Parodontologie 19.09.2011

Perioprothetik als Schlüsselkonzept in der Zielgruppe 50+



Perioprothetik als Schlüsselkonzept in der Zielgruppe 50+

Die demografische Entwicklung der deutschen Bevölkerung wird in Zukunft erhebliche Auswirkungen auf die erforderlichen Behandlungskonzepte in der zahnärztlichen Praxis haben. Bereits heute sind 40 Prozent der Deutschen über 50. Voraussichtlich im Jahr 2035 wird Deutschland die älteste Bevölkerung der Welt haben. Auf diese Entwicklung gilt es sich rechtzeitig einzustellen. Dabei geht es jedoch nicht nur um die Entwicklung zielgruppengerechter Marketingkonzepte, sondern in erster Linie um die Etablierung zielgruppengerechter Behandlungskonzepte.

 

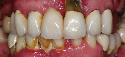
Mit zunehmendem Lebensalter kommt es zu einer Verschiebung der Risikofaktoren für einen Zahnverlust. Während in jüngeren Jahren Karies und Traumata die häufigsten Gründe darstellen, sind parodontologische Erkrankungen bereits ab dem 40. Lebensjahr der häufigste Grund für den Verlust eines Zahnes. Parodontologische Erkrankungen zeigen in der Patientengruppe der über 50-Jährigen eine entsprechend hohe Prävalenz. 40 Prozent der Senioren weisen an mindestens einem Zahn eine schwere Form der Parodontitis auf. Das belegt die aktuelle „Vierte Deutsche Mundgesundheitsstudie“ (DMS IV).

 

 

Prothetische Versorgungskonzepte müssen daher insbesondere Aspekte der Pfeilerwertigkeit im parodontal vorgeschädigten Restgebiss berücksichtigen. Die Vernetzung von parodontologischen und prothetischen Planungs- und Behandlungskonzepten ist ein Grundgedanke der Perioprothetik. Perioprothetik ist dabei als ganzheitliches Konzept zu sehen, welches bereits in der Planungsphase beginnt. Im Vordergrund steht das Ziel, eine parodontologische Erkrankung möglichst früh zu erkennen. Hierfür bieten sich die Erhebung eines Parodontalen Screening-Indexes (PSI) und eine adäquate Röntgendiagnostik an (Abb. 1). 

Die Panoramaschichtaufnahme (PSA) ist insbesondere bei einer geplanten prothetischen Versorgung im Lückengebiss aufgrund der begrenzten Strahlenbelastung und dem hohen Informationsgehalt für den kompletten Gebisszustand als Grunddiagnostik geeignet. Sofern eine spätere implantologische Versorgung erwogen wird, kann bereits bei dieser ersten Aufnahme durch die Integration von Referenzkörpern eine Aussage zum Knochenangebot gemacht werden. Die Auswertung der klinischen Befunde und der radiologischen Diagnostik bestimmt dann den klinischen Behandlungspfad (Abb. 2). 

Nach Diagnosestellung einer parodontalen Erkrankung wird bei jedem dieser Patienten eine umfassende parodontale Behandlung nach individueller Notwendigkeit eingeleitet. Je nach Schwere der Erkrankung kann die klinische und radiologische Diagnostik durch bakteriologische und immunolgische Untersuchungen ergänzt werden. Falls eine systematische Parodontaltherapie erforderlich ist, so hat diese Vorrang vor einer definitiven prothetischen Versorgung. Zu diesem Zeitpunkt kann also lediglich eine vorläufige prothetische Planung erfolgen. Sofern Zähne mit einer infausten Prognose vor der systematischen Parodontaltherapie entfernt werden müssen oder aber Pfeiler mit einer reduzierten Pfeilerwertigkeit noch nicht abschließend in Bezug auf ihre mögliche Integration in eine prothetische Versorgung beurteilt werden können, ergibt sich die Notwendigkeit der Versorgung mit einem Langzeitprovisorium. 

