Prophylaxe 08.02.2018
Antiresorptive Medikamente
share
Bedeutung bei parodontologischen Therapien
Unter antiresorptiven Medikamenten versteht man eine Gruppe von Substanzen, die über eine Osteoklastenhemmung den systemischen und lokalen Knochenabbau reduzieren. Aufgrund dieses Wirkungsmechanismus sind die Medikamente bei Erkrankungen indiziert, die mit einer erhöhten Knochenresorption einhergehen. Dazu zählen primäre und sekundäre Formen der Osteoporose, angeborene Knochenerkrankungen, wie Morbus Paget oder Osteogenesis imperfecta, primäre Knochentumoren, wie das Plasmozytom oder ossäre Metastasen solider Tumoren, die insbesondere bei Mamma- und Prostatakarzinomen, aber auch bei Nieren- oder Lungentumoren vorkommen. Aus diesem Indikationsspektrum ergibt sich eine hohe Verordnungsprävalenz antiresorptiver Medikamente.
In Deutschland leiden etwa sechs Millionen Menschen an Osteoporose, Mamma- bzw. Prostatakarzinome sind die häufigsten Krebserkrankungen beim jeweiligen Geschlecht.1 Da antiresorptive Medikamente auch in den Stoffwechsel des Kieferknochens eingreifen und dort relevante Nebenwirkungen verursachen können, spielen sie eine wichtige Rolle bei der Planung und Durchführung zahnmedizinischer und dentalhygienischer Maßnahmen. Vor diesem Hintergrund soll der vorliegende Artikel eine Orientierungshilfe für die Betreuung von Patienten unter antiresorptiver Therapie darstellen.
Antiresorptive Substanzen
Bisphosphonate
Bisphosphonate sind Analoge der natürlichen Pyrophosphate, die bereits seit Jahren zur Hemmung der Calciumausfällung vielen Produkten (z. B. Zahnpasta) zugesetzt werden. Wie Pyrophosphate besitzen Bisphosphonate eine hohe Affinität zum Hydroxylapatit des Knochens und eine hemmende Wirkung auf Osteoklasten. Aufgrund ihrer chemischen Struktur sind Bisphosphonate stabiler als Pyrophosphate, können also enzymatisch nicht gespalten werden und sind daher bioverfügbar. Die unterschiedlichen Bisphosphonatgruppen unterscheiden sich in ihrem molekularen Aufbau. Neben einem gemeinsamen Grundgerüst weisen sie verschiedene Seitenketten auf, welche einerseits die Knochenaffinität und andererseits das Ausmaß der Osteoklastenhemmung, also die antiresorptive Potenz der Substanz, bestimmen. Die heute überwiegend eingesetzten, hochwirksamen Präparate (Abb. 1) enthalten in ihren Seitenketten Stickstoffatome.
Bisphosphonate können oral (p.o.) oder intravenös (i.v.) verabreicht werden (Abb. 1), wobei im Magen-Darm-Trakt nur eine sehr geringe Resorption der Substanzen stattfindet (ca. ein Prozent), die bei gleichzeitiger Nahrungsaufnahme noch weiter reduziert wird. Somit ist die Bioverfügbarkeit oral eingenommener Bisphoshonate deutlich geringer als bei intravenöser Applikation. Die letztlich verfügbaren Bisphosphonate lagern sich am Hydroxylapatit der Knochenoberfläche an, werden dort von den Osteoklasten aufgenommen und hemmen über intrazelluläre Prozesse deren Aktivität. Nach ca. vier Wochen werden die Bisphosphonate in die Knochenmatrix eingebaut. Hier verbleiben sie in Abhängigkeit von der applizierten Substanzgruppe einige Jahre oder Jahrzehnte, ohne weiterhin in gleichem Ausmaß in den Knochenstoffwechsel einzugreifen.
