Zahntechnik 06.07.2015
Typgerechte Zahnaufstellung in der Total- und Hybridprothetik
share
Das bewährte Konzept der Front-Eckzahn-Führung ermöglicht eine „natürliche“ Zahnaufstellung individuell ausgesuchter Prothesenzähne. Anhand zweier Patientenfälle wird das schrittweise Vorgehen bei der Anfertigung von Total- bzw. Hybridprothesen gezeigt.
Ziel der Rehabilitation des Zahnlosen mit Total- oder implantatgestützten Hybridprothesen ist die Verbindung einer guten Funktion (Stabilität, Kaueffizienz, Komfort und Phonation) mit einer optimalen Ästhetik. Hierfür hat sich das Okklusionskonzept der Front-Eckzahn-Führung über Jahrzehnte bewährt.1,2
Vorgangsweise
Voraussetzung für dessen Umsetzung ist – nach der Funktionsabformung mit individuellen Löffeln und der Modellherstellung – eine sorgfältige Anpassung der auf Kunststoff-Schab lonen vorbereiteten Wachswälle im Mund: Die Ausrichtung des Oberkiefer-Wachswalls erfolgt unter Beachtung der Lachlinie und des Bukkalkorridors nach der Camperschen Ebene und der Bipupillarebene, die Mittellinie wird angezeichnet. Mit dem unteren Wachswall wird die vertikale Dimension festgelegt. Der Bereich der unteren Inzisalkanten soll sich im Lippenspalt befinden. Im Seitenzahnbereich sind die Wachswälle im Muskelgleichgewicht zwischen Zunge und Wange einzustellen, um eine stabile Lagerung zu erreichen und eine Einengung des Zungenraums zu vermeiden.
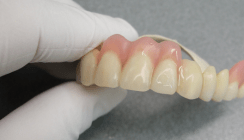
Nach einer Bissregistrierung und Montage der Modelle sowie (evtl. mithilfe von Messinstrumenten und Tabellen) der Auswahl in Größe, Form und Farbe passender Prothesenzähne wird der Oberkiefer nach der Glasplattenregel von Gysi3 aufgestellt: Die Schneidekanten der ersten Inzisivi, die Eckzahnspitzen, die bukkalen Höcker der ersten, beide Höcker der zweiten Prämolaren und die palatinalen Höcker der ersten Molaren berühren die Glasplatte. Die Führung der oberen Schneidezähne soll in etwa die Neigung der gemessenen oder mittelwertigen (40 bis 45 Grad zur Achse-Orbital-Ebene) initialen sagittalen Kondylenbahn haben, die Eckzahnführung soll ca. um 5 Grad flacher sein. Die unteren Frontzähne werden mit der basalen Fläche auf die Mitte des Kieferkamms nach anterior geneigt auf gestellt, sodass sich ein vertikaler und sagittaler Überbiss von 2 bis 3 mm ergibt. Nach Aufstellung der unteren Eckzähne werden die ersten unteren Molaren jeweils am tiefsten Punkt des Kieferkamms, dem Kauzentrum, nach Gerber lingualisiert aufgestellt:4 Der (mesio-)palatinale Höcker des oberen beißt in die zentrale Grube des unteren Molaren, die bukkalen Höcker haben keinen Kontakt und somit funktionellen Freiraum. Analog werden die Prämolaren und, je nach Platzangebot, die zweiten Molaren aufgestellt.
Mit einer Wachsprobe werden die zentrische und exzentrische Okklusion, die Phonation sowie die Ästhetik überprüft und eventuelle Korrekturen vor genommen, bevor die Prothesen fertig – gestellt werden. In der abnehmbaren Implantatprothetik kann mit einem Silikonschlüssel der Wachsaufstellung auf dem Meistermodell das Platzangebot in der Prothese für die Auswahl der Retentionselemente (zum Beispiel Kugelanker, Locator-Anker, Fa. Zest Anchors, unterschiedlicher Dimension oder Stegkonstruktionen) ermittelt werden. Deren Patrizen werden, am besten mit einer Metallverstärkung zur Verhinderung von Frakturen, in die Prothese eingearbeitet.
Zwei Fallbeispiele illustrieren, dass das praxisnahe Konzept mit entsprechenden Zahngarnituren Spielraum für eine individuelle, natürlich wirkende Zahnaufstellung lässt.
Erste Patientin
Vorgeschichte: Im Jahr 2003 wurde – nach Extraktion der Oberkiefer-Restbezahnung (mit Kronen verblockte Eck- und Frontzähne mit Geschieben zur Verankerung einer Skelettprothese) die Oberkiefer-Teil- zur -Totalprothese ergänzt. Ein Jahr später wurde zur bestehenden Unterkiefer-Situation (vorhandene Front- und Eckzähne, Modellgussprothese zum Ersatz der Seitenzähne) eine neue Oberkiefer-Totalprothese angefertigt. Im Jahr 2014 waren auch die parodontal kompromittierten Unterkiefer-Restzähne nicht mehr zu erhalten, die Prothese wurde entsprechend ergänzt.
Die Abbildungen 1a und b stellen die Patientin mit diesen aus ästhetischer und funktioneller Sicht nicht mehr optimalen Prothesen mit nach distal abgesunkener Okklusionsebene und zum Teil starker Attrition der Oberkiefer-Schneidekanten vor. Da sich die Patientin eine gaumenfreie Oberkiefer- und – bei höhergradiger Unterkiefer-Alveolarkammatrophie – eine gut haltende Unterkiefer-Prothese wünschte, wurden nach exakter Planung bei guten Knochenverhältnissen im Oberkiefer vier, im Unterkiefer zwei Implantate gesetzt.
