Cosmetic Dentistry 06.08.2021

Komfortable Behandlung durch digitalen Workflow

Komfortable Behandlung durch digitalen Workflow

Foto: ZÄ Claudia Scholz

Zeitmanagement gehört zu einer der täglichen Herausforderungen jeder Zahnarztpraxis. Unnötig lange Behandlungen soll es nicht geben. In der aktuellen Pandemielage sind zudem mehrere Recall-Termine zu vermeiden. Daher schätzen es Patienten sehr, wenn ihnen die Zahnärztin/der Zahnarzt eine Behandlung in einer Sitzung anbieten kann. Dabei unterstützt ein Planungssystem, dass es ermöglicht, verschiedene Behandlungen unabhängig von benötigten Materialien ein einem Termin durchzuführen. Im folgenden Anwenderbericht wird das CEREC-System als eine solche Lösung für CAD/CAM vorgestellt.

Zahnmediziner schätzen moderne Technologien und Produktverfahren, die den Praxisalltag unterstützen und vor allem mehr Zeit für die Patienten ermöglichen. Da die Zahnmedizin inzwischen immer digitaler wird, möchten viele Behandler auch immer mehr Arbeitsschritte am Computer erledigen. Außerdem kann die Planung der Therapiesitzung verfeinert werden. Durch entsprechende Programme und Softwares kann dem Patienten inzwischen auch das Ergebnis im Vorfeld direkt am Behandlungsstuhl präsentiert werden. Das gibt beiden Seiten Sicherheit. Ein solches System ist CEREC von Dentsply Sirona. In den vergangenen Jahren wurde es umfangreich weiterentwickelt: Mit der CEREC Primescan wurde ein Intraoralscanner auf den Markt gebracht, der sehr einfach, extrem schnell und hochpräzise arbeitet. Jetzt gibt es mit der CEREC Primemill eine neue Schleif- und Fräsmaschine, die neben ihrer mo­dernen Technologie vor allem sehr schnelle Bearbeitungs­zeiten, größte Materialvielfalt und vor allen Dingen mit der ­exzellenten Qualität der Restaurationen überzeugt.

Im Praxisalltag zahlt sich genau das mehrfach aus: Vorbereitung, Pflege und Wartung der Maschine können delegiert ­werden. Weder Zahnmediziner noch Assistenz müssen dafür ein umfangreiches Training durchlaufen – eine kurze Einweisung reicht aus. Das Touch Interface der CEREC Primemill führt durch den gesamten Prozess und erlaubt dabei keine Fehler: Ist beispielsweise eine Zirkonrestauration geplant, kann ein Werkzeug für das Schleifen von Keramik nicht eingespannt werden. Für viel Komfort sorgt auch der einfache Wechsel von der Nass- zur Trockenbearbeitung. Diese einfache Bedienung bedeutet einen Zeitgewinn und damit mehr Aufmerksamkeit für den Patienten. 

Schnell in jeder Phase des Behandlungsprozesses

Zeit ist für Behandler und Patienten sehr wertvoll. Entsprechend profitieren alle davon, dass CEREC Primemill schnelle Fertigungszeiten von Restaurationen ermöglicht, z. B. etwa fünf Minuten für eine Krone aus Zirkondioxid. Der gesamte Workflow ist schneller, weil die Maschine durch eine vorge­lagerte Pre-Touch-Phase den Herstellungsprozess beschleunigt. Das bedeutet, dass die Zahnärztin/der Zahnarzt während der gesamten Zeit beim Patienten bleiben kann, etwa um ­das Einsetzen akkurat vorzubereiten und sich ihm zuwenden ­zu können. Der Behandlungsablauf wird nicht durch lange Prozess­zeiten unterbrochen bzw. in die Länge gezogen.