Da Bisphosphonate die Osteoklasten weitgehend selektiv hemmen, d. h. nur eine geringe Wirkung auf Osteozyten und Osteoblasten haben, wird mehr Knochen gebildet und mineralisiert als abgebaut. Es kommt zu einer Hypermineralisation des Knochens und positiven Knochenbilanz. Gleichzeitig hemmen Bisphosphonate die Gefäßneubildung (Neoangiogenese) im Knochen, sodass die Knochendurchblutung reduziert und dadurch die ossäre Regenerationsfähigkeit verringert wird. Insgesamt resultiert aus der Bisphosphonattherapie ein stärker mineralisierter, gefäßarmer und abwehrgeschwächter Knochen.2,3 Tabelle 1 gibt einen Überblick über die in Deutschland zugelassenen Bisphosphonatpräparate, aufsteigend geordnet nach ihrer antiresorptiven Potenz.

Denosumab
Neben Bisphosphonaten wird seit einigen Jahren der monoklonale Antikörper Denosumab (Prolia®; XGEVA®) zur antiresorptiven Behandlung eingesetzt (Abb. 2). Denosumab wird subkutan verabreicht und hemmt (über eine RANK-L/RANK-Interaktion) ebenfalls die Aktivität von Osteoklasten. Anders als Bisphosphonate bindet der Antikörper jedoch nicht an der Knochenoberfläche, sondern verteilt sich im Interzellularraum der Osteoklasten und entfaltet von dort aus seine antiresorptive Wirkung. Denosumab wird auch nicht in die Knochenmatrix eingebaut, sodass der Therapieeffekt nach sechs Monaten vollständig reversibel ist.4
Medikamenten-induzierte Kiefernekrosen (MRONJ)
Die große Bedeutung, die antiresorptiven Medikamenten bei der zahnmedizinischen Behandlung zukommt, liegt im Nebenwirkungsprofil der Substanzen begründet. Marx berichtete im Jahre 2003 als Erster über Knochennekrosen im Kiefer nach Gabe von Pamidronat und Zoledronat bei der Behandlung von Patienten mit Plasmazytomen oder metastasierenden Mammakarzinomen.5 Durch die Medikamenten-induzierte verminderte Stoffwechsel- und Abwehrleistung des Knochens kann es zu Nekrotisierungen im Kiefer kommen. Werden diese primär aseptischen Nekrosen sekundär bakteriell besiedelt, entstehen mitunter ausgedehnte, therapieresistente Knochenläsionen. Die mikrobielle Kontamination des Knochens kann dabei sowohl durch Keimverschleppung über den PA-Spalt oder den Wurzelkanal als auch durch direkte Besiedelung freiliegender Knochenareale aufgrund von Prothesendruckstellen, Schleimhautverletzungen oder Extraktionswunden erfolgen. Da Kiefernekrosen auch nach der Therapie mit Denosumab beschrieben wurden, hat sich in der Literatur die Bezeichnung Medication-releated Osteonecrosis of the Jaw (MRONJ) für die Nebenwirkung am Kiefer durchgesetzt.
Die MRONJ ist definiert als eine länger als acht Wochen bestehende Knochendenudation bei anamnestisch bekannter antiresorptiver Therapie und Ausschluss einer tumortherapeutischen Bestrahlung im Kopf-Hals-Bereich.6 Neben dem Kardinalsymptom freiliegender Knochen können sich die Kiefernekrosen mit Rötungen, Schwellungen sowie Abszess- und Fistelbildung an der umgebenden Schleimhaut manifestieren. Ein häufiges Symptom ist außerdem das s.g. Vincent-Phänomen, eine Hypästhesie im Ausbreitungsgebiet des Nervus alveolaris inferior. Im fortgeschrittenen Stadium können Zahnlockerungen, Sequesterbildung und pathologische Frakturen auftreten.
