Cosmetic Dentistry 04.03.2013

Ästhetische Klasse II-Füllungen in Einschicht-Injektionstechnik



Ästhetische Klasse II-Füllungen in Einschicht-Injektionstechnik

Bei Klasse II-Füllungen hat der Zahnarzt etliche Herausforderungen zu meistern. Die herkömmliche Technik der Kavitätenpräparation und des Füllungsaufbaus macht Kompositfüllungen anfällig für Undichtigkeiten, Absplitterungen und sogar durchgehende Frakturen. Damit steigt auch die Gefahr von Kariesrezidiven, und die Misserfolgsquoten sind insgesamt höher als bei Amalgam. Die klassische Kavitätenpräparation, wie sie zuerst von G.V. Black beschrieben wurde, war seinerzeit ein gewaltiger Fortschritt – aber dieses „seinerzeit“ bezieht sich eben auf das Jahr 1890. Inzwischen mehren sich Anzeichen dafür, dass diese Präparationsform Zahnfrakturen sogar begünstigen könnte – ganz im Gegensatz zu dem verbreiteten Glauben, dass Komposit grundsätzlich die Zahnsubstanz stabilisiert. Außerdem bringt eine Technik, bei der mehrere Kompositschichten in eine tiefe und kastenförmig ausgestaltete Präparation eingebracht und separat polymerisiert werden, das Risiko von Hohlräumen, Spalten und Verwerfungen zwischen den einzelnen Schichten mit sich. Während des Aufbaus der Füllung können sich Restspannungen in Zahn und Füllung bilden, und selbst bei sorgfältigster Technik kommt es durch die sich aufbauenden Spannungen oft zur Schrumpfung des Komposits, mit Randspalten oder Mikrofrakturen des Schmelzes als Folge.

Um den bei Klasse II-Kompositfüllungen so häufig vorkommenden Problemen entgegenzutreten, hat der Autor eine Einschicht-Injektionstechnik für Kompositfüllungen entwickelt, bei der das Risiko von Hohlräumen und Verwerfungen verringert ist und dennoch die strukturelle Integrität des Zahns erhalten bleibt. Stabile und ästhetische Restaurationen erfordern eine alternative Kavitätenpräparation, ein transluzentes Matrizensystem und die richtige Kombination aus pastösem Komposit und fließfähigem Komposit (Flowable). Die Klasse II-Präparation nach Clark ist eine weiterentwickelte Version früherer Modifikationen der ursprünglichen Präparation nach Black wie zum Beispiel die Slot-Präparation (Abb.1). Untersuchungen haben gezeigt, dass sich die Nutzung von fließfähigen Kompositen zunehmend ausbreitet; in einer Studie berichteten über 90 Prozent der befragten Zahnärzte, solche Materialien in den letzten 12 Monaten eingesetzt zu haben.

Modifizierte Präparationen

Die Kavitätenpräparation spielt eine entscheidende Rolle für die Haltbarkeit der Füllung. Die übliche Kastenform bei einer Klasse II-Präparation bedingt scharfe Innenkanten, fördert die Rissbildung, und das Dentin ist frakturgefährdet. Außerdem besteht bei dieser Präparationsform die Gefahr einer unerwünschten Kontraktion des Komposits, weil dieses dazu neigt, sich von den einander gegenüberliegenden Kavitätenwänden zurückzuziehen und dabei Spalten auszubilden oder Spannungen zu erzeugen. Außerdem maximiert die Kastenpräparation den Bereich des Dentinkontakts auf Kosten des Schmelzkontakts. Durch eine neuartige, besonders flache Präparation lassen sich die typischen kontraktionsbedingten Probleme jedoch vermeiden oder wenigstens verringern. Bei einer flachkonkaven Präparation mit Tangentialrändern werden die spitzen Winkel der herkömmlichen Präparationsweise vermieden, und das Komposit sitzt – und das ist neuartig – auf dem Zahn statt im Zahn. Bei dieser flacheren Präparationsmethode kann das Komposit auf einmal statt schichtweise eingebracht werden. Das spart nicht nur Zeit, sondern eliminiert auch die Gefahr einer Spaltbildung zwischen den einzelnen Schichten.

