Cosmetic Dentistry 22.03.2019

Oberkieferfrontversorgung mit 360-Grad-Veneers und Kompositaufbauten im SZB



Oberkieferfrontversorgung mit 360-Grad-Veneers und Kompositaufbauten im SZB

Der Traum vom „perfekten Lächeln“ führt Patienten mit verschiedensten Vorstellungen in die Zahnarztpraxis. In diesem Beitrag wird die Behandlung einer Patientin mit guter allgemeiner Gesundheit vorgestellt. Die Ausgangssituation in diesem Patientenfall zeigt eine parafunktionell (Zähneknirschen) und erosiv (frühere Bulimie-Erkrankung) kompromittierte Frontbezahnung.

Allgemeinmedizinische Anamnese

Die Patientin ist zum Zeitpunkt der Anamnese 25 Jahre alt. Hinsichtlich Kinderkrankheiten erinnert sie sich nur an Masern, Mumps und Windpocken. Die Patientin litt viele Jahre unter Essstörungen (Bulimie). Laut Hausarzt ist die Essstörung nun therapiert; es sind keine Rückfälle zu verzeichnen. Keine Medikamenteneinnahme. Anamnese ansonsten unauffällig.

Zahnmedizinische Anamnese

Die letzte zahnärztliche Untersuchung fand vor ungefähr einem Jahr statt. Bis zu diesem Zeitpunkt suchte die Patientin halbjährlich ihren Hauszahnarzt zur Kontrolle/Zahnreinigung auf. Aufgrund einer Osteomyelitis, welche nach Weisheitszahnentfernung 38 auftrat, musste leider auch der Zahn 37 in der kieferchirurgischen Abteilung entfernt werden.

Aufgrund dieser Leidensgeschichte steht die Patientin zahnärztlichen Eingriffen nun sehr kritisch gegenüber. Sie kommt auf Empfehlung eines Patienten aus unserer Praxis und interessiert sich für Veneers im Oberkieferfrontzahnbereich. Sie weist darauf hin, dass die Frontzähne zusehends „kürzer“ und die gesamt Bezahnung immer „emfindlicher“ würde. Sie wünscht sich daher eine Verbesserung der ästhetischen und funktionellen Situation.

Patientenwünsche

Die Patientin entschied sich nach Aufklärung und eingehender Beratung für eine Sanierung der Zähne 15–25 mit Presskeramikoverlays; die Seitenzähne sollen (aus finanziellen Überlegungen) vorerst mit Kompositaufbauten restauriert werden und können zu einem späteren Zeitpunkt in Keramik überführt werden. Ein Einzelzahnimplantat in Regio 37 lehnt die Patientin aufgrund der vorangegangenen Leidensgeschichte (vorerst noch) ab. Sie legt großen Wert auf eine ästhetisch-funktionelle und dauerhafte Verbesserung ihrer orofazialen Ästhetik und steht einer notwendigen umfangreichen ästhetisch-rekonstruktiven Rehabilitation aufgeschlossen gegenüber.

Klinischer Befund

Funktionsstatus

Die manuelle und klinische Funktionsanalyse wies auf eine leichte parafunktionelle Aktivität hin. Die Frontbezahnung und Prämolaren zeigen massive nichtkariöse Läsionen vor allem im Palatinalbereich (Erosionen) sowie zusätzlich Attritionsfacetten (Pressen/Knirschen). Es finden sich Hyperbalancekontakte an 36. Die manuelle Führung ergab eine Abweichung in maximaler Interkuspidation (ohne Führung) und zentraler Kondylenposition (mit Führung). Die Kiefergelenke sind unauffällig, ebenso die Öffnungs- und Schließbewegungen. Druckdolenzen der Muskulatur bei Palpation. Verspannungen im Schulter- und Nackenbereich.

Rote Ästhetik (Abb. 1)

Zahnlänge: Die Patientin wünscht sich eine perfekte OK-Frontbezahnung. Das entspannte Lächeln zeigt bereits fast die gesamte Länge der Frontzähne. Die Schneidekanten treffen beim Lächeln nicht auf die Unterlippe (berührungsinaktives Lächeln). Es zeigen sich hauptsächlich, bedingt durch Bulimie-Erkrankung/Parafunktion, massive Zahnhartsubstanzverluste/Schmelzabsplitterungen im oberen Kronendrittel der Frontzähne.