Der Workflow beginnt mit einer umfassenden Materialaus­-wahl. So findet man für alle Indikationen und Patientenwünsche den richtigen Block. Die Ergebnisse zeigen präzise heraus­gearbeitete Ränder, gleichmäßige und detaillierte Oberflächenstrukturen sowie Präzision bei den okklusalen und approximalen Kontaktpunkten, feinste Fissuren und eine sehr genaue Morphologie. Die Nachbearbeitung umfasst neben dem Abschleifen der Abstichstelle das Kristallisieren der Restauration sowie deren Individualisierung und Politur. Auch das spart Aufwand und damit Zeit. Wie all das in der Praxis funktioniert, zeigt der folgende Patientenfall.

Kasuistik

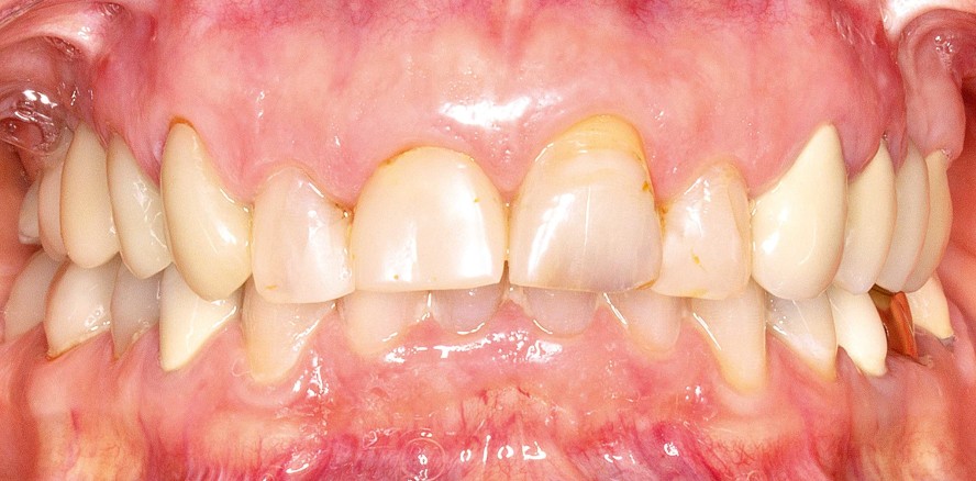
In unsere Praxis kam eine 53-jährige Patientin mit Problemen an ihren Frontzähnen: Bei der Untersuchung zeigten sich insuffiziente Füllungen an den Zähnen 12 bis 22 sowie ein uneinheitlicher Gingivaverlauf an 12 und 11. Eine chirurgische Anpassung lehnte die Patientin ausdrücklich ab. Zudem war der Schneidekantenverlauf stark abradiert und nicht harmonisch. Die Patientin litt unter der mangelnden Ästhetik, traute sich kaum zu lächeln und wünschte sich dementsprechend eine Versorgung, die ihr ein neues Lächeln schenkte. Es wurde geplant, die vier Zähne in einer Sitzung final mit jeweils einer Krone zu versorgen. Aufgrund der Zahnfarbe C3 fiel die Entscheidung, sie mit IPS e.max, einer Lithiumdisilikatkeramik, zu versorgen. Dieses Material würde für eine sehr natürliche Ästhetik sorgen, was in diesem Fall höchste Priorität hatte. Für die Versorgung wurde dem klassischen CEREC-Protokoll gefolgt: Die Zähne wurden exkaviert, aufgebaut, präpariert und anschließend mit der Primescan digital abgeformt. Im virtuellen Modell wurden die auto­matisch eingefügten Präparationsgrenzen noch leicht korrigiert und intraoral abgeglichen. Anschließend wurden die Kronen direkt am Stuhl kon­struiert. Auf diese Weise konnte die Patientin durchaus mitentscheiden und sich dadurch noch besser mit ihrer neuen Versorgung identifizieren. In diesem Fall ging es vor ­allem um die Darstellung der inzisalen Kanten, die im natürlichen Gebiss nicht vorhanden waren. 

