Endodontologie 19.09.2011

Endodontie im demografischen Wandel



Endodontie im demografischen Wandel

Unter Berücksichtigung der demografischen Entwicklung kommt es in der zahnärztlichen Praxis unweigerlich dazu, dass vermehrt ältere Menschen behandelt werden. Im Jahr 2030 wird der Anteil der über 60-Jährigen etwa ein Drittel der Bevölkerung ausmachen. Mit spezifischen Kenntnissen den alternden Menschen betreffend, kann ein gutes Verhältnis zwischen Patient und behandelndem Zahnarzt gestaltet werden.

 

Viele alte Menschen leiden an chronischen Erkrankungen, wie z.B. Alzheimer, Parkinson, Krebs, koronare Herzerkrankungen, Schmerzen, Kurzatmigkeit, Verminderung der Organfunktionen, Änderung des Immunsystems, Depressionen und Gewichtsverlust. Unabhängig davon verändern sich Körper und Organfunktionen mit zunehmendem Alter (Tab. 1). Der Alterungsprozess ist progressiv, irreversibel sowie genetisch bedingt und betrifft alle Menschen (Wefers 1991).

Ältere Patienten bedürfen einer besonderen Berücksichtigung, weil vorhandene altersbedingte Begleiterscheinungen richtig gedeutet werden müssen und die Therapie entsprechend darauf abgestimmt sein sollte. Entscheidend für die Einteilung des alternden Menschen ist in der Regel das kalendarische Alter, welches sich gut für statistische Zwecke eignet (Tab. 2). Das kalendarische Alter sagt im Einzelfall aber nichts über den Menschen und seine Fähigkeiten aus. 

 


Es gibt „junge“ alte Menschen und „alte“ alte Menschen. Man sollte sich immer ein Bild vom körperlichen und geistigen Zustand seines Patienten machen, und nicht alleine auf die Zahlen achten. Jeder Patient sollte unabhängig von Alter, Geschlecht oder ethnischer Herkunft die volle Aufmerksamkeit des Zahnarztes bekommen und bestmöglich behandelt werden. Ältere Menschen haben in der Regel andere Bedürfnisse als junge Menschen und auch andere Krankheitsbilder – das betrifft genauso Krankheiten in der Mundhöhle.

Untersuchungen haben zwar ergeben, dass betagte Menschen eher unregelmäßig die Praxen aufsuchen (40 Prozent der Hochbetagten waren länger als fünf Jahre nicht beim Zahnarzt), weil sie die Notwendigkeit aufgrund fehlender Beschwerden nicht sehen, dennoch ist insbesondere aufgrund möglicher Begleit erkrankungen eine regelmäßige Untersuchung bzw. Kontrolle indiziert. Es handelt sich um eine Generation, die viel erlebt hat und nicht wegen Lappalien zum (Zahn-)Arzt läuft, wenn kein Leidensdruck vorhanden ist. In vielen Fällen wird dieser einfach ertragen. 

Ein großer Teil der betagten Menschen trägt Teil- oder Vollprothesen, jedoch nimmt der Anteil derer stetig zu, die noch über zahlreiche eigene Zähne verfügen, die erkranken können. Folgende Phänomene bezüglich der Zähne sind mit zunehmendem Alter häufiger zu beobachten: 

Schmelz:
– zunehmende Farbveränderung, Gelbgraufärbung der Zähne, Gelbfärbung der Zahnwurzeln
– Sprünge und Risse im Schmelz
– Abnutzung, Abrasionen, Attritionen
– geringere Löslichkeit beim Ätzen im Vergleich zum jungen Gebiss
– vermehrte De- und geringere Remineralisation
– vermehrte Transparenz
– flächigere Approximalkontakte. 

Dentin:
– freiliegendes Dentin
– Veränderung der kollagenen Fasern (Sklerosierung)
– geringere Permeabilität
– Verengung der Dentinkanäle
– Pigmenteinlagerung. 

