Endodontologie 14.08.2013

Schnelle Versorgung auf zuverlässiger und stabiler Basis

Bei Restaurationen im sensiblen Frontzahnbereich gibt es neben direkten und indirekten Keramikversorgungen längst auch minimalinvasive Möglichkeiten zur Realisierung direkter und dauerhaft beständiger Versorgungen mit Composite. Eine besondere Herausforderung stellt hier jedoch nach wie vor die Versorgung von Zahntraumata und -lücken dar. In solchen Fällen bedarf es einer stabilen und zuverlässigen Basis für den künstlichen Zahn.

Im vorliegenden Beitrag wird der Einsatz des Materials GrandTEC (VOCO) als idealer Träger für eine direkte, naturgetreue Restauration mit Composite gezeigt. GrandTEC ist ein Glasfaserstrang, der aus vielen dicht gepackten, parallel verlaufenden Glasfasern besteht, welche mit einem lichthärtenden Harz imprägniert sind. Dadurch verbinden sich die Glasfasern bei der Polymerisation intensiv mit dem Flow-Composite, welches für die Einbettung des Strangs und dessen Befestigung auf der natürlichen Zahnhartsubstanz verwendet wird. Der in Flow-Composite eingebettete Glasfaserstrang bildet die Basis für die Restauration mit stopfbarem Composite in Modellier- und Schichttechnik. Durch die hochfeste Verbindung von Glasfasern und Composite werden die auftretenden Kaukräfte gleichmäßig auf die Restauration und die Pfeilerzähne verteilt. Dadurch erhöht sich die Biegefestigkeit und Bruchresistenz der Restauration, welche weder äußerlich noch in seiner Funktionalität vom natürlichen Zahn zu unterscheiden ist.

Klinischer Fall

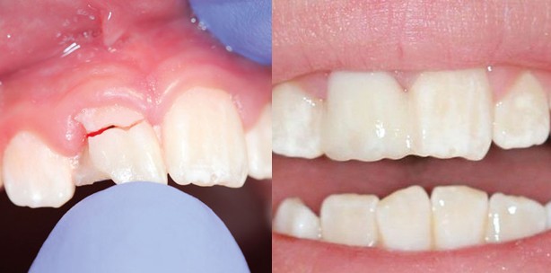
Eine 11-jährige Patientin wurde mit einem Frontzahntrauma in unserer Klinik vorstellig. Der Zahn 11 wies eine komplizierte Kronenfraktur auf (Abb. 1). Nach physischer und röntgenologischer Prüfung entschieden wir uns für die Entfernung der abgebrochenen klinischen Krone. Der Wurzelkanal war nicht entzündet, so hatten wir die Möglichkeit, sofort eine definitive Wurzelfüllung durchzuführen. Für den Erhalt der Wurzel sprach auch, dass damit günstige Voraussetzungen für eine spätere chirurgische und prothetische Versorgung mit einem Implantat gegeben sind. Nach der Wurzelfüllung galt es, mini-malinvasiv eine temporäre Lückenversorgung mit einem Zahnaufbau aus Composite vorzunehmen. Hierzu wurde zunächst einmal eine stabile Basis mit GrandTEC geschaffen. Dazu waren nur wenige Vorbereitungen erforderlich. Ein in den Gipsabdruck eingebrachter Wachsdraht half bei der Längenbestimmung und Gestaltung einer aus Bissregistrierungssilikon (Registrado Clear, VOCO) gefertigten Schablone für die bogenförmige Positionierung des Glasfaserstrangs in der Lücke zwischen Zahn 12 und Zahn 21. Nach Isolierung des Arbeitsfeldes mit Kofferdam sowie Reinigung und Trocknung der Zahnoberflächen wurden die Zähne 12 und 21 palatinal mit 35%iger Phosphorsäure (Vococid, VOCO) bei einer Einwirkzeit von 20 Sekunden angeätzt. Anschließend wurde gründlich mit Wasser abgespült und abgesaugt sowie kurz verblasen. Es folgte das Auftragen und Einmassieren eines lichthärtenden Einkomponenten-Adhäsivs (Futurabond M, VOCO) auf die konditionierten Zahnoberflächen. Nach kurzem Verblasen wurde das Adhäsiv für 20 Sekunden lichtgehärtet. Auf die mit Adhäsiv versehenen Stellen kam daraufhin eine dünne Schicht eines fließfähigen Composite (GrandioSO Heavy Flow, VOCO) in der Farbe A2 zwecks Verankerung des Glasfaserstrangs. Dieser wurde mit einer feinen Schere auf die benötigte Länge gekürzt und dann aus der Schutzfolie entnommen. Fazial auf der Silikonschablone aufliegend wurde der Glasfaserstrang nun von palatinal zwischen Zahn 12 und Zahn 21 positioniert und auf die mit Flow-Composite bestrichenen Flächen gesetzt. Nach 20-sekündiger Lichthärtung der Verbundstellen wurde der Glasfaserstrang komplett in Flow-Composite der Farbe A2 eingebettet und gleichmäßig für 20 Sekunden lichtgehärtet. Die Basis für den schrittweisen Zahnaufbau mit Composite stand bereit.