Da die röntgenologische Darstellung der MRONJ mit persistierenden Extraktionsalveolen und wolkiger Knochenstruktur eher unspezifisch ist, empfiehlt sich zur Diagnostik neben der Anamneseerhebung und der klinischen Inspektion auch die histologische Untersuchung des freiliegenden Knochenabschnitts. Der Nachweis von avaskulären Nekrosen mit bakterieller oder mykotischer Superinfektion erlaubt hierbei die differentialdiagnostische Abgrenzung zu Tumormanifestationen und ossären Metastasen.
Therapeutisch stellt die MRONJ eine große Herausforderung dar. Die konservative Behandlung mit lokal desinfizierenden Maßnahmen unter systemischer Antibiotikatherapie führt nur in ca. 20 Prozent der Fälle zu einer Ausheilung der Nekrose.7 Die radikalchirurgische Behandlung ist mit einer Heilungsrate von 90 Prozent zwar Erfolg versprechender, erfordert jedoch eine vollständige Entfernung des nekrotischen Kieferareals und geht daher oft mit erheblichen funktionellen und ästhetischen Einbußen einher.8
Prophylaxe der MRONJ
Aufgrund der schwierigen Therapierbarkeit der Medikamenten-induzierten Kiefernekrosen kommt ihrer Prophylaxe höchste Priorität während der zahnmedizinischen Betreuung zu. Dabei gilt es, vor und während der antiresorptiven Therapie die auf den Kieferknochen wirkende Belastung mit pathogenen Mikroorganismen möglichst gering zu halten.

Vor Therapiebeginn
Für präventive Maßnahmen vor Beginn der medikamentösen Behandlung gibt die Arbeitsgemeinschaft Wissenschaftlicher Medizinischer Fachgesellschaften (AWMF) in ihrer Leitlinie klare Empfehlungen: Zunächst muss der Patient über sein individuelles Risiko für die Entwicklung einer MRONJ aufgeklärt werden. Der verordnende Arzt (z. B. Onkologe oder Endokrinologe) sollte den Patienten zudem über die Notwendigkeit der Inanspruchnahme zahnmedizinischer Leistungen unter antiresorptiver Medikation informieren. Falls keine routinemäßige zahnmedizinische Betreuung erfolgt, sollte diese angeregt werden. Das zahnmedizinische Behandlungsteam muss über Art und Grund der antiresorptiven Therapie informiert werden, um das MRONJ-Risiko für den Patienten abschätzen und die eigenen Therapiemaßnahmen darauf abstimmen zu können. Zur Unterstützung dieser engen interdisziplinären Kooperation zwischen den Behandlern hat die Arbeitsgemeinschaft Supportive Maßnahmen in der Onkologie, Rehabilitation und Sozialmedizin (ASORS) einen Laufzettel entwickelt, der unter www.onkosupport.de heruntergeladen werden kann. Das Formular ist hier einsehbar.
Weiterhin empfiehlt die AWMF, alle indizierten zahnmedizinischen Maßnahmen zeitnah durchzuführen und – sofern es die Grunderkrankung erlaubt – erst zwei bis drei Wochen nach Abschluss der Zahnsanierung mit der antiresorptiven Therapie zu beginnen. Nicht erhaltungswürdige oder retinierte Zähne mit Perikoronitis sollten entfernt, pulpitische oder avitale Zähne endodontisch behandelt und erkrankte Parodontien einer systematischen PA-Therapie zugeführt werden. Alle Patienten sollten zu einer optimalen Mundhygiene angeleitet werden. Ein besonderes Augenmerk ist auf die Vermeidung von Keimeintrittspforten über Läsionen der Mundschleimhaut zu legen. Dazu sollte herausnehmbarer Zahnersatz auf die Passgenauigkeit von Prothesenbasis und Prothesenrändern kontrolliert und bei Bedarf adaptiert werden. Scharfe Knochenkanten oder Exostosen sollten geglättet werden.
