Cosmetic Dentistry 01.11.2017

Veneers – Ein Plädoyer für die Handarbeit



Veneers – Ein Plädoyer für die Handarbeit

Foto: Autoren

Seit der Einführung der Adhäsivtechnik in die zahnmedizinische Behandlung gibt es einen enormen Zuwachs an zahnhartsubstanzschonenden Verfahrenstechniken. Die Kombination aus Adhäsivtechnik und modernen Hochleistungskeramiken ermöglichen ästhetisch wie funktionell überzeugende Restaurationen. Dabei gewinnt wie in allen medizinischen Bereichen die Schonung gesunder Gewebe immer mehr an Bedeutung. Der Erhalt gesunder Zahnhartsubstanz erfordert jedoch ein graziles Arbeiten auf der zahntechnischen Seite. Trotz der beachtlichen Fortschritte der Digitalisierung der Zahntechnik (CAD/CAM) ist das manuelle Vorgehen im Bereich der minimalinvasiven und ästhetischen Zahnmedizin der Goldstandard.

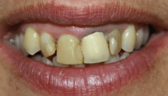
Jede restaurative Versorgung möchte sich harmonisch und natürlich in das Gleichgewicht zwischen Lippen, Zähnen und Gingiva einfügen. Besonders die Versorgungen im sichtbaren Bereich haben einen großen Einfluss auf das Lächeln und dadurch auf das Wohlbefinden des Patienten. Keramische Veneers bieten im Gegensatz zu klassischen Kronen die Möglichkeit, mit erheblich geringeren Schichtstärken zu arbeiten. Häufig kommen sie auch rein additiv zur Anwendung und bieten einen noninvasiven Ansatz. Neben der Analyse, Planung und Kommunikation zwischen Zahnarzt und Zahntechniker ist das Wissen um die richtigen Materialien und Techniken entscheidend. Der Beitrag beschreibt anhand der folgenden Kasuistik die Prinzipien der modernen Versorgung mit Veneers.

Analyse, Planung und Entscheidung

Die Analyse von Funktion und Ästhetik folgt einem festen Muster, wobei immer mehr neuere technische Hilfsmittel Einzug in die Analyse finden.

Bei der Funktionsanalyse im Artikulator und am Patienten werden Okklusionskontakte in statischer und dynamischer Okklusion bestimmt und analysiert. Liegen Defizite im Bereich der statischen und dynamischen Funktion vor, sollten diese in die Zielsetzung mit eingeplant werden. Eine funktionsgerechte Gestaltung der Front- und Seitenzähne nach dem Prinzip der gegenseitigen Schutzfunktion sollte angestrebt und ein Wiederaufbau der ursprünglichen Vertikaldimension in Betracht gezogen werden.

Für die labortechnische Analyse zur Herstellung des diagnostischen Wax-ups wurden Porträt- und Videoaufnahmen erstellt (Abb. 1 und 2). Digitale Tools, wie Digital Smile Design (nach Christian Coachman, São Paulo, Brasilien), bieten eine gute Hilfestellung. Abbildung 1 zeigt die digitale Planung und ästhetische Analyse, welche zur Kommunikation mit Zahntechniker und Patient genutzt wurde. Aufgrund der großen Entfernung zwischen Praxis und Zahntechniker waren digitale Hilfsmittel wie Videoaufnahmen und Fotos von sehr großer Bedeutung für die zahntechnische Umsetzung. Die Kommunikation erfolgte dabei über Messenger-Dienste wie WhatsApp und Facebook Messenger. Bilder und Videos wurden in Echtzeit vom Zahntechniker begutachtet und abgesegnet. Das diagnostische Wax-up der Veneers sollte das Behandlungsziel detailgetreu wiedergeben und bestimmt schlussendlich durch die Überführung in ein Mock-up die Zahnpräparation.

Wax-up/Mock-up

Eine möglichst schmelzschonende Präparation der Zähne ist für den Langzeiterfolg von Veneers aus Keramik von sehr großer Bedeutung. Der Substanzabtrag sollte sich daher immer vom Volumen des definitiven Zahnersatzes und nicht an der vorhandenen Zahnhartsubstanz orientieren. Die APT-Technik (aesthetic pre-evaluative temporary) nach Galip Gürel (Istanbul, Türkei), bei der die definitive Präparation der Zähne durch das Mock-up mit Tiefenmarkieren durchgeführt wird, ist noch heute der eleganteste Weg zur Kontrolle der Präparation mit höchstem Schmelzerhalt.1

Aus In-vitro-Studien ist bekannt, dass für die Präparation von Veneers signifikant weniger Zahnsubstanz entfernt werden muss, als bei allen anderen indirekten Restaurationen. Die Literatur gibt für Veneers auf reinem Schmelz eine weitaus höhere Bruchfestigkeit an, als für ihre Befestigung im Dentin.2, 3 Dies zeigt, wie wichtig eine detailgetreue Aufwachsmethode mit exakter Formgestaltung der Veneers ist. Die Wachsmodellation ist der wichtigste Schritt während der gesamten Behandlung und bedarf sehr viel Erfahrung vonseiten des Zahntechnikers. Die Abbildung 3 zeigt diesen Arbeitsschritt. Es wurden zwei unterschiedliche Wachsmodellationen hergestellt, die sich nur marginal in der Form unterscheiden. In einer zweiten Sitzung wurden das Mock-up mit einem Silikonschlüssel und dünnfließendem Kunststoff auf den Zähnen erstellt und ebenfalls in einer Liveschaltung zum Zahntechniker leicht modifiziert und mit Foto- und Videoaufnahmen dokumentiert (Abb. 4).

