Endodontologie 15.04.2015

Verwendung eines Bulkfüll-Materials in der Kinderzahnheilkunde



Verwendung eines Bulkfüll-Materials in der Kinderzahnheilkunde

Das fließfähige Bulkfüll-Material SDR von DENTSPLY zeichnet sich durch extrem niedrige Schrumpfungskräfte aus.

Zur Vereinfachung der Füllungslegung und zur Verkürzung der Behandlungszeit wurden Bulkfüll-Materialien entwickelt, die es erlauben, zügig und zuverlässig eine Füllung mit einer Schicht bis zu 4 mm Dicke zu legen.1–3

Seit 2010 gibt es zum Beispiel das fließfähige Bulkfüll-Material SDR (DENTSPLY), das sich durch extrem niedrige Schrumpfungskräfte auszeichnet.4, 5 Erfreulicherweise haben mittlerweile einige Hersteller der fließfähigen Bulkfüll-Materialien diese für die Indikation Milchzahnfüllung freigegeben, ohne die sonst notwendige Deckschicht mit einem Universalkomposit.

So hat DENTSPLY seit Anfang 2014 die Indikation für SDR erweitert, sodass es nun auch für Klasse I- und Klasse II-Milchzahnfüllungen im Seitenzahnbereich ohne zusätzliche Deckschicht zugelassen ist. Diese Indikationserweiterung ist ein großer Vorteil für den Behandler – auch gerade in der Kinderzahnheilkunde.

Bulkfüll-Materialien sind für Milchzähne ideal, da hier die schnelle Applizierbarkeit und Zuverlässigkeit der verwendeten Materialien im Vordergrund stehen. Die Zeitersparnis bei der Füllungslegung ist ein entscheidender Vorteil sowohl bei der normalen Kinderbehandlung als auch bei der Behandlung von Kindern unter Intubationsnarkose. Die geringere Abrasionsbeständigkeit der fließfähigen Bulkfüll-Materialien kommt der natürlichen Milchzahnabrasion entgegen und ist somit in der Abnutzungsphase des Milchgebisses nicht als Nachteil anzusehen. Aufgrund der höheren Transluzenz des SDR-Materials gibt es einen leichten Farbunterschied zum Milchzahn, der jedoch bei Milchzahnfüllungen eine eher untergeordnete Rolle spielt.

Patientenfälle

Im Folgenden sind drei Behandlungsfälle dargestellt, bei denen das Material SDR für die Milchzahnfüllungen (Klasse I und II) im Seitenzahnbereich verwendet wurde.

Behandlung eines neunjährigen Jungen mit Hämophilie A

Ein neunjähriger Junge mit schwerer Hämophilie A wies eine kariöse Läsion am oberen linken Milchmolaren auf (Abb. 1). Die Karies wurde zunächst mit einem konventionellen Rosenbohrer und final mit einem Polymerbohrer (PolyBur, P1, Komet Dental) vollständig exkaviert. Nach der Kavitätenrandpräparation wurde das Automatrix-Matrizensystem (AutoMatrix, DENTSPLY) appliziert (Abb. 2). Die Anwendung einer Matrize ist in jedem Fall zu empfehlen, da sich ansonsten das Bulkfüll-Material aufgrund seiner Viskosität an Stellen ausdehnt, die nicht zur eigentlichen Kontur der Füllung gehören. Als Adhäsiv kam ein selbstkonditionierendes All-in-One-Adhäsiv (Xeno V+, DENTSPLY) zur Anwendung, welches verblasen und lichtpolymerisiert wurde. Das Bulkfüll-Material SDR wurde direkt aus der Compula appliziert. Dabei ist es wichtig, dass die Metallkanüle auf dem approximalen Kavitätenboden aufgesetzt und sukzessive herausgezogen wird unter ständiger Förderung des dünnfließenden Materials. Die gesamte Kavität konnte auf einmal gefüllt und dann für 20 Sekunden lichtpolymerisiert werden. Da eine sichere Kontaminationskontrolle durch Watterollen und vierhändiges Arbeiten gewährleistet werden konnte, wurde auf Kofferdam verzichtet, was gerade im Hinblick auf die Anamnese des Jungen als Bluter von Vorteil war. Somit wurde eine mögliche Traumatisierung der Gingiva durch die Kofferdam-Klammer ausgeschlossen. Abschließend erfolgte die Ausarbeitung der Füllung mit Feinkorndiamanten (Abb. 3) und Politur (Enhance, DENTSPLY). Zum Zeitpunkt der Nachuntersuchung war der Milchzahn durch die natürliche Exfoliation nicht mehr in situ, sodass eine Kontrollaufnahme leider nicht vorliegt.

