Cosmetic Dentistry 05.02.2014

Die Rolle der Maxillaimpaktion bei Klasse III-Dysgnathien



Die Rolle der Maxillaimpaktion bei Klasse III-Dysgnathien

Die Rolle der Maxillaimpaktion zur Behandlung der Klasse III-Dysgnathien mit Mittelgesichtshypoplasie durch kombiniert kieferorthopädisch-kieferchirurgische Therapie

Einleitung

Zu den Hauptaufgaben der Kieferorthopädie gehört neben der Diagnose einer Dysgnathie vor allem die Indikationsstellung zur kieferorthopädischen Behandlung, bei der die Notwendigkeit der Behandlung sowie ihre Erfolgsprognosen zu bewerten sind.

Okklusion, Funktion und Ästhetik werden in der modernen Kieferorthopädie und hier speziell in der kombiniert kieferorthopädisch-kieferchirurgischen Behandlung als gleichwertige Parameter betrachtet. Die Ziele einer kieferorthopädischen bzw. kombiniert kieferorthopädisch-kieferchirurgischen Behandlung sind:

  • 1. Die Herstellung einer neutralen, stabilen und funktionellen Okklusion bei physiologischer Kondylenposition.
  • 2. Die Optimierung der Gesichtsästhetik.
  • 3. Die Optimierung der dentalen Ästhetik unter Berücksichtigung der Parodontalverhältnisse.
  • 4. Die Sicherung der Stabilität des erreichten Ergebnisses.
  • 5. Erfüllung der Erwartungen bzw. Zufriedenheit des Patienten.

Es ist wohl allgemein bekannt, dass bei dentoalveolären Behandlungsmaßnahmen die Behandlungsziele, die als das individuell funktionelle und ästhetische Optimum für den zu behandelnden Patienten zu sehen sind, mit den heutigen modernen Behandlungsmethoden vielfach erreicht werden können. Während Dysgnathien geringen Umfangs durch rein dentoalveoläre Maßnahmen ausgeglichen werden können, stellt sich vor allem bei ausgeprägten sagittalen Diskrepanzen, wie z.B. bei Klasse III-Dysgnathien, die Frage, mithilfe welcher Ansätze diese erfolgreich behandelt werden können. Ist die Kieferrelation korrekt und handelt es sich um eine rein dentoalveoläre Dysgnathie, kann diese durch dentale Bewegungen korrigiert werden. Allerdings sind diese dentalen Bewegungen nur bis zu einem bestimmten Grad möglich und somit limitiert. Eine Korrektur bzw. stabile dentale Kompensation einer skelettalen Dysgnathie ist bei manchen Fällen fraglich und stellt in aller Regel einen Kompromiss in ästhetischer und/oder funktioneller Hinsicht dar, was auch hinsichtlich der Stabilität fraglich ist.

Zur Abklärung der Frage, welche Möglichkeiten zur Therapie der skelettalen Dysgnathien infrage kommen, muss das verbliebene Wachstum des Patienten bestimmt werden.8 Eine Therapieform, die beim Heranwachsenden als kausale Therapie erachtet wird, ist die funktionskieferorthopädische Behandlung, mit der das Wachstum beeinflusst werden kann.2, 5, 12, 13, 16–20, 22 Ist kein Wachstum therapeutisch verfügbar, verbleibt als kausale Therapieform die orthognathe Chirurgie, mit der die Lagendiskrepanz zwischen den beiden Kiefern in den drei Dimensionen korrigiert werden kann.

In diesem Artikel wird die Möglichkeit der kausalen Therapie einer skelettalen Dysgnathie durch eine kombiniert kieferorthopädisch-kieferchirurgische Korrektur abgehandelt.

