Endodontologie 21.11.2025

Pulpadiagnostik und -therapie nach Zahntrauma



Das dentale Trauma stellt Zahnärztinnen und Zahnärzte in der Praxis immer wieder vor mehr oder weniger große Herausforderungen. Dies liegt zum einen daran, dass die Erst- und Weiterversorgung in den meisten Praxen nicht zur Routinebehandlung gehört und eher selten durchgeführt wird. Zum anderen ist dies auch dadurch begründet, dass dentale Traumata eine große Bandbreite an Komplexität aufweisen.

Pulpadiagnostik und -therapie nach Zahntrauma

Foto: Zahnklinik 1 Erlangen

Da verschiedene Gewebe, neben den Weichgeweben also Zahnhartsubstanzen, Endodont, Parodont sowie knöcherne Strukturen, je nach Art und Schweregrad der Verletzung in unterschiedlichsten Kombinationen betroffen sein können, reicht die erforderliche Therapie von einfach bis hochkomplex.

Während die Erstversorgung relativ einfachen Grundprinzipien folgt, sind bei der weiteren Behandlungsplanung oft verschiedene Therapieoptionen interdisziplinär abzustimmen. Insbesondere bei jungen Patienten gilt es, Komplikationen zu antizipieren und wenn möglich zu vermeiden oder frühzeitig zu erkennen, um betroffene Zähne längstmöglich zu erhalten. Nicht selten verursachen die Folgen der Verletzungen nach schweren Zahntraumata noch jahrelang Behandlungsbedarf.

Diagnostik des Pulpastatus nach dentalem Trauma

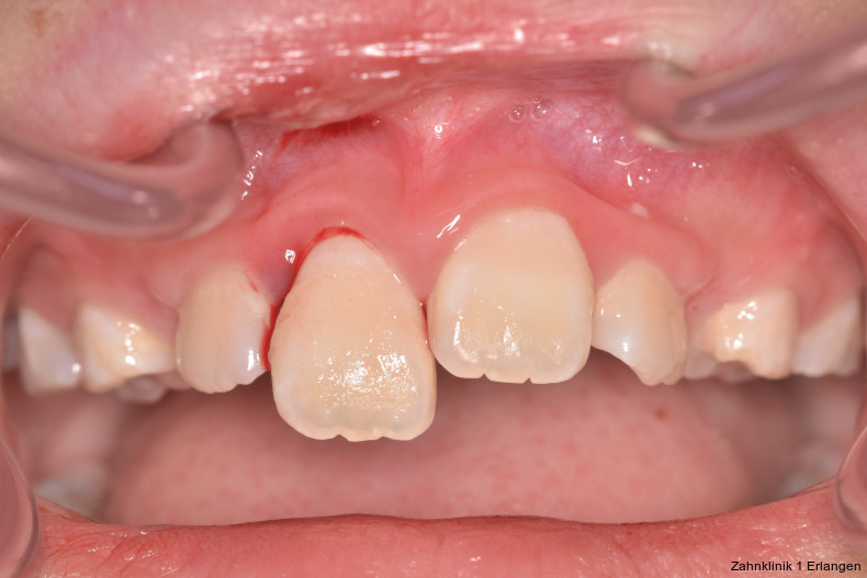
Generell gilt, dass insbesondere nach dentalem Trauma eine systematische und ausführliche Anamnese, Befunderhebung und Therapieplanung notwendig sind. Die wesentlichen Verletzungsarten, die unterschieden werden, gliedern sich in Zahnfrakturen ohne oder mit Pulpabeteiligung sowie in Dislokationsverletzungen, bei denen vor allem die parodontalen Strukturen verletzt sind und die, mit Ausnahme der Konkussion und der Lockerung, durch eine Positionsveränderung der betroffenen Zähne gekennzeichnet sind. 

