Cosmetic Dentistry 09.11.2011

Composite – das Mittel der Wahl



Composite – das Mittel der Wahl

Foto: © Autor

Der natürliche Zahn als Vorbild für eine ästhetische Restauration stellt sowohl hohe Anforderungen an den Behandler als auch an das Material. Moderne Werkstoffe sowie am natürlichen Zahn angelehnte Schichttechniken schaffen optimale Voraussetzungen für vorhersagbare ästhetische Resultate. Der vorliegende Fallbericht fokussiert die Restauration eines frakturierten Frontzahns und demonstriert die biomimetischen Eigenschaften von IPS Empress® Direct.

 

Die junge Patientin war infolge eines einige Jahre zurückliegenden Frontzahntraumas an Zahn 11 mit dem ästhetischen Erscheinungsbild ihrer Oberkieferfront unzufrieden und wünschte eine Korrektur. Nach dem Trauma war eine Restauration des Zahns mit Composite vorgenommen worden. Bei der klinischen Untersuchung zeigt sich ein altersentsprechendes, kariesfreies Gebiss und eine sehr gute Mundhygiene der Patientin (Abb. 1). Im Vergleich zu den Nachbarzähnen wirkt der natürliche Anteil des Zahns 11 etwas gelblich und der Composite-Aufbau erscheint transluzent und gräulich. Mit Ausnahme des Zahns 11 reagieren alle Zähne auf den Sensibilitätstest. Die gemessenen Sulkussondierungstiefen betragen weniger als drei Millimeter. Der zu behandelnde Zahn 11 weist eine leichte Perkussionsempfindlichkeit auf und die periapikale Röntgenaufnahme lässt hier eine apikale Läsion vermuten (Abb. 2). Der Wurzelkanal erscheint weitgehend obliteriert. In Absprache mit der Patientin wird eine Wurzelkanalbehandlung an Zahn 11 geplant. Der Zahn soll intern gebleicht werden, um ihn anschließend mit einem neuen Composite-Aufbau zu versorgen.

 

 

Wurzelkanalbehandlung

Die Trepanation erfolgt unter Kofferdam. Trotz Einsatz des Operationsmikroskops gestaltet sich das Auffinden des Wurzelkanals schwierig, gelingt aber in einer Tiefe von 13mm. Nach der Aufbereitung und zweiwöchiger Kalziumhydroxideinlage wird der Wurzelkanal thermoplastisch mit Gutta-percha und Sealer gefüllt. Das interne Bleaching der zervikalen Zahnhartsubstanz an 11 erfolgt mit Natrium-perborat, solange bis die Zahnfarbe an den Nachbarzahn angepasst erscheint.

Analyse von Zahnform und Zahnfarbe

Bei genauer Betrachtung der beiden mittleren Inzisivi fällt eine leichte Asymmetrie auf (Abb. 3). Der Grund ist die etwas breiter wirkende Zahnkrone von 11. Auf Nachfrage bestätigt die Patientin vor dem Unfall ein Diastema mediale gehabt zu haben, welches im Rahmen der damaligen restaurativen Versorgung einseitig geschlossen worden ist. Die Auswahl korrekter Schmelz- und Dentinmassen erfolgt mit dem Farbschlüssel aus dem IPS Empress Direct-Set. Die Dentinmasse wird an den zervikalen Bereich des Zahns angepasst und die Schmelzmasse wird entsprechend des inzisalen Bereichs des Nachbarzahns gewählt. Der Aufbau eines Zahns ist sehr komplex und muss differenziert betrachtet werden. Um das gewünschte Endresultat vor dem Aufbau erfassbar und überschaubar zu machen, ist eine landkartenähnliche Charakterisierung des Zahns sinnvoll. Hier werden unter anderem die Bereiche mit erhöhter Transluzenz oder Opazität erfasst. In diesem Zusammenhang kann ein Foto der Ausgangssituation und dessen Betrachtung auf dem Display der Digitalkamera bei der späteren Schichtung hilfreich sein. Zu beachten ist jedoch, dass das digitale Foto nur Hinweise auf die Platzierung der verschiedenen Composite-Massen und eventuell Malfarben gibt. Die richtige Farbe wird durch das Foto nicht wiedergegeben. Im Fall der jungen Patientin werden folgende Massen für die Schichtung des Composite-Aufbaus gewählt: A3 Dentin, A2 Enamel, Trans Opal und Tetric® Color weiß.