Pulpa:
– Verkleinerung des Pulparaumes
– Obliteration der Wurzelkanäle
– Änderung der Zellstruktur: weniger kollagene Fasern, mehr langsame C-Fasern
– geringere Sensibilität
– Kalzifizierung. 

Bei Betrachtung des gesamten Kauorgans kommen noch Änderungen der Muskulatur hinzu, die etwas atrophiert und an Kontraktilität verliert. Der Knochen atrophiert ebenfalls, verbunden mit einer Osteoporose, d.h. die Markräume werden weiter und der Fettanteil im Mark größer. Das Bindegewebe verliert zunehmend an Elastizität sowie Fibroblasten. Auch das Epithel wird durch eine geringere Desquamationsrate und zunehmende Verhornung dünner (Siegmund 2001).

Zu diesen Änderungen kommt oft noch eine parodontale Erkrankung, die im fortgeschrittenen Stadium wegen des Attachmentverlustes die Wurzeln freiliegen lässt. Die freiliegenden Zahnhälse bzw. Wurzeln sind permanent den Noxen der Mundhöhle ausgesetzt und deutlich weniger resistent als die Kronen mit dem schützenden Schmelzmantel. 

Die Restaurationen eines jeden Patienten und insbesondere der älteren Patienten sind auf suffizienten Randschluss hin zu prüfen, damit frühzeitig und minimalinvasiv interveniert werden kann. Der Umgang mit alten Menschen unterscheidet sich also prinzipiell nicht in seinen Grundsätzen von dem mit jungen Patienten. Es gilt insbesondere anhand einer gründlichen Anamnese den Gesundheitszustand des Patienten zu erfahren und bei der klinischen Inspektion auf Anzeichen für eine Allgemeinerkrankung in der Mundhöhle zu achten, die dem ärztlichen Kollegen vielleicht noch nicht aufgefallen ist. 

In einer kürzlich durchgeführten Studie wurde darauf hingewiesen, dass etwa 12 Prozent aller Patienten aufgrund einer spezifischen Medikation als kompromittiert gelten und somit eine schwerwiegende Grunderkrankung aufweisen (Dhanuthai 2009). Andere Studien gehen von deutlich höheren Zahlen aus, und insbesondere die multimorbiden Patienten mit einer umfangreichen Medikation nehmen weiter zu (Radfar 2007), dabei zeichnet sich die Multimorbidität durch das gleichzeitige Vorliegen mehrerer Erkrankungen mit steigendem Schweregrad aus (Zimmer 1999). 

Die häufigste Grunderkrankung bei Patienten über 65 Jahre stellte die arterielle Hypertension (45%) dar, gefolgt von generellen Knochen- und Gelenkerkrankungen (Arthrose, Arthritis, Osteoporose etc. 34%). Herzerkrankungen machen etwa 20% aus und Diabetes ca. 10%, wobei hauptsächlich Typ- II-Diabetes (mehr als zwei Drittel) vorkommt (Cuesta 2004, Umino 1993). Die häufigsten Medikationen sind Blutverdünner, Diuretika, Antihypertonika, Schmerzmittel, Antidepressiva, orale Antidiabetika und andere. Ein nicht unerheblicher Anteil der betagten Patienten (etwa 22%) benötigt überhaupt keine Medikamente, während 21% ein, 18% zwei, 18% drei und 26% mehr als drei Medikamente benötigen. Das bedeutet, dass fast 80% der älteren Menschen auf Medikamente angewiesen sind (Galán 1995, Jainkittivong 2004). 

Es gibt Arzneimittel, die einen Einfluss auf die Mundhöhle haben und die Speichelsekretionsrate beeinflussen oder Gingivahyperplasien verursachen. Ein Großteil der Medikamente hat eine verminderte Speichelsekretionsrate zur Folge. Man geht davon aus, dass ungefähr 75% der Patienten über 65 Jahre eine solche Medikation bekommen (Velasco 1995, Delgado 1998). Es gibt mittlerweile mehr als 400 Medikamente, die mit einer Xerostomie assoziiert sind; dazu zählen:
– Antihypertensiva
– Antidepressiva
– Antipsychotika
– Anticholinergika
– Antihistaminika
– Antineoplastika
– Diuretika.