Zahnform: Es imponieren quadratische Zahnformen. Im Ober- und Unterkiefer zeigt sich ein ausreichendes Band an keratinisierter Gingiva, das Weichgewebe entspricht einem dünnen Biotyp. Der Alveolarfortsatz verläuft bukkal 2 mm unterhalb der Schmelz-Zement-Grenze (high crest). Eine Gingivarezession an 22 stört den ansonsten harmonischen Verlauf des Weichgewebes und ist aufgrund der hohen Lachlinie deutlich sichtbar. Im UK zeigt sich ein unregelmäßiger Verlauf (32 steht nach lingual aus dem Zahnbogen).

Weiße Ästhetik (Abb. 2)

Zahnform: Das Längen-Breiten-Verhältnis der zentralen Schneidezähne beträgt 60 Prozent. Die mittleren und seitlichen Schneidezähne zeigen starke Abrasionen. Der Alveolarfortsatz in Regio 12–22 ist um den Betrag des Zahnhartsubstanzverlustes elongiert (überhoher Oberkiefer). Es imponieren lange Eckzahnkronen sowie ein leicht negativer Verlauf der Inzisallinie 13–23. Die UK-Interinzisallinie ist gegenüber der fazialen Mittellinie um 2 mm nach links verschoben (Lückenschluss 31).

Dentalstatus

Zahnform: Neben den erwähnten Abrasionen im Ober- und Unterkieferfrontzahnbereich erscheinen die seitlichen Schneidezähne leicht nach palatinal versetzt. Der Engstand in der UK-Front soll (vorerst) unbehandelt bleiben, da der Oberkiefer erste Priorität hat und die Behandlung des Unterkiefers zu einem späteren Zeitpunkt durchgeführt werden soll. Die anatomische Kauflächenstruktur in den Front- und Seitenzahnbereichen ist durch die erosive Vorschädigung nur teilweise erhalten geblieben.

Zahnfarbe: dem Alter entsprechend natürlich. Die Patientin wünscht sich dennoch im Rahmen der Rehabilitation eine deutliche Aufhellung der Zahnfarbe.

Diagnosen

Neben der Nichtanlage 31 (KFO-Lückenschluss) wurden bei der Patientin Parafunktionen sowie eine Myopathie und Störungen der statischen und dynamischen Okklusion festgestellt; ferner Caries profunda 45 (Vitalitätsprobe positiv). Es zeigte sich generalisierter Zahnschmelzverlust vor allem im Bereich der Ober- und Unterkieferfront und Prämolaren mit starken Attritionen. Die Patientin besitzt ein prothetisch (verkürzte Zahnreihe/Kennedy-Klasse II) und konservierend insuffizient versorgtes Erwachsenengebiss.

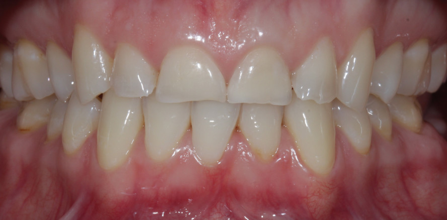
Intraoraler Fotostatus – Anfangsbefund

Die Aufnahmen der Lateral- und Okklusalansicht wurden gespiegelt, um eine seitenrichtige Darstellung wiederzugeben. Aufnahmedatum: 11.09.2014 (Abb. 7–11).

Behandlungsplan

  1. Situationsmodelle, arbiträre Übertragung, Wax-up/Mock-up
  2. Dentalhygiene
  3. Schienenvorbehandlung
  4. Etablierung einer neuen vertikalen und horizontalen Relation des Unterkiefers in ZKP (zentrischer Kondylenposition) mit semipermanenten und permanenten Kompositaufbauten 17–27 und 37–47 (Tetric Evo Ceram, Ivoclar Vivadent) anhand des Wax-ups mittels transparenter Silikonschlüssel, begleitende Kieferphysiotherapie zur Unterstützung der Adaptation an die neue VDO
  5. Konservierende Vorbehandlung (ästhetische Kronenverlängerungen 12, 11, 21; plastischer Stiftaufbau 21)
  6. Implantation 36 mit simultanem Hartgewebsaufbau. Definitive Sanierung mit Zirkonoxid-Einzelkrone auf Zirkonabutment (Replace Select Tapered, NobelProcera, Nobel Biocare)
  7. Sequenzielle (quadrantenweise) Sanierung mit Presskeramikoverlays und Inlays im SZB, OK-/UK-Feldspatkeramikveneers 13–23
  8. Abformung, Kieferrelationsbestimmung in RKP, Gesichtsbogenübertragung, Anproben und definitive Eingliederung in den Folgesitzungen
  9. Nachkontrolle und Nachsorge

