Endodontologie 19.06.2012

Frontzahntrauma bei jugendlichem Patient



Frontzahntrauma bei jugendlichem Patient

Der folgende Patientenfall beschreibt die interdisziplinäre Zusammenarbeit dreier Fachabteilungen des Praxisnetzwerks, die Pluszahnärzte®. Beim vorliegenden Fall handelt es sich um ein Frontzahntrauma mit Schmelz-Dentin-Fraktur an Zahn 11 und Avulsion des Zahnes 21. An der Therapie waren beteiligt: Zahnarzt Niklas Janßen (Oralchirurgie), Dr. Christina Masuck (Kinderzahnheilkunde) und Zahnärztin Barbara Krug, M.Sc. (Endodontologie).

Der zum Zeitpunkt des Unfalls 10-jährige Patient stellte sich in Begleitung seiner Eltern in der oralchirurgischen Praxis bei Zahnarzt Niklas Janßen vor. Es lag ein Frontzahntrauma mit Schneidekantenfraktur am Zahn 11 und eine Avulsion des Zahnes 21 vor. Bei einer Avulsion handelt es sich um eine vollständige Trennung des Zahnes vom restlichen Organismus, wobei sowohl die parodontalen Fasern als auch die Pulpa komplett abgerissen sind. Der avulsierte Zahn wurde im vorliegenden Fall unmittelbar nach dem Unfall in handelsüblicher, haltbarer Milch gelagert. Als der Patient sich in der ­Praxis einfand, lag das Unfallgeschehen gerade einmal 45 Minuten zurück.

Anamnese

Die allgemeine Anamnese des Patienten war unauffällig, es lagen keine Grunderkrankungen vor. Der Allgemeinzustand des Patienten war gut. Eine Commotio ­cerebri konnte klinisch ausgeschlossen werden, da kein Bewusstseinsverlust, starker Kopfschmerz oder Erbrechen vorlag. Eine Auffrischung der Tetanusprophylaxe wurde angeraten, da die Erstimpfung laut der Eltern bereits circa neun Jahre zurücklag.

Befund

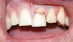
Extraoral waren Schürfwunden an Stirn und Nase zu erkennen. Intraoral imponierte die mit einem Blutkoagulum gefüllte Alveole Regio 21 sowie der abgebrochene Zahn 11. Es lagen keine Weichteilverletzungen vor und es gab keine klinischen Anzeichen für knöcherne Frakturen, auch röntgenologisch waren keine knöchernen Frakturzeichen zu erkennen (Abb. 1). Der Versuch der Erhaltung des Zahnes 21 sollte durch Replantation, Schienung und anschließende endodontische Versorgung erfolgen. An Zahn 11 war eine dentinadhäsive Rekonstruktion mit Komposit geplant.

Therapie

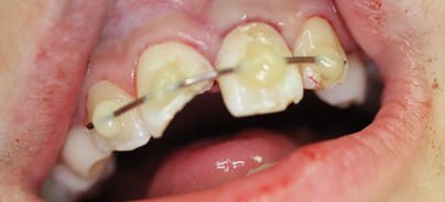
Am Tag des Unfalls wurde die Wurzeloberfläche des avulsierten Zahnes zunächst mit NaCl abgespült (Abb. 2). Die knöchern völlig intakte Alveole wurde ebenfalls mit NaCl gespült. Dabei ist darauf zu achten, dass das in der Alveole entstandene Koagulum vorsichtig und vollständig ausgespült wird, ohne dass die parodontalen ­Fasern und Zementoblasten verletzt werden (Abb. 3). Anschließend wurde der avulsierte Zahn 21 mittels einer Frontzahnzange in seine Alveole replantiert und mit ­einer Draht-Kunststoff-Schiene geschient (Abb. 4). Am vitalen frakturierten Zahn 11 wurden die pulpanahen Bereiche mit einem Kalziumhydroxidpräparat abgedeckt und dieses provisorisch mit einem Flow fixiert. Anschließend wurde eine Röntgenaufnahme zur Kontrolle der Replantation angefertigt (Abb. 5). Es wurde ein Rezept über ein Analgetikum sowie ein Antibiotikum ausgestellt. Für den folgenden Tag wurde ein Kontrolltermin in der Oralchirurgie sowie der erste Termin in der Zahnarztpraxis für Kinder bei Dr. Christina Masuck vereinbart.

