Cosmetic Dentistry 16.10.2025
Vier-Quadranten-Rehabilitation einer stark erodierten Dentition
share
Allgemeine und spezielle Anamnese
Die Patientin ist gesund und nimmt keine Medikamente ein. An Kinderkrankheiten erinnert sie sich nur an Scharlach und Mumps.
Bei der zahnmedizinischen Anamnese stellte sich ein hoher Konsum säurehaltiger Getränke (v. a. Coca-Cola light) heraus, welcher zu generalisierten Erosionen im Gebiss geführt hat. Die Zähne 36 und 47 wurden aufgrund endodontischer Vorbehandlung/Kronenfrakturen vor ca. vier Jahren entfernt. Der Leidensdruck, insbesondere verursacht durch die immer kürzer werdenden Frontzähne, bewog sie nach Aufklärung/Beratung zu einer Gesamtrestauration in allen vier Quadranten mit Presskeramikteilkronen und -veneers sowie drei Einzelzahnimplantaten.
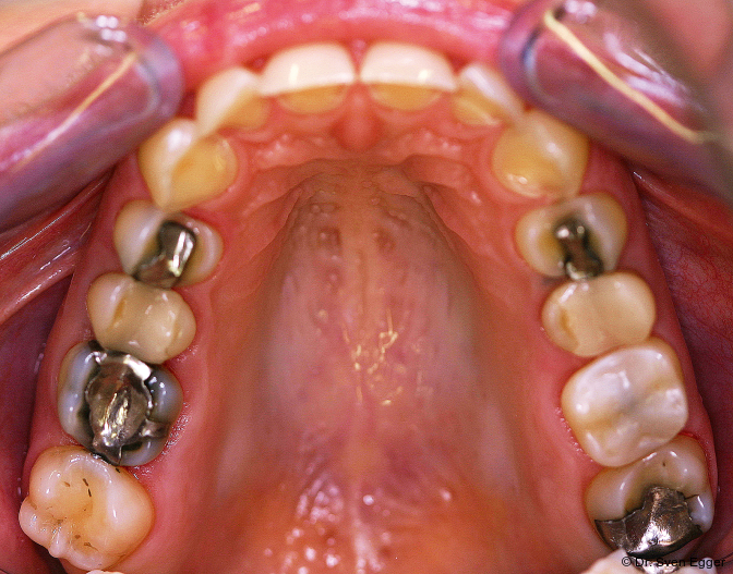
Parodontal zeigen sich keine Auffälligkeiten. Der CMD-Kurzbefund zeigte eine Druckdolenz im Bereich M. masseter und M. temporalis. Die KG sind unauffällig.Die Zähne 17, 26 sind elongiert, 37 ist nach mesial gekippt. Es liegt ein Tiefbiss vor.
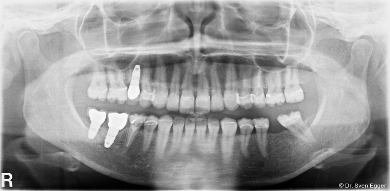
Das OPG zeigt insuffiziente endodontische Versorgungen an 15, 25 und 46. Die Kieferhöhle rechts zeigt eine kirschgroße, kugelige Verschattung (Überweisung/Abklärung Kieferchirurgie).
Aus der klinischen und röntgenologischen Befundung leiteten sich folgende Diagnosen ab:
- Parafunktion mit massivem Zahnhartsubstanzverlust(Erosionen/Abrasionen) bei bestehender Deckbisssituation
- Leichte Hypertonie und Druckdolenz bei M. masseter und M. temporalis beidseits
- Regelmäßige Kopfschmerzen, Verspannungen im Schulter- und Halsbereich
- Störung der statischen und dynamischen Okklusion
- Sinusitis maxillaris rechts (Verdacht auf Mukozele)
- Prothetisch und konservierend insuffizient versorgtes Erwachsenengebiss
Behandlungsplan
- Dentalhygiene (Abformung für Situ-Modelle, Total-Wax-up, Fotostatus, Bissnahme in ZKP, Gesichtsbogenübertragung), Glasionomerzementfüllung 46
- Klinische und instrumentelle Funktionsanalyse
- Überweisung/Therapie chirurgische Poliklinik Verschattung Kieferhöhle rechts
- Revision der insuffizienten Wurzelfüllungen 15, 25 und 46. Bei Nichterfolg jeweils Extraktion, Ersatz durch Einzelzahnimplantat nach Abheilphase von zwei Monaten.