Behandlung eines fünfjährigen Mädchens

Das Mädchen war ein ehemaliges ITN-Kind, das sich mittlerweile am Behandlungsstuhl behandeln lässt. Allerdings war das Kind unruhig und nicht sehr belastbar, sodass die Behandlungszeit kurz gehalten werden musste. Hier sind die Verwendung eines All-in-One-Adhäsivs und eines Bulkfüll-Materials zur Füllungstherapie sehr hilfreich, da einige Behandlungsschritte, wie die Konditio- nierung und Absprühen des ätzgels oder das mehrfache Schichten der Füllung, entfallen und somit die Behandlung zügig durchgeführt werden kann. Die Patientin wies drei kariöse Milchmolaren 85, 75 und 65 (Abb. 4) auf. Nach der Kariesexkavation an den Zähnen 85 bukkal, 75 okklusal und 65 okklusal (Abb. 5) mittels Rosenbohrer und Polymerbohrer erfolgte die Applikation und anschließende Lichthärtung des All-in-One-Adhäsivs (Xeno V+). Da es sich lediglich um bukkale und okklusale Füllungen handelte, wurde auf ein Matrizensystem verzichtet. Das Bulkfüll-Material SDR wurde jeweils in einer Schicht eingebracht und lichtpolymerisiert. Die Füllungen wurden, wie bereits oben beschrieben, ausgearbeitet und poliert.

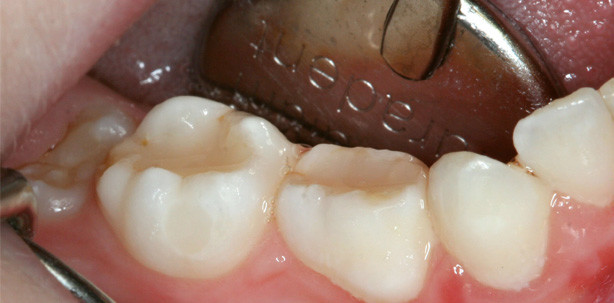
Bei nicht sehr tiefen SDR-Füllungen, wie hier am Zahn 85 bukkal, fällt der Farbunterschied zum Milchzahn kaum auf (Abb. 6). Ebenso bei flachen okklusalen Kavitäten, z.B. Zahn 75 (Abb. 7) und 65 (Abb. 8), beeinflusst die höhere Transluzenz nicht das endgültige Ergebnis. Bei tiefen Kavitäten sollte sich der Behandler jedoch über die Farbabweichung und die etwas grau erscheinende Füllung im Klaren sein und daher auch im Vorfeld die Eltern aufklären. Die Erfahrung hat gezeigt, dass Kinder und Eltern sich an der höheren Transluzenz nicht stören und mit der Farbe zufrieden sind. Sicherlich sollte auch berücksichtigt werden, dass bei Milchzähnen die ästhetischen Anforderungen nicht so hoch anzusetzen sind wie bei der bleibenden Dentition. Der Zahn 85 wurde im Rahmen einer Nachkontrolle fotografiert und zeigt die bukkale Bulkfüll-Füllung nach zwei Jahren und eine okklusale Kompomer-Füllung nach fünf Jahren (Abb. 9). Die okklusale SDR-Füllung am Zahn 75 wurde ebenfalls nach zwei Jahren fotografiert (Abb. 10). Die Abbildung 11 zeigt die Bulkfüll-Füllung am Zahn 65 im Rahmen der Nachkontrolle nach eineinhalb Jahren. Bei den Kontrolluntersuchungen waren die Füllungen in einem guten klinischen Zustand.

Behandlung eines vierjährigen Jungen unter Intubationsnarkose

Oberste Prämisse bei der zahnärztlichen Behandlung von Kindern in Narkose ist es, die Narkosezeit so kurz wie möglich zu halten. Daher bietet sich auch hier der Einsatz von zuverlässigen und schnell applizierbaren Materialien an. Bei dem vierjährigen Jungen waren insgesamt zwölf Milchzähne zu behandeln, davon konnten neun Zähne gefüllt und drei mussten gezogen werden. Die Milchzahnfüllungen im Seitenzahnbereich wurden mit SDR durchgeführt, wohingegen die Versorgung der Frontzähne mit einem Kompomer (Dyract eXtra, Zahnfarbe A2, DENTSPLY) erfolgte. Die Verwendung von Kompomeren gilt weltweit als Standard für die Versorgung von Milchzahndefekten.6 Im Rahmen der ITN-Behandlung wurde der kariöse Zahn 64 exkaviert und in Abbildung 12 dargestellt. Die Exkavation erfolgte wie zuvor bereits beschrieben und auch das Konditionieren erfolgte mittels All-in-One-Adhäsiv. Die fertige Füllung, nach Ausarbeitung und Politur, umfasste die okklusal-mesiale Fläche sowie die palatinale Fläche des Zahnes (Abb. 13). Der Termin zur Nachkontrolle wurde nicht wahrgenommen.

Hier gibt es die vollständige Literaturliste

Mehr Fachartikel aus Endodontologie

ePaper