Mit der Entwicklung der sog. zirkonoxidverstärkten Silikatkeramiken steht eine hochfeste Glaskeramikvariante zur Verfügung, die für die CAD/CAM-Bearbeitung optimiert wurde und neben guten Schleif- und Poliereigenschaften auch gute lichtoptische Eigenschaften bietet.
Im folgenden Fall soll gezeigt werden, dass neben der Verarbeitungstechnik und der Erfahrung des Behandlers auch die Eigenschaften des verwendeten...
Im folgenden Fall soll gezeigt werden, dass neben der Verarbeitungstechnik und der Erfahrung...
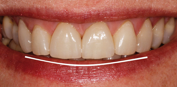
Im Beitrag wird die Wiederherstellung der natürlichen Lachlinie mithilfe von Veneers beschrieben. Durch das Nichtvorhandensein der lateralen...
Im Beitrag wird die Wiederherstellung der natürlichen Lachlinie mithilfe von Veneers beschrieben....
Eine neuartige Materialgeneration erleichtert und verbessert die übliche Freihandtechnik bei größeren Frontzahnrestaurationen. Dank innovativem...
Eine neuartige Materialgeneration erleichtert und verbessert die übliche Freihandtechnik bei...
Moderne Composite-Systeme bieten eine Vielfalt an Individualisierungsmöglichkeiten. Anhand einiger klinischer Fallbeispiele werden nachfolgend...
Moderne Composite-Systeme bieten eine Vielfalt an Individualisierungsmöglichkeiten. Anhand...
In diesem Beitrag wird die Behandlung einer älteren Patientin (95 Jahre) vorgestellt, die ein mit Totalprothesen versorgtes Gebiss vorwies und...
In diesem Beitrag wird die Behandlung einer älteren Patientin (95 Jahre) vorgestellt, die...
White Dentistry oder auch Cosmetic Dentistry wird heute mit exzellenter dentaler Ästhetik verbunden: Veneers, Keramikinlays und Vollkeramikkronen,...
White Dentistry oder auch Cosmetic Dentistry wird heute mit exzellenter dentaler Ästhetik...
Die orale Rehabilitation von Patienten mit dentalen und/oder skelettalen Disharmonien kann den Einsatz mehrerer zahnärztlicher Fachdisziplinen...
Die orale Rehabilitation von Patienten mit dentalen und/oder skelettalen Disharmonien kann...
Wenn im Frontzahnbereich eine ästhetisch motivierte Behandlung der bleibenden Zähne geplant ist, dann kommen Überlegungen hinsichtlich der...
Wenn im Frontzahnbereich eine ästhetisch motivierte Behandlung der bleibenden Zähne geplant...
Im März dieses Jahres lancierte das australische Unternehmen SDI ein neuartiges Füllungssystem für direkte Restaurationen auf dem europäischen...
Im März dieses Jahres lancierte das australische Unternehmen SDI ein neuartiges Füllungssystem...
Prof. Dr. med. dent. habil. Christian R. Gernhardt und Dr. med. dent. Juliane Hertwig geben einen Überblick über die restaurativen Möglichkeiten...
Prof. Dr. med. dent. habil. Christian R. Gernhardt und Dr. med. dent. Juliane Hertwig geben...
Eine ästhetische Versorgungsvariante, die in den letzten Jahren auf dem Markt eingeführt wurde, ist die Kombination von direkter Technik mit...
Eine ästhetische Versorgungsvariante, die in den letzten Jahren auf dem Markt eingeführt...
Ein scheinbar schwer zu lösendes Problem stellt nach wie vor die Korrektur stark verfärbter Zahnkronen dar. Chromatogene Verfärbungen in Schmelz...
Ein scheinbar schwer zu lösendes Problem stellt nach wie vor die Korrektur stark verfärbter...
Für die ästhetische Versorgung von Implantatsuprakonstruktionen werden zunehmend Zirkonoxidgerüste mit einer individuellen Keramikverblendung...
Für die ästhetische Versorgung von Implantatsuprakonstruktionen werden zunehmend Zirkonoxidgerüste...
Die Kieferorthopädie steht für gerade Zähne und damit für die Verbesserung der Ästhetik. Hauptaufgabe der Behandlung ist vor allem die Verbesserung...
Die Kieferorthopädie steht für gerade Zähne und damit für die Verbesserung der Ästhetik....
Da Sie der Verwendung von Google Maps nicht zustimmten, kann leider keine Karte angezeigt werden.
Haben Sie schon unseren Newsletter abonniert?
Um bei unserer Anwendung Formulare zu verwenden, benötigen wir die Zustimmung um einen Token für das Absenden zu setzen.
Datenschutz und Nutzungserlebnis
Wir übermitteln Daten an Drittanbieter, die uns helfen, unser Webangebot zu verbessern und zu finanzieren. In diesem Zusammenhang werden auch Nutzungsprofile gebildet und angereichert, auch außerhalb des Europäischen Wirtschaftsraumes. Hierfür und um bestimmte Dienste zu nachfolgend aufgeführten Zwecken verwenden zu dürfen, benötigen wir Ihre Einwilligung.
Indem Sie "Alle Cookies akzeptieren" klicken, stimmen Sie diesen (jederzeit widerruflich) zu.
Unter "Manuell auswählen" können Sie die Datenverarbeitung individuell personalisieren.
Unter "Nur notwendige akzeptieren" können Sie die Datenverarbeitung ablehnen.
Indem Sie "Speichern" klicken, stimmen Sie diesen (jederzeit widerruflich) zu.
Um Kartendaten in unserer Anwendung darzustellen, nutzen wir den Kartendienst Google Maps. Willigen Sie der Nutzung von Google Maps ein, werden ggf. personenbezogene Daten (Ihre IP-Adresse) von Google erhoben.
Einbinden von Google Maps erlauben
Einige unserer Videoinhalte (bspw. Livestream) werden über die Videoplattform Vimeo bereitgestellt.
Inhalte von Vimeo erlauben
Einige Beiträge binden Inhalte von Instagram ein. Wenn Sie zustimmen, wird eine Verbindung zu Meta/Instagram aufgebaut und es können personenbezogene Daten wie Ihre IP-Adresse übertragen werden.
Inhalte von Instagram erlauben
Für ein besseres Benutzererlebnis können unsere Werbeanzeigen personalisiert werden. Um dies zu ermöglichen, wird das erstellen von Cookies vorausgesetzt. Sollten Sie diesem Dienst nicht zustimmen, werden Werbeanzeigen zufällig ausgeliefert.
Personalisierte Werbung erlauben
Um sich bei unserer Anwendung Formulare zu verwenden werden Tokens gesetzt die es uns ermöglichen Spam zu verhindern. Sollten Sie dies ausstellen, ist es Ihnen nicht mehr möglich sich bei uns anzumelden oder zu registrieren.
Anmeldeformulare absenden ermöglichen
Bei der Gestaltung unserer Anwendung benutzen wir Schriftarten von Adobe, diese werden über ein CDN geladen. Sollte Sie diesem Dienst nicht zustimmen wird die Standard Schrift des Systems benutzt. Außerdem könnte es zu Fehlern im allgemeinen Anwendungsdesign kommen.
Inhalte von Adobe erlauben
Sie können Ihre Auswahl jederzeit unter "Cookie-Einstellungen“ am Seitenende ändern.