Implantologie 29.12.2015
Minimalinvasive Implantation mit lateraler Augmentation im ästhetischen Bereich
share
Die Implantologie hat in unserem Zeitalter einen sehr hohen Stellenwert eingenommen und gehört mittlerweile zu den elementaren Bestandteilen jedes zahnärztlichen Behandlungsspektrums. Eine minimalinvasive Implantation im ästhetischen Bereich stellt immer noch eine Herausforderung für jeden Implantologen dar. Im nachfolgenden Fallbericht wird eine Behandlungsmöglichkeit bei einer Nichtanlage der lateralen Incisivi dargestellt.
Zum einen wird der chirurgische Eingriff bei einer minimalinvasiven lateralen Augmentation dargestellt und zum anderen werden die nachfolgenden Behandlungsschritte, die notwendig sind, um ein optimales ästhetisches Ergebnis zu erzielen, erläutert.
Fallbericht
Eine 18-jährige Patientin stellte sich auf Überweisung ihrer Kieferorthopädin in unserer Praxis vor. Laut der Anamnese waren die lateralen Schneidezähne nicht angelegt. Der Lückenschluss sollte mittels Implantaten versorgt werden. Um ein ästhetisch zufriedenstellendes Ergebnis zu erhalten, ist im Rahmen der kieferorthopädischen Behandlung eine Implantation in Regio 12 und 22 (Abb. 1) mit eingeplant worden. Für die Implantatplanung wurde eine Panoramaaufnahme in unserer Praxis angefertigt. Die Ergebnisse der klinischen und der röntgenologischen Vermessung ergaben ein unzureichendes Platzangebot, um eine zu den mittleren Schneidezähnen proportionale implantatgetragene Krone einzusetzen. Zudem sollte der Abstand zwischen den benachbarten Zahnwurzeln Regio 13 und 11 kieferorthopädisch erweitert werden, um die Insertion eines Implantates zu ermöglichen. Nach Abschluss der kieferorthopädischen Behandlung und erneuter radiologischer Kontrolle (Abb. 2) ergab die Vermessung in Regio 12 und 22 eine ausreichende mesiodistale Breite für die Implantatpositionierung, wobei ein Abstand von 1,5 mm zwischen Implantat und benachbarter Zahnwurzel gewährleistet werden konnte. Im Hinblick auf die ästhetisch relevante therapeutische Maßnahme (Abb. 3) wurde die Patientin über die Möglichkeit einer lateralen Knochenaugmentation aufgeklärt, um den vestibulären Knochendefekt auszugleichen (Abb. 4) und ein harmonisches Endergebnis zu erzielen.
Chirurgisches Vorgehen
Der chirurgische Eingriff wurde als Freihandimplantation unter lokaler Anästhesie durchgeführt. Als Erstes folgte ein leicht nach palatinal gesetzter krestaler Schnitt mit einer marginalen Schnittführung um die benachbarten Zähne. Der Mukoperiostlappen wurde vorsichtig abpräpariert und das Implantationsgebiet dargestellt. Es folgte die Mobilisierung der vestibulären Schleimhaut (Abb. 5) und die Implantatbettaufbereitung. Dabei sollte auf die Angulation und Positionierung der einzusetzenden Implantate geachtet werden. Das Implantat muss im „Esthetic Window“ nach Gomez liegen, d.h. 1 mm palatinal zu der tangentialen entlang der verstibulären Wand führenden Verbindungslinie beider benachbarten Zähne (Abb. 6). Um ein ansprechendes ästhetisches Ergebnis zu erzielen, wurde eine laterale Augmentation durchgeführt. Die vestibulär fehlende knöcherne Struktur wurde minimalinvasiv mittels einer lateralen Augmentation aufgebaut. Als Ersatzmaterial wurde das xenogene Knochenersatzmaterial Cerabone® (botiss) verwendet (Abb. 7). Dieses Granulat hat eine Partikelgröße von 0,5–1 mm. Das Material bietet eine hohe Volumenstabilität im Aufbaugebiet sowie eine vollständige Integration in den neu gebildeten Knochen.1