Transluzentes Matrizensystem

Die Einschicht-Injektionstechnik für Füllungen setzt die Verwendung eines neuartigen Matrizensystems voraus, das mit transparenten Matrizen (Bioclear Matrix System, Vertrieb über Fa. American Dental Sys­tems, Vaterstetten) arbeitet. Sie erlauben ein Polymerisieren auch von bukkal und lingual und ermöglichen es, alles Komposit auf einmal einzubringen. Bei herkömmlichen Metallmatrizen ist Polymerisieren dagegen nur direkt von okklusal möglich. Bei transparenten Matrizen geht dies nicht nur von bukkal und lingual, sondern es kann sogar gleichzeitig von beiden Seiten polymerisiert werden (mit zwei Lampen). So kann selbst eine bis zu 7 mm hohe Füllung in einem Schritt gehärtet werden (solange sie axial nicht tiefer als 2mm ist).

Die Einschicht-Injektionstechnik

Vor der eigentlichen Präparation wird, wenn mehr als nur unwesentlich Dentin freiliegt, dieses entweder mit Glasionomerzement oder Dentinbonder beschichtet. Für die Einschicht-Injektionstechnik wird zunächst ein Kunststoffbonder auf das vorbehandelte Dentin und auf den frisch geätzten Schmelz innerhalb der Matrix aufgebracht. Anschließend wird ein fließfähiges Komposit in die kleine „Pfütze“ aus Kunststoffbonder injiziert, danach noch das pastöse Komposit. Die Masse aus Kunststoffbonder und den beiden Kompositmaterialien werden in einem Schritt gemeinsam lichtgehärtet. Die Einschicht-Injektionstechnik zielt auf ein Verhältnis zwischen pastösem und fließfähigem Komposit von 80 : 20 bis 90 : 10 ab; bei herkömmlichen Kastenpräparationen macht das fließfähige Komposit in den Füllungen dagegen nicht selten zwischen 50 und 70 Prozent aus. Ein so hoher Anteil (ab 25 Prozent) kann sich für Zahnarzt wie Patient ungünstig auswirken; in unseren Studien hat sich gezeigt, dass dadurch Frakturen der Randleisten in nicht akzeptabler Häufigkeit auftreten oder sich die gesamte Füllung verschiebt.

Fallbeschreibung

Der hier vorgestellte Fall soll eine Einführung in die Einschicht-Injektionstechnik in der restaurativen Zahnmedizin geben. Bei der 42-jährigen Patientin war unter der defekten Amalgamfüllung in Zahn 45 ein Kariesrezidiv aufgetreten. Außerdem war quer über die distale Randleiste ein beginnender Riss zu verzeichnen. Hinzu kam Sekundärkaries im Dentin in Rissnähe (Abb. 2). Die Patientin konnte sich zwischen einem Porzellanonlay oder einer vierflächigen DOBL-Kompositfüllung entscheiden. Sie entschied sich für Letzteres, weil die Behandlung weniger invasiv, weniger kostspielig und für die Patientin angenehmer sein würde. Zu Behandlungsbeginn wurden „Vorkeile“ zwischen den Zähnen 44, 45 und 46 eingesetzt. Diese sollten die Zähne vorsichtig vorbereiten, die Papille komprimieren und den Kofferdam schützen – eine einfache, aber entscheidende Vorsichtsmaßnahme bei adhäsiven Restaurationen. Vorkeile sollten grundsätzlich bei allen Klasse II-Einschicht-Injektionsfüllungen eingesetzt werden. Um die Abläufe zu vereinfachen und mögliche Kontraktionsprobleme zu begrenzen, wurde zunächst der okklusale Anteil restauriert. Die linguale Hälfte des Zahns wurde ausschließlich mit pastösem Komposit befüllt (Abb. 5), anschließend der bukkale Höcker in pastösem Komposit aufgebaut, womit dann die gesamte okklusale Fläche bedeckt war (Abb. 6). Um die Kontraktion zu verringern, wurde das Komposit zuerst auf die lingualen Höcker aufgebracht und erst anschließend der Abhang des bukkalen Höckers aufgebaut. Nach dem Aufbau des okklusalen Anteils im Komposit wurden dann der Frakturriss quer über die distale Randleiste und die dort aufgetretene Sekundärkaries behandelt.