Die kieferorthopädisch-kieferchirurgische Therapie

Indikation für die kombinierte kieferorthopädisch-kieferchirurgische Behandlung Kombiniert kieferorthopädisch-kieferchirurgische Eingriffe sind häufig Wahleingriffe und unterliegen trotz des weitentwickelten Behandlungsablaufes und der geringen Risikogefahr einer sehr strengen Indikationsstellung. Als Indikation sind anzusehen:

  • Funktionelle Störungen
  • Deutlich beeinträchtigte dentofaziale Ästhetik
  • Kiefergelenksprobleme
  • Parodontale Destruktionen
  • Prothetische Versorgung nicht adäquat möglich
  • Totale Rehabilitation, wie z.B. bei Lippen-Kiefer-Gaumen-Spalt-Patienten

Die logische Antwort auf die Frage: „Welcher erwachsener Patient ist ein Kandidat für eine kombinierte kieferorthopädisch-kieferchirurgische Behandlung?“ ist demnach: Wenn bei ihm ein gravierendes skelettales oder schwerwiegendes dentoalveoläres Problem vorliegt, das mit alleinigen orthodontischen Maßnahmen nicht zu korrigieren ist. Eine weitere Frage, die sich in diesem Zusammenhang folglich aufwirft: „Wie soll der Fall behandelt werden, damit die angestrebten Ziele möglichst optimal erreicht werden?“ Um diese Frage beantworten zu können, ist neben ausführlichen Befundsunterlagen (klinische Untersuchung, Funktionsdiagnostik, Röntgenaufnahmen, intra- und extraorale Fotos, Modelle) eine gründliche Anamnese erforderlich, durch die unter anderem das Anliegen und die Motivation des Patienten für die Behandlung ermittelt werden müssen. Der Erfolg einer kombinierten kieferorthopädisch-kieferchirurgischen Behandlung ist nämlich nicht nur von der optimalen Zahnstellung und der korrekten Kieferposition abhängig, sondern auch von der Motivation, den Erwartungen und der Zufriedenheit des betreffenden Patienten. Über die Behandlungsmotivation kieferorthopädischer Patienten wurden unzählige Befragungen durchgeführt, wobei das Alter, das Geschlecht oder der Bildungsstand Variablen der Bewertung waren.

Die Untersuchungen von Flanary7, Jacobson9 und Kiyak10 bezüglich Motiv, Erwartung und Zufriedenheit wiesen darauf hin, dass sich 79 bis 89 Prozent der Patienten,1 3 die sich einer kombinierten kieferorthopädisch-kieferchirurgischen Behandlung unterziehen, dies nicht nur aus funktionellen, sondern vor allem aus ästhetischen Gründen tun, wobei die Gewichtung für den Einzelnen, z.B. in Abhängigkeit der extraoralen Ausprägung der Dysgnathie, unterschiedlich ausfällt. Zusätzlich hat Kijak10 bei seinen Untersuchungen festgestellt, daß mehr Frauen als Männer ihren Wunsch zur Verbesserung der facialen Ästhetik geäußert haben. Scott et al.15 haben in ihrer Studie – Befragung nach Behandlungsmotiven und -erwartungen prä- und postoperativ – festgestellt, dass Patienten postoperativ über Behandlungsmotive berichteten, die präoperativ nicht als wichtig eingestuft bzw. gar nicht erwähnt wurden und vorwiegend aus dem Bereich der Ästhetik kamen.4, 6, 11, 18, 20, 21 Entsprechend muss sich der Kieferorthopäde an einem Behandlungsziel orientieren, das sowohl ästhetische als auch funktionelle Belange für den Einzelnen maximal erfüllt, da z.B. eine rein okklusionsorientierte Therapie nicht unbedingt mit einem fazialästhetisch befriedigenden Ergebnis verbunden sein muss.