Der Patient stellte sich am Tag nach dem Unfall nahezu beschwerdefrei zur Kontrolle vor. Die Zähne 12, 11 und 22 reagierten weiterhin normal positiv auf Kältetests. Eine leichte Perkussionsempfindlichkeit war jedoch noch vorhanden. Die Auffrischung des Tetanusschutzes sei am Vorabend noch durchgeführt worden. In der Kinderzahnarztpraxis erfolgte ebenfalls eine Kontrolle mit gesamter Statusaufnahme. Im Anschluss daran wurde die weitere Behandlung des Zahnes 11 mittels Rekons-truktion mit Komposit geplant. Zehn Tage nach dem Frontzahntrauma wurde der Patient zum ersten Mal bei Zahnärztin Barbara Krug (M.Sc.) in der endodontologischen Fachabteilung vorstellig. Der replantierte Zahn 21 war weiterhin geschient, der Patient beschwerdefrei. Die extraoralen Wunden waren zu diesem Zeitpunkt bereits stadiengerecht verheilt (Abb. 6). Der Patient lehnte die Trepanation des Zahnes 21 an die-sem Tag ab, sodass ein neuer Termin vereinbart werden musste. Drei Tage später (knapp zwei Wochen nach dem FZT) wurde der replantierte Zahn 21 unter Kofferdam trepaniert. Die Arbeitslänge wurde sowohl elektrometrisch als auch röntgenologisch überprüft. Mit 29mm stellte sich die Arbeitslänge als sehr lang dar (Abb. 7).

Die Aufbereitung erfolgte maschinell mit Pro Taper Universal sowie mit Handinstrumenten aufgrund des recht großen Kanallumens. Zunächst wurde der Zahn nach Spülung mit NaOCl (5%) und EDTA (17%) mit einer Kal­ziumhydroxid-Einlage versorgt und provisorisch verschlossen. Im darauffolgenden Termin wurde zunächst die Draht-Kunststoff-Schiene entfernt. Alle Zähne er­wiesen sich als fest (Abb. 8). Nach Anlegen des Kofferdams und abschließender Säuberung und Spülung mit NaOCl (5%) und EDTA (17%) wurde der vollständig aufbereitete Kanal getrocknet und anschließend mit Guttapercha und AH Plus bis zum Apex abgefüllt (Abb. 9 und 10). Somit war die endodontische Behandlung an Zahn 21 abgeschlossen.
Eine Woche später wurde der Zahn 11 in der Kinderzahnarztpraxis von Dr. Christina Masuck behandelt. Der Zahn reagierte weiterhin normal positiv auf Kältetests. Beim Entfernen der provisorischen Abdeckung der pulpanahen Bereiche stellte sich eine minimale Eröffnung der Pulpa dar. Es wurde mit H2O2 (3%) desinfiziert und die „P“ mit Calxyl (Kerr Life) sowie einer Unterfüllung (Vitrebond) abgedeckt. Anschließend wurde der Zahn mit Komposit dentinadhäsiv aufgebaut (Abb. 11). Mit dem Ergebnis der ästhetisch und funktionell wiederhergestellten Zahnreihe waren sowohl der Patient als auch seine Eltern sehr zufrieden (Abb. 12). Auch die Kontrolle acht Monate nach dem Frontzahntrauma zeigte einen beschwerdefreien Patienten. Alle Zähne waren perkussionsunempfindlich. Der replantierte, endodontisch versorgte Zahn 21 war sowohl klinisch als auch röntgenologisch völlig unauffällig. Das Röntgenbild zeigte keine periradikulären Veränderungen und gab kein Anzeichen für interne oder externe Wurzelresorptionen (Abb. 13).

Epikrise

Insbesondere bei Kindern und Jugendlichen treten gehäuft Frontzahntraumata auf (Borssén E., Holm A.K., 1997). Hauptsächlich sind dabei die oberen Frontzähne betroffen. Die Avulsion eines Frontzahnes stellt nicht nur eine ästhetische, sondern auch eine funktionelle Herausforderung dar. Da die prothetische Versorgung im Kindesalter aufgrund des noch nicht abgeschlossenen Kieferwachstums problematisch ist, kommt der Replantation eine besondere Bedeutung zu. Die sogenannte „ZEPAG-Klassifikation“ wird bei Zahntraumata empfohlen, um eine genaue Diagnostik der verletzten Gewebe der dentoalveolären Einheit zu erhalten (Ebeleseder K.A., Glockner K, 1999). Dabei werden folgende Gewebe beurteilt: Zahnhartsubstanz, Endo­dont, Parodont, Alveolarknochen und Gingiva. Verletzungen der Zahnhartsubstanz sind bei Avulsionen eher selten. Der Zahn wird in der Regel durch ein stumpfes Trauma in toto aus der Alveole herausgeschleudert. Durch die komplette Trennung des Zahnes vom restlichen Organismus kommt es zum Abriss der Pulpa im Bereich des Foramen apikale. Ebenso sind die parodontalen Fasern komplett abgerissen. Reste der ­parodontalen Fasern befinden sich auf der Wurzeloberfläche sowie in der Alveole. Der Zustand des parodontalen Gewebes ist hierbei entscheidend für die Einheilung des replantierten Zahnes.