Behandlungsablauf

  • Prophylaxesitzung einschließlich Reevaluation und professioneller Zahnreinigung, Funktionsbefund, Abformung OK-/UK-Alginat für Wax-up/Mock-up 15–25, arbiträre Übertragung/Clinometerregistrierung, Bissnahme in ZKP zur Herstellung einer Aufbissschiene (Michiganschiene) (Abb. 12).
  • Condylografie und arbiträre Gesichtsbogenübertragung (Abb. 13). Bestimmung der Idealwinkel der Zähne aus frontaler Sicht mit dem Clinometer nach Dr. Behrend (Abb. 14). Funktionell-ästhetisches Wax-up.
  • Kariesexkavation 45 unter Kofferdam und Verwendung von Kariesdetektor nach vorhergehender Kavitätenreinigung mit Chlorhexidin. Plastischer Stiftaufbau an 21.
  • Intraoraler Transfer via additiver Kompositaufbauten 17–27, UK 33–37 und 43–47 beidseits (Tetric Evo Ceram, Ivoclar Vivadent) anhand des Wax-ups mittels transparenter Silikonschlüssel (Abb. 15).
  • Chirurgisch/ästhetische Kronenverlängerung 12, 11, 21 nach lokaler Anästhesie mit sulkulärer Inzision und modellierender Ostektomie im Bukkalbereich. Ausformung Gingiva mittels externer Gingivektomie.
  • Registrierung/Condylografie.
  • Präparation der Zähne im Oberkiefer in lokaler Anästhesie unter Zuhilfenahme einer Lupenbrille (4,5-fache Vergrößerung, Zeiss). Präparation 15–25 zur Aufnahme von Veneers 13–23, 15 und 25 Overlaypräparationen (Abb. 16).
  • Zweifache Abdrucknahme der präparierten Zähne mittels Doppelfadentechnik: Einbringen eines ersten, getränkten (Racestyptine solution, Septodont) Fadens (Ultrapak 0, Ultradent Products), über welchen ein zweiter getränkter Faden größeren Durchmessers gelegt wird (Ultrapak 1, Ultradent Products). Wartezeit bis zur Abdrucknahme mit den gelegten Fäden etwa 10 Minuten.
  • Die Abdrucknahme erfolgt nach Entfernung des zuletzt gelegten Fadens (der zuerst gelegte Faden geringeren Durchmessers verbleibt im Sulkus) mittels eines A-Silikons in Doppelmischtechnik einzeitig: Umspritzung der präparierten Zähne mit dünnfließendem Material (Express Ultra-Light Body, 3M Espe) und Einbringen des schwerfließenden Materials (Express Penta Putty, 3M Espe) in einen Abdrucklöffel.
  • Horizontale und vertikale Kieferrelationsbestimmung in ZKP aus thermoplastischem Kunststoff (Bite Compound, GC). Die unpräparierten Zähne dienten dabei zur Abstützung der Kiefergelenke und Beibehaltung der neuen/therapeutischen vertikalen Dimension. Gegenkieferabformung (UK) mit Alginat.
  • Provisorische Versorgung der präparierten Zähne mittels Silikonschlüssel (via Wax-up angefertigt) und Protemp 3 Garant A1 (3M ESPE). Eingliederung der Chairside-Provisorien nach Ausarbeitung und Kontrolle von Randpassgenauigkeit und Okklusion durch punktförmige Schmelzätzung mit 35-prozentiger Phosphorsäure, Primen und Bonden mit Syntac Classic (Ivoclar Vivadent). Artikulation (Abb. 17).
  • Anprobe der Feldspatkeramikveneers mit Glyceringel (Variolink II Try-In, Ivoclar Vivadent). Kontrolle auf Randpassung, exakten Sitz sowie Überprüfung der Okklusion, Artikulation und Phonetik. Anlehnung an frühere Zahnform (Zahnform mehr „rechteckig“). Form und Konturen zeigen eine gute Integration in die umliegenden Weichteilstrukturen. Die mittleren Schneidezähne wurden ausgehend vom Wax-up nochmals um 1 mm verlängert, um ein ansprechenderes Lächeln sowie eine ausreichende Sichtbarkeit bei ruhendem Unterkiefer zu gewährleisten. Ästhetikkontrolle im Beisein des ausführenden Zahntechnikers: Einzelzahnkontrolle in ästhetischer Hinsicht unter Berücksichtigung der entsprechenden Ästhetikparameter und Notierung eventueller Korrekturen.
  • Eingliederung der definitiven Versorgung im OK. Zum Einsetzen der Veneers wird nach vorherigem Abstrahlen (Rondoflex plus, KaVo) mit Aluminiumoxidpulver der Korngröße 27 µm (Rondoflex plus, KaVo) und Schmelzätzung mit 35-prozentiger Phosphorsäure (Ultra-Etch, Ultradent Products) eine selektive adhäsive Befestigung der zuvor geätzten und silanisierten (Monobond S Silan, Ivoclar Vivadent) Feldspatkeramikveneers 12–22 und Presskeramikseitenzahnrestaurationen 3er und 5er (IPS e.max Press, Ivoclar Vivadent) mit Syntac Classic und Empress Direct Enamel A1 (Ivoclar Vivadent) vorgenommen (Abb. 18).
  • Ausführliche und detaillierte Besprechung des ästhetischen Ergebnisses mit der Patientin. Abschlusskontrolle sämtlicher funktioneller und ästhetischer Parameter.
  • Nachkontrolle und Erhebung der Abschlussbefunde.
  • Eingliederung Aufbissschiene/Nachkontrollen.
  • Aufnahme in das Nachsorgeprogramm.