Klinische Darstellungen und Behandlungssystematik

Patientengeschichte und Anamnese

Der Patient stellte sich im Alter von 28 Jahren zur einer kieferorthopädischen Behandlung vor. Seine Kaufunktion war deutlich eingeschränkt. Den Patienten störte vor allem die Disharmonie in der Gesichtsästhetik und die dentale Ästhetik wegen der Nichtanlage der seitlichen Schneidezähne und der Lücken im Oberkiefer. Bei dem Patienten lag keine Erkrankung vor.

Diagnose

Die Fotostatusaufnahmen zeigen den erschwerten Mund- und Lippenschluss in der zentrischen Relation. Im Gesicht ist die Unterkieferabweichung nach rechts zu sehen (Abb. 1a–c). Der Fotostatus von lateral zeigt ein Rückgesicht schräg nach vorne und im Vergleich zum Mittelgesicht ein langes Untergesicht (Tab. 1). Der Patient hatte eine Klasse III-Dysgnathie mit mandibulärer Mittellinienverschiebung nach rechts, einen zirkulären Kreuzbiss (Abb. 2a–e). Im Oberkieferzahnbogen bestand Nichtanlage der Zähne 12 und 22 sowie Lücken in der Front. Der Engstand im Unterkiefer betrug 3 mm. Als Kompensation der skelettalen Dysgnathie trat eine linguale Kippung der Unterkieferfront ein.

Das OPG (Abb. 3) zeigt, dass alle Zähne einschließlich alle 8er im Unterkiefer vorhanden sind. Im Oberkiefer fehlen die Zähne 12 und 22. Alle Weisheitszähne wurden vor der Operation entfernt, weil sie im Operationsfeld standen.

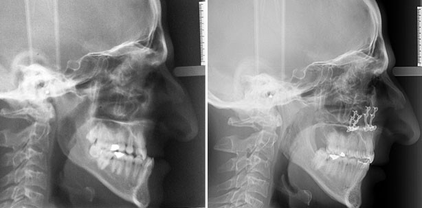
Die FRS-Aufnahme zeigt deutlich die Dysgnathie in der Sagittalen und Vertikalen sowohl im Weichteilprofil als auch im skelettalen Bereich (Abb. 4a und b). Die Parameter wiesen auf eine deutlich starke skelettale Dysgnathie: mesiobasale Kieferrelation, der ANB-Winkel betrug –8 °. Die vertikale Einteilung des Weichteilprofils zeigte eine leichte Disharmonie zwischen dem Ober- und dem Untergesicht (G’-Sn : Sn-Me’; 48 % : 52 %). Diese äußerte sich nicht so deutlich in den knöchernen Strukturen (N-Sna : Sna-Me; 44 % : 56 %). Diese Änderungen im Verhältnis lagen weniger in einer Alteration der Oberlippenlänge als vielmehr in einem verlängerten Untergesicht (Tab. 1).

Therapieziele und Therapieplanung

Die angestrebten Ziele dieser kieferorthopädischen bzw. kombiniert kieferorthopädisch-kieferchirurgischen Behandlung sind:

  • 1. Die Herstellung einer stabilen und funktionellen Okklusion bei physiologischer Kondylenposition.
  • 2. Die Optimierung der Gesichtsästhetik.
  • 3. Gewährleistung des Mund- bzw. Lippenschlusses.
  • 4. Die Optimierung der dentalen Ästhetik unter Berücksichtigung der Parodontalverhältnisse und Änderung der Morphologie der Eckzähne im Oberkiefer zu den lateralen Schneidezähnen sowie Schließung der Lücken der Oberkieferzähne.
  • 5. Die Sicherung der Stabilität des erreichten Ergebnisses.
  • 6. Erfüllung der Erwartungen bzw. Zufriedenheit des Patienten.

