Cosmetic Dentistry 23.09.2011

Frontzahnästhetik: Anspruch, Aufwand und Resultat



Frontzahnästhetik: Anspruch, Aufwand und Resultat

Häufig sind diese drei Worte bei Patienten schwer in Einklang zu bringen. Alles soll am Ende „jungfräulich schön“ aussehen, aber bitte schön möglichst ohne viel Aufwand oder gar OP und selbstverständlich komplett von der Versicherung bezahlt werden. „Dream on baby“ kommt mir dabei jeweils in den Sinn.
 
Was geht? Was geht nicht? Was geht sinnvoll?

Ich möchte hier exemplarisch einen Fall darstellen, der sich nicht um die letzten Zehntel Millimeter Papille dreht, aber den klar geäußerten Wunsch einer ästhetisch akzeptablen Einzelzahnversorgung nach Frontzahnverlust erfüllen soll. Die im Einzelnen angewandten Techniken sind hinreichend durch mich und viele andere Autoren beschrieben, ich werde mich dabei also nur auf das Notwendigste beschränken. Mir ist vielmehr wichtiger, Ihnen, liebe Kollegen, eine Behandlungsschablone an die Hand zu geben, mit der Sie aus der Vielzahl der Puzzleteile (mögliche Behandlungen) für sich und Ihre Patienten die richtigen aussuchen können. Denn das Einzige, was ich gerne von meinen Patienten hören möchte, ist: „Das gefällt mir“, der Umstand, dass es funktioniert, wird ja sowieso schon vorausgesetzt. Dieses kleine Sätzchen „Das gefällt mir“ beinhaltet aber schon eine Menge an Vorarbeit – neudeutsch heißt das „Managing Patient Expectation“.

Dieses richtige Patientenmanagement bedeutet aber zwingend, dass Sie die Lösung des Falles bereits vor dem ersten Eingriff mental in allen Variationen durchgespielt haben. Die Präsentation von zwei bis drei Lösungsmöglichkeiten sollte in jedem Fall in einem erneuten Beratungsgespräch und einem abschließenden Brief dem Patienten übermittelt werden.

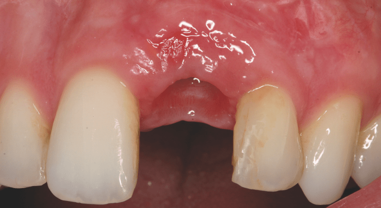
Hierbei trennt sich sehr schnell die Spreu vom Weizen (siehe Artikelüberschrift). Gerade der Patientenbrief führt regelmäßig zu Aha-Erlebnissen bei meinen Patienten, die sich die Behandlung einfach anders vorgestellt hatten. Im nachfolgenden Fallbeispiel zeige ich einen Mittelweg für die Versorgung einer Frontzahnlücke auf mit der klaren Vorgabe, keine Brückenversorgung durchzuführen. Ganz klar steuert diese Patientenanforderung den Aufwand für die Versorgung in eine deutlich aufwendigere Richtung, als wenn eine Brückenversorgung akzeptabel wäre. Aber nun zum Fall. Zahn 21 muss aufgrund eines apikalen Granuloms und Längsfraktur des Zahnes ca. fünf Jahre nach erfolgter Wurzelspitzenresektion entfernt werden. Die 25-jährige Patientin hat eine hohe Lachlinie (Gummy Smile) und dünne gingivale Verhältnisse mit stark ausgeprägter Girlandenform.

Von vornherein ist es unbedingt erforderlich, auf den drohenden Papillenverlust hinzuweisen, der nicht oder nur mit unvorhersehbarem Ergebnis zu korrigieren wäre (Managing Expectations). Die klinische Untersuchung zeigt weiter, dass die labiale Knochenwand wahrscheinlich in toto resorbiert ist und daher eine umfangreiche knöcherne Regeneration, wahrscheinlich sogar mit einem Eigenknochentransplantat in Form eines Blocks erfolgen muss. Dies bedeutet: zweites OP-Feld, mehr Aufwand, mehr Zeit, mehr Geld. Nur auf diese Weise wird die geforderte Implantatversorgung machbar sein. Ich möchte es noch einmal wiederholen: Mein Behandlungsvorgehen basiert auf gesicherten Lang-zeitergebnissen. Ein Herumlavieren im Sinne: „Der Aufbau geht auch ausschließlich mit etwas Knochenersatzmaterial“ würde sich meines Erachtens als ein nach hinten losgehender Schuss erweisen. Das auf diesem Wege der Knochenaugmentation erzielte Konturvolumen mag noch nicht für eine ästhetische Versorgung mit einer Implantatkrone ausreichen und muss aller Wahrscheinlichkeit nach noch mit einem Weichgewebsaugmentat unterfüttert werden. Nur dieses zusätzliche Weichgewebe in Form eines subepithelialen Bindegewebstransplantates gibt mir die Möglichkeit, ein akzeptables Emergenceprofil für die Implantatkrone zu erreichen.

