Parodontologie 28.02.2011

PAR-Risikoanalyse und Konsequenzen für die Praxis



PAR-Risikoanalyse und Konsequenzen für die Praxis

Jede Praxis, die sich auf die Therapie von parodontalen Erkrankungen ausgerichtet hat, kennt das Problem: Wie organisiere ich die zunehmende Zahl an Patienten, die sich in der parodontalen Nachbehandlung befinden und wie erhalte ich die Motivation meiner Patienten? Mit einer individuellen Risikoeinschätzung gelingt es, die Anzahl der Nachbehandlungen zu regulieren und die Mitarbeit des Patienten zu fördern.

Die Ätiologie und Pathogenese der Gingivitis und der Parodontitis ist als plaqueassoziierte Infektionskrankheit bekannt. Noch nicht lückenlos geklärt sind die Ursachen, warum sich beim einzelnen Patienten eine Gingivitis oder Parodontitis entwickelt oder nicht. Eine genetisch festgelegte Immunreaktion und individuelle Risikofaktoren werden für die Entstehung, den Schweregrad und die Verlaufsgeschwindigkeit einer Parodontitis verantwortlich gemacht. Bei dem parodontal erkrankten Patienten liegt der therapeutische Ansatz in der möglichst effizienten Beseitigung der im Biofilm organisierten pathogenen Mikroorganismen im Rahmen einer systematischen Parodontaltherapie. Da die Parodontitis eine chronische Erkrankung ist, wird sich der dauerhafte Erfolg jedoch nur mit einer lebenslangen Nachsorge halten lassen. Untersuchungen zeigen, dass die Durchführung einer unterstützenden Parodontitistherapie (UPT) in Abständen von drei Monaten zu stabilen parodontalen Verhältnissen führt. Dieses sture Raster von einem dreimonatigen Recall führt jedoch schnell zu einer kapazitiven Überlastung der Praxis durch Recallpatienten, aber auch zu einem Nachlassen der Motivation des Patienten.


Manchen Patienten werden die regelmäßigen Termine und auch die damit verbundenen Kosten lästig. Eine Motivationssteigerung ist erreichbar, wenn der Patienten sich individuell eingeschätzt fühlt und er einen Erfolg seiner häuslichen Mundhygieneaktivitäten sieht. Gemäß dem Motto „Leistung muss sich wieder lohnen“, hier durch verringerte Recallintervalle, können dem Patienten Anreize zur Mitarbeit vermittelt werden.

Zur Bestimmung des Parodontitisrisikos, das heißt die Anfälligkeit des einzelnen Patienten für Parodontitis, wurden prädisponierende Faktoren beobachtet und bewertet. Daraus wurden Systematiken zur Risikoeinschätzung entwickelt. Besonders sind hier die Arbeiten von Ramseier und Lang (1999), Lang und Tonetti (2003) und im deutschen Hochschulbereich von Eickholz (2007) zu nennen. Ziel war es, wichtige Faktoren zu analysieren, die maßgeblichen Einfluss auf die entzündliche und immunologische Wirtsantwort bei einer mikrobiellen Exposition des Parodonts haben. Diesen Faktoren sollte gemein sein, dass sie messbar und damit quantitativ bewertbar sind. So kann zum Beispiel der belegte Einflussfaktor Stress und Psyche des Patienten keinen Eingang in eine Beurteilung finden, da er von uns Zahnärzten nur bedingt erkannt werden kann und noch weniger in seiner Interaktion auf parodontale Erkrankungen bewertet werden kann.

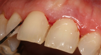
Bluten nach Sondieren

Nach der obligaten Messung der Taschentiefen ist die Aufnahme der Stellen, die ein Bluten nach Sondieren (BOP) aufweisen, zu erfassen (Abb. 1). Das Bluten ist ein sicheres Zeichen einer subgingivalen Entzündung und das Vorhandensein subgingivaler Plaque. Bei einer akuten Parodontitis findet man histologisch eine größere Gefäßdichte und den Verlust von Kollagen im infiltrierten Bindegewebe. Dadurch kommt es schon bei leichter mechanischer Traumatisierung zu einer Blutung. Diese Infektion kann dann wiederum zu einem weiteren Attachmentverlust führen.

Taschentiefen

Pathologisch vertiefte Taschen können einen Hinweis auf einen drohenden weiteren Attachmentverlust geben. Tiefe Taschen mit einer Sondierungstiefe größer 5 mm lassen das Risiko einer subgingivalen Keimbesiedelung und damit einhergehender Infektion deutlich ansteigen. Zudem sind diese Stellen der häuslichen Zahnpflege zumeist nicht zugänglich (Abb. 2 ). Die Zahl der Stellen mit ST > 5mm kann daher als Maß des Parodontitisrisikos herangezogen werden.

Zahnverlust und Knochenabbau

Der bereits eingetretene Zahnverlust ist ein klares Indiz für ein erhöhtes Parodontitisrisiko. Ein Patient, der schon zahlreiche Zähne verloren hat und einen starken Knochenabbau aufweist, muss eine erhöhte Anfälligkeit für parodontale Erkrankungen haben, sonst würde er nicht einen solchen Befund aufweisen (Abb. 3). Die Zahnzahl und der Knochenabbau sind jedoch in Relation zum Lebensalter zu bewerten. Der Knochenabbau wird über einen Index qualitativ bewertet, der den bereits eingetretenen Abbau des parodontalen Knochens ins Verhältnis zum Lebensalter setzt. Es wird an der Stelle des stärks-ten Knochenabbaus im Seitenzahngebiet der prozentuale Knochenabbau im Verhältnis zur Strecke Schmelzzementgrenze – Wurzelspitze bestimmt (Abb. 4). Dieser Wert wird durch das Lebensalter des Patienten dividiert. Daraus errechnet sich der Knochenabbau-Alter-Index. Je höher dieser Index ausfällt, desto größer ist das Parodontitisrisiko. Man muss davon ausgehen, dass ein starker Knochenabbau bei einem jüngeren Menschen für eine hohe Geschwindigkeit der parodontalen Destruktion spricht und damit für ein erhöhtes Parodontitisrisiko.

