Zahntechnik 08.02.2021

Von der Restauration zum Implantat – Zahntechnik mal andersherum



Von der Restauration zum Implantat – Zahntechnik mal andersherum

Foto: Dr. Jan Spieckermann/Chemnitz, ZTM Karoline Fischer-Brestrich/Dental-Labor D.Schierz GmbH

„Full-Guided-Surgery-“ und „All-on-4/6“-Konzepte eröffnen nicht nur den implantierenden Chirurgen neue Wege, sondern geben auch uns Zahntechnikern die Möglichkeit, die optimale Implantatposition mitzubestimmen. Im folgenden Patientenfall wird durch erfolgreiches Backward Planning eine Sofortversorgung mit einer provisorischen Brücke dargelegt, die noch vor Implantation rein digital im Labor gefertigt wurde.

Jeder Zahntechniker kennt Patientenfälle, bei denen die Implantatposition und -stellung prothetisch unmöglich zu versorgen erscheint und deren Umsetzung letztlich mehr Improvisationsgeschick als lehrbuchgerechtes Vorgehen erfordert. Der Chirurg hat vorrangig die optimale Nutzung der vorhandenen Knochensubstanz im Blick, dabei rückt jedoch die prothetische Umsetzbarkeit gelegentlich in den Hintergrund.

Aktiver Einfluss

Durch digitales Backward Planning und Vollnavigierte Chirurgie bekommen wir als Zahntechniker nun die Gelegenheit, aktiv auf die Implantatposition Einfluss zu nehmen und somit das prothetische und ästhetische Optimum für den Patienten zu erzielen. Dabei unterstützt uns die digitale Technik, die den Austausch zwischen Chirurgie und Zahntechnik stark vereinfacht.

Fallbericht

Beispielhaft für einen derartigen Workflow möchten wir einen Fall darstellen, der nicht nur ein gelungenes Backward Planning aufzeigt, sondern auch die zeitgleiche Sofortversorgung mit einer provisorischen Brücke, welche noch vor Implantation rein digital im Labor gefertigt wurde.

Der Chirurg kontaktierte uns, als Partnerlabor der Überweiserpraxis, mit dem Wunsch eines digitalen Wax-ups des gesamten Unterkiefers. Im Unterkiefer trug der Patient bisher eine insuffiziente, ins Weichgewebe eingelagerte Kunststoffprothese, verankert mit einer gebogenen Klammer an den Restzähnen 33/34. Der Oberkiefer war mit einer konventionellen Modellgussprothese versorgt (Abb. 1 und 2).

Ziel der Behandlung sollte nach Extraktion der Restbezahnung die Sofortversorgung mit einer okklusal verschraubten provisorischen Brücke auf sechs Implantaten sein.

Virtuelle Simulation und Vorpositionierung

Wir erhielten intraorale Scandaten des Unterkiefers sowie Situationsaufnahmen beider Kiefer mit der aktuellen Versorgung. Nach erfolgreichem Import in unser laborinternes 3Shape®-System (Version 2019) wurde zunächst die natürliche Restbezahnung virtuell entfernt, um den Zustand nach Extraktion zu simulieren. Anschließend konnte die geforderte digitale Aufstellung der Unterkieferzähne erfolgen.

Da 3Shape keine biogenerische Vorpositionierung vornimmt, bedarf dieser Schritt mitunter die längste Zeit im gesamten Prozess. Die Zahnreihe kann zunächst komplett bewegt und ausgerichtet werden, zur Feinpositionierung und Herstellung antagonistischer Kontakte wird jedoch die Einzelbearbeitung jedes Zahnes notwendig. Der in der Software inkludierte Artikulator ermöglicht die grundlegende dynamische Simulation nach Mittelwerten sowie, falls vorhanden, nach individuellen Kieferwinkeln. Ebenfalls als hilfreich erweist sich das Hinzufügen weiterer Scans, wie die Situationsaufnahme der aktuellen Versorgung und die vorpositionierten Implantate.

Ein durch den Chirurgen angefertigter Gesichtsscan erleichterte die ästhetische Ausrichtung der Frontzähne (Abb. 3). Bereits bei der Gestaltung der digitalen Aufstellung sollte das Hauptaugenmerk auf den späteren Anforderungen der definitiven Versorgung liegen, um ein möglichst realistisches Abbild der definitiven Restauration zu erstellen, nach welchem der Chirurg die Implantate als tragende Pfeiler optimal positionieren kann.

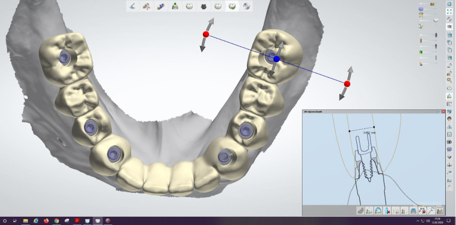
Abschließend wurde die digitale Aufstellung des geplanten Unterkieferzahnersatzes als STL-Datei exportiert und an den Chirurgen übermittelt, damit er diese in seine Implantatplanungssoftware SMOP® implementieren konnte (Abb. 4).