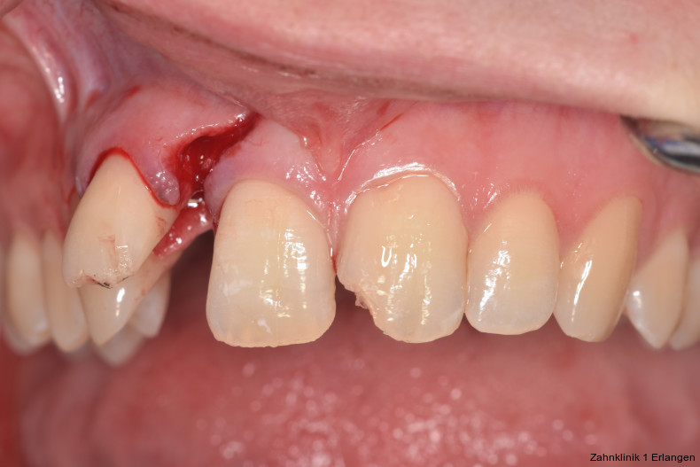
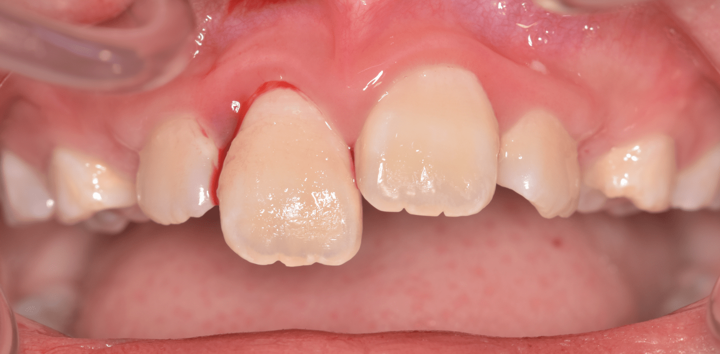
Zu den Zahnfrakturen mit Pulpabeteiligung gehören die in das Dentin reichende unkomplizierte Kronenfraktur sowie die komplizierte Kronenfraktur mit Pulpaexposition. Rein schmelzbegrenzte Frakturen sind hinsichtlich des Pulpastatus als unkritisch einzuschätzen.1 Dislokationsverletzungen betreffen die Pulpa insofern, als das Gefäß-Nerv-Bündel je nach Ausprägung der Positionsveränderung gestaucht, gedehnt oder abgerissen sein kann. Bei Zähnen mit abgeschlossenem Wurzelwachstum geht man davon aus, dass spätestens ab einer Dislokation von 2 mm die Pulpa abgerissen wurde, was die zeitnahe Einleitung der Wurzelkanalbehandlung notwendig macht.2, 3 Bei geringer ausgeprägter Dislokation kommt den Nachkontrollen eine wesentliche Rolle zu, bei denen jeweils dem Pulpastatus besonderes Augenmerk zukommen sollte, um eine Pulpanekrose frühzeitig zu detektieren.

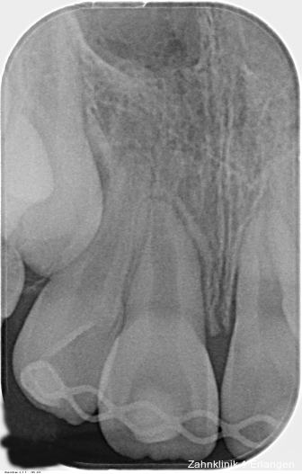
Zu den wesentlichen diagnostischen Verfahren, die zur Erfassung des Pulpastatus herangezogen werden, gehören neben der Inspektion und der röntgenologischen Bildgebung die Sensibilitätsprüfung sowie der Perkussionstest. Der Inspektion kommt insbesondere bei der Erstbehandlung eine wesentliche Rolle zu. Hierbei wird abgeklärt, ob es sich bei Zahnfrakturen um eine schmelzbegrenzte Verletzung handelt, ob das Dentin mitbetroffen und ob zusätzlich die Pulpa exponiert ist. Bei Dislokationsverletzungen wird das Ausmaß der Positionsveränderung erfasst und ob zusätzliche Gewebe wie Knochenstrukturen oder umliegende Weichgewebe betroffen sind. Auch können Farbveränderungen des Zahnes erfasst werden. Die Röntgendiagnostik zum Zeitpunkt des Unfalles gibt Aufschluss über die Größe des Pulpenkavums und das Lumen des Wurzelkanals, den Stand des Wurzelwachstums und die periapikalen Verhältnisse. Des Weiteren finden sich möglicherweise Hinweise auf eine Wurzelfraktur.

