Zur Übersicht
Profil
authorImage

PD Dr. Eva Maier

Universitätsklinikum Erlangen
Poliklinik für Zahnerhaltung und Parodontologie
Glückstraße 11
91054 Erlangen

Vita anzeigen

Kurzvita

Vita Dr. Eva Maier 

2008-2013 Studium der Zahnmedizin an der FAU Erlangen-Nürnberg 

Seit 2014 Wissenschaftliche Mitarbeiterin der Klinik für Zahnerhaltung und Parodontologie am Universitätsklinikum Erlangen 

2015 Promotion 

2021-2023 Forschungsaufenthalte an der Zahnklinik des Radboud University Medical Centers in Nijmegen/Niederlande und der School of Dentistry in Birmingham/Vereinigtes Königreich; gefördert durch das Interdisziplinäre Zentrum für Klinische Forschung des Universitätsklinikums Erlangen 

Seit 2022 Oberärztin der Klinik für Zahnerhaltung und Parodontologie am Universitätsklinikum Erlangen und Leiterin der Arbeitsgruppe „Dentale Traumatologie“ 

2025 Habilitation Dr. med. dent. habil.

Artikel auf ZWP online

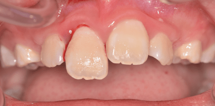
articleImage
Endodontologie 21.11.2025

Pulpadiagnostik und -therapie nach Zahntrauma

Das dentale Trauma stellt Zahnärztinnen und Zahnärzte in der Praxis immer wieder vor mehr oder weniger große Herausforderungen. Dies liegt zum einen daran, dass die Erst- und Weiterversorgung in den meisten Praxen nicht zur Routinebehandlung gehört und eher selten durchgeführt wird.

Artikel in Publikationen

issueImage
BZB

Lost and Found: Zahnfragmente im Weichgewebe der Lippen nach dentalem Trauma

Jahr 2026, Ausgabe 05, Seite 52 Autoren: Dr. Ella Ohlsson, Dr. Adrian Perez, Priv.-Doz. Dr. Mayte Buchbender, Prof. Dr. Kerstin Galler und Priv.-Doz. Dr. Eva Maier

ePaper  |  PDF
issueImage
Jahrbuch Zahnerhaltung

Zahnerhalt eines Oberkieferfrontzahns trotz ausgeprägter Osteolyse mittels orthograder Revisionsbehandlung

Jahr 2026, Ausgabe 26, Seite 110 Autoren: Dr. Jana Friedrich, Priv.-Doz. Dr. Eva Maier, Prof. Dr. Kerstin Galler, Ph.D.

ePaper  |  PDF
issueImage
Endodontie Journal

Pulpadiagnostik und -therapie nach Zahntrauma

Jahr 2025, Ausgabe 04, Seite 6 Autoren: Priv.-Doz. Dr. Eva Maier, Prof. Dr. Kerstin Galler, Ph.D.

ePaper  |  PDF
issueImage
BZB

Zuverlässige Versorgung nach Zahnunfällen

Jahr 2025, Ausgabe 05, Seite 56 Autoren: Prof. Dr. Matthias Widbiller und Dr. Eva Maier

ePaper  |  PDF
issueImage
Endodontie Journal

Zahnerhalt eines Oberkieferfrontzahnes ... trotz ausgeprägter Osteolyse mittels orthograder Revisionsbehandlung

Jahr 2024, Ausgabe 04, Seite 16 Autoren: Dr. Jana Friedrich, Dr. Eva Maier, Prof. Dr. Kerstin Galler, Ph.D.

ePaper  |  PDF
issueImage
BZB

Pulpadiagnostik und -therapie nach Zahntrauma

Jahr 2024, Ausgabe 09, Seite 51 Autoren: Dr. Eva Maier und Prof. Dr. Kerstin Galler, Ph.D.

ePaper  |  PDF
issueImage
BZB

Zahnerhalt eines Oberkieferfrontzahnes trotz ausgeprägter Osteolyse mittels orthograder Revisionsbehandlung

Jahr 2024, Ausgabe 05, Seite 48 Autoren: Dr. Jana Friedrich, Dr. Eva Maier und Prof. Dr. Kerstin Galler, Ph.D.

ePaper  |  PDF
issueImage
Jahrbuch Endodontie

Erstversorgung eines dentalen Traumas

Jahr 2022, Ausgabe 22, Seite 58 Autoren: Dr. Anna-Louisa Holzner, Dr. Eva Maier

ePaper  |  PDF
issueImage
Jahrbuch Endodontie

Erstversorgung eines dentalen Traumas

Jahr 2021, Ausgabe 21, Seite 64 Autoren: Dr. Anna-Louisa Holzner, Dr. Eva Maier

ePaper  |  PDF
issueImage
ZWP spezial

Erstversorgung eines dentalen Traumas - Primärtherapie nach schwerem Sturz nach Eislaufen

Jahr 2020, Ausgabe 12, Seite 14 Autoren: Dr. Anna-Louisa Holzner, Dr. Eva Maier

ePaper  |  PDF
issueImage
Endodontie Journal

Erstversorgung eines dentalen Traumas

Jahr 2020, Ausgabe 02, Seite 6 Autoren: Dr. Anna-Louisa Holzner, Dr. Eva Maier

ePaper  |  PDF

Erwähnungen in Publikationen

issueImage
BZB

Mut zur Niederlassung – BLZK-Präsident Dr. Dr. Wohl beglückwünscht Uni-Absolventen

Jahr 2026, Ausgabe 03, Seite 18 Autoren: Redaktion

ePaper  |  PDF
issueImage
BZB

Inhaltsverzeichnis

Jahr 2024, Ausgabe 09, Seite 4 Autoren: Redaktion

ePaper  |  PDF
issueImage
dentalfresh

VOCO Dental Challenge: Junge Forscherinnen und Forscher überzeugen mit innovativen Lösungsansätzen

Jahr 2016, Ausgabe 03, Seite 36 Autoren: Redaktion

ePaper  |  PDF

Erwähnungen auf ZWP online

ePaper