defaultContestImage

Leider kein Gewinn!

Suchen Sie weiter, die nächste Flasche könnte ein Gewinner sein.

rivetContestImage
Branchenmeldungen 08.10.2021

Kronen aus dem 3D-Drucker: Zukunft oder Realität?



Kronen aus dem 3D-Drucker: Zukunft oder Realität?

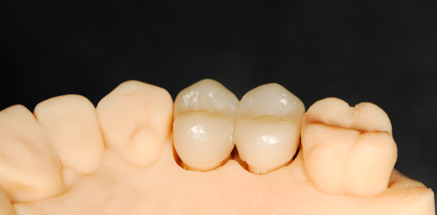
Foto: dentona AG

Das Anwendungsspektrum für den 3D-Drucker wird immer größer. Aktuell steht das Drucken von Kronen und Brücken im Fokus des Interesses. Mehrere Firmen bieten entsprechende Materialien an. Jüngst wurde beispielsweise innerhalb des optiprint-Portfolios ein 3D-Druckharz (optiprint lumina) für Kronen und Brücken vorgestellt. ZA Philipp Silber (Ohlstadt) und ZTM Elmar Beckmann (Weilheim) arbeiten seit einigen Wochen damit. Sie beantworten Fragen zur Relevanz des 3D-Druckers in ihrem Arbeitsalltag und gehen insbesondere auf das Drucken von Kronen und Brücken ein.

Herr Silber, was macht den 3D-Druck aus Ihrer Perspektive als Zahnarzt so interessant?

Philipp Silber: Der 3D-Drucker ist das Bindeglied im digitalen Workflow. Aus meiner Sicht werden sich in den kommenden zehn Jahren Intraoralscanner vollends in der Zahnmedizin etablieren. Schon heute sind viele Praxen auf den digitalen Workflow umgestiegen, auch wir. Und da wir in der digitalen Zahnheilkunde nach wie vor physische Objekte benötigen, müssen diese aus dem Datensatz generiert werden können, z. B. Modelle oder Bohrschablonen. Hier wird der 3D-Drucker zur Schnittstelle. Aufgrund der Materialentwicklungen vergrößert sich der Anwendungsbereich, was den eigenen 3D-Drucker in der Praxis attraktiver werden lässt.

Seit wann arbeiten Sie mit einem Drucker und welches Gerät empfehlen Sie für die Zahnarztpraxis?

Philipp Silber: Wir nutzen seit 2017 einen 3D-Drucker und sind schrittweise in die Technologie eingestiegen. Einen speziellen Drucker kann ich nicht empfehlen, denn dies ist von verschiedenen Faktoren abhängig. Bei der Entscheidung für einen Drucker ist zunächst der Anwendungsbereich zu betrachten. Werden beispielsweise viele KFO-Modelle gedruckt, ist eine große Bauplattform sinnvoll. Wir arbeiten mit dem Freeform 2 (ASIGA), einem relativ großen Drucker, der beispielsweise für Dentallabore gut geeignet ist. Für Chairside-Anwendungen sind erfahrungsgemäß auch kleinere Modelle praktikabel, wie sie von verschiedenen Herstellern angeboten werden. Wichtig ist mir, dass das Gerät offen ist, sodass mit den gewünschten Harzen gedruckt werden kann.

Herr Beckmann, seit wann und in welchen Anwendungsbereichen arbeiten Sie im Dentallabor mit 3D-Drucktechnologien?

Elmar Beckmann: Wir arbeiten seit etwa fünf Jahren mit einem 3D-Drucker und die Anwendungsbereiche erweitern sich stetig. Wie Herr Silber sagt, etabliert sich in den Praxen zunehmend der Intraoralscanner. Wir erhalten mittlerweile zirka 50 Prozent der Aufträge als Datensatz. Daher ist es für uns unerlässlich, den 3D-Druck im Laboralltag zu etablieren. Modelle, Bohrschablonen, Abformlöffel, Modellgussgerüste für das CAD-Speed-Verfahren, Mock-ups etc. Das Spektrum ist breit.

Als Pionieranwender der optiprint-Druckmaterialien sind Sie nah an den Entwicklungen dran. Wie erleben Sie die Arbeit der Werkstoffwissenschaftler und Produktexperten?

