Branchenmeldungen 17.02.2026

Symbionic Teeth: Der Zahnersatz mit der Schutzbarriere

PATENT MEDICAL – Natürliche Zähne sind im Weichgewebsbereich von einer Schutzbarriere umgeben. Diese verhindert, dass Bakterien in das umliegende Gewebe eindringen. Geht ein Zahn verloren, wird auch dessen Schutzbarriere zerstört. Dentale Implantate sind heute nicht in der Lage, diesen Schutzmechanismus wiederherzustellen. 

Symbionic Teeth: Der Zahnersatz mit der Schutzbarriere

Foto: Patent Medical

Mit Symbionic Teeth ist dies nun allerdings möglich. 

Symbionic Teeth sind sie die konsequente Weiterentwicklung von dentalen Implantaten: Durch das Verwachsen mit oralem Weichgewebe erzeugen sie eine mukosale Schutzbarriere nach Vorbild des natürlichen Zahns. Dieser Vorgang wurde bei Symbionic Teeth der Marke Patent™ erstmals überhaupt für eine Zahnersatzlösung wissenschaftlich nachgewiesen.1-3

Dauerhaft gesunde Gewebe & stabile Ästhetik

Die mukosale Schutzbarriere rund um Patent™ Symbionic Teeth schirmt das Gewebe vor Plaquemigration und oralen Krankheitserregern wie Bakterien ab. Dieser Durchbruch bietet Zahnersatzspezialisten erstmals die Möglichkeit, die Gewebegesundheit zu erhalten und die Risiken von Rezessionen und Knochenverlusten drastisch zu reduzieren.

Langzeitstudien zufolge ist dies der Schlüssel zu stabilen ästhetischen Resultaten von festsitzenden Versorgungen.4, 5

Erfahren Sie alles über Symbionic Teeth - den Zahnersatz der neuesten Generation - bei den kostenlosen Informationsabenden im Frühjahr 2026:

  • 05. März: Böblingen
  • 20. März: Dietenheim-Regglisweiler
  • 15. April: Hannover

Anmeldung über https://www.mypatent.com/news-events oder per E-Mail an info@mypatent.com 


