Zahntechnik 04.03.2016
Instrumentelle Kieferrelationsbestimmung – Biss einschleifen ade!
share
Schaut man sich in einem DVT die Kondylenpositionen in einem eugnath verzahnten Gebiss an, in dem noch keine kieferorthopädischen oder restaurativen Maßnahmen vollzogen wurden, so kann man leicht feststellen, dass beide Kondylen in den Fossen in zentrischer Relation stehen und beide Kondylen über einen funktionellen Gelenkraum verfügen. Doch wie sieht es beispielsweise bei einem Abrasionsgebiss, einem Gebiss mit vielen bereits vorhandenen Zahnversorgungen oder im teil- und unbezahnten Kausystem aus?
Wenn wir uns das Kiefergelenk als biomechanisches Wunderwerk der Natur näher betrachten, so stellen wir schnell fest, dass die Position beider Kondylen durch die Bisssituation des Patienten vorgegeben wird. Das hochkomplexe Kaumuskelsystem führt den Unterkiefer entsprechend an den Oberkiefer heran. In der Schlussbisssituation hat der Patient entsprechenden Zahnkontakt. Doch stehen die beiden Kondylen in dieser habituellen Bisssituation wirklich in zentrischer Relation? Unser Kiefergelenk ist ein System, welches dreidimensional arbeitet. Somit können die Kondylen eine Vielzahl von unterschiedlichen Positionen einnehmen. Zudem wird die zentrische Relation erheblich von der vertikalen Relation, also der Bisshöhe, mit beeinflusst. In einem Abrasionsgebiss, welches mehrere Millimeter an vertikalem Verlust aufweist, können die Kondylen aufgrund der Biomechanik nicht mehr in zentrischer Relation stehen. Der Unterkiefer wird in diesem Fall durch die Muskulatur weiter an den Oberkiefer „herangezogen“. Dadurch verändern sich auch die Kondylenpositionen beider Kondylen.
Die Grenzen herkömmlicher Artikulatoren
Hinzu kommt ein weiteres Problem. Alle Artikulatoren, auch virtuelle Artikulatoren, arbeiten mit einer festen Rotationsachse. Im menschlichen Kausystem gibt es eine solche Achse jedoch nicht. Stehen also die Kondylen außerhalb der zentrischen Relation, so wird diese nicht zentrische Relation als Artikulatorachse festgelegt. Alle Kaubewegungen im Artikulator erfolgen nun in der unphysiologischen Position, gleichzeitig wird die Okklusion der neuen Zahnversorgung in dieser Position gefertigt. Wird nun die fertige Zahnversorgung in dem Patientenmund eingegliedert, werden die Diskrepanzen zwischen Mund und Modell als bissbedingte Nacharbeit sichtbar.
Die Lösung
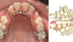
Die Frage der Fragen lautet also: Wie kann die zentrische Relation bei jedem Patienten individuell und reproduzierbar bestimmt, in ein Bissregistrat überführt und in einen Artikulator eingestellt werden? Die Lösung ist recht einfach. Es bedarf einer Messmethode, mit der die zentrische Relation des Patienten reproduzierbar bestimmt werden kann. Dabei ist es wichtig, dass der Workflow einfach und gleichzeitig angenehm für den Patienten ist. Eine Methode, die diesen Anforderungen gerecht wird, ist das digitale System Centric Guide®. Mit diesem System können im bezahnten, teil- und unbezahnten Kausystem eindeutige und vor allem reproduzierbare Messergebnisse binnen weniger Minuten generiert werden. Von großem Vorteil ist das einfache Handling des Centric Guide® Systems. Das System basiert auf dem altbewährten Stützstiftregistrat. Bisherige Stützstiftregistrate können jedoch immer nur transversale und sagittale Unterkieferbewegungen in einem sogenannten Pfeilwinkel zweidimensional aufzeichnen. Das System Centric Guide® kann, dank eines speziellen Messgebers, erstmalig alle vertikalen Unterkieferbewegungen aufzeichnen. Wie bei einer herkömmlichen Stützstiftregistrierung werden entsprechende patientenindividuelle Messschablonen gefertigt.
