Zahntechnik 03.02.2015
Neuer Kunststoff ermöglicht Prognose der prothetischen Versorgung
share
Mit dem Hochleistungskunststoff PEEK (PolyEtherEtherKeton) wurde eine neue Art Material geschaffen, das auf vielen Gebieten der Industrie und Technik den Markt revolutionieren wird. Von Claudia Herrmann, Bad Tölz, Deutschland.
Die fortschreitende Entwicklung im Bereich der Kunststoffe macht auch vor der Zahntechnik nicht halt. Andere Fachgebiete haben schon lange die positiven Materialeigenschaften des Thermoplastes PEEK für sich entdeckt, so wird es z.B. in der Luft- und Raumfahrttechnik und in der Automobilindustrie eingesetzt. Dabei machen sich die Konstrukteure die hohe mechanische Festigkeit sowie das geringe Gewicht zunutze. In der pharmazeutischen Industrie ist PEEK aufgrund seiner hohen Säure- und Basenbeständigkeit ein beliebtes Material, und in der verarbeitenden Industrie wird PEEK aufgrund seiner positiven E-Modul-Werte an Stellen eingesetzt, an denen Metall versagt.
All diese Eigenschaften kommen uns im menschlichen Körper sehr entgegen. Bereits in den 1980er-Jahren hat die orthopädische Chirurgie Forschung zu PEEK betrieben. Seit 15 Jahren werden standardmäßig Hüft-, Knie- und Bandscheibenimplantate aus PEEK eingesetzt, mit herausragendem Erfolg.
Nachdem Verfahren entwickelt wurden, die die Oberflächeneigenschaften positiv verändern, wie Beschichtung mit Hydroxylapatit oder Tricalciumphosphat, hat die Einheilquote sich derart verbessert, dass die Zahl der PEEK-Implantate sehr stark wächst. Mit über vier Millionen gesetzten Implantaten kann man mittlerweile auch auf Langzeiterfahrungen zurückgreifen.
Materialeigenschaften überzeugen
Das geringe Gewicht, eine hohe mechanische Festigkeit, die hohe Säure-Basen-Beständigkeit, ein knochenähnliches E-Modul, die geringe Wärmeleitfähigkeit sowie die hohe Beständigkeit gegen Abnutzung und Korrosion sind hier zu erwähnen. Dazu kommt eine stoßdämpfende Wirkung.
All diese Eigenschaften machen PEEK zu einem idealen Zahnersatzmaterial, dass in Zukunft wohl das Gerüstmaterial der Wahl sein wird.
Zehn Jahre Erfahrung
In der Zahntechnik greifen wir bei den Langzeiterfahrungen auf einen Zeitraum von zehn Jahren zurück. Wir verarbeiten in unserem heimischen Labor PEEK bereits seit acht Jahren und haben in dieser Zeit ca. 500 metallfreie Teleskopprothesen hergestellt.
Aus PEEK kann sowohl festsitzender als auch herausnehmbarer Zahnersatz hergestellt werden, wobei die guten Materialeigenschaften besonders bei der herausnehmbaren Prothetik zum Tragen kommen.
Der Indikationsbereich von PEEK umfasst metallfreie Teleskopprothesen, metallfreie Klammerprothesen sowie Kronen und Brücken.
Bei all diesen Versorgungsmöglichkeiten wird PEEK als Gerüstmaterial verwendet. PEEK ist ein Thermoplast und wird im Spritzgussverfahren verarbeitet. Das heißt, die Teleskopprothese wird in Wachs modelliert und aus einem Stück aus PEEK gespritzt. Es gibt keine Löt- oder Laserstellen.
Im Spritzgusssystem wird der Kunststoff auf 380 °C erhitzt und dadurch verflüssigt, unter hohem Druck in die Form gepresst, wo er anschließend erkaltet. Das Gerüst, der Bügel und die Sekundärkronen bestehen aus einem Stück und können anschließend wie gewohnt verblendet und die Kunststoffzähne mit rosa Kunststoff fixiert werden.
PEEK ist mit allen gängigen Verblendsystemen kompatibel, der Verbund mit rosa Kunststoff ist unproblematisch. In einer Studie der Universität Regensburg wurde die Scherhaftfestigkeit von PEEK zu verschiedenen Verblendsystemen untersucht. Um diesen Test zu bestehen, muss ein Wert von fünf Megapascal erreicht werden. Alle getesteten Verblendsysteme in Verbindung mit PEEK erreichten einen Wert von mindestens 10 MPa, manche deutlich höher. Der Verbund zur Verblendung auf PEEK ist also ausreichend gegeben.
Bei einer Klammerprothese wird die gleiche Verfahrensweise in der Herstellung angewandt. Die Prothese wird vorher in Wachs modelliert und anschliessend im Küvettensystem eingebettet. Der Kunststoff wird erhitzt, verflüssigt und in die Form gepresst. Dafür ist eine spezielle Apparatur nötig. Kronen und Brücken werden ähnlich verarbeitet.
