Oralchirurgie 21.07.2015

Hirntumor verursacht extremen Fehlbiss

Hirntumor verursacht extremen Fehlbiss

Foto: © Klinik für MKG-Chirurgie Klinikum Stuttgart, Katharinenhospital

Komplexe MKG-chirurgische Korrektur rettet Kaufunktion und Gesicht

Bei einem heute 35-jährigen Patienten beeinflusste ein hormonproduzierender Hirntumor das Kieferwachstum, sodass sich ein extremer Fehlbiss mit deutlich zurückliegendem Oberkiefer und sehr prominentem Unterkiefer entwickelte. Nach der kieferorthopädischen Vorbehandlung erfolgte in einem Eingriff die Vorverlagerung des Oberkiefers und die Spaltung und Rückverlagerung des Unterkiefers. Der Patient kann heute dank der individuellen innovativen Behandlung ein normales Leben führen, die Gesichtsästhetik und Kaufunktion sind vollständig wiederhergestellt. Der glückliche Patient berichtete auf der Jahrespressekonferenz der Deutschen Gesellschaft für Mund-, Kiefer- und Gesichtschirurgie (DGMKG) über seine Erfahrungen.

Akromegalie lässt Unterkiefer wachsen

 Die Akromegalie1 ist eine endokrinologische2 Erkrankung, die durch eine Überproduktion des Wachstumshormons Somatropin hervorgerufen wird. Ein hormonproduzierendes Adenom (gutartiger Tumor) an der Hirnanhangdrüse (Hypophyse) ist in den meisten Fällen die Ursache dieser Erkrankung. Am Gesichtsschädel führen die Wachstumshormone zu einem persistierenden Wachstum des Unterkiefers. Die Körperproportionen erscheinen dadurch extrem unharmonisch und vergrößert. Der daraus entstehende Fehlbiss ist häufig auch verantwortlich für degenerative3 Gelenkerkrankungen.

Fehlbiss verursacht extreme Probleme

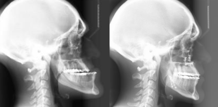
Bei dem vorgestellten Patienten wurde im ersten Schritt im Jahr 2010 der Tumor an der Hirnanhangdrüse über die Nase entfernt. Die klinische Situation bei Erstvorstellung in der Stuttgarter MKG-Spezialsprechstunde (Abb. 1 und Abb. 2). Der Unterkiefer ist zu prominent, der Oberkiefer und das Mittelgesicht liegen zurück. Durch den umgekehrten Überbiss in der Front kann der Patient nicht richtig abbeißen. Das seitliche Röntgenbild bei Erstvorstellung verdeutlicht die skelettale Fehlstellung der Kiefer (Abb. 3).

Schritt für Schritt zum neuen Profil

 In interdisziplinärer Zusammenarbeit mit einem Fachzahnarzt für Kieferorthopädie wurden im ersten Behandlungsabschnitt die Zahnbögen ausgeformt. Um den Oberkiefer in der Breite zu dehnen, führten die Stuttgarter Fachärzte im Oktober 2012 eine chirurgisch unterstützte Gaumennahterweiterung durch. Zahnrotationen und Zahnkippungen (Abb. 4 und Abb. 5) wurden durch eine feste kieferorthopädische Multi-Band Apparatur aufgelöst, der Oberkiefer gedehnt. Nun konnte die kieferverlagernde Operation durchgeführt werden.

Ein Jahr später wurden – nach dreidimensionaler Planung im zahntechnischen Labor mit konventioneller Herstellung von Bissschlüsseln – beide Kiefer operativ mobilisiert. Hierzu wurde von einem Schnitt im Mund, der Oberkieferknochen freigelegt. Mit einer Säge konnte ein gezielter Knochenschnitt erfolgen und nach Präparation wurde der zahntragende Abschnitt des Oberkiefers vom restlichen Gesichtsschädel gelöst. Nun musste die Bisssituation anhand des Bissschlüssels exakt eingestellt werden, bevor mit 2 mm dicken Osteosyntheseplatten aus Titan der Knochen in der neuen Position mit Hilfe von Titanschrauben fixiert wurde.

Im Unterkiefer erfolgte die Schnittführung im Zahnfleisch hinter dem letzten Backenzahn beidseits. Nun wurde der Unterkiefer mit spezieller Technik durchtrennt. Dies erlaubt eine Verschiebung der zahntragenden Basis vom gelenktragenden Knochenabschnitt des Unterkiefers. Bei der Präparation wird der im Unterkieferknochen verlaufende Gefühlsnerv der Unterlippe sorgfältig geschont. Die neue Position wird mit einem zweiten Bissschlüssel, der die endgültige Bisssituation einstellt, zugeordnet und mit Osteosyntheseplatten und -schrauben gesichert. Die Operation ging mit einem stationären Aufenthalt von 5 Tagen einher. Die postoperative Panoramaschichtaufnahme (Abb. 6) zeigt die verlagerten Kiefer und die Stabilisierung mit Titanplatten und -schrauben im Ober- und Unterkiefer. Seitliche Fernröntgenaufnahme zeigt – links vor der Operation – rechts nach der Operation (Abb. 7). Eine deutliche Verlagerung der Kiefer ist zu erkennen. Der Patient kann heute dank der individuellen innovativen Behandlung ein normales Leben führen, die Gesichtsästhetik und Kaufunktion sind vollständig wiederhergestellt. Im Mai des letzten Jahres wurden die Metallplatten in einem ambulanten Eingriff wieder entfernt (Abb. 8 bis Abb. 12).

 

1 = ausgeprägte Vergrößerung
2 Endokrinologie = Lehre von den Homonen
3 Degeneration = Rückbildung/Verfall vorwiegend ganzer Gewebe oder Organe

Quelle: DGMKG, Fotos: Klinik für MKG-Chirurgie Klinikum Stuttgart, Katharinenhospital

Produkte
Mehr Fachartikel aus Oralchirurgie

ePaper