Als besonderes Behandlungsziel sind die Verbesserung der Gesichtsästhetik nicht nur in der Sagittalen im Bereich des Untergesichtes (Unterkieferregion), sondern auch im Bereich des Mittelgesichtes (Hypoplasie) sowie in der Transversalen zu nennen. Die Veränderung im Bereich des Mittelgesichtes sollte sich auf der Oberlippe und dem Oberlippenrot, der Nase sowie der Mundform bzw. -breite niederschlagen. Diese Behandlungsziele sollten durch zwei Maßnahmen erreicht werden:

  • 1) Eine Oberkieferimpaktion (Verlagerung nach kranial) und gleichzeitig eine Verlagerung nach anterior. Dies führt zu einer Korrektur der vertikalen Disharmonie und zur Harmonisierungg des Mittelgesichtes.
  • 2) Eine Verlagerung des Unterkiefers nach dorsal mit Seitenschwenkung nach links für die Korrektur der sagittalen und transversalen Unstimmigkeiten sowohl in der Okklusion als auch im Weichteilprofil. 

Die Verbesserung der Gesichtsästhetik in der Vertikalen sollte durch eine relative Verkürzung des Untergesichtes erfolgen. Eine Verkürzung des Untergesichtes als kausale Therapie mit entsprechendem Effekt auf die faziale Ästhetik und Lippenfunktion konnte bei diesem Patienten nur durch eine kombiniert kieferorthopädisch-kieferchirurgische Behandlung erreicht werden. Mit alleinigen orthodontischen Maßnahmen wären die angestrebten Ziele hinsichtlich der Ästhetik und Funktion nicht zu erreichen gewesen. Die Dysgnathie war zu gravierend für einen alleinigen dentoalveolären Ausgleich. Als Operation wurde eine bimaxilläre Osteotomie geplant. Zur Verbesserung der Vertikalen war eine Oberkieferimpaktion notwendig. Als Folge der Impaktion sollte der Unterkiefer mit den Kondylen als „Rotationszentrum“ in der Sagittalen und Vertikalen autorotieren; dabei war eine Verlagerung des Pogonion nach ventral und gleichzeitig nach kranial zu erwarten (Abb. 5). Zur vollständigen Korrektur der sagittalen Dysgnathie war zusätzlich eine Unterkieferrückverlagerung geplant.

Therapeutisches Vorgehen

Die Korrektur der angesprochenen Dysgnathie erfolgte in 6 Phasen:

  • 1) „Schienentherapie“: Zur Ermittlung der physiologischen Kondylenposition bzw. Zentrik vor der endgültigen Behandlungsplanung wurde für sechs Wochen eine plane Aufbissschiene im Unterkiefer eingesetzt. Dadurch konnte ein möglicher Zwangsbiss in seinem ganzen Ausmaß dargestellt werden.
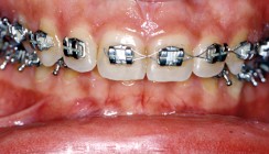
  • 2) Orthodontie: Orthodontie zur Ausformung und Abstimmung der Zahnbögen aufeinander und Dekompensation der skelettalen Dysgnathie. Entscheidend bei der Vorbereitung waren die Protrusion und das Torque der Oberkieferfront. Zur orthodontischen Behandlung wurde eine Multiband-Apparatur (22er Slot-Brackets) verwendet. Eine Lücke zwischen den mittleren Schneidezähnen wurde belassen, damit später eine Verbreiterung der Zähne möglich wird, sodass eine Harmonie in der Frontregion erreicht werden kann.
  • 3) 4–6 Wochen vor dem operativen Eingriff bis zum operativen Eingriff „Schienentherapie“ zur Ermittlung der Kondylenzentrik. Ziel ist die Registrierung des Kiefergelenkes in physiologischer Position (Zentrik).
  • 4) Kieferchirurgie zur Korrektur der skelettalen Dysgnathie. Nach Modelloperation, Festlegung der Verlagerungsstrecke und Herstellung der Splinte, wurde am Oberkiefer eine Le Fort I-Osteotomie durchgeführt, bei der die Maxilla im dorsalen Bereich um 2,5 mm und im ventralen Bereich um 2 mm nach kranial impaktiert und 4 mm nach ventral verlagert wurde, sodass eine posteriore Rotation der gesamten Maxilla eintrat. Durch die Autorotation des Unterkiefers wurde die mesiale Okklusion verrstärkt. Der Rest der Korrektur der Klasse III-Okklusion erfolgte durch die operative Unterkieferrückverlagerung. Die operative Rückverlagerungsstrecke betrug rechts 4,5 mm und links 6mm mit einem Seitenschwenk von 1,5 mm nach links.
  • 5) Orthodontie zur Feineinstellung der Okklusion. Während der Ruhestellung der Unterkiefersegmente (7 Tage postoperativ) wurde im Bereiche der Okklusionsinterferenzen, insbesonders in der Vertikalen, Up-and-down-Gummizüge eingesetzt. Nach Entfernung der maxillomandibulären Fixation erfolgte die Feineinstellung der Okklusion. Diese Phase dauerte ca. fünf Monate.
  • 6) Retention: Im Unterkiefer wurde ein 3-3 Retainer geklebt. Als Retentionsgerät wurden Unter- und Oberkieferplatten eingesetzt. Vor der Retention erfolgte die Größenkorrektur der mittleren Schneidezähne im Oberkiefer.