Einprobe

Parallel dazu bat der Chirurg um eine physische Einprobe der virtuellen Aufstellung. Dazu wurde in der CAD-Software an den Zahnkranz eine Basis angefügt, ähnlich einer totalen Prothese, um sie mukosal gelagert beim Patienten einprobieren zu können. Dieses TryIn wurde anschließend aus glasklarem Schienenkunststoff (Merz Dental, M-PM®-Disc) gefräst.

Die Einprobe wies im Patientenmund ein gleichmäßiges stabiles Okklusionsmuster sowie eine harmonische Ästhetik auf. Auch bei der Kontrolle der Phonetik fühlte sich der Patient mit der Einprobe sofort wohl und konnte verständlich sprechen (Abb. 5).

Definitive Festlegung

Da sich die virtuelle Aufstellung auch physisch im Patientenmund bewährt hatte, konnte der Chirurg anhand des importierten Datensatzes nun die Implantatpositionen in der Planungssoftware optimieren und definitiv festgelegen. Es wurden Implantate des Herstellers CAMLOG® (SCREW-LINE Promote plus) sowie das COMFOUR®-System für die Suprakonstruktion gewählt.

Die Fertigung der Bohrschablone für die navigierte Implantation wurde durch den Fertigungsservice von DEDICAM® übernommen. Zusätzlich wurde ein Modellpaar mit DIM-Implantatanalogen gedruckt.

Erstellen des Provisoriums

Vom Chirurgen erhielten wir den Datensatz mit den festgelegten Implantatpositionen, um darauf die provisorische Brücke zu fertigen. Diese sollte im Mund mit den auf Stegaufbauten aufgeschraubten Titankappen verklebt werden.

Die Morphologie der Brücke konnte exakt von der digitalen Voraufstellung übertragen werden. Die Konstruktion wurde lediglich oral für ausreichend Stabilität verstärkt. Der immense Vorteil der digitalen Technik liegt darin, dass der Datensatz des Wax-ups zugleich genutzt werden kann, um daraus mit minimalem Aufwand das Provisorium oder das definitive Gerüst zu gestalten (Abb. 6).

Die provisorische Brücke wurde aus einem 5-schichtigen PMMA-Blank (SHERA® Smile-CAM) gefräst und auf das gedruckte Modell aufgepasst. Zur farblichen Charakterisierung wurden die lichthärtenden Malfarben OptiGlaze™ von GC® verwendet (Abb. 7).

Chirurgische Implantation

Am Tag der geplanten Implantation war ich als Meisterin in der chirurgischen Praxis zugegen und durfte der Operation beiwohnen. Für mich als Handwerkerin ist es immer wieder eine tolle Erfahrung, dem Chirurgen live über die Schulter schauen zu dürfen.Zu Beginn wurden die beiden verbliebenen natürlichen Zähne extrahiert. Anschließend fixierte der Chirurg die Bohrschablone am Kiefer und implantierte vollnavigiert die sechs Implantate (Abb. 8 und 9).

Nach dem Einschrauben der Stegabutments wurden die Titankappen mithilfe eines Silikonschlüssels aufgeschraubt. Bei der Einprobe des Provisoriums gab es geringfügige Passungsdifferenzen, welche durch minimale Nacharbeit an der Brücke jedoch schnell korrigiert waren. Auch bei der vollnavigierten Implantation ist mit Abweichungen bis 1 mm von der geplanten Position zu rechnen. Nachdem die Brücke spannungsfrei in Endposition saß, wurden die Titankappen und Innenflächen der Schraubenkanäle gesäubert und im Mund verklebt. Nach dem Aushärten der Klebeverbindungen und der Entnahme der provisorischen Brücke aus dem Mund zeigten sich noch vereinzelt Fehlstellen zwischen Titankappen und Kunststoffgerüst, welche mit lichthärtendem Kunststoff (VITAVM®LC) ergänzt und versäubert wurden.

Endkontrolle

Bei der Endkontrolle der wieder eingeschraubten Brücke stellte sich ein ebenso idealisiertes Okklusionsmuster dar wie bei der ursprünglichen Einprobe aus Glasklarkunststoff. Der Patient gab ein leichtes Druckgefühl im gingivalen Bereich der extrahierten Zähne an, was auf die Weichgewebsschwellung zurückzuführen war, ansonsten bestätigte er ein angenehmes Tragegefühl. Auch beim Sprechen zeigten sich keine Adaptionsschwierigkeiten an den neuen Zahnersatz. Abschließend wurden die Schraubenkanäle mit Komposit verschlossen. Der Patient, welcher am Morgen zwei Zähne und eine schaukelnde Plast-Prothese im Unterkiefer trug, verließ nun die Praxis mit festsitzendem vollbezahnten Kiefer (Abb. 10).

Fazit

Die beschriebene Kombination aus Backward Planning und Sofortversorgung von Implantatarbeiten bietet sowohl für den Chirurgen und den Patienten als auch für den Zahntechniker immense Vorteile. Navigierte Implantologie eröffnet dem Chirurgen maximale Planbarkeit und hohe Präzision bei der Implantation. Der Patient profitiert ganz klar von der sofortigen ästhetischen und funktionellen Versorgung. Und wir als Zahntechniker erhalten die Gelegenheit, uns die bestmögliche Grundlage für die anzufertigende Prothetik zu schaffen.

Dieser Beitrag ist in ZT Zahntechnik Zeitung erschienen.

Produkte
Mehr Fachartikel aus Zahntechnik

ePaper