Philipp Silber: Aktuell verändert sich der Markt an dentalen Druckmaterialien stark. Viele Hersteller entwickeln Materialien für spezifische Indikationen und dies ist sehr vielversprechend. Wir beobachten, dass mehr auf die Erfordernisse der Praxis bzw. des Labors eingegangen wird. Die Dentalunternehmen haben ihre Erfahrungen gesammelt und können nun darauf aufbauen. In den vergangenen Jahren wurde viel in Forschung und Entwicklung sowie Kommunikation investiert. Die Werkstoffwissenschaftler und Produktentwickler orientieren sich an den Bedürfnissen der Anwender. Dies merken wir u. a. daran, dass die Arbeit mit dem Entwicklungsteam von optiprint und uns als Anwender deutlich enger geworden ist.

Elmar Beckmann: Der 3D-Druck wird andere Fertigungsverfahren nicht ersetzen, aber als ergänzende Technologie immer wichtiger werden, z. B. um Fräsmaschinen zu entlasten und effizienter zu arbeiten. Daher sind wir auf gute Werkstoffe und eine breite Vielfalt angewiesen. Letztlich ist es für uns als Anwender wichtig, dass die neuen Materialien ihr Versprechen halten und hier haben wir bei der optiprint-Familie ein gutes Gefühl.

Herr Silber, Kronen aus dem 3D-Drucker – Wunsch oder Realität?

Philipp Silber: Theoretisch ist es Realität. Praktisch müssen wir die Materialentwicklung betrachten. Harze für das Drucken von Kronen und Brücken werden von verschiedenen Herstellern angeboten. Wir arbeiten schon länger mit den optiprint-Druckmaterialien und stellen immer wieder fest, dass im Unternehmen sorgfältig entwickelt wird und neue Materialien nur mit hohem Sicherheitsaspekt auf den Markt kommen. Beispiel dafür ist optiprint lumina für das Drucken von Kronen und Brücken. Das Material ist in seinen Werkstoffeigenschaften perspektivisch für definitive Restaurationen entwickelt worden, wird jedoch zunächst für Langzeitprovisorien empfohlen. Diese vorsichtige und ehrliche Herangehensweise gefällt mir gut und erachte ich als absolut sinnvoll. Nur weil wir einen 3D-Drucker haben, dürfen wir nicht in „Über“-Aktionismus verfallen, sondern sollten uns schrittweise an definitiven Zahnersatz herantasten.

Wie sieht das im Dentallabor aus? Drucken Sie Kronen und Brücken?

Elmar Beckmann: Langzeitprovisorische Restaurationen drucken wir auch; wie Herr Silber arbeiten wir mit optiprint lumina. Der 3D-Druck ist für uns das optimale Verfahren für das Herstellen provisorischer Restaurationen. Gegenüber dem Fräsen ist das Drucken – abhängig von der Praxis- oder Laborstruktur – effizienter und produktiver; gerade wenn mehrere Restaurationen gefertigt werden müssen. Die Fräsmaschine wird entlastet. Die Fertigung ist wirtschaftlicher und der Zeitaufwand geringer.

Philipp Silber: Gleichwohl sind provisorische Kronen aus dem 3D-Drucker sehr gut in Präzision sowie Werkstoffeigenschaften. Es kann eine adäquate Ästhetik nahe der Vita-Zahnfarben erreicht werden.

Herr Silber, welche Anforderungen stellen Sie an Langzeitprovisorien und kann der 3D-Druck dem gerecht werden?

Philipp Silber: Langzeitprovisorien erfüllen innerhalb der prothetischen Therapie viele Aufgaben und beschränken sich nicht auf den Ersatz fehlender oder defekter Zähne. Zugleich erfüllt das Provisorium diagnostische und therapeutische Aufgaben. Bei uns kommen Langzeitprovisorien oft zur Anwendung, z. B. nach umfangreicher Kronen-Präparation oder endodontischer Behandlung. Entsprechend der Sorgfaltspflicht als Zahnarzt möchte ich die entstandene „Wunde“ im Sinne einer provisorischen Versorgung abdecken und den Zahn schützen. Zudem müssen Kaufunktion, Phonetik und Ästhetik wiederhergestellt werden. Zusammenfassend gilt, Langzeitprovisorien entscheiden oft maßgeblich über Erfolg oder Misserfolg einer Behandlung. Daher lege ich hohen Wert auf die Qualität.