Nach der Einheilphase (mit im Bereich der Implantate ausgeschliffenen und weich unterfütterten Prothesen) wurden nach offener Abformung der Implantate mit angepassten individuellen Löffeln und einem Polyvinylsiloxan (AFFINIS MonoBody, Fa. Coltène/Whaledent) in der beschriebenen Vorgangsweise neue Prothesen angefertigt. Nach einem Jugendfoto (Abb. 2) wurden passende Prothesenzähne (Merz artegral, Fa. Merz) nach den Prinzipien der Front-Eckzahn-Führung auf individuelle Weise aufgestellt. Als Halteelemente wurden Locator-Anker von jeweils der Schleimhautdicke bzw. den Platzverhältnissen entsprechender Bauhöhe gewählt.
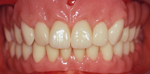
Die folgenden Abbildungen dokumentieren das Behandlungsergebnis: Eingeschraubte Locator-Sekundärteile im Mund (Abb. 3a und b), die Prothesen von der Basis (Abb. 4), die eingegliederten Prothesen (Abb. 5), Seiten- und Vorderansicht (Abb. 6a und b) und der Vergleich der Lippenbilder mit alten und neuen Prothesen (Abb. 7a und b). Die Patientin ist begeistert und wirkt mit ihren neuen Zähnen jünger und frischer.
Zweiter Patient
Dieser Patient trug seine Prothesen (Oberkiefer-Total- und Unterkiefer-Prothese auf zwei Implantaten mit Locator-Ankern, beide mehrmals unterfüttert bzw. adaptiert) schon seit ca. 15 Jahren, als er sich zu einer Neuversorgung entschloss. Im Lauf der Zeit hatte sich durch Attrition die Untergesichtshöhe abgesenkt und die Lachlinie negativiert (Abb. 8a und b, Abb. 9a und b).
Auch in seinem Fall wurden nach den üblichen Vorarbeiten (Abformung mit individuellen Löffeln, im Oberkiefer mit Permlastic, Fa. Kerr, Abb. 10, im Unterkiefer mit AFFINIS MonoBody, Abb. 11a und b), Anpassung von Wachswällen unter Erhöhung der Untergesichtshöhe und Einartikulieren der Modelle) zum Typ passende Prothesenzähne (Premium 6, Heraeus Kulzer) individuell aufgestellt. Da der Patient bei der Wachsprobe ungenügenden Platz für die Zunge und ein „eingesperrtes Gefühl“ bemängelte, wurden die Seitenzähne so weit wie möglich nach bukkal und noch stärker lingualisiert aufgestellt, um interkoronaren Freiraum zu schaffen und außerdem ein Einbeißen der Wange zu verhindern. Nach einer weiteren Wachsprobe mit Kontrolle der zentrischen Okklusion, der Exzentrik (Führung der Schneidezähne bei der Protrusion, der Eckzähne und dann der mittleren Schneidezähne bei der Laterotrusion unter Disklusion aller restlichen Zähne) und der Phonation wurden unter Einpolymerisieren von Metallverstärkungen und naturnaher Ausarbeitung der „Gingiva“ die Prothesen fertiggestellt (Abb. 12) und eingegliedert.
Nach dem üblichen Ausschleifen von Druckstellen und einer Remontage nach einer Einlagerungszeit von ca. zwei Wochen zur Optimierung der Okklusion hat sich der Patient gut an die neue Versorgung gewöhnt. Sein Erscheinungsbild hat sich verbessert, die Zähne wirken „echt“ (Abb. 13a und b).
Diskussion
Für die Umsetzung des Konzepts der Front-Eckzahn-Führung in der Total- und Hybridprothetik steht eine Fülle geeigneter konfektionierter anatomischer und halbanatomischer Zahngarnituren aus hochwertigem Kunststoff zur Verfügung, die sowohl funktionellen als auch kosmetischen Anforderungen von Prothesenträgerinnen und Prothesenträgern verschiedener Altersklassen mit unterschiedlichen Ansprüchen gerecht werden. Ein einfühlsames Eingehen auf die Vorstellungen der Patientinnen und Patienten in Zusammenarbeit mit der Zahntechnikerin/dem Zahntechniker und eine typgerechte, individuelle Zahnaufstellung unter Beachtung der Adaptationskapazität fördern die Akzeptanz der Prothesen.5
Die Front-Eckzahn-Führung in der Total- (und Hybrid-)prothetik bietet folgende Vorteile:6 Einfache Aufstellung der Prothesen, natürliches Erscheinungsbild, schnelles Einschleifen bei der Remontage, Umstellung auf ein vertikales Kaumuster und damit Schonung des Prothesenlagers,7 außerdem Reduktion der Aktivität der Kieferschließer und damit der Parafunktion,8 was wiederum die Belastung des Prothesenlagers und damit die Zahl der notwendigen Unterfütterungen reduziert und die Tragezeit der Prothesen verlängert.9 Ein regelmäßiger Recall mit eventueller Unterfütterung, Abdichten der A-Linie oder dem Austausch von Halteelementen sichert den Langzeiterfolg.
Mein herzlicher Dank gilt den Kieferchirurgen DDr. Stefan Gerhard und DDr. Thomas Ennemoser, die die Implantate gesetzt haben, und Zahntechnikerin Gabriele Pfurtscheller, die mit viel Gespür die Prothesen angefertigt hat.
Hier gibt es die vollständige Literaturliste.
TRIOS 6
CYTECpro + CONTECpro
BeautiLink SA
mμILLUSION Color Malfarben und -pasten
breCAM.multiCOM+
PALA Mill&Cast
Luxatemp MaxProtect
breCAM.base
Leaf Expander® Hybrid
ceraMotion® CADback