Das Dentallabor muss für die korrekte Verarbeitung von PEEK im Spitzgusssystem speziell geschult sein, da eine Vielzahl von Fehlermöglichkeiten besteht und zu wenig Erfahrung das Ergebnis und vor allem die Qualität des Zahnersatzes erheblich beeinflussen können.
Negative Erfahrungen mit Brüchen und Rissfortpflanzung durch unsachgemässe Herstellung gibt es zur Genüge. Bei korrekter Verarbeitung tritt dies jedoch nicht auf.
Friktion
Bei Teleskopprothesen aus PEEK wird kein zusätzliches Friktionsteil benötigt. Die Primärkrone wird aus Zirkon hergestellt. Die Sekundärkrone samt Gerüst und Bügel besteht aus PEEK. Die Friktion erfolgt mittels Haft/Reibungsprinzip, wie bei einer Goldkrone.
Die Friktion ist dauerhaft und lässt auch nicht nach. Wir haben unsere ersten Teleskopprothesen aus PEEK bereits vor acht Jahren hergestellt und bei den jährlichen Kontrollen konnten wir keinen Friktionsverlust feststellen.
Allerdings sind bestimmte Parameter notwendig, um die Friktion zu steuern. Diese müssen dem Labor bekannt sein. Auch deswegen ist eine spezielle Schulung des Dentallabors extrem wichtig.
PEEK kann nicht mit den üblichen Thermoplasten am zahntechnischen Markt verglichen werden. Diese flexiblen Kunststoffe, die früher eher experimentell getestet wurden, waren für die Verwendung in der Mundhöhle nur provisorisch geeignet. Weder wiesen sie ein ähnliches E-Modul noch die guten Materialeigenschaften in Bezug auf die Säure-Basen-Beständigkeit auf, wodurch Verfärbungen schnell zum Problem wurden. Nach wenigen Jahren war das Material porös und musste ersetzt werden. Die Verfärbungsneigung von PEEK liegt deutlich unter der von Keramik (Universität Jena 2013), und die Langlebigkeit wurde in der Industrie und in der Humanmedizin bereits ausreichend belegt.
Festigkeit
Die mechanische Festigkeit von PEEK wurde in der Studie (LMU München 2009) intensiv untersucht. Dabei wurden 15 formkon- gruente dreigliedrige Brücken aus PEEK hergestellt und am Zwischenglied mit einer Kugel (D = 6 mm) bis zum Versagen belastet. Die Bruchlastwerte der Brücken aus PEEK lagen deutlich über den Durchschnittswerten von Presskeramik, sodass problemlos bis zu 14-gliedrige Brückenkonstruktionen mit einer maximalen Spannweite von zwei Zwischengliedern hergestellt werden können.
Die Haftzugfestigkeit von Verblendkunststoffen an PEEK wurde auch durch verschiedene Studien belegt (Dental Materials 2013 32(3); 441–448).
Von der Firma Bredent wurden ausführliche werkstoffkundliche Untersuchen in Auftrag gegeben (Univ. Jena 2013), die alle positive Ergebnisse im Bezug auf die Materialeigenschaften von PEEK in der Mundhöhle brachten.
Die positiven Eigenschaften von PEEK, wie die hohe Bruchlast, die geringe Verfärbungsneigung und Kompatibilität mit anderen Verblendsystemen und Kunststoffen wurde also ausreichend untersucht und bestätigt.
Immunantwort
Eine weitere herausragende Eigenschaft von PEEK ist, dass dieses Material anscheinend tatsächlich allergiefrei ist. In einer über 15-jährigen Implantationszeit, mit über vier Millionen gesetzten Implantaten, gibt es bisher keine Hinweise, die auf eine allergische Reaktion gegenüber PEEK hindeuten.

PEEK-Polymere entstehen durch Alkylierung von Bisphenol-Salzen.
Patientenfall 1
Der Patient hat im OK und im UK neue Teleskopprothesen aus einer paladiumfreien Bio-Goldlegierung bekommen (Abb. 1–4). Nach mehrwöchiger Tragezeit stellten sich bestimmte Krankheitssymptome ein, sodass er die Prothesen nicht mehr einsetzen konnte. Ein darauffolgender LTT-Bluttest bestätigte eine Unverträglichkeit gegen Gold sowie gegen Chrom. Der Titanstimualtionstest war positiv, sodass nur noch eine metallfreie Versorgung infrage kam.
Im OK waren die Zähne 17, 15, 14, 13, 12, 23 und 25 Teleskope, die restlichen Zähne waren ersetzt. Im UK waren nur noch drei Teleskope an 33, 34 und 43 vorhanden, die Zähne 32, 31, 41 und 42 waren noch intakt, sodass sich eine Freiendsituation mit Lingualbügel darstellte.
Die Primärkronen aus Gold wurden entfernt und durch Primärkronen aus Zirkon ersetzt. Diese waren hier aufgrund der Metallunverträglichkeiten das Mittel der Wahl.