Das dreidimesionale Messverfahren
In diese Messschablonen werden die grazilen Systemkomponenten eingesetzt. In der Unterkieferschablone wird ein Kreuzschiebetisch eingesetzt, der alle sagittalen und transversalen Unterkieferbewegungen gleichzeitig zulässt. In die Oberkieferschablone wird der Messgeber mit dem Stützstift eingesetzt. Messgeber und Kreuzschiebetisch haben beim Zubeißen entsprechend Kontakt zueinander. Die Zahnreihen sind minimal außer Kontakt. Der Patient führt alle Unterkieferbewegungen selbstständig und ohne Manipulation am Kinn aus. Grundsätzlich gilt, dass der Unterkiefer in zentrischer Relation mit beiden Kondylen im Zenit der Fossen, also in seiner höchsten Position steht. Dank des vertikalen Messverfahrens kann diese Position vom Patienten immer wieder selbst aufgefunden und eingenommen werden. Die Centric Software visualisiert die gesamten Bewegungen. Dank eines speziellen Stoppersystems in dem Kreuzschiebetisch kann die zentrische Position sofort im Mund „eingefroren“ und in ein zentrisches Bissregistrat überführt werden. Eine nochmalige Entnahme und die sonst übliche Auswertung des Pfeilwinkels werden so überflüssig. Gleichzeitig ist diese Registrierung aufgrund der Biomechanik absolut reproduzierbar. Die Modelle können so in zentrischer Relation im Artikulator eingestellt werden. Die Drehachse des Artikulators und die Rotationsachse beider Kondylen stimmen jetzt überein.
Die Centric Guide® Analyse als Basis einer gezielten Schienentherapie
Anhand der DVT-Aufnahmen in habitueller Bisslage und mit Centric Guide® Schiene wird die exakte Positionierung nach der patentierten Analyse mit anschließender Schienentherapie sichtbar. Die einmal bestimmte zentrische Relation kann mit dem Centric Guide® System jederzeit wieder eindeutig bestimmt und in ein neues Zentrikregistrat überführt werden. Der Vorteil ist eine Art Backward Planning. Zuerst werden die Modelle in zentrischer Relation eingestellt, die habituelle Fehlstellung des Unterkiefers kann so im Artikulator visualisiert werden. Der Patient sieht mögliche Fehlstellung des Unterkiefers in habitueller Situation im Artikulator und versteht, warum im Anschluss eine gezielte Schienentherapie sinnvoll ist. Anhand dieser zentrischen Relation kann dann die bestehende Situation mittels Wax-up gezielt vorausgeplant und dann entsprechend prothetisch umgesetzt werden. Bereits bei der Schienentherapie zeigt sich der positive Effekt dieses Konzepts. Die zentrische Position wird schnell vom Patienten eingenommen und als angenehm beschrieben. Nach dem Einsetzen der definitiven Versorgung, auf Basis der Centric Guide® Analyse können okklusale Nacharbeiten gezielt vermieden werden.
Eine Investition, die sich lohnt
Das Centric Guide® System wird im Labor der Autorin in allen Indikationsbereichen, also im bezahnten, teil- und unbezahnten Kausystem, eingesetzt. Das große Indikationsspektrum ist ein weiterer Vorteil. Sie arbeitet nunmehr seit über drei Jahren mit dem System und möchte es nicht mehr missen. Eine Investition, die sinnvoll und gewinnbringend zugleich war. Die Zusammenarbeit zwischen Praxis und Labor ist so noch intensiver und entsprechend erfolgreicher, ganz ohne bissbedingte Nacharbeiten.
TRIOS 6
CYTECpro + CONTECpro
BeautiLink SA
mμILLUSION Color Malfarben und -pasten
breCAM.multiCOM+
PALA Mill&Cast
Luxatemp MaxProtect
breCAM.base
Leaf Expander® Hybrid
ceraMotion® CADback