss besteht und anders herum Kinder mit unilateralem Kreuzbiss häufiger als andere einen Schulter- oder Beckenschiefstand, eine funktionelle Beinlängendifferenz oder Skoliose zeigen.6 Gelegentlich sind auch Durchbruchstörungen permanenter Zähne aufgrund persistenter Milchzähne oder aufgrund eingeengter Platzverhältnisse die Ursache für die Entwicklung von isolierten transversalen Nonokklusionen, also Einzelzahnkreuzbiss- oder Scherenbissverzahnungen (Abb. 5), die zu Unterkieferzwangspositionen mit denselben, oben beschriebenen Folgen führen können.

Während die kieferorthopädische Deckbisstherapie nach Abschluss der frühen Wechselgebissphase beginnen sollte, also etwa im Alter von sieben bis neun Jahren sobald die permanenten Frontzähne durchgebrochen sind, sollte die Kreuzbissbehandlung so früh wie möglich beginnen.9 Für die frühe Deckbisstherapie haben sich skelettal wirksame funktionskieferorthopädische Ansätze mit herausnehmbaren Geräten wie z.B. mit dem Funktionsregler II nach Fränkel (Abb. 6) oder auch mit ver­schiedenen Aktivator-Modifikationen bewährt, während die Kreuzbissbehandlung mit einer transversalen und sagittalen skelettalen Nachentwicklung der OK-Basis durch Einsatz einer festsitzenden Gaumennahterweiterungsapparatur (GNE) beginnen sollte (Abb. 7), nach deren Entfernung oft ein spontanes Ausschwenken des Unterkiefers beobachtet wird. Die Dehnungsphase beträgt meist nur zwei Wochen, das Gerät bleibt dann noch weitere drei Monate in situ, um eine Remodellation der Gaumennaht zu ermöglichen. Wichtig ist dabei das Erreichen einer echten skelettalen Erweiterung. Deswegen ist die gegossene GNE allen anderen festsitzenden und herausnehm­baren Dehnapparaturen, die eine vorwiegend dentale Bukkalkippung der oberen Seitensegmente in der unverändert schmalen Oberkieferbasis bewirken,12 überlegen. Retiniert wird hier mit einem Funktionsregler Typ III, den wir zur Abschirmung der Unterkiefer-Basis gegen den Zungendruck modifiziert haben (Abb. 8). Die Fränkelsche Originalausführung des FR III sieht eine Wangenpelotte für beide Kiefer vor, die im Oberkiefer 2mm vom Zahnbogen abliegt, während sie im Unterkiefer anliegt (Abb. 9). In unserer Modifikation wurde die Unterkieferpelotte nach lingual verlagert, liegt nicht an, schirmt den unteren Zahnbogen gegen die Zunge ab und unterstützt die Positionierung der Zunge im Gaumendach. Das Fränkelsche Prinzip beruht auf dem Anregen von Wachstumsvorgängen durch Knochenapposition aufgrund des Weichteilzugs und der gezielten Abschirmung der Muskulatur mithilfe großflächiger Kunststoff-Pelotten. Wichtig im Zusammenhang mit der Kreuzbisskorrektur ist der gezielte Einsatz der myofunktionellen Therapie zur Zungenlagekorrektur und das HNO-ärztliche Konsil. Kreuzbisse, die auf Funktionsstörungen der Zervikalregion beruhen, bedürfen der orthopädischen Korrektur am Ort des Entstehens. Transversale Einzelzahn-Nonokklusionen korrigiert man mit herausnehmbaren oder festsitzenden kieferorthopädischen Apparaturen ebenfalls so früh wie möglich, um asymmetrische Wachstumsimpulse aufgrund einer sich entwickelnden Zwangsposition des Unterkiefers zu vermeiden.

Auch im Erwachsenenalter und bei Manifestation einer CMD ist die kieferorthopädisch funktionelle Therapie der frühen kraniomandibulären Fehlentwicklungen noch möglich, wird jedoch ungleich aufwendiger, weil die Wachstumsprozesse abgeschlossen sind und zunächst die Schmerzbeseitigung im Vordergrund steht. Zudem ist eine späte kieferorthopädische Behandlung eher rezidivgefährdet, weil die orale Funktion nur noch eingeschränkt korrigiert werden kann10 und das Rezidiv einer kieferorthopädischen Behandlung seinerseits ist wiederum ein neuer CMD-Risikofaktor.8 Die Frühbehandlung der oben beschriebenen CMD-relevanten Anomalien dauert dagegen meist nicht länger als zwei Jahre und findet in einem Alter mit hoher Compliance statt. Im Idealfall kann nach einer solchen frühen Wachstumskorrektur sogar auf eine länger dauernde kieferorthopä­dische Behandlung im Jugendalter verzichtet werden. Der hohe Wert der kieferorthopädischen Frühbehandlung liegt also in der großen funktionellen Stabilität der Therapie vor dem ersten statistischen CMD-Gipfel und der damit verbundenen geringen Rezidivrate, denn die orale Funktion bei okklusalen Störungen kann beim Kind geändert werden. So tritt z.B. eine deutliche Symmetrisierung des Kaumusters nach Kreuzbissüberstellung ein. Beim Erwachsenen ist die Möglichkeit zur therapeutischen Veränderung der oralen Funktion nur noch eingeschränkt möglich.10


Mehr Fachartikel aus Kieferorthopädie

ePaper