- Etablierung einer neuen vertikalen und horizontalen Relation des Unterkiefers in ZKP (zentrischer Kondylenposition) mit temporären Kompositaufbauten 7-7 OK/UK (Tetric Evo Ceram, Ivoclar) anhand des Wax-ups mittels transparenter Silikonschlüssel (Elite Transparent, Zhermack), begleitende Kieferphysiotherapie zur Unterstützung der Adaptation an die neue VDO.
- Reevaluation/Akzeptanz der neuen VDO nach Adaptationsphase von vier Wochen.
- Einzelzahnimplantate 047 und gegebenenfalls bei 15, 25 und 46 (bei erfolgloser WB-Revision).
- Präparation für die definitive Versorgung im Unterkiefer 37, 35-46 Presskeramikteilkronen und -veneers.
- Abdrucknahme, Zentrikbissnahme, Gesichtsbogenübertragung, Anproben und definitive Eingliederung in den Folgesitzungen.
- Präparation für die definitive Versorgung im Oberkiefer 17-27 Presskeramikveneers und -teilkronen.
- Abdrucknahme, Zentrikbissnahme, Gesichtsbogenübertragung, Anproben und definitive Eingliederung in den Folgesitzungen.
- Nachkontrolle und Nachsorge.
- Nach erfolgter Vorbehandlung stellen sich alle für die definitive Versorgung geplanten Zähne (15, 25 und 46 unter Vorbehalt) als sicher erhaltungswürdig dar.
Behandlungsablauf
- Prophylaxesitzung einschließlich Reevaluation und professioneller Zahnreinigung. In-Office-Bleaching im Frontsegment 3-3 des Ober- und Unterkiefers mit Opalescence Boost 35 % (Ultradent) in drei Durchgängen zu je 15 Minuten (Gesamtdauer: 45 Minuten). Abformung OK/UK mit Alginat. Anfertigung vollständiger Fotostatus. Durchführung einer klinischen und instrumentellen Funktionsanalyse (Abb. 10).
- Mock-up im Bereich 13-23 mit Silikonschlüssel (gefertigt auf Wax-up-Modell; Abb.11).
- Präparation der Zähne im Oberkiefer in lokaler Anästhesie (Articain 1:100 000, Aventis) unter Zuhilfenahme einer Lupenbrille (4,5-fache Vergrößerung, Zeiss).
- Präparation im Bereich 13-23 zur Aufnahme von Presskeramikfullveneers (Hohlkehldiamant 886-012 M, Öko Dent und Finierer FG 8878/014, Komet; Abb. 12).
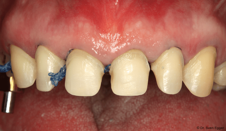
- Zweifache Abdrucknahme der präparierten Zähne mittels Doppelfadentechnik: Einbringen eines ersten, getränkten (Racestyptine solution, Septodont) Fadens (Ultrapak 0, Ultradent), über welchen ein zweiter getränkter Faden größeren Durchmessers gelegt wird (Ultrapak 1, Ultradent). Ca. zehn Minuten Wartezeit bis zur Abdrucknahme mit den gelegten Fäden.
- Die Abdrucknahme erfolgt nach Entfernung des zuletzt gelegten Fadens (der zuerst gelegte Faden geringeren Durchmessers verbleibt im Sulkus) mittels eines A-Silikons in Doppelmischtechnik einzeitig: Umspritzung der präparierten Zähne mit dünnfließendem Material (Express Ultra-Light Body, 3M Espe) und Einbringen des schwerfließenden Materials, (Express Penta Putty, 3M Espe) in einen Abdrucklöffel (Rim Lock, DeTrey; Abb.13).
- Kieferrelationsbestimmung in habitueller Interkuspidation (HIKP) mit thermoplastischem Kunststoff (Bite Compound, GC).
- Gegenkieferabformung (UK) mit Alginat (Alginat, Cadco).
- Provisorische Versorgung der präparierten Zähne mittels Silikonschlüssel (via Wax-up angefertigt) und Pro Temp 3 Garant A1 (3M ESPE). Eingliederung der Veneerprovisorien nach Ausarbeitung und Kontrolle von Randpassgenauigkeit und Okklusion durch punktförmige Schmelzätzung mit 35 %iger Phosphorsäure, Primen und Bonden mit Syntac Classic (Ivoclar).