Die Sensibilitätsprüfung kann thermisch oder elektrisch erfolgen. Die Prüfung mittels Kälte stellt dabei ein einfaches und gängiges Verfahren dar, lässt aber Raum für Falschinterpretation. Zum einen erfordert sie die Compliance der Patienten, welche nach der Aufregung des Unfalles beeinträchtig sein kann. Vor allem aber sind von Zahntraumata häufig Kinder betroffen, wobei hier die Compliance deutlich altersabhängig ist. Selbst Kinder, die zur Mitarbeit willig sind, können das Gefühl bei der Testung oft nicht adäquat einordnen, weswegen sich die Demonstration an einem nicht betroffenen Zahn empfiehlt, gefolgt von der wiederholten Testung an mehreren Zähnen, im Wechsel mit kaltem als auch, zur Kontrolle der Reaktion, mit nicht gekühltem Schaumstoffpellet. Kältetests erregen die Aδ-Fasern der Pulpa und bestimmen somit die funktionierende Reizübertragung der Nervfasern, nicht aber die Vitalität des Zahnes, die durch die vorhandene Blutversorgung gekennzeichnet ist. Da bei bestehender Reaktion auf den Reiz von einer funktionierenden Durchblutung ausgegangen wird, ist die vorhandene Sensibilität Surrogatparameter, und es wird indirekt auf die Vitalität des Gewebes geschlossen. Es ist jedoch einerseits zu beachten, dass bei Zähnen mit nicht abgeschlossenem Wurzelwachstum die Nervversorgung noch nicht abgeschlossen ist,4 was mit einer erhöhten Reizschwelle und mit der Gefahr der falsch negativen Testung verbunden ist. Andererseits kann nach Zahntrauma die Reaktion auf Sensibilitätstest auch zu mehreren Wochen ausbleiben,5 was nicht notwendigerweise auf eine Pulpanekrose zurückzuführen ist, sondern Ausdruck der traumatischen Schädigung des Gewebes sein kann und somit relevant für die prognostische Einschätzung ist. Im Zuge der Ausheilung verläuft die Regeneration der Nervfasern zudem langsamer als die der Blutgefäße6, 7 und kann in seltenen Fällen ganz ausbleiben, trotz bestehender Vitalität des Zahnes, was eine weitere Limitation der Sensibilitätsprobe aufweist. Kritisch zu sehen ist nicht die ausbleibende Reaktion am Unfalltag, sondern eher die zunächst auslösbare, in den Nachkontrollen dann verzögerte und schließlich nicht mehr provozierbare Reaktion. Sensibilitätsproben sind somit unter Berücksichtigung des Verletzungsmusters stets in den diagnostischen Kontext einzubeziehen.

Elektronische Verfahren zur Testung der Sensibilität sind abgestufter möglich und können insbesondere die Ausheilung nach Trauma differenzierter abbilden als Kältetests.

Der Perkussionstest gibt per se keinen Aufschluss über den Zustand der Pulpa. Schmerzen bei Perkussion sind Ausdruck eines geschädigten Parodonts. Im Rahmen der Nachkontrollen kann jedoch ein positiver Perkussionstest auf eine apikale Parodontitis und somit indirekt auf eine eingetretene Pulpanekrose hinweisen. Weitere wichtige Informationen kann beim Perkussionstest auch der Klopfschall liefern, der nach Dislokationsverletzungen verändert ist (heller bei intrusiver und dumpfer bei lateraler oder extrusiver Dislokation) und der im Rahmen der Nachkontrollen frühzeitig Hinweise auf eine beginnende knöcherne Ersatzresorption liefern kann.