Meine Erfahrung lässt mich dieses subepitheliale Bindegewebsimplantat entweder ganz zu Beginn der implantologischen Reise (noch vor der GBR) durchführen oder zum Zeitpunkt der Freilegung des Implantates. Ich bin kein Freund vom Zusammenlegen mehrerer verschiedener Operationsschritte. Es entstehen zu viele Variablen, die sich schlecht vorhersehen lassen. Mit dieser implantologischen Planung hat der Patient konkrete Vorgaben. Er hat einen Einblick in dem Umfang seiner Behandlung und – viel wichtiger – er hat einen Ausblick, was nötig ist, um seinen Anspruch zu erfüllen. Wie ein solches Behandlungsgespräch endet und was dann tatsächlich durchgeführt wird, steht auf einem anderen Blatt. Wichtig ist, dass der Patient versteht, dass B nicht ohne A geht. Ohne Bindegewebsimplantat keine gescheite Weichkontur um das Implantat. Ohne Knochenaugmentation geht kein Implantat.

Zurück zur Chronologie dieses konkreten Falls:

1. Zahnentfernung bei maximaler interdentaler Gewebeschonung. Entfernung von möglichst viel entzündlichem Granulationsgewebe. Gründliches Aussondieren des Defektes. Resultat: vollständiges Fehlen der labialen Knochenwand, durchgängiger Fistelgang apikal nach labial ins Vestibulum. Normale interdentale Attachmentverhältnisse im aproximalen Bereich und sehr schmale papilläre Verhältnisse im distalen Bereich. Koronektomie des extrahierten Zahnes und Einsetzen als temporäres Brückenglied.

2. Abheilung von ca. acht Wochen. Knöchernes Blocktransplantat aus der Kinnregion mit optimaler Adaptation des Augmentates in den Knochendefekt. Auffüllen der restlichen Hohlräume mit Knochenspänen. Korrektur des temporären Brückengliedes.

3. Nach fünf Monaten. Einsetzen eines Einzelzahnimplantates nach vorheriger Herstellung einer Bohrschablone.

4. Einheilung des Implantes in geschlossener Form für ca. drei Monate. Während dieser Zeit fiel die Entscheidung, dass eine weitere Konturverbesserung notwendig ist und deshalb beim Freilegen des Implantates ein Bindegewebstransplantat durchgeführt wird.

4. Freilegen des Implantates und Einpassen eines Transplantates. Abdruck des Implantates für eine provisorische, keramisch verblendete Krone. Das Emergenzprofil wird in idealer Form im zahntechnischen Labor hergestellt.

5. Nach ca. zwei Wochen, Austausch des Standardgingivaformers gegen die provisorische implantatgetragene Krone.

6. Eventuell nachkonturieren der Krone, bis nach ca. acht bis zehn Wochen ein gutes Ergebnis erzielt ist.

7. Austausch gegen die definitive Krone nach erneutem Abdruck mit individualisiertem Abdruckpfosten.

Dieses Vorgehen erscheint mir bei diesem Fall eine akzeptable Mischung aus notwendigen, aber nicht übertriebenen Aufwand. Mit Sicherheit könnte der ästhetische Aspekt mit weiteren zahntechnischen sowie weichgewebsoperativen Maßnahmen weiter verbessert werden. Dem steht nichts im Wege, erfordert aber deutlich mehr Zeit.
Der für mich entscheidende Punkt im gezeigten Vorgehen ist jedoch, dass in der Abfolge der Behandlungsschritte nichts ausgelassen wurde, was zum Schluss nicht mehr zu korrigieren wäre.

Leider ist vielen Patienten der dargebotene Zeitstrahl und der operative Aufwand ein großes Hemmnis, sich auf die Behandlung einzulassen und greifen lieber auf Behandlungen mit vermeintlich gleichem Resultat aber viel kürzerer Behandlungsdauer zurück; in extremis die Sofortimplantation und -versorgung. Hier kann nur die geduldige Aufklärungsarbeit durch uns in (mehreren) Beratungsgesprächen Abhilfe schaffen. Notwendigenfalls muss auch Ablehnung der Behandlung als Resultat im Raum stehen.

Mehr Fachartikel aus Cosmetic Dentistry

ePaper