Präparation und Farbnahme

Die Präparation von 13-23 erfolgte nach der ATP-Technik, welche oben bereits erörtert wurde. Das Thema Misserfolg von Veneers aus Keramikmaterialien wurde in einigen Studien untersucht. Aktuell liegt der Fokus auf dem Frühversagen durch Mikrolecks am Zahn-Keramikrand-Interface. Am häufigsten wurden Debonding und Frakturen beobachtet.4–6

Es lässt sich festhalten, dass eine invasive Präparation mit der Freilegung von Dentin das Risiko von Mikrolecks und Adhäsivfrakturen erhöht. Es lag ein signifikanter Zusammenhang zwischen Misserfolg und Präparationstiefe vor.7, 8

Ebenfalls wurde ein Bezug zwischen Langlebigkeit und Abdeckung der Inzisalkante gefunden. Das Einbeziehen der Inzisalkante erbrachte schlechtere Ergebnisse als die Aussparung.9 Falls eine Einbeziehung der Inzisalkante aus ästhetischen oder funktionellen Gründen nicht vermeidbar ist, sollte auf eine zusätzliche palatinale Hohlkehlpräparation gänzlich verzichtet werden. Diese erhöht Ermüdungsefekte und Fehlbelastungen.10, 11

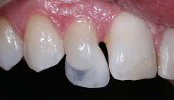
Nach der Präparation erfolgte die Farbnahme, welche idealerweise vom Zahntechniker selbst durchgeführt werden sollte. In unserem Fall war dies nicht möglich. Es wurden mehrere Aufnahmen mit verschiedenen Kamera- und Blitzeinstellungen erstellt. Dem Zahntechniker steht nur ein äußerst geringes Volumen zur Verfügung, weshalb die Stumpffarbe eine zentrale Rolle spielt. Die benutzten Farbschlüssel wurden mit Abdruck zum Techniker verschickt.

Keramikschichtung

Falls die präparierten Zähne eine natürliche Farbe aufweisen und keine größeren Verfärbungen haben, kann diese Farbe als natürlicher Farbträger dienen. Der Keramikaufbau richtet sich nach der Farbgebung und dem Wax-up in Größe und Form.

Die sehr geringen Schichtstärken und das selektive Auftragen der Keramikmassen ermöglichen es dem Zahntechniker, äußerst naturgetreue Effekte und eine gute farbliche Adaption im Ginigivabereich zu schaffen.

Die digitale Herstellung von so dünnen Veneers hat sich noch nicht etabliert, da diese frästechnisch nicht realisierbar sind. Häufig kommt es dadurch zur Überkonturierung und führt zu einem stark gekrümmten Emergenzprofil der klinischen Krone. Die Abbildungen 5 bis 8 dokumentieren die Brände, die Schichtung mit den unterschiedlichen Keramikmassen und die fertigen Veneers nach der Politur.

Anprobe/adhäsive Befestigung

Zur Anprobe wurden speziell auf das Einsetzkomposit abgestimmte Try-In Pasten verwendet. Aufgrund der hauchdünnen Gestaltung (0,3 mm) und hohen Transluzenz (Abb. 9) können geringe Farbveränderungen vorgenommen und die Restauration leicht angedunkelt oder aufgehellt werden. Die Anprobe sollte mit höchster Vorsicht vorgenommen werden, um Frakturen zu vermeiden. Werden vorab die Approximalkontakte exakt eingestellt, kann man ein Klemmen der Veneers verhindern.

Die Befestigung erfolgte ausschließlich adhäsiv und es kamen dünnfließende Komposite mit wenigen Füllstoffen zur Anwendung, dabei wurden die Herstellerangaben eingehalten. Die Abbildung 10 zeigt die Veneers nach Befestigung.

Fazit

Seit der Einführung von Veneers aus Keramik in den 1980er-Jahren haben sich die physikalischen Eigenschaften der Materialien und Ädhäsivsysteme erheblich verbessert. Es hat sich in Studien gezeigt, dass ein minimalinvasives Vorgehen mit dem Erhalt von Zahnschmelz nicht nur medizinisch sinnvoll ist, sondern auch die Langlebigkeit von Veneers stark erhöht. Somit stellt die Versorgung mit Veneers eine überlegene und modernere Form von Restauration dar und hat sich neben den weitaus invasiveren Alternativen wie Teilkronen und Kronen zu einer seriösen Therapiealternative etabliert.

Für eine erfolgreiche Behandlung sind neben der klinischen Erfahrung des Zahnarztes die Kenntnis und der Umgang mit den Materialien des Zahntechnikers von sehr großer Bedeutung. In der Zahntechnik kommt die digitale Planung, Konstruktion und Umsetzung immer häufiger zur Anwendung. Viele Formen von Zahnersatz sind heute ohne die CAD/CAM-Technologie nicht herstellbar. Dennoch erfordert die moderne, speziell die minimalinvasive Zahnmedizin eine manuelle Fertigung vom Zahntechniker. Diese Kunst sollte uns noch lange erhalten bleiben.

Danksagung

Alle zahntechnischen Arbeiten wurden von Mitsutaka Fukushima (ART JUSTICE Dental Studio, Japan) angefertigt.

Die vollständige Literaturliste gibt es hier.

Der Beitrag ist in der Cosmetic Dentistry 3/2017 erschienen.

Mehr Fachartikel aus Cosmetic Dentistry

ePaper