Diese Medikamente haben eine direkte Wirkung auf die Mundgesundheit und können folgende Faktoren begünstigen:
– gesteigerte Kariesprävalenz
– erhöhter Zahnverlust
– verminderte Funktion
– vermehrte Schleimhautläsionen
– Schwierigkeiten bei der Mastikation, beim Schlucken und Sprechen
– sensorische Veränderungen. 

Medikamente, die mit einer Gingivahyperplasie assoziiert sind, erschweren die Mundhygiene und erfordern eine sehr gute Plaquekontrolle:
– Antikonvulsiva
• Phenytoin 

– Kalzium-Kanal-Blocker
   Assoziiert mit Gingivahyperplasie
• Substituierte Dihydropyridine (Amlodipin, Nifedipin)
• Phenylalkylamin-Derivate (Verapamil)
• Benzothiazin-Derivate (Diltiazem) 

  Nicht assoziiert mit Gingivahyperplasie
• Diphenylpiperazin (Flunarizin)
• Bepridilhydrochlorid 

– Immunsuppressiva
• Cyclosporin. 

Bei älteren Patienten fällt in der Regel bei der klinischen Inspektion entweder eine Sekundärkaries an früheren Restaurationen oder an freiliegenden Wurzeloberflächen auf. Ein Anstieg der Wurzelkariesprävalenz bei älteren, chronisch kranken und institutionalisierten Personen wird beschrieben (Galan 1993) und muss als ein multifaktorielles Geschehen angesehen werden (Ott 1999). Ein schlechter oraler Gesundheitszustand, Gingivarezessionen mit exponierten Wurzeloberflächen und eine hohe Plaqueakkumulationsrate sind mit dem Auftreten von Wurzelkaries assoziiert, und die konservierende Therapie gestaltet sich oft problematisch.

Amalgam wird aufgrund der ästhetischen Ansprüche oft nicht toleriert und eine makroskopisch-retentive Verankerung sowie die Kondensation des Materials gestaltet sich schwierig. Alternativ Goldhämmerfüllungen zu verwenden, kann die Kosten enorm erhöhen, sodass diese Variante aus pekuniären Gründen oft nicht infrage kommt. Zahnfarbene Füllungen (Komposit) eignen sich gut zur Versorgung dieser Defekte, auch wenn sie mit einer geringeren Dauerhaftigkeit verbunden sind, weil die Dentinhaftung alleine geringer ist als die Retention am Schmelz (Iacopino 1993). 

Das Trockenlegen der sich bisweilen zirkulär um den Stumpf ausbreitenden Läsionen sowie das Legen der Füllungen ist durch die Lokalisation äquioder subgingival erschwert. Es empfiehlt sich, die Füllungsränder möglichst in gut zugängliche Bereiche zu legen, um eine gute Pflegbarkeit und Kontrolle zu gewährleisten. Eine körperliche Fassung der Zahnsubstanz in Form von Kronen und/oder Teilkronen kann aufgrund der zunehmenden Sprödigkeit der Zähne indiziert sein.

Für die Endodontie gilt, dass auf eine indirekte und direkte Überkappung verzichtet werden sollte, weil das biologische Alter der Pulpa in der Regel weit fortgeschritten ist und das Pulpagewebe ein vermindertes regeneratives Potenzial aufweist (Ketterl 1990). 

Die häufigste Erkrankung des Parodonts im höheren Alter ist die chronische marginale Parodontitis. Eine in der Regel langsame Progredienz zeichnet die bakteriell verursachte Erkrankung aus, welche durch die nachlassende Effektivität der Mundhygienemaßnahmen der älteren Menschen und ggf. vorhandene, nicht optimal gestaltete Restaurationen begünstigt wird. Nach abgeschlossener systematischer Parodontitisbehandlung sollte der Erfolg langfristig durch engmaschige Recall-Intervalle gesichert werden. Dabei sollte auf die individuellen (motorischen) Fähigkeiten der Patienten Rücksicht genommen werden (Geurtsen 1993). 