- Erste Anprobe. Entfernung der provisorischen Versorgung und sorgfältige Reinigung der präparierten Zähne. Aufsetzen der Presskeramikveneers (IPS Empress, Ivoclar) mit Glyceringel (Variolink II Try-In, Ivoclar). Kontrolle auf Randpassung, exakten Sitz sowie Überprüfung der Okklusion, Artikulation und Phonetik.
- Eingliederung der definitiven Versorgung im OK. Zum Einsetzen der Veneers wird nach vorherigem Abstrahlen (Rondoflex plus, KaVo) mit Aluminiumoxidpulver der Korngröße 27 mm (Rondoflex plus, KaVo) und Schmelzätzung mit 35 % Phosphorsäure (Ultraetch, Ultradent) eine selektive adhäsive Befestigung der zuvor geätzten und silanisierten (Monobond S Silan, Ivoclar) Presskeramikveneers (IPS Empress, Ivoclar) mit Syntac Classic (Ivoclar) und Variolink II (Ivoclar) vorgenommen (Abb. 14).
- Ausführliche und detaillierte Besprechung des ästhetischen Ergebnisses mit der Patientin.
- Abschlusskontrolle sämtlicher funktioneller und ästhetischer Parameter.
- Nachkontrolle und Erhebung der Abschlussbefunde.
- Eingliederung Aufbisschiene/Nachkontrollen.
- Aufnahme in das Nachsorgeprogramm.

Diskussion
In dem vorliegenden Fall handelt es sich um eine aufwendige ästhetisch-rekonstruktive Rehabilitation,2 mit deren Ergebnis sich die Patientin vollumfänglich zufrieden zeigt. Seitens des Behandlers wurde eine adhäsive Full-Mouth-Rehabilitation zur Behandlung der fortgeschrittenen generalisierten Attrition/Erosion und des Deckbisses mit Teilkronen und Veneers angeregt und die Sanierung nach Bisshebung im Seitenzahnbereich kieferweise in ZKP (zentrale Kondylenposition) nach entsprechender chirurgischer, konservierender und funktioneller Vorbehandlung (temporäre Kompositaufbauten) durchgeführt.3,4 Die Präparation sollte möglichst rein schmelzbezogen umgesetzt sein.5 Die Rehabilitation des Frontzahnbereichs mit Keramikveneers7 geschah auf Wunsch der Patientin. Alternativ hätte auch eine Versorgung mit Non-Prep Veneers durchgeführt werden können, um maximal viel Zahnsubstanz zu erhalten, jedoch entschied sich die Patientin nach Anprobe eines Non-Prep Testveneers für das Prep Veneer, da sie Wert auf eine weniger „voluminöse“ Ausführung legte.Eine weitere Alternative wäre, ausschließlich mit Komposit oder kombiniert mit Veneers und Komposit zu arbeiten.6 Die gegenüber Keramik verminderte Abrasionsresistenz und der damit verbundene zyklische Erneuerungsbedarf der Kompositrestaurationen sprachen wiederum für die prothetische Versorgung. Zudem zeichnet sich Keramik durch bessere biologische (Plaqueakkumulation) und materialspezifische (Farbtransluzenz und Beständigkeit) Eigenschaften gegenüber Komposit aus.8 Somit war auch angesichts des mittleren Alters der Patientin und dem Wunsch einer langfristig ästhetischen Versorgung Rechnung getragen.1,5
Die mit einem Restrisiko behafteten Zähne 15 und 46 (Zahn 15 zeigte nach Revision noch immer eine leichte Drucksymptomatik, bei Zahn 46 waren die mesialen Wurzelkanäle obliteriert) erwiesen sich in der Vorbehandlung dann als nicht erhaltungswürdig und wurden nach Extraktion durch Einzelzahnimplantate ersetzt. Alternativ hätte im 1. Quadranten die Schaltlücke Regio 15 mit einer festsitzenden Brücke geschlossen werden können. Aufgrund des ausreichenden Knochenangebotes und der besseren Mundhygienefähigkeit entschied sich die Patientin jedoch für den implantatgetragenen Einzelzahnersatz. Eine herausnehmbare Versorgung lehnte die Patientin bereits im Vorfeld ab. Die Schaltlücke im 3. Quadranten konnte im Rahmen der prothetisch/funktionellen Rehabilitation in ZKP belassen werden, da eine Antagonistenabstützung an 26 mesial und distal realisiert werden konnte. Alternativ wäre eine kieferorthopädische Distalisierung (Lückenöffnung) mit Einzelzahnimplantat 036 denkbar gewesen. Der erhöhte Behandlungs- und Zeitaufwand stand aus Sicht des Behandlers jedoch nicht im Verhältnis mit dem daraus resultierenden Nutzen. Einem regelmäßigen Recall steht die Patientin sehr aufgeschlossen gegenüber.