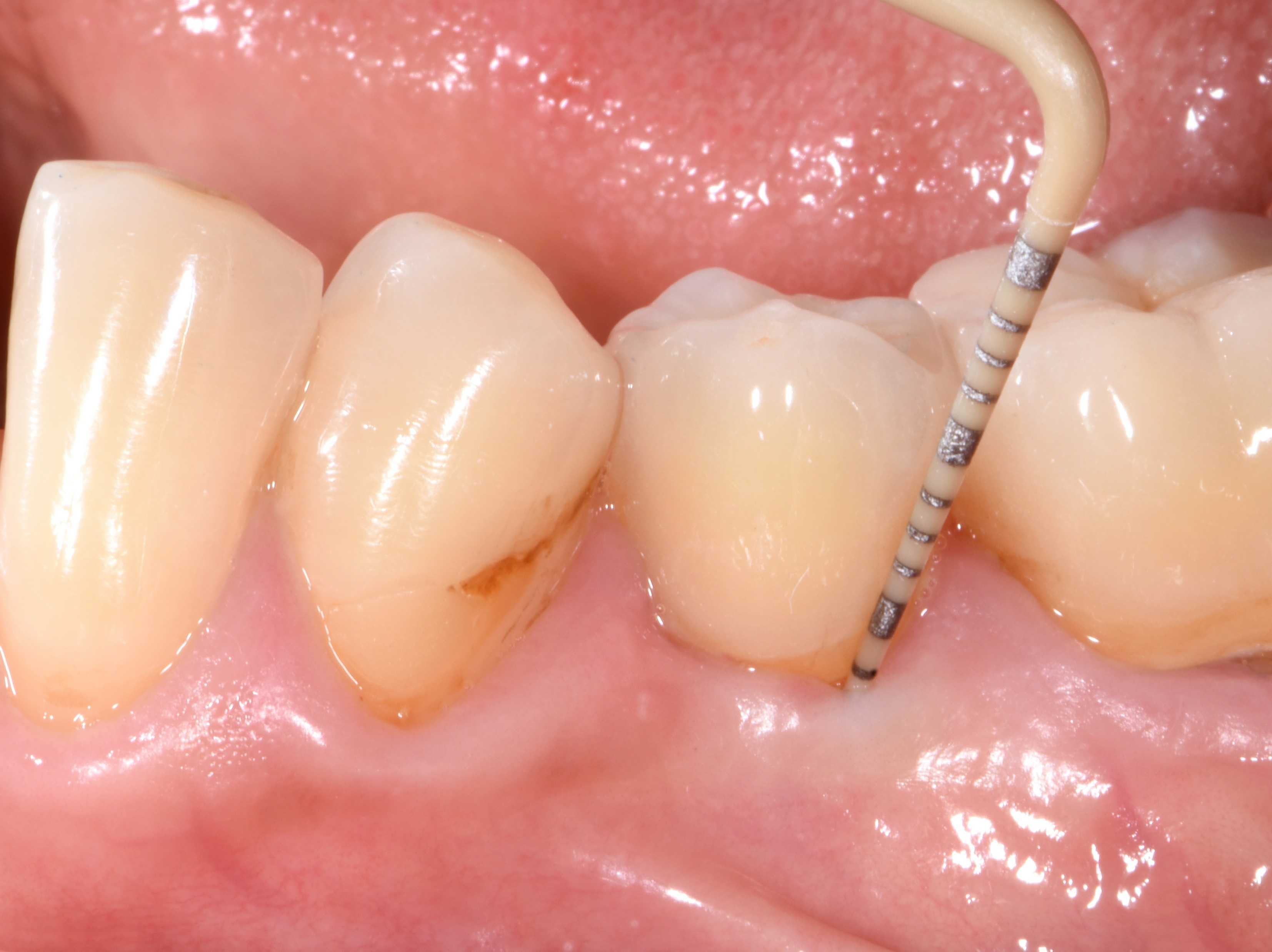
Ein kronenversorgter Patent™ Symbionic Tooth bei einem Patient mit Risikofaktoren (Rauchen, Diabetes Typ II, schlechte Mundhygiene und Polymedikation) nach 4.5 Jahren:
Die flache Sondierungstiefe von 3 mm entspricht der Definition eines gesunden natürlichen Zahns (© Dr. Roland Glauser).

 

[1] Bosshardt D. Peri-implant soft tissue integration and quality and osseointegration at 2-piece tissue-level zirconia and Ti control implants: An experimental study in the miniature pig mandible using histological and histometric analyses and focused ion beam (FIB) microscopy. Presented at: Oral Health Research Congress 2023.
[2] Glauser R. Soft tissue bond—the missing element for the prevention of peri-implant diseases? Presented at: EuroPerio 11 Congress; May 14–17, 2025; Vienna, Austria.
[3] Sculean A. The novel Zero Peri-Implantitis Concept—a valid treatment option for perio patients? Presented at: EuroPerio 11 Congress; May 14–17, 2025; Vienna, Austria.
[4] Brunello G, Rauch N, Becker K, Hakimi AR, Schwarz F, Becker J. Two-piece zirconia implants in the posterior mandible and maxilla: A cohort study with a follow-up period of 9 years. Clin Oral Implants Res. 2022;33(12):1233-1244. doi:10.1111/clr.140055.
[5] Karapataki S, Vegh D, Payer M, Fahrenholz H, Antonoglou GN. Clinical performance of two-piece Zirconia dental implants after 5 and up to 12 years. Int J Oral Maxillofac Implants. 2023;38(6):1105-1114. doi:10.11607/jomi.10284

Dieser Beitrag stammt von dem Anbieter und spiegelt nicht die Meinung der Redaktion wider.
Mehr News aus Branchenmeldungen

ePaper