Eine gründliche Diagnostik ist aufgrund der multiplen Krankheitsbilder  unabdingbar. Besonders Infektionen parodontologischen oder endodontischen Ursprungs können zu erhöhten Sondierungstiefen, Schwellungen, Blutungen bei Sondierung, Suppuration, Fistelungen, Perkusionsempfindlichkeiten, erhöhter Zahnbeweglichkeit, Knochenverlust und Schmerz führen. Diese Symptome sind gewöhnlich auf plaqueassoziierte Parodontitiden zurückzuführen, welche marginal beginnen und nach apikal fortschreiten. Sie können aber auch endodontische Prozesse umfassen, welche über das Foramen apicale oder Seitenkanäle in das Desmodont eindringen und nach koronal fortschreiten. Ebenso stellen Wurzelfrakturen eine Ursache dar (vgl. Abb. 1–3). Bedingen endodontische Läsionen die Infektion, so führen Wurzelbehandlungen mit Ausnahme der Wurzelfrakturen meist zur vollständigen Heilung. 


Endodontie im Alter 

Bei der endodontischen Behandlung älterer Menschen gelten wie für alle anderen Gebiete der Zahn-, Mund- und Kieferheilkunde die gleichen Voraussetzungen wie für jüngere Patienten. Aufgrund der vorher beschriebenen Veränderungen des Menschen sowie im und rund um den Zahn kann die Behandlung eine gewisse Herausforderung darstellen. Speziell aufwendige Wurzelkanalbehandlungen mit schwierigen anatomischen Verhältnissen und extrem obliterierten Kanallumina können sehr zeitintensiv sein. Aus diesem Grund sollte der Patient im Vorfeld der Behandlung gründlich darüber aufgeklärt werden, was mit ihm geschieht und wie lange die Prozedur dauern kann.

In manchen Fällen kann es erforderlich sein, die Behandlung in bestimmte Tageszeiten zu verlegen, da der Tagesrhythmus des Patienten entsprechende Besonderheiten aufweist und die Flexibilität eingeschränkt ist. Im Einzelfall kann es eine Aufsplittung der Behandlung in mehrere Sitzungen erfordern oder auch sinnvoll sein, möglichst viel in wenigen Sitzungen zu erreichen. Letzteres gilt insbesondere für Patienten, die für eine Behandlung eine Endokarditisprophylaxe benötigen, denn auch bei einer Wurzelkanalbehandlung und dort gerade bei einer infizierten Nekrose kann es zu einer Bakteriämie kommen, die eine antibiotische Abschirmung notwendig macht. 

Englumige Kanalsysteme erfordern in der Regel eine optische Vergrößerungshilfe, dabei bieten sich Lupenbrillen bedingt und Mikroskope besonders an. Die variable Vergrößerung der Mikroskope verbunden mit einer exzellenten Ausleuchtung des Behandlungsgebietes garantiert eine ideale Voraussetzung für eine erfolgreiche Behandlung. 


Ein Fallbeispiel 

Überweisung einer 60 Jahre alten Patientin zur Weiterbehandlung. 

Allgemeine Anamnese:
–Blutdruck erhöht, aber medikamentös eingestellt.

Spezielle Anamnese:
– Schwellung in der Umschlagfalte Regio 12, 11
– Zunehmende Zahnverfärbung (insbesondere 11) (Abb. 4)
– Trauma in der Kindheit (Sturz mit dem Fahrrad)
– Trepanation der Zähne alio loco bereits erfolgt
– Perkussion 12 (–), 11 (+)
– Sensibilitätstest 12, 11 (–)
– Radiologische Diagnostik:
– Orthopantomogramm (alio loco angefertigt) (Abb. 5)
– Konservierend versorgtes Gebiss, Schaltlücke im zweiten Quadranten
– Aufhellung Regio 12, 11
– Zahnfilm (Abb. 6)
– Ausgedehnte apikale Osteolyse Regio 12, 11,
– V.a. radikuläre Zyste 