Mock-up und Silikonschlüssel

Für die Anfertigung eines Silikonschlüssels wird im Vorfeld ein Mock-up erarbeitet. Form und Kontur der bestehenden Restauration sind mit dem Nachbarzahn 12 weitgehend kongruent, sodass nur kleine Formkorrekturen notwendig sind. So wird zum Beispiel im distalen Bereich die Schneidekante geringfügig verlängert. Das so entstandene Mock-up wird mit Silikon-Knetmasse festgehalten. Da für den Aufbau des inzisalen Bereichs von Zahn 11 nur der palatinale Anteil sowie die Inzisalkante des Silikonschlüssels erforderlich sind, wird der Silikonschlüssel mit einem Skalpell entsprechend beschnitten.

Präparation, adhäsive Vorbehandlung und additive Korrektur am Nachbarzahn

Mit rotierenden Instrumenten werden die alte Composite-Restauration entfernt und die Schmelzränder angeschrägt. Um den späteren Füllungsrand unsichtbar erscheinen zu lassen, muss insbesondere im labialen Bereich etwas breiter präpariert werden (circa 2mm) (Abb. 4). Im Frontzahnbereich (bis zum ersten Prämolaren) wird ein Kofferdam angelegt, unter anderem sichert dies die Übersicht während der Behandlung. Ligaturen helfen die zu behandelnden Frontzähne vollständig zu isolieren und den Kofferdam bis zum Gingivasaum zu verdrängen. Zur adhäsiven Vorbehandlung der Zahnhartsubstanz kommt ein dreiphasiges System mit Phosphorsäureätzung (z.B. Syntac® Classic) zum Einsatz. Um die beiden Frontzähne symmetrisch erscheinen zu lassen und das Diastema zu schließen, muss Zahn 21 im mesialen Bereich etwas mit Schmelzmasse verbreitert werden.

Aufbau der palatinalen und approximalen Flächen

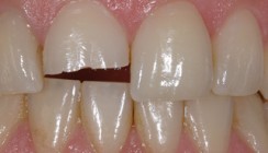
Ziel der anatomischen Schichttechnik ist zunächst der Aufbau einer künstlichen „Schmelzschale“, welche palatinal und approximal die gewünschte Kontur der Restauration vorgibt. Dafür wird in den beschnittenen Silikonschlüssel zunächst eine kleine Menge transparenter Schmelzmasse (A2 Enamel) platziert und mit einem Spatel dünn ausgestrichen. Der Defekt soll annähernd abgedeckt sein. Auf den präparierten Zahn 11 wird an der palatinalen Defektgrenze etwas(!) Flowable-Composite (Tetric EvoFlow®) aufgetragen. Nun kann der Silikonschlüssel mit der Schmelzmasse von palatinal auf die Frontzahnregion aufgesetzt und auf korrekten Sitz geprüft werden. Wurde die Schmelzmasse im Silikonschlüssel richtig platziert, so wird diese bis zur zervikalen Defektgrenze reichen. Das auf den Zahn aufgetragene Flowable wird verdrängt, überbrückt so mögliche Fehlstellen und stellt eine gute marginale Adaptation sicher. Die Polymerisation erfolgt zunächst von labial. Danach kann der Silikonschüssel vorsichtig entfernt und das aufgebaute Composite von palatinal polymerisiert werden. Geringe Überschüsse im palatinalen oder approximalen Bereich lassen sich gut mit einem Skalpell (Gr. 12) entfernen. Die so erarbeitete palatinale Wand erreicht inzisal exakt die gewünschte Ausdehnung der Restauration, hat jedoch approximal noch keinen Kontakt zum Nachbarzahn. Für möglichst naturgetreue approximale Konturen ist die Wahl einer adäquaten Matrizentechnik entscheidend. Da der Defekt mesial und distal deutlich supragingival liegt, werden im vorliegenden Fall transparente Matrizen mit Holzkeilen fixiert. In diffiziler Feinarbeit folgt der Aufbau der approximalen Wand. Nach Entfernung von Matrizen und Keilen gibt eine dünne Composite-Schale die inzisalen, palatinalen und approximalen Konturen des Zahns in idealer Weise wieder (Abb. 5).

