Branchenmeldungen 29.04.2026

48 Jahre Zahnarztpause – heute gibt’s nur noch Brei



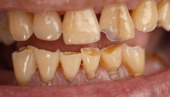
Joghurt, Suppe, Kartoffelbrei. Mehr geht für Yvonne Lillegaard aus Silkeborg nicht mehr. Die 65-Jährige kann kaum noch kauen, viele Zähne sind verloren, der Rest stark geschädigt.

48 Jahre Zahnarztpause – heute gibt’s nur noch Brei

Foto: SYMBOLBILD; SUPERMAO – stock.adobe.com

Fast fünf Jahrzehnte hat sie keine Zahnarztpraxis betreten, aus Angst vor Behandlungen und fehlende finanzielle Mittel hielten sie fern, wie sie gegenüber TV2 Danmark berichtet. Eine umfassende Sanierung würde mehrere tausend Euro kosten. Für die Frührentnerin nicht zu stemmen. Auch FOCUS Online greift den Fall aktuell auf. Rund 40 Prozent der Dänen nehmen zahnärztliche Kontrolltermine nicht regelmäßig wahr, darauf weisen Auswertungen unter Beteiligung der Universität Kopenhagen hin. Je geringer das Einkommen, desto deutlicher zeigt sich dieser Abstand, bis hin zu deutlich selteneren Praxisbesuchen in den unteren Einkommensgruppen.

Hier geht's zur gesamten Story.

Mehr News aus Branchenmeldungen

ePaper