Während dieses Arbeitsschritts kümmerte sich die Assistentin bereits um die Vorbereitung des Schleifprozesses, der nur wenige Sekunden nach Übertragung des Auftrags an die CEREC Primemill startete. Alle vier Kronen wurden hintereinander ausgeschliffen und präsentierten sich glatt sowie ästhetisch schön strukturiert. In den Kronen zeigten sich kein Stufen, sodass praktisch nichts nachgearbeitet werden musste. Die anschließende Anprobe überzeugte sofort, sodass die Kronen nach Gla­sierung und Bemalung gleichzeitig im CEREC SpeedFire für 20 Minuten kristallisiert werden konnten. Anschließend wurden die Restaurationen noch einmal eingepasst und adhäsiv befestigt. Nach einer Okklusionskontrolle er­hielten die neuen Kronen eine abschließende Politur. Die Patientin war vom Ergebnis sehr angetan. Sie traute sich sofort wieder zu lächeln. 

Diskussion

Für Frontzähne gelten besonders hohe ästhetische Anforderungen, die sich durchaus mit keramisch verblendeten Metall- oder Keramik­kronen erfüllen lassen. Der Nachteil einer solchen Versorgung ­besteht unter anderem darin, dass die Patienten ­ein Provisorium erhalten müssen. Damit kommen gerade in der Front nicht alle Pa­tienten zurecht. Zusätzliche Termine, um eventuell instabile Provisorien wieder zu befestigen, scheuen Patienten ebenfalls. In dem hier vorliegenden Fall mit vier zu versorgenden Zähnen war es auch der ausdrück­liche Wunsch der Patientin, in nur einer Sitzung versorgt zu werden. Dabei mussten wir keine Kom­promisse hinsichtlich der Ästhetik eingehen: Die individualisierte Zahnfarbe passte optimal zur natürlichen Bezahnung. Die Patientin äußerte sofort den Wunsch, auch Zähne 23 bis 26 (bisher: Brücke) neu versorgen zu lassen. Hinzu kam, dass die Versorgung mit vollkeramischen Kronen im Vergleich zu einer VMK-Krone keine subgingivale Präparation notwendig machte, um den Rand zu verdecken, und keine dunklen Metallschatten die Ästhetik störten. CEREC Primemill erwies sich in diesem Fall aufgrund der hohen Prozessgeschwindigkeit und der sehr detaillierten Ausarbeitung der Zahnoberflächen als großer Gewinn. 

Fazit

Behandlungen in einer Sitzung abzuschließen, ein automatisierter Workflow und Zeiteinsparnisse sind unschätzbare Vorteile für eine moderne Zahnarztpraxis. Mit CEREC hat die Zahnärztin/der Zahnarzt ein sehr gutes System für CAD/CAM an der Hand, das vor allem für Behandlungskomfort sorgt. Zudem können die Patienten bei der Kon­struktion der neuen eigenen Zähne dabei sein, was ihnen das Gefühl von Sicherheit gibt. Interessant auch zu beobachten, dass Patienten, bei deren Behandlung einmal CEREC zum Einsatz kam, sich diese Art der Therapie wieder wünschen. Der CEREC-­Workflow ist einfach zu erlernen und bietet viele Verbesserungen für die Patienten sowie für den Behandler und auch das Praxisteam. Die Assistenz profitiert z. B. von der Planbarkeit der Sitzung oder kann das eigene Tätigkeitsspektrum mit spannenden verantwortungsvollen Aufgaben erweitern, z. B. mit dem Scannen und der Betätigung der Schleif- und Fräsmaschine. 

Autorin:

ZÄ Claudia Scholz

Zahnärztliche Praxis Reventlou

Reventlouallee 9

24105 Kiel

Tel.: +49 431 561283

scholz@claudia-scholz-kiel.de

www.claudia-scholz-kiel.de

Der Beitrag ist in der cosmetic dentistry erschienen.

Mehr Fachartikel aus Cosmetic Dentistry

ePaper