Diskussion

In dem vorliegenden Fall handelt es sich um eine aufwendige ästhetisch-rekonstruktive Rehabilitation, mit deren Ergebnis sich die Patientin vollumfänglich zufrieden zeigt.1, 2 Die 25-jährige Patientin begab sich in zahnärztliche Behandlung, nachdem sich das ästhetische Erscheinungsbild der oberen Frontzähne immer mehr verschlechtert hatte sowie eine zunehmende Kälteempfindlichkeit aller Zähne, besonders im Oberkieferfront- und Prämolarenbereich, aufgetreten war. Die Röntgenaufnahmen zeigten keinerlei Beeinträchtigung der parodontalen Haltefunktion. Aufgrund der langjährigen Bulimie-Erkrankung zeigten die Zähne generalisiert massive, nicht kariöse Zahnhartsubstanzdefekte (Erosions-/Abrasionsschäden vor allem im OK-Frontzahn- und Prämolarenbereich). An Zahn 45 wurde zudem eine profunde Karies diagnostiziert.

Die Patientin wünschte sich hellere und längere Frontzähne, welche nach vorangegangener funktionell-konservierender Vorbehandlung mit Feldspatkeramikveneers realisiert wurden.7, 3 Um gleichermaßen den funktionellen Ansprüchen zu genügen, wurden die Palatinalflächen aufgrund der endodontischen Zugangskavität bei 21 sowie der massiven Zahnhartsubstanzdefekte im gesamten Front- und Prämolarenbereich mit in die Therapie einbezogen, um in der zentrischen sowie dynamischen Okklusion eine ausreichend stabile Bisslage und -führung zu gewährleisten.4

Dabei wurde die habituelle Okklusion zugunsten der zentrischen Kondylenposition aufgegeben und in der Vorbehandlungsphase mit Kompositrestaurationen (via Full Wax-up/Silikonschlüssel) aufgebaut, da die Patientin bei der klinischen Funktionsanalyse Anzeichen einer myogenen und arthrogenen Störung aufwies und mit der bisherigen Bisslage auch nicht gut zurechtkam.8 Bei der fazialen Analyse und (noch deutlicher) nach Aufbau der Zähne in Komposit zeigte sich eine leicht nach rechts hängende Eckzahnlinie, welche auf eine asymmetrische Inklination des Oberkiefers sowie eine leichte Neigung der Zahnachsen nach rechts zurückzuführen ist. Weiter zeigte sich in der Reevaluation eine deutlich bessere Eingliederung des Zahnes 32 zurück in den Zahnbogen, welche zum einen durch den Aufbau mit Komposit und zum anderen möglicherweise durch die Bisslageveränderung zustande kam. Die ästhetisch-rekonstruktive Behandlung der Frontzähne erfolgte mit 360-Grad-Veneerpräparationen. Die beiden Prämolaren wurden mit Overlays aus Presskeramik versorgt.5 Die kariöse Läsion an 45 wurde mit einer Kompositfüllung behandelt. Die Restbezahnung bleibt zunächst mit den Kompositaufbauten versorgt und kann gegebenenfalls durch Keramikonlays oder neue Kompositfüllungen versorgt werden. Alternativ wäre die Behandlung im Frontzahnbereich ebenso ausschließlich mit Kompositfüllungen/Aufbauten durchführbar gewesen.6 Die gegenüber Keramik verminderte Abrasionsresistenz und ein damit verbundener zyklischer Erneuerungsbedarf der Kompositrestaurationen sprach wiederum für die prothetische Versorgung. Zudem zeichnet sich Keramik durch bessere biologische (Plaqueakkumulation) und materialspezifische (Farbe, Transluzenz und Beständigkeit) Eigenschaften gegenüber Komposit aus.