Um eine bindegewebige Einkapselung des Knochenersatzmaterials zu verhindern, ist eine Jason® Membran (botiss) zwischen dem bovinen Knochenersatzmaterial und der verstibulären Schleimhaut vorsichtig appliziert worden. Die Membran ist eine native Kollagenmembran aus porcinem Perikard und dient als lang anhaltende Barrierefunktion für ca. zwölf bis 28 Wochen, bevor sie vollständig abgebaut und durch kollagenfaserreiches Periost ersetzt wird. Diese Zeitdauer ermöglicht eine vollständig knöcherne Defektregeneration des eingesetzten Knochenersatzmaterials. Die Kollagenmembran wurde dem Defekt angepasst (Abb. 8) und mit der Verschlussschraube in der gewünschten Position befestigt (Abb. 9).
Die provisorische Versorgung
Die Wundenden wurden mit Einzelknopfnähten verschlossen (Abb. 10). Als Nahtmaterial wurde Seralon® 5/0 verwendet. Die postoperative Medikation bestand aus einem Antibiotikum (Amoxicillin 750 mg), einer antiseptischen Mundspüllösung Chlorhexamed® 0,2 % sowie schmerzlindernden Tabletten (Ibuprofen 400). Die provisorische Versorgung folgte bei der behandelnden Kieferorthopädin. Dabei wurde die Lücke mit einem nicht am Zahnfleisch anliegenden Pontic versorgt, welches mit einem Bracket an dem KFO-Draht befestigt wurde (Abb. 11).
Die Nahtentfernung erfolgte zehn Tage post OP. Nach einer dreimonatigen Einheilphase wurden die Implantate mit einem minimalinvasiven krestalen Schnitt freigelegt und mit Gingivaformern versorgt (Abb. 14). Dabei wurde die Rolltechnik angewandt, bei der die krestale Schnittführung leicht nach palatinal versetzt und das Weichgewebe nach vestibulär unter der labialen Schleimhaut gerollt wird. Damit erzielt man eine minimalinvasive Verdickung des Zahnfleisches, ohne eine zusätzliche Weichgewebsaugmentation durchzuführen.
In der gleichen Sitzung erfolgte, für die Anfertigung einer provisorischen Krone, eine geschlossene Abformung auf Implantatniveau (Abb. 12–13) mit dem XiVE Übertragungsaufbau PickUp. Um einerseits eine Reizung des umliegenden Gewebes zu vermeiden und andererseits eine bessere Ausformung des Weichgewebes zu erzielen, haben wir uns für eine verschraubte provisorische Versorgung entschieden (Abb. 15). Dafür bietet das Friadent EsthetiCap (DENTSPLY) eine sehr gute und für die Patienten auch kostengünstige Möglichkeit, um ein laborgefertigtes individuelles Provisorium herzustellen. Jedoch müssen die Patienten ebenso über die Nachteile dieses Verfahrens aufgeklärt werden. Bei der Auswahl einer verschraubten Versorgung auf der hier verwendeten Basis im Frontzahnbereich, kann beispielsweise der sichtbare opake Aufbau der Kappe unter der Kunstoffverblendung durchschimmern oder aber auch bei leicht anguliert eingesetzten Implantaten ein zu weit vestibulär liegender Schraubenzugang sichtbar werden. Das letztere müsste intraoral mit einer provisorischen Füllung verschlossen werden. In unserem Fall lag die Basis der EsthetiCap, im Vergleich zu den Nachbarzähnen, zu weit vestibulär. Dies führte dazu, dass die provisorischen Kronen im Vergleich zu den benachbarten Zähnen etwas weiter nach labial standen (Abb. 16). Auf Wunsch der behandelnden Kieferorthopädin sollte jeweils mesial zu den mittleren Schneidezähnen ein Abstand von 0,5 mm belassen werden, sodass die medialen Incisivi noch kieferorthopädisch nach distal-palatinal mobilisiert werden können. Im Laufe der Nachsorgeuntersuchungen konnten wir bereits ein Anwachsen der Gingiva und eine Ausformung der Papille beobachten.