Abschließend betrachtet, stellt sich das Behandlungsergebnis auch für den Behandler in ästhetisch-rekonstruktiver Hinsicht als Erfolg dar. Die Prognose ist aufgrund der interdeferenzfreien Front-Eckzahn-Führung4 aus funktioneller Sicht betrachtet als positiv zu werten. Parodontal liegen keine Entzündungen vor. Die Patientin ist gesund. Das Tragen einer Nachtschiene wurde der Patientin empfohlen und wird auch konsequent befolgt.

Funktionsstatus
Die manuelle und klinische Funktionsanalyse ergab keinen auffälligen Befund. Für die dynamische Okklusion wurde eine Front-Eckzahn-geschützte Variante programmiert. Die manuelle Führung ergab keine Abweichung in maximaler Interkuspidation (ohne Führung) und zentraler Kondylenposition (mit Führung).
Die Kiefergelenke sind unauffällig (kein Reiben, kein Knacken), ebenso die Öffnungs- und Schließbewegungen, leichte Druckdolenzen der Muskulatur bei Palpation. Gelegentlich (noch) leichte Kopfschmerzen.
Rote Ästhetik
Es zeigen sich stabile und gesunde Weichgewebsverhältnisse nach abgeschlossener prothetischer Behandlung.
Weiße Ästhetik
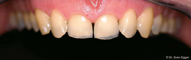
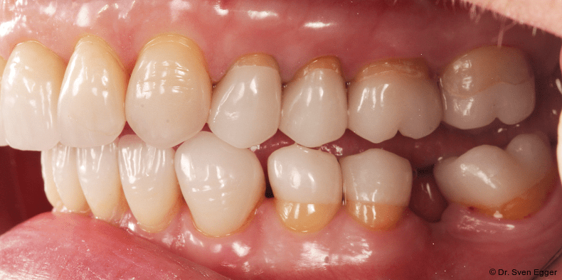
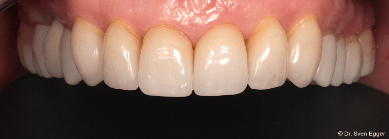
- Zahnlänge: Die Verlängerung der gesamten Oberkieferfront um ca. 1 mm empfindet die Patientin als sehr attraktiv, das entspannte Lächeln zeigt fast die gesamte Frontzahnreihe. Der Schneidekantenverlauf folgt der Konkavität der Unterlippe.
- Zahnform: Die größeren und längeren Schneide- und Eckzähne sowie die kleine Stellungskorrektur der beiden seitlichen Schneidezähne fügen sich harmonisch in das Gesamtbild der Restbezahnung ein und schenken der Patientin ein attraktives Erscheinungsbild (Abb. 15).
- Form und Größe, Charakterisierung durch den ausführenden Zahntechniker (Transparenz, Transluzenz) sowie die Oberflächenstruktur (Textur) der keramischen Veneers zeigen ein ansprechendes Erscheinungsbild. Das Längen-Breiten-Verhältnis beträgt nun circa 80 Prozent (Länge 11 mm, Breite 8 mm).
- Zahnstellung: Die leicht nach distal rotierten seitlichen Schneidezähne konnten durch die Einzelzahnrestaurationen etwas ausgeglichen werden. Durch die „Verlängerung“ der Eckzähne konnte gezielt eine gute Front-Eckzahn-Führung in die Veneerrestaurationen eingearbeitet werden.
- Zahnfarbe: Die Zahnfarbe entpricht ganz den Vorstellungen der Patientin (A2, VITA).
