Branchenmeldungen 21.06.2016
Veneers: Welcher IPS e.max Press-Rohling für welchen Patientenfall?
YourDentalExperts stellen im Rahmen der Artikelserie „Expertentipp“ ihre Fälle aus der Praxis vor. ZWP online-Leser erhalten auf der Plattform yourdentalexpert.com die Möglichkeit, von der Expertise ausgewählter Fachkollegen zu profitieren.
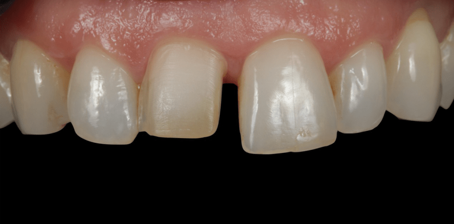
Die Voraussetzung für eine ästhetisch erfolgreiche Restauration ist nicht nur eine gute zahnmedizinische Vorbehandlung und Präparation sowie Abformung. Genauso wichtig ist eine für den jeweiligen Fall sinnvolle Presspellet-Auswahl. Im IPS e.max Press System stehen 67 verschiedene Presspellets zur Auswahl.
Anhand des zur Verfügung stehenden Platzangebotes sowie der Farbe des präparierten Zahnes wird unter Berücksichtigung der angestrebten Zielfarbe eine geeignete Auswahl getroffen. Dies erfordert viel Erfahrung und ein geschultes Auge. Wird die richtige Wahl getroffen, sind ein effizientes Verblenden der Pressgerüste und ein natürliches Ergebnis möglich. So ist z. B. bei Veneers auf vitalen hellen, wenig stark präparierten Zähnen ein Gerüste aus fluoreszierendem e.max Press MT BL2 eine gute Wahl. Die Farbe des präparierten Zahnes wird bei MT (medium Translucency) noch in das Gerüst transportiert und die Helligkeit wirkt einem Vergrauen entgegen. IPS e.max Press HT wäre kontraindiziert, da es vergrauen und nicht genügend Helligkeit aufweisen würde. Ebenso wäre e.max Press MO in diesen Fällen unnötig maskierend.

Daher meine Empfehlung bei Veneers auf vitalen Zähnen: Zielfarbe A2: Pressen mit IPS e.max Press MT B1. Zielfarbe A1: Pressen mit IPS e.max Press MT BL4. Zielfarbe heller als A1: Pressen mit IPS e.max Press MT BL2. Die Verblendung erfolgt dann mit Dentin-, Effekt- und Schmelzmassen in der jeweiligen Zielfarbe.
Autor: ZTM Benjamin Votteler

Pola For Aligners
TRIOS 6
CYTECpro + CONTECpro
BeautiLink SA
mμILLUSION Color Malfarben und -pasten
breCAM.multiCOM+
PALA Mill&Cast
Luxatemp MaxProtect
breCAM.base
Leaf Expander® Hybrid