Rauchen

Rauchen ist ein wesentlicher Risikofaktor für parodontale Erkrankungen. Starkes Rauchen (30 Zigaretten/Tag) erhöht das Risiko für Parodontitis um das Sechsfache (Abb. 5). Um das Risiko eines Nichtrauchers zu erreichen, müssen zehn Jahr Rauchentwöhnung vergangen sein. Teerprodukte und andere toxische Inhaltsstoffe reizen die Gingiva lokal. Nikotin verursacht als Sympathikomimetikum einen reduzierten Stoffwechsel im parodontalen Gewebe und die chemotaktischen Reaktionen der polymorphkernigen Granulozyten wird durch Verbrennungsprodukte beeinträchtigt. Damit ist die regelmäßige anamnestische Erhebung des Rauchverhaltens unbedingt im Rahmen der UPT durchzuführen und dem Patienten die Gefahren des Rauchens immer wieder zu erklären, auch wenn der Patient natürlich über seine Gesundheitsgefährdung durch das Rauchens im Grunde bestens informiert ist.

Systemische und genetische Faktoren

Das Risiko an Parodontitis zu erkranken wird durch verschiedene systemische und genetische Faktoren modelliert. Dies erklärt sich daraus, dass entzündliche und immunologische Reaktionen durch erworbene und verhaltensbedingte Risikofaktoren beeinflusst werden und unter genetischer Kontrolle stehen. Ebenso sind die Metabolismen im Bindegewebe und im Knochen abhängig von systemischen und genetischen Faktoren. So erhöht sich das Parodontitisrisiko bei einem Patienten mit Diabetes mellitus um den Faktor 2 bis 3 (Abb. 6). Ein bis zu 19-faches Risiko wurde bei Patienten mit Polymorphismen im Interleukin-1-Gencluster festgestellt. Neuere Forschungsergebnisse zeigen, dass bei aggressiven Formen der marginalen Parodontitis weitere Anomalien der Immunabwehr eine wichtige Rolle spielen.

Umsetzung in die Praxis

Bei jeder UPT wird eine neue Parodontitisrisikoabschätzung durchgeführt und danach gegebenenfalls das Recallintervall angepasst. Dies geschieht anhand eines schnell zu erfassenden Formblattes, bei dem uns wichtig war, dass das Ergebnis der Untersuchung für den Patienten nachvollziehbar ist. Dieses Schema geht auf den von Eickholz vorgestellten Bogen zurück. Wir haben ihn für unsere Praxis dahingehend modifiziert, dass er schneller zu erfassen und in der Darstellung übersichtlicher ist. Die Einfachheit und der Zeitvorteil bei der Erfassung und Besprechung mit dem Patienten wiegen den Informationsverlust auf und entsprechen den Anforderungen der täglichen Praxis. So ist in Abbildung 7 die Erhebung für Herrn Mustermann dargestellt. Herr Mus-termann (Abb. 8–10) ist 48 Jahre alt und wurde vor zwei Jahren einer chirurgischen PAR-Therapie unterzogen, seitdem ist er regelmäßig im Recall. Allgemeinmedizinisch liegen keine prädisponierenden Faktoren vor. Durch die Operation konnten seine Taschen eliminiert werden und ein Seitenzahn wurde bisher mit einer Brücke ersetzt. Durch die angelaufene Parodontitis kam es jedoch zu einem Knochenabbau-Alter-Index von 0,9. Nach wie vor ist Herr Mustermann ein starker Raucher mit fast zwei Päckchen am Tag, auch die Mundhygiene hat wieder nachgelassen, sodass der BOP bei etwa 20 % liegt.

Herrn Mustermann kann nun schnell anhand des Formblattes erklärt werden, dass er weiterhin ein mittleres Parodontitisrisiko hat und er alle sechs Monate zur UPT kommen sollte. Ebenso kann ihm verdeutlicht werden, dass er durch eine bessere häusliche Mundhygiene und durch eine Rauchentwöhnung sein Parodontitisrisiko auf ein niedriges Niveau senken kann.

Zusammenfassung

Parodontal erkrankte Patienten sind in einem individuell abgestimmten Recall zu führen. Eine lebenslange und konsequent durchgeführte unterstützende Parodontaltherapie kann vor weiterer Destruktion des Zahnhalteapparates schützen.
Für die Praxisorganisation ist ein risikoabhängiges Recallmanagement sinnvoll. Die Erhebung des individuellen Risikos soll einfach, aussagekräftig und verständlich sein.
Eine Differenzierung von Patienten in niedriges, mittleres und hohes Parodontitisrisiko hilft Überbehandlungen zu vermeiden und Schwerpunkte auf die Patientengruppe zu legen, die eine engmaschige Betreuung am nötigsten haben.
Die Motivation des Patienten kann durch eine individuelle Risikoeinschätzung gefördert werden. Er lernt, dass er für das Risiko einer erneuten akuten Erkrankung teilweise selber verantwortlich ist.

Autor: Dr. Sigmar Schnutenhaus


Mehr Fachartikel aus Parodontologie

ePaper