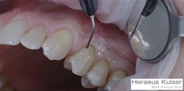
Die Gestaltung natürlich wirkender Restaurationen ist ein Aushängeschild für jede Praxis. Den Weg zu zufriedenstellenden Ergebnissen mit Kompositrestaurationen demonstriert der renommierte Zahnarzt Ulf Krueger-Janson, in einem kurzen Video.
Was ist die KAI-Methode? Sind Fluoretten eine neue Pflanzenart? Und kann ich einen Bürstenschwingkopf im Baumarkt erwerben? Die Website DADDYlicious.de...
Was ist die KAI-Methode? Sind Fluoretten eine neue Pflanzenart? Und kann ich einen Bürstenschwingkopf...
Mitte Mai 2014 fand in Hamburg das 21. IMPLANTOLOGY START UP sowie parallel dazu das 15. EXPERTENSYMPOSIUM statt. Mit dabei war das Unternehmen...
Mitte Mai 2014 fand in Hamburg das 21. IMPLANTOLOGY START UP sowie parallel dazu das 15. EXPERTENSYMPOSIUM...
Seit Jahren wächst der Anteil der Implantatprothetik und immer mehr Patienten wünschen einen festsitzenden Zahnersatz. In einer zweiteiligen...
Seit Jahren wächst der Anteil der Implantatprothetik und immer mehr Patienten wünschen einen...
In Kooperation mit dem Aachen Dental Laser Center bietet die RWTH International Academy den postgradualen Masterstudiengang „Lasers in Dentistry“...
In Kooperation mit dem Aachen Dental Laser Center bietet die RWTH International Academy den...
Nikotin ist Gift – nicht nur für Herz und Lunge, sondern auch für die Zähne. Der Welt-Nichtrauchertag am 31. Mai wurde 1987 von der Weltgesundheitsorganisation...
Nikotin ist Gift – nicht nur für Herz und Lunge, sondern auch für die Zähne. Der Welt-Nichtrauchertag...
Aileen Uhl, Christina Schwarzenberg, Maximilian Buttazoni und Christoph Dickten sind die diesjährigen Zahnmedizinstudierenden, die im September...
Aileen Uhl, Christina Schwarzenberg, Maximilian Buttazoni und Christoph Dickten sind die diesjährigen...
Europäische Zahnärzteverbände fordern, Amalgam als anerkanntes Füllungsmaterial in der Zahnmedizin zu erhalten. Amalgam sei ein langlebiges,...
Europäische Zahnärzteverbände fordern, Amalgam als anerkanntes Füllungsmaterial in der...
In ihrer aktuellen Ausgabe wartet die Fernsehzeitschrift HÖRZU mit dem Aufmacher „Skandal-Akte Zahnarzt“ auf. Das Ganze vor einem beängstigenden...
In ihrer aktuellen Ausgabe wartet die Fernsehzeitschrift HÖRZU mit dem Aufmacher „Skandal-Akte...
Karies im Alter stellt ein wachsendes Problem dar und erfordert seniorengerechte Lösungen, die den spezifischen Bedürfnissen von Älteren gerecht...
Karies im Alter stellt ein wachsendes Problem dar und erfordert seniorengerechte Lösungen,...
Am Wochenende 30./31. Mai fand im direkt am Strand von Rostock-Warnemünde gelegenen Hotel NEPTUN bereits zum siebten Mal der Ostseekongress/Norddeutsche...
Am Wochenende 30./31. Mai fand im direkt am Strand von Rostock-Warnemünde gelegenen Hotel...
Die BARMER GEK gibt immer mehr Geld für die Medikamente ihrer Versicherten aus. Allein im letzten Jahr stiegen die Kosten um rund drei Prozent....
Die BARMER GEK gibt immer mehr Geld für die Medikamente ihrer Versicherten aus. Allein im...
„Zahn trifft Medizin – Zähne und Kiefer im Netzwerk des Körpers“, unter diesem Titel steht der diesjährige 55. Bayerische Zahnärztetag....
„Zahn trifft Medizin – Zähne und Kiefer im Netzwerk des Körpers“, unter diesem Titel...
Das neue „Gesetz zur Beseitigung sozialer Überforderung bei Beitragsschulden in der Krankenversicherung“ regelt eine neue obligatorische...
Das neue „Gesetz zur Beseitigung sozialer Überforderung bei Beitragsschulden in der Krankenversicherung“...
Als erste Länder-Webseite von Heraeus Kulzer ist jetzt die neue deutsche Seite (heraeus-kulzer.de) online gegangen: mit moderner Optik, einfacher...
Als erste Länder-Webseite von Heraeus Kulzer ist jetzt die neue deutsche Seite (heraeus-kulzer.de)...
Da Sie der Verwendung von Google Maps nicht zustimmten, kann leider keine Karte angezeigt werden.
Haben Sie schon unseren Newsletter abonniert?
Um bei unserer Anwendung Formulare zu verwenden, benötigen wir die Zustimmung um einen Token für das Absenden zu setzen.
Datenschutz und Nutzungserlebnis
Wir übermitteln Daten an Drittanbieter, die uns helfen, unser Webangebot zu verbessern und zu finanzieren. In diesem Zusammenhang werden auch Nutzungsprofile gebildet und angereichert, auch außerhalb des Europäischen Wirtschaftsraumes. Hierfür und um bestimmte Dienste zu nachfolgend aufgeführten Zwecken verwenden zu dürfen, benötigen wir Ihre Einwilligung.
Indem Sie "Alle Cookies akzeptieren" klicken, stimmen Sie diesen (jederzeit widerruflich) zu.
Unter "Manuell auswählen" können Sie die Datenverarbeitung individuell personalisieren.
Unter "Nur notwendige akzeptieren" können Sie die Datenverarbeitung ablehnen.
Indem Sie "Speichern" klicken, stimmen Sie diesen (jederzeit widerruflich) zu.
Um Kartendaten in unserer Anwendung darzustellen, nutzen wir den Kartendienst Google Maps. Willigen Sie der Nutzung von Google Maps ein, werden ggf. personenbezogene Daten (Ihre IP-Adresse) von Google erhoben.
Einbinden von Google Maps erlauben
Einige unserer Videoinhalte (bspw. Livestream) werden über die Videoplattform Vimeo bereitgestellt.
Inhalte von Vimeo erlauben
Für ein besseres Benutzererlebnis können unsere Werbeanzeigen personalisiert werden. Um dies zu ermöglichen, wird das erstellen von Cookies vorausgesetzt. Sollten Sie diesem Dienst nicht zustimmen, werden Werbeanzeigen zufällig ausgeliefert.
Personalisierte Werbung erlauben
Um sich bei unserer Anwendung Formulare zu verwenden werden Tokens gesetzt die es uns ermöglichen Spam zu verhindern. Sollten Sie dies ausstellen, ist es Ihnen nicht mehr möglich sich bei uns anzumelden oder zu registrieren.
Anmeldeformulare absenden ermöglichen
Bei der Gestaltung unserer Anwendung benutzen wir Schriftarten von Adobe, diese werden über ein CDN geladen. Sollte Sie diesem Dienst nicht zustimmen wird die Standard Schrift des Systems benutzt. Außerdem könnte es zu Fehlern im allgemeinen Anwendungsdesign kommen.
Inhalte von Adobe erlauben
Sie können Ihre Auswahl jederzeit unter "Cookie-Einstellungen“ am Seitenende ändern.