 

Für die Rekonstruktion des traumatisch beschädigten Frontzahns verwendeten wir das hochästhetische Füllungsmaterial Amaris (VOCO). Das Amaris-Farbsystem setzt sich aus sechs opaken Grundfarben (O1–O5, O Bleach), drei transluzenten Schmelzfarben (Neutral, Light, Dark) und, für besondere Effekte und Maskierungen, zwei fließfähigen Individualfarben (High Translucent, High Opaque) zusammen. Im Zwei-Schicht-Verfahren lässt sich mit nur einer Opak- und einer Transluzentfarbe die Restauration erstellen. Dazu wird der Kern aus opaker Grundfarbe aufgebaut und darauf eine Schicht transluzenter Schmelzfarbe appliziert. Die definitive Zahnfarbe wird also während des Schichtens entwickelt, Akzentuierungen und besonders feine Strukturen sind mit den Individualfarben realisierbar. In unserem Fall wurde nach Farbabgleich anhand der Amaris-Farbskala zunächst mithilfe eines Silikonschlüssels der Dentinkern mit Opakmasse in der Farbe O2 modelliert. Hierbei war darauf zu achten, im inzisalen Drittel die Opakmasse in Richtung der Schneidekante dünner auslaufend zu modellieren, um später korrespondierend hierzu eine stärkere Schicht Transluzentmasse applizieren zu können. Dank der nichtklebrigen, sehr geschmeidigen Konsistenz von Amaris ließ sich das Material problemlos verarbeiten. Nach 40 Sekunden Lichthärtung der Opakmasse wurden dünne Schichten der fließfähigen Individualfarbe Amaris Flow High Opaque (HO) fingerförmig in koronal-apikaler Richtung aufgetragen, um die wie bei den meisten jugendlichen Zähnen besonders ausgeprägten Mamelonstrukturen wiederzugeben. Zudem sollte eine Akzentuierung mit „White Spots“ der Restauration den ursprünglichen Charakter des Zahnes verschaffen. Auch der Applikation der Individualfarbe folgte eine Lichthärtung von 40 Sekunden. Mit der abschließend aufgetragenen Schicht Transluzentmasse Light (TL) wurde dann noch ein wenig aufgehellt. Diese Schicht galt es von inzisal nach zervikal in abnehmender Schichtdicke von 1,0 mm bis 0,5 mm zu applizieren und dann für die Dauer von zehn Sekunden lichtzuhärten. Die Ausarbeitung und Politur erfolgte mit einem einstufigen Diamantpolierer (Dimanto, VOCO), wobei vestibulär mit kleiner Spitze und palatinal mit kleinem Kelch gearbeitet wurde. Die fertige Restauration zeigt ein natürlich wirkendes und vom ursprünglichen Zahn nicht zu unterscheidendes Ergebnis, welches sich hervorragend in die Zahnhartsubstanz der jungen Patientin integriert. Kurz: Stabilität, Funktionalität und Morphologie der Restauration sind stimmig.

Autor: Dr. med. dent. Gyula Marada

Mehr Fachartikel aus Endodontologie

ePaper