Ergebnisse und Diskussion

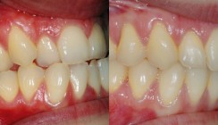
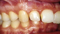
Die intraoralen Bilder zeigen die Situation nach der Behandlung (Abb. 6a–f). Es wurden stabile funktionelle Okklusionsvehältnisse auf beiden Seiten und harmonische Zahnbögen hergestellt. Die Lücke zwischen den Zähnen 11 und 21 wurde mit Kompositmasse geschlossen. Die Eckzähne wurden anstelle der seitlichen Schneidezähne ohne Formveränderung eingestellt Die extraoralen Aufnahmen lassen eine harmonische Gesichtsdrittelung in der Vertikalen und ein harmonisches Profil in der Sagittalen erkennen. Das Mundprofil ist harmonisch bei entspanntem Lippenschluss (Abb. 7a–c). Funktionell lagen keine Einschränkungen bei den Unterkieferbewegungen vor (Tab. 1).

Die FRS-Aufnahme zeigt die Änderungen der Parameter (Abb. 8a und b, Tab. 1). Aufgrund der operativen Impaktion der Maxilla haben sich alle Parameter in der sagittalen und vertikalen Dimension verändert.

Bei der vertikalen Einteilung des knöchernen und Weichteilprofils zeigt sich eine Harmonisierung. Das OPG (Abb. 9) zeigt die Situation nach Ende der Behandlung und vor der Entfernung des Osteosynthesematerials.

Der Patient war mit der erreichten funktionellen und ästhetischen Situation zu Behandlungsabschluss zufrieden.

Literatur

[1] Albino, J.E., Tedesco, L.: Esthetic need for orthodontic treatment. In Melsen B, editor: Current controversies in orthodontics. Chi- cago, , Quintessence Publishing, pp. 11–24 (1994).

[2] Bass, N.M.: Dento-facial orthopaedics in der correction of the skeletal II malocclusion. Br J Orthod 9, 38 (1982).

[3] Berscheid, E., Gangestade, S: The social psychological implications of facial physical attractiveness. Clin Plast Surg 9, 289–296 (1982).

[4] Canut ,J.: Eine Analyse der dentofazialen Ästhetik. Inf Orthod Kieferorthop 28, 83–105 (1996).

[5] Dryland-Vig, K.W.L., Ellis III, E.: Diagnosis and treatment planning for the surgical-orthodontic Patient. Cli Plast Surg 16, 645–658 (1989).

[6] Farkas, L.G., Kolar, J.C.: Anthropometry and art in the aesthetics of women’s face. Clin Plast Surg 14, 599–615 (1987).