Aufbau des Dentinkerns

Die weitere Schichtung erfolgt mit opaker Dentinmasse (IPS Empress® Direct Dentin, A3). Der Dentinkern wird aufgebaut (Abb. 6). Im Vergleich zum natürlichen Zahn ist dieser größer und lässt im labialen Bereich nur noch wenig Platz für die deckende Schmelzmasse. Sinnvoll ist es, auch die Schmelzabschrägung mit Dentinmasse weitgehend zu bedecken. So kann sichergestellt werden, dass der Restaurationsrand nicht als graue Linie sichtbar wird. Die Ausdehnung und die Morphologie des Dentinkerns in inzisaler Richtung werden von den Nachbar- oder kontralateralen Zähnen vorgegeben. Im vorliegenden Fall werden Mamelonstrukturen modelliert und inzisal wird entsprechend Platz für transluzente Schmelzmassen belassen (Abb. 7). Jedes Inkrement wird für 20 Sekunden mit einer bluephase® LED-Lampe polymerisiert.

Inzisale Charakterisierung

Der inzisale Bereich zwischen den Mamelons wird mit einem speziellen Composite (IPS Empress® Direct Opal) ausgefüllt. So kann eine natürliche Opaleszenz der Inzisalkante simuliert werden. Eine zusätzliche Charakterisierung erfolgt durch ein gezieltes Auftragen einer weißen Malfarbe (Tetric Color weiß), was die weißlichen Schmelzopazitäten unterstützt.

Aufbau des labialen Bereichs

Mit der letzten dünnen labialen Schmelzschicht (IPS Empress® Direct Enamel A2) kann die Restauration fertiggestellt werden (Abb. 8). Bereits zu diesem Zeitpunkt wird das Oberflächenrelief der Restauration durch die Bearbeitung des noch weichen Composites mit einem Pinsel gestaltet. Die Zahnform sollte so modelliert werden, dass die Arbeitsschritte bei der Ausarbeitung auf ein Minimum reduziert werden können.

Ausarbeitung und Politur

Geringe Überschüsse werden mit einem Skalpell (Nr. 12) entfernt. Mit geeigneten Finier- und Poliertechniken lassen sich Oberflächenglanz und Mikromorphologie nahezu perfekt an die Nachbarzähne anpassen. Flexible Scheibchen werden im Bereich der Restaurationsränder sowie für Korrekturen der approximalen und inzisalen Bereiche verwendet. Labial erfolgt deren Einsatz nur sehr zaghaft. So wird verhindert, dass die modellierte Morphologie wieder eingeebnet oder sogar versehentlich die Schmelzmasse abgetragen wird. Konkavitäten der Bukkalfläche werden mit einem Silikonpolierer stellenweise vertieft. Die Endpolitur erfolgt mit Siliziumkarbidbürstchen (Astrobrush®) (Abb. 9).

Nachkontrolle

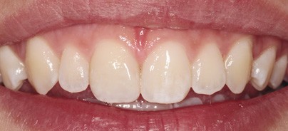
Vier Wochen nach Abschluss der Behandlung zeigt sich eine unauffällige klinische Situation. Die Restauration an Zahn 11 ist nahezu unsichtbar und die Symmetrie in der Oberkieferfront ist wiederhergestellt (Abb. 10). Auch bei der radiologischen Nachkontrolle sind keine Auffälligkeiten zu entdecken (Abb. 11). Die Patientin ist beschwerdefrei und mit dem Gesamtergebnis absolut zufrieden (Abb. 12).

Mehr Fachartikel aus Cosmetic Dentistry

ePaper