Diagnose:
– Symptomatische apikale Parodontitis
– Verdacht auf radikuläre Zyste 

Therapieplan:
– Einleiten einer Wurzelkanalbehandlung 12, 11 


Therapie 

Unter Kofferdam wurden die Trepanationsöffnungen für eine ausreichende Übersicht erweitert und die Kanäle dargestellt, wobei sich bei Zahn 12 zunächst kein Kanal darstellen ließ. Unter endometrischer Kontrolle wurde Zahn 11 instrumentiert und die Arbeitslänge bestimmt. Sie betrug 20 mm mit dem Referenzpunkt der Inzisalkante. Bei der Instrumentierung entleerte sich Pus aus dem Kanallumen des Zahns. Unter sorgfältiger ultraschallgestützter Irrigation mit NaOCl (2,5%), NaCl als Zwischenspülung und CHX (1%) erfolgte die Aufbereitung des Zahns mit Handinstrumenten bis ISO 90. Parallel wurde unter Zuhilfenahme des OPMikroskops versucht, das Kanallumen von Zahn 12 zu instrumentieren. Trotz Verwendung von EDTA als Komplexbildner zur besseren Instrumentierung des Lumens ließ sich kein Kanal instrumentieren. Nach der Trocknung des Kanalsystems 11 und der Kavität 12 wurde in Zahn 11 eine medikamentöse Einlage mit einer wässrigen Kalziumhydroxid-Lösung durchgeführt und der Zahn provisorisch mit Cavit und anschließend mit Komposit verschlossen. Bei Zahn 12 wurde EDTA bis zur nächsten Sitzung eingelegt. Zwei Tage später erschien die Patientin ohne Termin und beschrieb ein zunehmendes Druckgefühl im Bereich der Wurzelspitzen Regio 12 und 11. 

Nach Anlegen des Kofferdams wurden die Zähne erneut trepaniert und bereits dabei entleerte sich abermals Pus aus der Trepanationsöffnung 11. Es erfolgte wieder eine gründliche Irrigation nach dem oben genannten Schema und die Wirkdauer des CHX wird auf 15 Minuten ausgedehnt. Bei Zahn 12 ließ sich kein Kanal instrumentieren. Nach Einbringen der medikamentösen Einlagen wurden die Zähne erneut verschlossen, die Patientin erhielt unterstützend eine Antibiose mit Amoxicillin 1.000mg 3x1.

Nach drei Tagen erschien sie mit derselben Symptomatik wie zuvor wieder in der Praxis. Die Behandlung der beiden Zähne wurde analog zur vorhergehenden Sitzung durchgeführt und die Patientin über mögliche Änderung der Therapie aufgeklärt. Aufgrund der Symptomatik war davon auszugehen, dass es sich bei der Osteolyse um eine echte Zyste handelt, wobei der Ursprung nicht exakt ausgemacht werden konnte. Der Therapieplan sah nun eine Wurzelspitzenresektion der beiden Zähne, kombiniert mit einer ortho- und retrograden Wurzelfüllung, vor. Die Patientin stimmte dem Vorschlag zum weiteren Vorgehen zu. Der Termin wurde für den übernächsten Tag festgesetzt, wobei Zahn 11 offen gelassen wurde und die Patientin die Instruktion erhielt, den Zahn regelmäßig mit CHX zu spülen. 

Am Tag des operativen Eingriffes berichtete sie, dass sie zwar keine Schwellung mehr habe, aber dennoch kontinuierlich Exsudat aus dem Lumen käme. Nach einer Infiltrationsanästhesie wurde, um mögliche Rezessionen zu verhindern, mit einer klassischen Schnittführung nach Partsch die apikale Region der Zähne 12 und 11 dargestellt. Die knöcherne Lamelle war dort bereits weitgehend resorbiert. Bei direkter Sicht in das Lumen war der Zystenbalg zu erkennen. Dieser wurde in toto entfernt und zur histologischen Untersuchung eingesandt. Nach Darstellung der Wurzelspitzen wurden diese etwa 3 mm abgesetzt, parallel erfolgte die orthograde Aufbereitung von Zahn 11.