Versorgung von Zahnfrakturen mit Pulpabeteiligung

Unkomplizierte Kronenfrakturen mit Verlauf im Dentin sind als Wundfläche einzuschätzen, bei der es bei anhaltender Exposition zum Mundhöhlenmilieu zur Infektion der Pulpa über freiliegende Dentintubuli kommen kann. Somit ist ein wesentlicher Grundsatz der Erstversorgung, die Dentinwunde abzudecken,3, 8 vor allem bei jungen Patienten mit großlumigen Dentintubuli. Die Abdeckung kann im Zuge der Notfallbehandlung mit Glasionomerzement erfolgen oder mittels fließfähigem Komposit unter Verwendung eines Dentinadhäsivs. Hilfreich im Hinblick auf die spätere Wiederentfernung ist dabei die Verwendung eines falschfarbenen oder opaken Materials, um die provisorische Abdeckung bei der definitiven Versorgung gezielt wieder entfernen zu können. Bei pulpanahen Verletzungen empfiehlt sich die Abdeckung mit einem biokompatiblen Material wie hydraulischem Kalziumsilikatzement oder Kalziumhydroxid im Sinne einer indirekten Überkappung.3 Betroffene Zähne können durch Wiederbefestigung des Zahnfragmentes9 oder mit Komposit restauriert werden, dies kann jedoch auch erst bei der Weiterbehandlung erfolgen.

Bei Pulpaexposition ist die oberste Prämisse der Erhalt der Vitalität des Zahnes. Vor allem bei jungen Patienten und bei nicht abgeschlossenem Wurzelwachstum, aber auch bei erwachsenen Patienten ist die Vitalerhaltung die Methode der Wahl. Dabei spielen die Dauer und die Größe der Exposition keine wesentliche Rolle.10 Die oberste Gewebeschicht sollte zunächst im Sinne einer Mikropulpotomie angefrischt werden, was mit einem Diamantschleifer unter Wasserkühlung durchgeführt werden kann. Nach Blutstillung, zu der Natriumhypochlorit tropfenweise appliziert werden kann, wird das Sistieren der Blutung kontrolliert. Ist dies verifiziert, wird ein biokompatibles Material in direktem Kontakt mit dem Gewebe aufgebracht und der Zahn anschließend adhäsiv verschlossen.10 Dauert die Blutung an, beispielsweise weil der Unfall bereits mehr als 24 Stunden zurückliegt, kann tiefer pulpotomiert werden. Da eine traumatisch geschädigte Pulpa in der Regel vor dem Unfall gesund war, ist die Heilungskapazität meist sehr gut.11 Auch bei bestehender Exposition zur Mundhöhle hin über einen Zeitraum von Tagen kann die Pulpotomie noch hohe Erfolgsraten erzielen.

Tierexperimentelle Studien konnten zeigen, dass selbst bei über mehrere Tage hinweg freiliegender Pulpa Bakterien aus der Mundhöhle nicht tiefer als 2 mm in das Gewebe eindringen konnten.12 Kritisch ist dabei die erfolgreiche Blutstillung, die nach ca. fünf Minuten erreicht sein sollte. Die Erfolgsquoten der Pulpotomie nach Zahntrauma liegen deutlich über denen der direkten Überkappung bei über 90 Prozent. Dies ist auch in der revidierten Fassung der S2k-Leitlinie zum dentalen Trauma bleibender Zähne herausgestellt.3 Es ist zu beachten, dass bei begleitender Dislokationsverletzung die Durchblutung der Pulpa eingeschränkt oder sogar komplett unterbunden sein kann, was das Risiko des Misserfolges vitalerhaltender Maßnahmen signifikant erhöht.13 Daher sollte in solchen Fällen die Pulpektomie durchgeführt werden. Dies gilt ebenso bei umfangreichem Hartsubstanzverlust, wenn die definitive Restauration zusätzlich intrakanalär verankert werden muss.