Nach Abschluss der kieferorthopädischen Behandlung wurde der Approximalkontakt zwischen den zentralen und lateralen Incisivi anatomisch aufgebaut und verschlossen. Dieses begünstigte zum einen die Ausformung und das Anwachsen der Interdentalpapille und zum anderen die Stabilisierung der zentralen Schneidezähne. Denn die Schienung der zentralen Incisivi mittels einer Tiefziehschiene, die unsere Patientin von der behandelnden Kieferorthopädin nach Abschluss der Behandlung bekam, war nicht ausreichend genug, um diese an der gewünschten Position zu stabilisieren. Die Divergenz der mittleren Schneidezähne nach distal konnte nur mit dem Aufbau des Kontaktpunktes an den provisorischen Kronen Regio 12 und 22 behoben werden. Damit sich die zentralen Incisivi in der Position stabilisieren, wurde der Abdruck für die definitive Arbeit erst drei Wochen später genommen.
Übertragung des Emergenzprofils
Nach Abschluss der provisorischen Phase folgte eine individuelle Abformung des Emergenzprofils, um eine genaue Übertragung der Weichgewebssituation zu gewährleisten. Dafür wurde ein Implantatanalog in einem Kunststoffbehälter mit Sekundenkleber befestigt. Das nach dem Emergenzprofil ausgeformte Provisorium wurde auf das Laboranalog fixiert (Abb. 17). Anschließend wurde der Blister bis zum Äquator der provisorischen Krone mit Abformmaterial (Impregum™) befüllt (Abb. 18). Nach Aushärtung des Materials wurde das Provisorium rausgeschraubt und der Übertragungspfosten, der für die Abdrucknahme verwendet wurde, in das Laboranalog befestigt. Der Freiraum zwischen Abformmaterial und Übertragungspfosten wurde mit Kunststoff aufgefüllt. Der individualisierte Übertragungspfosten gewährleistet eine detailgetreue Übertragung des Emergenzprofils (Abb. 19). Das gleiche Vorgehen folgte für die Übertragung des zweiten Emergenzprofils. Beide Repliken wurden im Mund eingesetzt und die geschlossene Abformung mit Impregum™ durchgeführt. Mit der Übertragung des Emergenzprofils konnte ein genau der intraoralen Situation angepasstes CAD/CAM-gefrästes Abutment hergestellt werden. Die Auswahl eines CAD/CAM-gefertigten Zirkonabutments begünstigt das Erzielen eines optimalen ästhetischen Ergebnisses. Nach der Modellherstellung und der Montage im Artikulator wurden die Modelle an ASTRA TECH Atlantis™ (Schweden) verschickt, um das individuell gefräste Zirkonabutment herstellen zu lassen (Abb. 20).
Die Vorteile eines individualisierten Abutments sind u.a.:
- die Replikation der natürlichen Zahnform mit einem anatomischen Wurzelquerschnitt,
- eine bessere Ästhetik,
- die Herstellung eines idealen Durchtrittsprofils im Bereich des Weichgewebes sowie
- die präzise Planung der Präparationsgrenze minimal unterhalb des Zahnfleischsaums, welche beim Eingliedern der Krone eine leichte Entfernung der Zementreste und dadurch die Vermeidung des Risikos einer Zementitis ermöglicht.
Um das Endergebnis zu optimieren, wurden Vollkeramikkronen auf Zirkongerüst hergestellt (ZTM B. Roland).
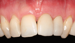
Beim Einsetzen der definitiven Arbeit (Abb. 21) wurden die individuell gefrästen Zirkonabutments mit einem Drehmoment von 24 Ncm befestigt und der Schraubenzugang wurde mit Guttapercha dicht verschlossen. Nach der Anprobe und der Überprüfung der statischen und dynamischen Okklusion der angefertigten Kronen folgte deren definitive Eingliederung mit Ketac™ Cem (3M ESPE). Um eine Irritation des Gewebes zu vermeiden, wurden die Zementüberschüsse sorgfältig entfernt. Eine Nachsorgeuntersuchung erfolgte nach sieben Tagen.
Diskussion