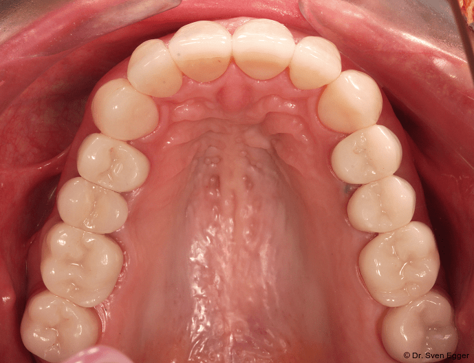
Zusammenfassung der ästhetischen Problematik: Es zeigt sich nun hinsichtlich der Länge (Lächeln), Form, Farbe, Stellung der Zähne sowie der rosa Ästhetik ein ansprechendes dentogingivales Erscheinungsbild. Die unteren Frontzähne haben leichten Kontakt auf den Palatinalflächen der oberen Eck- und Schneidezähne. Der Overbite beträgt 4 mm. Der Overjet 2 mm (Abb. 16+17).
Nachuntersuchung (15-Jahres-Follow-up)
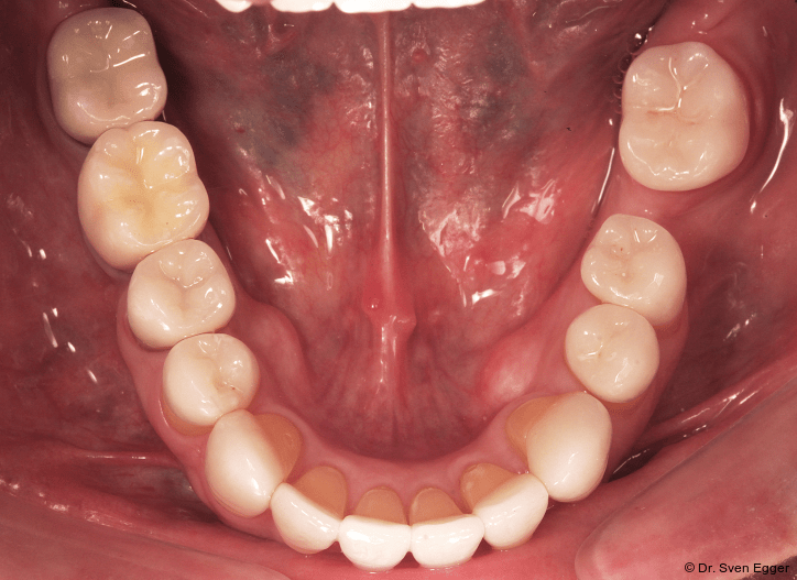
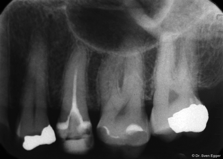
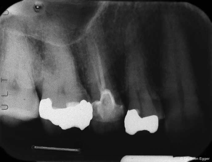
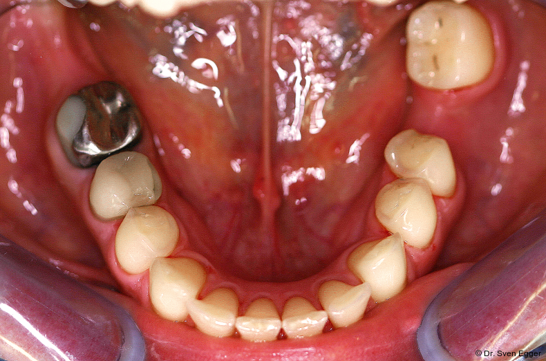
Die Follow-up-Untersuchung zeigte ein Ergebnis, mit dem die Patientin nach 15 Jahren Tragezeit weiterhin vollumfänglich zufrieden ist. Die keramische Teilkrone an Zahn 17 wurde am 31.5.2022 aufgrund Debondings nach erneuter Konditionierung wieder eingesetzt. Die Kieferhöhlen sind verschattungsfrei und zeigen keine Anzeichen eines Rezidivs der in 2007 erfolgten Zystenoperation in der rechten Kieferhöhle (Mukozele). Die endodontisch revidierten Zähne 25 und 45 zeigen weder klinisch noch röntgenologisch Auffälligkeiten. Die Stellung der Ober- und Unterkieferfront sowie die in ZKP etablierte horizontale und vertikale Relation des Unterkiefers ist stabil und bereitet keinerlei Schwierigkeiten. Die Implantate weisen klinisch und röntgenologisch schöne Hart- und Weichgewebsverhältnisse auf. Die häusliche Mundhygiene ist sehr gut. Es sind keine Anzeichen einer Funktionsproblematik zu erkennen. Die Michigan-Schiene wurde 2022 erneuert. Für die vorliegende Situation lässt sich damit auch weiterhin eine sehr gute Langzeitprognose aussprechen (Abb. 18–25).
Weiterer Autor: ZT Daniel Häni