Nach gründlicher Spülung und darauffolgender Trocknung fand die Obturation des Zahns unter Verwendung von AH Plus als Sealer mit einem Guttapercha-Point ISO 110 unter direkter Sicht statt. Anschließend wurden sowohl Zahn 12 als auch 11 nach Anhärten des Sealers retrograd mit diamantierten Ultraschallspitzen aufbereitet und mit Pro Root MTA obturiert. Zuvor fanden gründliche Spülvorgänge mit CHX und die Trockenlegung des Areals statt. Nachdem der Zement nicht mehr verarbeitet werden konnte, wurde die Wurzel noch mit einer Lindemann- Fräse etwas eingekürzt und geglättet. Der Wundverschluss erfolgte mit Einzelknopfnähten mit Vicryl 5.0. Eine postooperative Röntgenkontrolle in Form eines Zahnfilms schloss den Eingriff ab (Abb. 7). Die Antibiose sollte noch fortgesetzt werden, als Schmerzmedikation wurde Ibuprofen rezeptiert. 

Bei der Nachkontrolle am darauffolgenden Tag gab die Patientin bis auf einen Wundschmerz keine Beschwerden an. Sie habe bisher keine Schmerztabletten benötigt. Die Entfernung der Nähte erfolgte nach einer Woche. Zu diesem Zeitpunkt war die Patientin absolut beschwerdefrei und die Wundverhältnisse blande. Das Ergebnis der histologischen Untersuchung bestätigte die Verdachts diagnose der radikulären Zyste. In den folgenden Sitzungen wurden die Zähne intern mit Natriumperborat gebleacht.

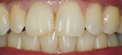
Bis das gewünschte Ergebnis erreicht wurde, waren drei Wechsel des Bleachingmaterials notwendig. Nach dem letzten Wechsel wurde der Zahn zunächst provisorisch verschlossen, bis drei Wochen später der definitive Verschluss mit Komposit realisiert wurde. Die Röntgenkontrolle nach neun Monaten zeigte eine weitgehende Heilung der Osteolyse. Die Prognose der beiden Zähne ist als gut einzustufen. Das klinische Abschlussbild (Abb. 8) zeigt ein einheitliches Bild der Zahnfarben, mit dem die Patientin sehr zufrieden ist. 


Diskussion 

Enge Kanallumina sind für die Behandlung von älteren Patienten charakteristisch, jedoch ist es sehr selten, dass überhaupt kein Kanal dargestellt werden kann. In diesem Fall ist die Ursache primär nicht das Alter der Patientin, sondern vielmehr das in der Kindheit erlittene Trauma. Nach einer jahrzehntelangen Latenzzeit kam es zu einer akuten Exazerbation der chronischen Entzündung. Das Röntgenbild zeigt eine rundliche Osteolyse, die differenzialdiagnostisch neben dem apikalen Granulom auch die radikuläre Zyste infrage kommen lässt. 

Die Größe der periapikalen Osteolyse spielt für die Ausheilung mithilfe von Kalziumhydroxideinlagen nur eine untergeordnete Rolle (Caliskan 2004, Sjogren 1990). Auch epithelausgekleidete „periapical pocket cysts“ können nach konventioneller Wurzelkanalbehandlung ausheilen (Nair 1998). Der Nachweis einer radikulären Zyste ist nur histologisch zu erbringen, jedoch liegt nur bei etwa 15% aller röntgenologischen periapikalen Aufhellungen eine radikuläre Zyste vor.