In ihren Therapieempfehlungen weist die AWMF explizit darauf hin, dass zur Prophylaxe der MRONJ prätherapeutisch nur die Maßnahmen durchgeführt werden sollen, welche auch ohne antiresorptive Medikation indiziert wären. Insbesondere von der Extraktion prognose-limitierter, aber erhaltungsfähiger Zähne ist abzusehen.1
Unter antiresorptiver Therapie
Die Empfehlungen zur zahnmedizinischen Behandlung von Patienten während antiresorptiver Therapie sind weitaus weniger konkret, da auch die Evidenz hierzu gering ist. Eine klare Handlungsanweisung gibt es lediglich für operative Eingriffe am Kieferknochen. Hier empfiehlt die AWMF bei Hochrisikopatienten die „prolongierte perioperative systemische Antibiotikagabe“, z. B. mit 1 g Amoxicillin bzw. 600 mg Clindamycin dreimal täglich einen Tag präoperativ bis zum „Abklingen klinischer Zeichen einer Keimbelastung“, was i.d.R. am dritten postoperativen Tag zu erwarten ist. Darüber hinaus sollte ein möglichst atraumatisches Operationsverfahren mit geringer Periostverletzung, sorgfältiger Glättung scharfer Knochenkanten und einem plastischen, epiperiostalen Wundverschluss gewählt werden.1
Zahnarzt und Dentalhygieniker/-in stehen in ihrer täglichen Praxis jedoch häufig vor der Aufgabe, zahnerhaltende Maßnahmen mit potentieller Keimverschleppung in den Kieferknochen bei Patienten unter antiresorptiver Medikation durchzuführen. Hier stellt sich die Frage, ob und in welcher Art Maßnahmen zur Vermeidung einer MRONJ erforderlich sind. Aufgrund fehlender wissenschaftlicher Leitlinien muss in diesen Fällen für jeden Patienten ein individuelles Risikoprofil erstellt werden, an dem sich die präventiven Maßnahmen orientieren. Die Faktoren, die das MRONJ-Risiko beeinflussen sind in Tabelle 2 dargestellt.
Zunächst hat die Grunderkrankung, wegen der die antiresorptiven Medikamente verordnet werden, einen großen Einfluss auf das MRONJ-Risiko. Die AWMF teilt die Patienten daher anhand ihrer Grunderkrankung in drei Risikogruppen ein:
- Patienten, die antiresorptive Medikamente aufgrund einer Krebserkrankung erhalten (i.d.R. Zoledronat i.v. einmal im Monat), entwickeln mit einer Prävalenz von bis zu 20 Prozent eine MRONJ nach zahnmedizinischen Maßnahmen am Kieferknochen und gelten damit als Hochrisikopatienten.
- Zur mittleren Risikogruppe gehören Patienten, welche die Antiresorptiva aufgrund einer sekundären, d.h. therapieinduzierten Osteoporose erhalten (i.d.R. Zoledronat i.v. alle sechs Monate). In dieser Gruppe entwickeln nur ein bis zwei Prozent eine MRONJ nach zahnmedizinischer Behandlung.
- Das geringste Risiko liegt bei Patienten vor, die antiresorptive Medikamente aufgrund einer primären Osteoporose einnehmen (i.d.R. Alendronat oral oder Zoledronat i.v. einmal im Jahr). Hier kommt es nur in 0,1 Prozent der Fälle zu einer MRONJ.