Mit dem 3D-Druck wird eine Möglichkeit geboten, die Kronen effizient herzustellen. Allerdings bedarf es entsprechender Materialien, die hohen Anforderungen standhalten müssen. In erster Linie dürfen die Materialien weder eine allergisierende noch eine toxische Wirkung auf den Zahn und das umliegende Gewebe haben. Zusätzlich zur Biokompatibilität und Ästhetik sind die Passung – Größe des marginalen Randspalts – sowie die Oberflächenqualität wichtig. Auch ausreichende mechanische Festigkeit stellt eine wichtige Anforderung an provisorischen Zahnersatz dar.

Herr Beckmann, wie sind Ihrer Erfahrungen beim Drucken von Kronen und Brücken?

Elmar Beckmann: Wir drucken häufig provisorische Restaurationen und erhalten gutes Feedback aus den Praxen. Die Passung ist hervorragend und die Ästhetik gut. Bei Bedarf könnte die Restauration mit lichthärtendem Komposit individualisiert werden, z. B. im Frontzahnbereich. In den meisten Fällen ist die Politur ausreichend. Restaurationen aus optiprint lumina lassen sich gut und schnell polieren und wirken letztlich im Mund so, wie wir und der Patient es von einer Interimslösung erwarten.

Wie sieht ein typischer Workflow bis zur temporären Krone aus?

Philipp Silber: Die präparierten Zähne werden mit dem Intraoralscanner erfasst; in der Software erfolgt das Konstruieren von Modell und Restaurationen. Es folgt das Nesting in der Druckersoftware. Wir halten uns hier grundsätzlich an die Herstellerangaben. optiprint hat eine ausführliche Gebrauchsanweisung mit wertvollen Tipps für den Praxis- und Laboralltag. Drucken, Post-Processing, Politur – fertig. Das Einsetzen der provisorischen Restauration im Mund erfolgt indikationsbezogen. Soll der Zahn später nachpräpariert werden, ist eine adhäsive Befestigung möglich. Ich bevorzuge die Zementierung, da sich die temporären Kronen später einfacher lösen lassen.

Arbeiten Sie modellfrei?

Philipp Silber: Das wäre theoretisch möglich. Praktisch bin ich sicherheitsbewusst; insbesondere bei neuen Technologien und Materialien. Hier möchte ich zunächst meine Erfahrungen sammeln. Wir drucken daher momentan ein Kontrollmodell, um beispielsweise approximale Kontakte zu prüfen. Haben wir basierend auf unseren Erfahrungen die optimalen Parameter validiert, werden wir wahrscheinlich auf das Drucken eines Modells verzichten.

Elmar Beckmann: Wir handhaben das im Labor ähnlich. Viele Zahnärztinnen und Zahnärzte wünschen sich zur digital gefertigten Restauration ein Modell, und dies drucken wir – auch bei Interimslösungen. Für uns ist das Modell noch in vielen Fällen eine Art „Sicherheitspolster“ im digitalen Workflow.

Herr Silber, kann die gedruckte Krone die kostengünstige Alternative zur Vollkeramik werden?

Philipp Silber: … Alternative ja, Ersatz nein. Wir drucken derzeit langzeitprovisorische Restaurationen und greifen für definitiven Zahnersatz auf klinisch bewährte, vollkeramische Materialien zurück. Perspektivisch ist das Drucken einer definitiven Krone denkbar. Dies wäre eine sinnvolle Erweiterung im Produktportfolio der Praxis, denn es könnte eine mögliche Alternative für den preissensiblen Patienten werden. Aber ich betone: Die gedruckte Restauration wird die vollkeramische Krone im Praxisalltag nicht ersetzen. Ich vermute, dass die gedruckte Krone ihren berechtigten Platz in Praxis und Labor finden wird. Momentan fehlt es an Langzeiterfahrung und an einer validierten klinischen Studienlage. Daher ist die gedruckte Krone als definitive Restauration zwar eine Perspektive, jedoch sind wissenschaftliche Untersuchungen notwendig und für uns als Anwender wünschenswert. Wir benötigen eine zuverlässige, klinische Studienlage, damit wir den 3D-Druck mit der im medizinischen Bereich gebotenen Sicherheit anwenden können.

Vielen Dank für das Gespräch!

Produkte
Mehr News aus Branchenmeldungen

ePaper