Die epitheliale Beteiligung als Vorstufe einer Zyste ist in einer deutlich größeren Inzidenz nachzuweisen. MTA zeichnet sich durch hervorragende regenerationsfördernde Eigenschaften auf Osteoblasten aus (Economides 2003, Zhu 2000) und ist insbesondere für die Neubildung von Zement wichtig (Torabinejad 1996, 1995, 1995). Langzeitergebnisse bestätigen die guten Erfolgsaussichten (Chong 2003). Das postoperative Röntgenbild zeigt deutlich die Aufhellung der Knochenkavität und die Verschattung des MTA. 

Es gibt nur wenige Studien zur chirurgischen Wurzelkanalbehandlung, welche zudem auch noch unterschiedliche Operationsmethoden fokussieren (Habl 2005). Dabei sind periradikuläre Kürettage, die Resektion der Wurzel, die Amputation ganzer Wurzeln und die Wurzelspitzenresektion Bestand der Untersuchungen.

Die Compliance des Patienten und das Interesse, den eigenen Zahn zu erhalten, scheint die wichtigste Voraussetzung für den Erfolg eines endodontisch-chirurgischen Eingriffs, in Verbindung mit einer adäquaten Mundhygiene mit parodontal zufriedenstellenden Parametern, zu sein (Blomlöf 1997, Fugazzotto 2001, Maddalone 2003). 

Mit einer suffizienten orthograden Wurzelfüllung bestehen für den chirurgisch revidierten Zahn weitaus bessere Erfolgschancen. Heilungsraten von bis zu 90% von Zähnen, deren Wurzeln zuvor radiografisch dicht und bis nahe an den Apex gefüllt wurden, sind erreichbar (Testori 1999). Überstopfte Wurzelfüllungen oder Resektionen ohne zuvor erfolgte orthograde WF weisen deutlich geringere Erfolgsraten auf (Basten 1996, Maddalone 2003, Testori 1999, Wesson 2003). Verbliebene Mikroorganismen oder gewebsschädigende Stoffe werden als Ursache diskutiert (Hülsmann 2004). 

Erfahrung des Operationsteams, standardisierte Behandlungsabläufe, die Wahl der geeigneten Operationstechnik und die Qualität des durchgeführten Eingriffs beeinflussen ebenfalls das „treatment outcome“ (Fugazzotto 2001, Maddalone 2003, Rahbaran 2001, Wesson 2003). Keinen Einfluss auf die Prognose scheinen das Geschlecht und das Alter des Patienten zu haben (Rahbaran 2001, Testori 1999, Wesson 2003).

Bei der Materialwahl gilt für die retrograde Füllung MTA als Goldstandard (Aqrabawi 2000, Martell 2002), doch auch neuere Studien zeigen, dass es kein Material mit absoluter Dichtigkeit gibt, doch das scheint in der klinischen Relevanz eine untergeordnete Bedeutung zu haben (De Bruyne 2006). 

Letztendlich ist das Alter eines Patienten nicht der entscheidende Faktor, um eine Therapie erfolgreich zu beenden. Es gilt in jedem Einzelfall auf das Krankheitsbild und die Bedürfnisse des Patienten einzugehen. Die gründliche Anamnese muss am Anfang der Behandlung stehen. Falls es sich um bekannte Patienten handelt, gilt es, die Anamnese in regelmäßigen Abständen zu aktualisieren, damit nicht eine mögliche Erkrankung mit einer entsprechenden Medikation übersehen wird. Als Zahnmediziner ist ein gewisses Maß an allgemeinmedizinischem Wissen eminent wichtig, um entsprechende Behandlungssituationen richtig einzuschätzen und dem Patienten helfen zu können. Nicht zuletzt ist der Zahnmediziner auch an der Erstdiagnose von Krankheiten beteiligt, die sich im Cavum oris manifestieren und vom Allgemeinmediziner übersehen werden können oder nur schwer zu diagnostizieren sind. Ein interdisziplinärer Austausch über die Grenzen des eigenen Fachgebietes hinaus kann für den im Zweifel multimorbiden Patienten von Nutzen sein.  

Mehr Fachartikel aus Endodontologie

ePaper