Im Anschluss wurde mit einem Bohrer (FissurotomyTM, fabrikneues Originalprodukt) der approximale Anteil des Zahns präpariert. Zusätzlich wurde die Fraktur mit dem kleineren Bohrer (Fissurotomy NTF) „verfolgt“. Die fertige Präparation hatte eine flache konkave Form mit Tangentialrand (Abb. 7). Dieser Rand wurde mit einem feinen Diamantbohrer (Shofu PN848F-1) ausgearbeitet. Schließlich wurden die Vorkeile entfernt und die äußeren Bereiche in der Nähe der Kavitätenränder gereinigt und mit einem feinen Sandpapierstreifen leicht angeraut. Die eigentliche Injektion bildet den Abschluss der Behandlung. Es wurden eine Bioclear-Matrix und ein Interproximator der richtigen Größe platziert (Abb. 8). Approximal und auf dem frisch geschnittenen Komposit wurde mit 37-prozentiger Phosphorsäure 20 Sekunden lang geätzt, dann gespült und getrock-net. Auf das Dentin wurde mit einem Mikroapplikator das Adhäsiv AdperTM Single Bond Plus (3M ESPE) aufgebracht und verblasen. Nach Aufbringen von zwei Schichten Kunststoffbonder auf das Dentin war die Kavität bereit für die Injektion des Komposits. Das fließfähige Komposit wurde in den Kunststoffbonder injiziert, bis es die Matrize zu etwa einem Drittel ausfüllte. Anschließend wurde auch noch das pas-töse Komposit injiziert, das den größeren Teil des Kunststoffbundes und des fließfähigen Komposits verdrängte, und zwar nach lateral, weil das pastöse Komposit in der Mitte des approximalen Bereichs injiziert wurde. Während der ganzen Zeit wurde weiterhin Druck auf den Injektionskolben ausgeübt, um das pastöse Komposit nicht zusammen mit der Injektionskanüle wieder aus dem approximalen Bereich „herauszuziehen“. Die Spritze wurde dann beim Entfernen nach okklusal geschwungen, ebenfalls um ein Zurückziehen zu verhindern. Überschüssiges Komposit wurde mit einer Sonde und einem Polierer zügig entfernt, und die Randleisten wurden abgerundet. Das Komposit wurde 10 Sekunden lang von okklusal und weitere 10 Sekunden lang mit einer Doppel-Polymerisationslampe von bukkal und lingual polymerisiert.

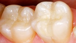
Anschließend wurde die Matrize entfernt, und der Interproximator wurde aufgetrennt und nach lateral entnommen. Die Vorpolitur wurde mit grobem Bimsstein und einem Gummipoliernapf vorgenommen, und die abschließende Formgebung und Politur erfolgte mit verschiedenen Ausarbeitungs- und Polierscheiben (Sof-LexTM Extra Thin, 3M ESPE). Die Schluss-politur wurde mit einem neuen Jazz Polisher (SS White) durchgeführt. Nach Abschluss der Prozedur war die Patientin, die das gesamte Geschehen selbst am Bildschirm hatte verfolgen können, begeistert und merkte an, dass die Füllung natürlicher aussähe als einige ihrer vorhandenen Keramikkronen (Abb. 9 und 10).

Mehr Fachartikel aus Cosmetic Dentistry

ePaper