Die prothetische Versorgung sollte, wie bereits erwähnt, hohen ästhetischen und biologischen/funktionellen Ansprüchen gerecht werden und wurde deshalb im Frontzahnbereich mit geschichteten Veneers aus Feldspatkeramik7 und im Bereich der Prämolaren/Eckzähne mit Presskeramik ausgeführt. Die Implantation im linken Unterkiefer wird aus psychologischen (Angst) und finanziellen Gründen noch zurückgestellt.

Die Patientin ist mit der durchgeführten Sanierung äußerst zufrieden und freut sich nach eigener Aussage „jeden Tag beim morgendlichen Blick in den Spiegel“. Einem regelmäßigen halbjährlichen Recall steht die Patientin sehr aufgeschlossen gegenüber. Abschließend betrachtet, stellt sich die durchgeführte Sanierung für den Behandler in ästhetischer als auch funktioneller/rekonstruktiver Sicht als Erfolg dar.

Funktionsstatus

Die manuelle und klinische Funktionsanalyse ergab keinen auffälligen Befund. Für die dynamische Okklusion wurde eine Front-Eckzahn-gestützte Variante programmiert. Die manuelle Führung ergab keine Abweichung in maximaler Interkuspidation (ohne Führung) und zentrischer Kondylenposition (mit Führung).

Die Kiefergelenke sind unauffällig (kein Reiben, kein Knacken), ebenso die Öffnungs- und Schließbewegungen, (noch) leichte Druckdolenzen der Muskulatur bei Palpation, aber schon deutliche Besserung gegenüber dem Ausgangsbefund.

Rote Ästhetik

Der Gingivaverlauf ist harmonisch (hohe Lachlinie). Das Weichgewebe um die Restaurationsränder zeigt eine hervorragende Integration. Die Interdentalpapille 11/21 ist knapp zwei Monate nach Einsetzen wieder vollständig ausgeformt (Abstand Sounding-Präpgrenze/Approximalkontakt < 5 mm) (Abb. 19).

Weiße Ästhetik

Zahnlänge: Die OK-Front erfüllt nun die Wünsche und Vorstellungen der Patientin. Das aktive Lächeln entblößt die gesamte Länge der Frontzähne. Der Inzisalkantenverlauf folgt der Stellung der Unterlippe (berührungsaktives Lächeln).

Zahnform: Die größeren und längeren Schneide- und Eckzähne fügen sich harmonisch in das Gesamtbild der Restbezahnung ein und schenken der Patientin ein attraktives Erscheinungsbild. Form und Größe, Charakterisierung durch den ausführenden Zahntechniker (Transparenz, Transluzenz) sowie die Oberflächenstruktur (Textur) der keramischen Veneers zeigen ein ansprechendes Erscheinungsbild. Das Längen-Breiten-Verhältnis beträgt nun circa 80 Prozent (Länge 12 mm, Breite 10 mm).

Zahnfarbe: Die Zahnfarbe entspricht nun den Vorstellungen der Patientin.

Zahnstellung: Die leicht nach bukkal stehenden Frontzähne konnten durch die Einzelzahnrestaurationen etwas nach dorsal verlagert werden. Durch die palatinale Einfassung an 11, 21 konnte gezielt eine gute Front-Eckzahn-Führung in die Fullveneerrestaurationen eingearbeitet werden.

Zusammenfassung der ästhetischen Problematik

Es zeigt sich nun hinsichtlich der Länge (Lächeln), Form, Farbe und Stellung der Zähne sowie der rosa Ästhetik ein ansprechendes dentogingivales Erscheinungsbild (Abb. 20). Die unteren Frontzähne haben nun leichten Kontakt auf den Palatinalflächen der oberen Eck- und Schneidezähne. Der Overbite beträgt durch die vergrößerten mittleren Restaurationen 5 mm, der Overjet 4 mm.

Literatur bei der Redaktion.

Der Beitrag ist in der DENTALZEITUNG erschienen.

Foto: Autoren

Mehr Fachartikel aus Cosmetic Dentistry

ePaper