Wesentlich sind die Nachkontrollen, die bei schwerwiegenderen Verletzungen und hohem Komplikationsrisiko engmaschiger erfolgen sollten. Es bietet sich das Schema an, die Nachkontrollzeiträume jeweils zu verdoppeln. Für die meisten Verletzungsarten sollten nach der Akutbehandlung klinische Kontrollen zu den Zeitpunkten nach drei und sechs Wochen sowie nach drei, sechs und zwölf Monaten durchgeführt werden.3

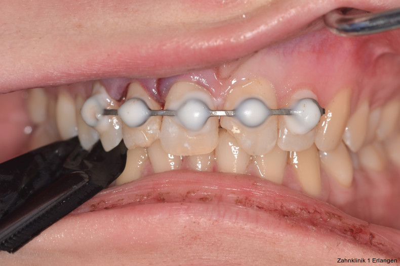
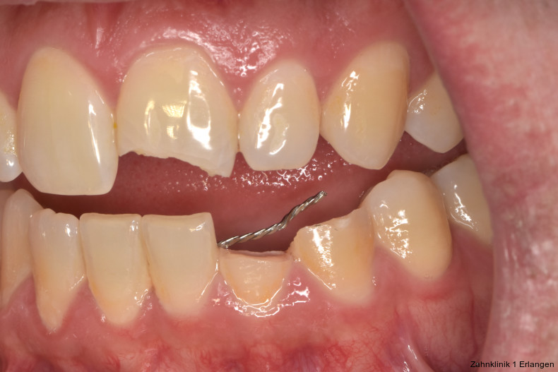
Versorgung von Dislokationsverletzung

Bei ausgeprägten Dislokationsverletzungen stellt die Schädigung des Parodonts die dominierende Verletzung dar, die auch zu Spätfolgen und Komplikationen führen kann. Verletzungen des Endodonts sind im Hinblick auf den Zahnerhalt vergleichsweise unbedeutender, da die Wurzelkanalbehandlung eine Infektion relativ sicher verhindern oder beseitigen kann. Die Erstversorgung schließt im Wesentlichen die Repositionierung und Schienung zur Ruhigstellung der betroffenen Zähne ein.3 Spätestens ab einer Positionsveränderung von 2 mm ist bei Zähnen mit abgeschlossenem Wurzelwachstum sicher von einem irreparablen Schaden der Pulpa auszugehen.2 Wichtig ist es, zeitnah, in der Regel während der Schienungsdauer, die Wurzelkanalbehandlung einzuleiten, um eine bakterielle Besiedelung des Wurzelkanals zu verhindern. Dabei reicht es zunächst aus, den Zahn zu eröffnen, desinfizierend zu spülen und eine medikamentöse Einlage einzubringen. Wird dies unterlassen, entwickeln sich bei entsprechender parodontaler Schädigung infektionsbedingte Resorptionen, die rasch fortschreiten und innerhalb relativ kurzer Zeit bis zum Zahnverlust führen können.

Zusammenfassung

Der Diagnostik zur Erfassung des Pulpastatus kommt nach dentalem Trauma eine wesentliche Rolle zu, sowohl beim Erstbefund als auch bei der Weiterbehandlung und Nachsorge. Nur bei adäquater Erfassung im Verlauf können korrekte Therapieentscheidungen getroffen und Komplikationen weitgehend vermieden werden. Die Vitalerhaltung hat bei Zähnen nach traumatisch bedingter Zahnfraktur mit Pulpaexposition oberste Priorität und ist nach Pulpotomie und Abdeckung mit einem biokompatiblen Material mit sehr hoher Erfolgswahrscheinlichkeit möglich. Bei Zähnen mit ausgeprägter Dislokationsverletzung ist es dringend notwendig, bereits in der Schienungsphase die Wurzelkanalbehandlung einzuleiten, um infektionsbedingte Resorptionen als schwerwiegende und vermeidbare Komplikation abzuwenden.

zur Literaturliste

Endodontie Journal 04/25

Endodontie Journal


Dieser Beitrag ist im EJ Endodontie Journal erschienen.

Das Endodontie Journal richtet sich an alle auf die Endodontie spezialisierten Zahnärzte im deutschsprachigen Raum und ist eine der führenden Zeitschriften in diesem Fachbereich. Das Themenspektrum des vierteljährlich erscheinenden Magazins reicht von praxisorientierten Fallberichten über klinische Studien bis hin zu Updates aus Forschung, Technik, Recht und Praxismanagement.

Jetzt das ePaper lesen.

Mehr Fachartikel aus Endodontologie

ePaper