Der Alveolarknochen weist nur selten Aussprengungen oder Frakturen an den Alveolarwänden auf. Insbesondere bei jungen Patienten besitzt der Alveolarknochen noch eine gewisse Elastizität, sodass lediglich mit Dehnungen oder Quetschungen zu rechnen ist. Die Gingiva bleibt in der Regel am Alveolarknochen haften. Die interdentalen Papillen können jedoch Rupturen aufweisen. Für den langfristigen Erfolg sind mehrere Faktoren besonders wichtig. Zum einen spielt die Zeitdauer zwischen dem Unfallgeschehen und der Replantation eine wichtige Rolle (Andersson L., Bodin I.  1990), zum anderen ist das Medium, in dem der avulsierte Zahn gelagert wird, von großer Bedeutung (Andreasen J. O. et al. 1995). Des Weiteren sind auch die Schienung und die endo­dontische Versorgung von erheblicher Relevanz für die Einheilung des Zahnes. Eine optimale endodontische Versorgung ist Grundvoraussetzung dafür, dass sich keine apikale Parodontitis aufgrund verbliebener oder verschleppter Keime aus dem Endodont bildet. Komplikationen vonseiten des pulpalen Gewebes können somit durch eine zeitnahe Trepanation und weitere endo­dontische Maßnahmen in der Regel vermieden werden. Je kürzer die Zeitspanne zwischen dem Unfall und der Replantation ist, desto besser ist die langfristige parodontale Prognose.

Maßgeblich für die Regeneration des parodontalen Gewebes nach Replantation ist die Anzahl der überlebenden Zementoblasten auf der Wurzeloberfläche. Eine trockene Lagerung eines avulsierten Zahnes von nur 15 bis 30 Minuten bewirkt, dass die Zementoblasten absterben und die Regeneration des Parodonts massiv eingeschränkt ist. Im vorliegenden Fall betrug die Dauer vom Unfall bis zum Eintreffen in die Praxis 45 Minuten. Hierbei wurde der Zahn in dieser Zeit jedoch in haltbarer Milch gelagert. H-Milch eignet sich gut für die Aufbewahrung eines avulsierten Zahnes, da sie weitestgehend isoton ist und Nährstoffe besitzt, durch welche die parodontalen Zellen bis zu sechs Stunden überleben können (Trope M., Friedman S. 1992; Lekic P. C. et al. 1998). Wasser hingegen ist kein geeignetes Medium, da es nicht isoton ist und die Zellen auf der Wurzeloberfläche durch das osmotische Druckgefälle zerstört werden. Sie platzen dadurch regelrecht. Optimal ist die Aufbewahrung eines avulsierten Zahnes in einer Zahnrettungsbox (z.B. „Dentosafe“). Die Zahnrettungsbox enthält ein physiologisches Nährmedium sowie ein Puffersystem zur Stabilisierung des pH-Wertes. In diesem Medium können Zementoblasten und ­parodontale Fibroblasten bis zu 24 Stunden überleben (Pohl Y. et al. 1999). Beim Replantieren ist besonders darauf zu achten, dass die Wurzeloberfläche nicht verletzt wird. Ebenso wird das Koagulum, das sich in der Alveole gebildet hat, vorsichtig herausgespült, damit die an den Alveolarwänden noch haftenden parodontalen Fasern nicht zerstört werden. Die Alveole darf keinesfalls kürettiert werden (Trope M. et al. 1997). Sind bereits ausgedehnte Zellschäden an der Wurzeloberfläche vorhanden, dann kommt es häufig zu Ankylosen und nachfolgenden externen Resorptionen. Das vertikale Kieferknochenwachstum kann beeinträchtigt bzw. soweit gestört sein, sodass der replantierte und ­anschließend ankylosierte Zahn zunehmend kürzer erscheint. Daher muss der Zahnhalteapparat zwingend am Tag des Unfalls (so schnell wie möglich) versorgt werden. Denn ist das Parodont komplett zerstört, ist der Zahn definitiv verloren.Vor der Replantation ist es sinnvoll, den avulsierten Zahn grob zu vermessen, da insbesondere Frontzähne stark in ihrer Länge variieren können. Dies kann z. B. bei der Fotodokumentation durchgeführt werden, indem ein Lineal neben den Zahn gelegt wird. Im vorliegenden Fall hätte somit schon vor Beginn der endodontischen Behandlung festgestanden, dass es sich um einen überlangen Zahn handelt und dementsprechend mit überlangen ­Instrumenten aufbereitet werden muss.