Da auch Personen ohne antiresorptive Medikation mit einer Wahrscheinlichkeit von 0,1 Prozent Kiefernekrosen entwickeln, lässt sich bei Patienten mit primärer Osteoporose kein kausaler Zusammenhang zwischen der Medikamenteneinnahme und dem Auftreten der Nekrose ableiten. Diese Patienten haben demnach kein erhöhtes MRONJ-Risiko gegenüber der Normalbevölkerung.1 Neben der Grunderkrankung spielt die Art der verordneten Substanz eine Rolle für das MRONJ-Risiko. Hierzu konnten Studien zeigen, dass Kiefernekrosen signifikant häufiger unter Therapie mit hochpotenten, stickstoffhaltigen Bisphosphonaten auftreten.9,10 Unter diesen ist Zoledronat für 70 Prozent der MRONJ-Ereignisse verantwortlich, 25 Prozent der Nekrosen treten nach Gabe von Pamidronat auf, während Ibandronat nur fünf Prozent der MRONJ verursacht.11 Unter Denosumab wurde eine noch geringfügig höhere MRONJ-Inzidenz beobachtet als nach Gabe von Zoledronat.12,13
Häufig wird auch die Dauer der antiresorptiven Therapie in die Bewertung des Nekroserisikos einbezogen. Auch wenn die Evidenz hierzu gering ist, fanden einige Studien die Mehrzahl der MRONJ-Ereignisse 30–40 Monate nach Beginn der antiresorptiven Therapie.14,15 Darüber hinaus werden in der Literatur verschiedene Begleittherapien aufgeführt, die das Risiko für die Entstehung einer MRONJ erhöhen. Dazu zählen die systemische Gabe von Kortikosteroiden14 und Zytostatika9 sowie die tumortherapeutische Bestrahlung des Knochens (außer im Kopf-Hals-Bereich).16 Ebenfalls risikoerhöhend wirken Medikamente, welche die Gefäßneubildung hemmen und daher häufig in der Krebstherapie eingesetzt werden. Neben primären Angiogenesehemmern, wie Bevacizumab,17,18 gehört auch das entzündungshemmende, antineoplastisch und antiangiogenetisch wirksame Barbiturat Thalidomid (früher unter dem Handelsnamen Contergan® bekannt) zu dieser Arzneimittelguppe.19
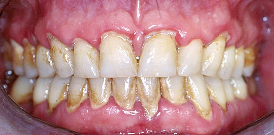
Nicht nur die Medikamentenwirkung selbst, sondern auch Begleiterkrankungen/Begleitzustände der Patienten unter antiresorptiver Therapie konnten in einzelnen Studien und Fallberichten das MRONJ-Risiko steigern. Zu diesen Komorbiditäten gehören: Knochenmetastasen,16 rheumatoide Erkrankungen,20 ein schlecht eingestellter Diabetes mellitus21 und Rauchen22. Schließlich spielt zur Beurteilung des MRONJ-Risikos die Art der geplanten zahnmedizinischen Maßnahme eine entscheidende Rolle. Hierzu konnte die AWMF nur Prothesendruckstellen und Zahnextraktionen ohne antibiotische Abschirmung als Risikofaktoren für die Entstehung von Kiefernekrosen unter antiresorptiver Therapie herausstellen (Abb. 3).1 Demgegenüber ist in der Literatur kein MRONJ-Fall nach Parodontitistherapie bekannt. Während in retrospektiven Studien die geschlossene Parodontitisbehandlung nicht zu einer Zunahme der MRONJ-Ereignisse23 führte, konnten andere Autoren zeigen, dass eine Verbesserung der Mundhygiene und eine parodontale Entzündungsfreiheit, das Risiko für Kiefernekrosen signifikant senken (Abb. 4a und b).24–26 Die AWMF empfiehlt auf dieser Grundlage, die Weiterführung der systematischen Parodontitistherapie auch unter antiresorptiver Therapie.1
Möglichkeiten der MRONJ-Prophylaxe unter antiresorptiver Therapie
Konnte in der zahnärztlichen Praxis ein Patient mit einem hohen MRONJ-Risiko identifiziert werden, bei dem ein invasiver Eingriff am Kieferknochen geplant ist, stehen zur Prophylaxe eines Nekroseereignisses zwei Interventionen zur Verfügung. Zunächst gibt es, wie beschrieben, die Möglichkeit, die Keimbesiedelung des abwehrgeschwächten Knochens durch eine systemische Antibiotikagabe zu vermeiden. Betrachtet man dabei das Nebenwirkungsprofil von Antibiotika, wird deutlich, dass sich der flächenhafte Einsatz dieser Prophylaxemaßnahme ohne Erstellung des individuellen MRONJ-Risikoprofils verbietet. So kommt es bei dem zur Prävention der MRONJ empfohlenen Amoxicillin bei immerhin fünf von 100 behandelten Patienten zur schwerwiegendsten und potentiell lebensbedrohlichen Nebenwirkung, der anaphylaktischen Reaktion. Allergische Spätreaktionen treten sogar deutlich öfter auf.27 Andere häufige Folgeerscheinungen der Antibiotikatherapie sind Veränderungen der Magen-Darmflora mit Durchfällen, Darmentzündungen, wie die pseudomembranöse Colitis oder Soorinfektionen. Auch aufgrund der zunehmenden Resistenzentwicklungen sollte auf den Antibiotikaeinsatz ohne zwingende Indikation verzichtet werden.