Grundsätzlich ist es aber immer besser, bei Teleskopprothesen aus PEEK die Primärkronen aus Zirkon zu gestalten. Bei Primärkronen aus Metall bildet sich in der Sekundärkrone aus PEEK mit der Zeit dunkler Abrieb. Beim Friktionserhalt spielt das jedoch keine Rolle.
Nach der Einprobe der Zirkonkronen und erfolgter Überabformung wurde das Gerüst in einem Stück auf ein speziell vorbereitetes Einbettmodell in Wachs aufmodelliert und in eine Küvette eingebettet. Das Wachs wurde ausgebrüht und der Kunststoff, der mittlerweile auf 380 °C erhitzt und dadurch verflüssigt wurde, unter Druck in die Form gepresst. Dafür ist ein spezielles Spritzgusssystem notwendig.
Nach einer 24-stündigen Abkühlphase wurde die Prothese ausgearbeitet und mit einem handelsüblichen Kunststoff-Verblendsystem verblendet. Die Seitenzähne wurden, wie gewohnt, in Wachs aufgestellt.
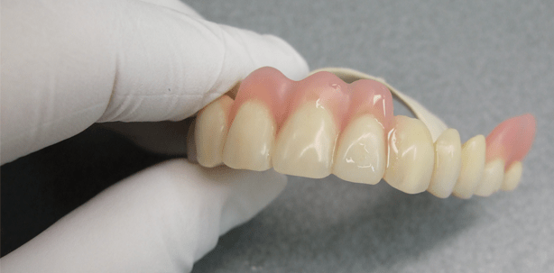
Nach erfolgreicher Wachseinprobe konnte die Prothese fertiggestellt werden (Abb. 5–10). Erwähnenswert ist noch, dass die UK-Prothese im fertiggestellten Zustand lediglich 11,4 Gramm wog.
Der Patient war mit der leichten, ästhetisch schönen und vor allem metallfreien Versorgung sehr zufrieden. Die guten Gleiteigenschaften von PEEK erleichtern ihm das Einsetzen der Prothese.
Wir haben die Erfahrung gemacht, dass eine Prothese aus PEEK deutlich schneller von den Patienten akzeptiert wird, da das Fremdkörpergefühl in weit geringerem Masse auftritt als bei einer Prothese aus Metall.
Der Patient trägt die Prothese bereits seit fünf Jahren und kommt jährlich zur Unterfütterung. Wir konnten bisher keinerlei Verfärbungen und nur moderate Zahnsteinablagerungen feststellen.
Patientenfall 2
Die Patientin äußerte beim Zahnarzt den Wunsch einer absolut metallfreien Versorgung. Hinzu kam noch eine Methylmethacrylat-(MMA-)Allergie.
Im OK wurden die Zähne 17, 14, 13, 23 und 25 und im UK die Zähne 33, 32, 31, 41 und 42 mit Primärkronen aus Zirkon versorgt.
Die restlichen Zähne wurden ersetzt, 12 war Lückenschluss (Abb. 11). Nach erfolgreicher Einprobe der Primärkronen und anschließender Überabformung wurden im OK und im UK zwei herausnehmbare Teleskopprothesen aus PEEK hergestellt. Dabei liegt die erforderliche Mindeststärke leicht über denen von Metall.
Beide Prothesen wurden wieder im Spritzgussverfahren verarbeitet. Bei den eingesetzten Kunststoffen für die Verblendungen, Kunststoffzähne und die rosa Sättel wurden auf MMA-freie Sonderkunststoffe zurückgegriffen. Die Wachseinprobe verlief erfolgreich, sodass die Prothesen fertiggestellt werden konnten (Abb. 12–15). Durch die helle Farbe der Sekundärkonstruktion kann eine deutlich bessere Ästhetik erreicht werden, da eine gewisse Grundtransluzenz vorhanden ist und die Schichtstärke auch etwas dünner gehalten werden kann.
Auffallend war auch hier wieder, wie schnell die Patientin die Prothesen akzeptierte. Das Fremdkörpergefühl ist bei Prothesen aus PEEK deutlich weniger ausgeprägt als bei Prothesen aus Metall.
Resümee
Die fortschreitende Entwicklung im Bereich der Kunststoffe macht auch vor der Zahntechnik nicht halt. Die moderne Zahnmedizin muss offen sein für neue Materialien, die eine qualitativ hochwertigere und anspruchsvollere Versorgung der Patienten zulassen.
Mit PEEK steht uns ein Material zur Verfügung, dass mit seinen positiven Eigenschaften alle Maßstäbe, die wir an ein Gerüstmaterial stellen, über die Maßen erfüllt.
Ein innovatives Material für innovative Zahntechnik!
Pola For Aligners
TRIOS 6
CYTECpro + CONTECpro
BeautiLink SA
mμILLUSION Color Malfarben und -pasten
breCAM.multiCOM+
PALA Mill&Cast
Luxatemp MaxProtect
breCAM.base
Leaf Expander® Hybrid