Das wichtigste Kriterium für eine erfolgreiche Implantation mit einem ästhetischen und funktionellen Ergebnis ist und bleibt die richtige Planung – hier wird weder auf die verwendeten Materialien noch auf die chirurgischen und prothetischen Fertigkeiten des behandelnden Zahnarztes näher eingegangen. Zu der Planung gehört u. a. die Bestimmung der optimalen dreidimensionalen Implantatlage. Dafür müssen bestimmte Richtlinien befolgt werden. Der erste wichtige Punkt ist die orovestibuläre Positionierung des Implantates im „Esthetic Window“ nach Gomez. Das Implantat muss 1 mm palatinal zu der tangentialen Verbindungslinie der benachbarten Zähne liegen (Abb. 6). Im Falle eines Knochendefizits, wie im oben angezeigten Fall, ist die Empfehlung, einen Knochenaufbau durchzuführen.2 Dabei kommen je nach Knochendefekt unterschiedliche Knochenaufbautechniken infrage. In dem oben angezeigten Fall kann man das vestibuläre Knochendefizit problemlos minimalinvasiv mit Knochenersatzmaterial und einer Membran aufbauen. Zu der richtigen Implantatposition in der orovestibulären Richtung gehören auch u. a. die Auswahl des richtigen Implantatdurchmessers sowie die korrekte Angulation des Implantates.
Der zweitwichtigste Punkt, auf den man achten muss, ist die Positionierung des Implantates in der transversalen bzw. mesiodistalen Ebene. Dabei muss das Implantat außerhalb der Gefahrenzone liegen. Nach Buser et al. (2005) beträgt diese Zone 1,0–1,5 mm. Man befindet sich in der gefahrlosen Komfortzone, wenn man diesen Abstand zwischen Implantat und benachbarter Zahnwurzel im Frontzahnbereich einhält.3 Andere Autoren empfehlen einen Mindestabstand von 2 mm zwischen Implantathals und Nachbahrzahn (Gehrke et al. 2008). Wenn man diese empfohlenen Richtlinien nicht einhält und die Implantatschulter zu nahe an den Nachbarzähnen liegt, kann dies zu einem interdentalen Knochenabbau führen (Esposito et al. 1993) und darauffolgend zu Weichteilrezessionen. Dies wäre in der ästhetischen Zone ein vehementer Fehler, den es zu vermeiden gilt. Der dritte Punkt, den es zu beachten gilt, ist die Position des Implantats in der koronoapikalen Ebene. Hierzu ist darauf zu achten, dass die Implantatschulter ca. 2 mm apikal der Schmelzzementgrenze der Nachbarzähne liegt. Die drei Kriterien bilden die Basis für ein ästhetisch zufriedenstellendes Ergebnis einer Implantatversorgung im Frontzahnbereich. Dazu kommt das Management des Weichgewebes bzw. des Emergenzprofils – also die Ausformung des Weichgewebes. Dies ist nur möglich, wenn eine ausreichende bukkale Knochenlamelle vorhanden ist, ein Mindestabstand zwischen Implantatschulter und Nachbarzahn eingehalten wird sowie ein vertikaler Abstand von 3–4 mm zwischen dem krestalen Knochen und dem Kontaktpunkt der benachbarten Zahnkrone vorhanden ist.7
Unter Beachtung der o.g. Kriterien kann eine minimalinvasive Implantation mit Augmentation im Frontzahnbereich durchgeführt und ein ästhetisches Ergebnis erzielt werden. Eine Alternativbehandlung wäre die geführte Implantation mittels einer Bohrschablone, und einen zweiphasigen chirurgischen Eingriff zu realisieren. Bei diesem Verfahren wird zuerst der vorhandene Defekt aufgebaut und nach der Einheilphase das Implantat eingesetzt. Diese Methode verlangt jedoch einen zweiphasigen chirurgischen Eingriff und eine, verglichen mit unserer Methode, doppelt so lange Einheilzeit und ist somit nicht minimalinvasiv.
Die Literaturliste kann hier heruntergeladen werden.
 
                             
                                         
                                         
                                                                                     
                 
                 
                 
                 
                 
                 
                 
                 
                 
                 
                 
                 
                 
                 
                 
                 
                 
                 
                 
                 
                 
                                 
                         
                         
                         
                         
                        