[7] Flanary, C.M., Barnwell, G.M., Alexander, J.M.: Patient perceptions of orthognathic surgery. Am J Orthod 88, 137–145 (1985).

[8] Helm, S., Siersbaek-Nielsen, S., Skieller, V., Björk, A.: Skelatal maturation of the hand in relation to maximum puberal growth in body height. Danish Dental Jornal 75, 1223–1234 (1971).

[9] Jacobson, A.: The influence ofchildren’s dentofacial appearance on their social attractiveness as judged by peers and lay adults. Am J Orthod 79, 399–415 (1981).

[10] Kiyak, H.A., Hohl ,T., West, R.A.: Psychologie changes in orthognathic surgery patients: a 24-month follow-up. J Oral Maxillofac Surg 42, 506–512 (1984).

[11] Legan, H.L., Burstone, G.J.: Soft tissue cephalometric analysis for orthognathic surgery. J Oral Surg 38, 744–51 (1980).

[12] McNamara, J.A., Mc Dougall, Jr. P.D., Dierks, J.M.: Arch with development in Class II patients treated with extraoral force and functional jaw orthodontics. Am J Orthodont 52, 353–359 (1966).

[13] Petrovic, A.G., Stutzmann, J.: Reaktionsfähigkeit des tierischen und menschlichen Kondylenknorpels auf Zell- und Molekularebene im Lichte einer kybernetischen Auffassung des faszialen Wachstums. Fortschr Kieferorthop 49, 405–425 (1988).

[14] Schwarz, A.M.: Die Röntgendiagnostik. Urban & Schwarzenberg, Wien (1958).

[15] Scott, O., Kijak, H.A.: Treatment expectation versus outcomes among orthodontic surgery patients. Int J Adult Orthod Orthognath Surg 6, 247–255 (1991).

[16] Watted, N., Witt, E.: NMR study of TNJ changes following functional orthopaedic treatment using the „Würzburg approach“, Europen Orthodontic Society (EOS) 74th Congress (1998).

[17] Watted, N.: Behandlung von Klasse II-Dysgnathien – Funktionskieferorthopädische Therapie unter besonderer Berücksichtigung der dentofazialen Ästhetik, Kieferorthop 13, 193–208 (1999).

[18] Watted, N., Bill, J., Witt, E.: Therapy Concept for the Combined Orthodontic-Surgical Treatment of Angle Class II-Deformities with Short Face Syndrome New Aspects for Surgical Lengthening of the Lower Face. Clinc. Orthod. Res. 3, 78–93 (2000).

[19] Watted, N., Bill, J., Witt, E., Reuther, J.: Lengthening of the lower face Angle class II patients with skelettaly deep bite (short-face- syndrome) through combined orthodontic-surgical treatment. 75th Congress of the European Orthodontic Society Strasbourg, France (1999).

[20] Watted, N., Teuscher, T., Wieber, M.: Vertikaler Gesichtsaufbau und Planung kieferorthopädisch-kieferchirurgischer Kombinationsbehandlungen unter besonderer Berücksichtigung der dentofazialen Ästhetik. Kieferorthop 16, 29–44 (2000).

[21] Witt, E.: Möglichkeiten und Grenzen der kieferorthopädischen Behandlung Erwachsener. Fortschr Kieferorthop 52, 1–7 (1991).

[22] Witt, E.: Behandlungskonzepte. In Miethke, R.R., D. Drescher (Hrsg.): Kleines Lehrbuch der Angle-Klasse II,1 unter besonderer Berücksichtigung der Behandlung. Quintessenz, Berlin (1996).

Autoren: Prof. Dr. Nezar Watted, Priv.-Doz. Dr. Dr. J. Bill, Prof. Dr. Dr. P. Proff, Prof. Dr. E. A. Hussein, Dr. B. Schlomi

Mehr Fachartikel aus Cosmetic Dentistry

ePaper