Eine weitere Möglichkeit zur MRONJ-Prophylaxe ist das vorübergehende Aussetzen der antiresorptiven Therapie. Auch wenn Bisphosphonate langfristig im Osteoid gespeichert werden, normalisiert sich der Knochenstoffwechsel nach Absetzten der Medikation in Anhängigkeit vom eingesetzten Präparat nach einigen Wochen. Bei Denosumab ist sechs Monate nach der letzten Applikation keine Wirkung mehr nachweisbar. Auf dieser Grundlage räumt die American Association of Oral and Maxillofacial Surgeons (AAOMS) in ihrem Positionspapier ein, dass ein Aussetzten der antiresorptiven Therapie vier Wochen vor einem geplanten chirurgischen Eingriff am Kiefer erwogen werden kann.6 Bevor die Entscheidung für eine Unterbrechung der Medikation getroffen wird, sollte jedoch genau bedacht werden, ob ein solcher „Drug Holiday“ internistisch bzw. onkologisch vertretbar ist. Denn antiresorptive Substanzen sind hochwirksame Arzneimittel. In der Osteoporosetherapie reduzieren sie die Anzahl der Oberschenkelhalsbrüche um 25 Prozent.28 In der Krebsbehandlung verlängern sie die Zeit bis zum Auftreten von Knochenmetastasen, reduzieren Knochenschmerzen sowie die Prävalenz skelettaler Komplikationen, wie pathologischer Frakturen, und verbessern insgesamt die Lebensqualität.29,30
Fazit
Die Ausführungen zeigen, dass bei der zahnmedizinischen Betreuung von Patienten unter antiresorptiver Therapie stets das individuelle MRONJ-Risiko betrachtet werden muss. Vor diesem Hintergrund kann festgehalten werden:
- Patienten, die antiresorptive Medikamente aufgrund einer primären Osteoporose erhalten, haben ein geringes MRONJ-Risiko.
- Patienten, die hochpotente stickstoffhaltige Bisphosphonate oder Denosumab aufgrund maligner Grunderkrankungen erhalten, gelten als Hochrisikopatienten für MRONJ und benötigen eine Antibiotikaprophylaxe bei chirurgischen Eingriffen am Kieferknochen.
- Geschlossene Parodontalbehandlungen werden in der Literatur nicht als eigenständiger Risikofaktor für die Entstehung einer MRONJ genannt.
- Eine generelle antibiotische Abschirmung aller Patienten unter antiresorptiver Therapie vor zahnmedizinischer Behandlung ist kontraindiziert.
Letztlich stellt der Erhalt des natürlichen Zahnes die effektivste und risikoärmste Prophylaxe der MRONJ dar. Eine engmaschige dentalhygienische Betreuung vor, während und nach antiresorptiver Therapie ist daher anzustreben.
Die vollständige Literaturliste gibt es hier.
Der Fachbeitrag ist im Prophylaxe Journal 1/2018 erschienen.
Bitte beachten Sie, dass CME-Tests nach zwei Jahren ihre Gültigkeit verlieren.