Zeitliche Einteilung

Nach der Replantation wird der Zahn mittels einer Schiene stabilisiert. Hierfür eignet sich zum Beispiel die Draht-Kunststoff-Schiene. Die Okklusion wird vor der Befestigung der Schiene kontrolliert. Es reicht aus, jeweils einen unverletzten Nachbarzahn in die Schiene mit einzubeziehen (Ebeleseder K. A. et al. 1995). Die Schiene wird immer zuerst an den unverletzten Nachbarzähnen fixiert und zuletzt am replantierten Zahn. Bei entsprechender Schienung der Zähne heilt verletzter Knochen in der ­Regel innerhalb von vier bis sechs Wochen aus. Verletztes Weichgewebe heilt gewöhnlich innerhalb der ersten fünf bis zehn Tage aus. Die Schiene kann bereits nach ca. zwei Wochen wieder entfernt werden. Zu lange Schienungszeiten begünstigen eine Ankylose des replantierten Zahnes und damit auch das Risiko einer anschließenden Wurzelresorption. Die Trepanation sollte innerhalb der ersten sieben bis vierzehn Tage erfolgen. Da der Zahn in dieser Zeit noch geschient ist, wird die parodontale Einheilung durch die Trepanation nicht gestört. Kalziumhydroxid ist in der Endodontie als medikamentöse Einlage für die Behandlung infizierter Kanäle sowie für die Behandlung infektionsbedingter externer Resorptionen das Mittel der Wahl. Kalziumhydroxid hat allerdings keine Wirkung in Hinblick auf die initiale entzündliche Reaktion, die im Parodont eines replantierten Zahnes abläuft. Es kann sogar die parodontale Einheilung stören, woraus sich eine erhöhte Ankylosegefahr mit späterer externer Resorption ergibt. Somit sollte bei frühzeitiger Trepanation (während der parodontalen Regenerationsphase, innerhalb der ersten ein bis zwei Tage) besser auf ein Tetrazyklin-Kortikosteroid-Präparat (z.B. Ledermix®) ausgewichen werden. Studien an Affenzähnen haben gezeigt, dass die Verwendung von Ledermix® die initiale entzündliche Reaktion im Parodont und die Entstehung von externen Resorptionen beseitigen kann. Ledermix® hat nämlich einen direkten Einfluss auf die Dentinoklasten, welche inhibiert werden. Es hat aber keinen schädigenden Effekt auf parodontale Zellen (Pierce A., Lindskog S., 1987; Pierce A. et al. 1988, Bryson E. C. et al. 2002).

Wird mit der Trepanation erst abgewartet (ein bis zwei Wochen) kann davon ausgegangen werden, dass die initiale parodontale Einheilung soweit fortgeschritten ist, dass eine direkte Einlage mit Kalziumhydroxid erfolgen kann. Nach weiteren sieben bis zehn Tagen kann die definitive Wurzelkanalfüllung durchgeführt werden (Sjögren U. et al. 1991). Lediglich dann, wenn davon ausgegangen wird, dass bereits eine ausgedehnte Infektion des Endodonts, gegebenenfalls mit ersten Zeichen einer apikalen Entzündung oder externer Resorptionen vorliegt, sollten Kalziumhydroxid-Einlagen über mehrere Monate erfolgen (Trope M. et al. 1995). Eine systemische Antibiotikagabe ist bei einer Avulsion empfehlenswert, um eine Keimverschleppung der ggf. kontaminierten Wurzel zu verhindern und um Resorptionen vorzubeugen (Sae-Lim V. et al. 1998).

Fazit

Im vorliegenden Fall sehen die ersten Therapieerfolge sehr vielversprechend aus. Das dem Patienten, durch die hier vorgestellte Behandlung, zurückgegebene Lächeln (Abb. 12) zeigt die gute Zusammenarbeit der drei Fachabteilungen Oralchirurgie, Kinderzahnheilkunde und Endodontologie. Dennoch sind weitere regelmäßige Kontrollen notwendig, da Spätfolgen im Sinne von ­Ankylosen und externen Wurzelresorptionen nicht selten auftreten. Ein mehrjähriges ­Recall ist daher indiziert.

Zahnrettungsbox.com begrüßt den 100. Kunden

Zahnrettungsbox.com begrüßt den 100. Kunden

08.05.2012
Mittlerweile melden sich immer mehr Apotheken, die sich mit einer Zahnrettungsbox für den Notfall ausstatten möchten. Auch einige Zahnarztpraxen ergänzen... Mittlerweile melden sich immer mehr Apotheken, die sich mit einer Zahnrettungsbox für den...
Mehr News Mehr Fachartikel aus Endodontologie

ePaper