Ebenso erfordert eine implantatprothetische Versorgung mit umfangreichen augmentativen Maßnahmen aufgrund der verlängerten Einheilzeiten eine langzeitprovisorische Versorgung, die eine kaufunktionelle und ästhetische Rehabilitation über den gesamten Behandlungszeitraum gewährleistet. Darüber hinaus ermöglichen laborgefertigte Provisorien eine Simulation des ästhetischen Ergebnisses sowie eine Überprüfung der Phonetik und Kaufunktion, was insbesondere bei umfangreichen Restaurationen sehr sinnvoll ist (Abb. 3 und 4). Langzeitprovisorien sind also in der Patientengruppe 50+ ein wichtiges Therapiemittel für den klinischen Langzeiterfolg, da sie sowohl parodontologischen als auch prothetisch-restaurativen Aspekten Rechnung tragen. Für die definitive Planung der prothetischen Versorgung sollte in jedem Fall berücksichtigt werden, dass Zähne mit einer reduzierten Pfeilerwertigkeit ein erhöhtes Verlustrisiko haben (Abb. 4). Folgende Kriterien sollten bei der Beurteilung der Pfeilerwertigkeit berücksichtigt werden:
– Knochenverlust und Attachmentverlust in Beziehung zum Alter des Patienten
– Lockerung
– Endodontischer Zustand der Restzähne
– Zahl und Verteilung der Restzähne
– Zahl, Größe und Verteilung der Lücken
– Funktioneller Zustand (Kiefergelenk, Muskulatur, Okklusion).

Vereinfacht gesagt wird der klinische Langzeiterfolg einer komplexen Restauration immer durch die Prognose des Pfeilers mit der geringsten Wertigkeit bestimmt. Entsprechend sollte es vermieden werden, Pfeiler mit einer reduzierten Prognose in eine größere Brückenkonstruktion zu integrieren. Da bei älteren Patienten zumeist mehrere Lückensituationen in Kombination mit einer parodontalen Vorschädigung der Pfeiler vorliegen, sind unter diesem Gesichtspunkt sehr schnell die Grenzen einer konventionellen festsitzenden Versorgung erreicht. 


Es gibt zwei Strategien zur Risikominimierung 

Durch die Insertion von Implantaten können kleinere restaurative Einheiten für eine festsitzende Versorgung erreicht werden, die unabhängig vom Verlustrisiko der natürlichen Zähne sind. Das Risiko kann aber auch durch abnehmbare Versorgungen reduziert werden. Besonders wichtig ist es, eine Umarbeitung oder Erweiterung des geplanten Zahnersatzes bei einem Pfeilerverlust zu berücksichtigen. Unter diesem Gesichtspunkt bieten Doppelkronenversorgungen klare Vorteile. Da die Prognose von Doppelkronenversorgungen jedoch mit abnehmender Pfeilerzahl sinkt und stark von der Pfeilerverteilung abhängt, können Implantate in strategisch günstigen Positionen zu einer Verbesserung der Langzeitprognose führen. Eine strategische Pfeilervermehrung ist insbesondere dann in Erwägung zu ziehen, wenn weniger als vier Pfeiler für eine Verankerung des Zahnersatzes mit Doppelkronen vorhanden sind oder wenn sämtliche geeigneten Pfeiler nur in einem Quadranten lokalisiert sind. Abnehmbare Doppelkronenkonstruktionen unter Einbeziehung von Implantaten an strategisch günstigen Positionen bieten neben der Möglichkeit der einfachen Erweiterbarkeit auch den Vorteil einer besseren Hygienefähigkeit im Vergleich zu festsitzenden Konstruktionen (Abb. 7a–b). 

Insbesondere in der Zielgruppe 50+ sind eine Abnahme der manuellen Fähigkeiten und eine Visusverschlechterung einzukalkulieren. Diese Faktoren beeinflussen auch die Qualität der häuslichen Mundhygiene. Der Punkt, dass eine Hygienefähigkeit für den Patienten auch noch in 10 bis 15 Jahren gegeben sein muss, ist ein wesentlicher Aspekt, der auch bei einem totalen Zahnverlust für eine abnehmbare Konstruktion spricht. Abnehmbare Suprakonstruktionen auf vier bis sechs Implantaten im zahnlosen Kiefer bieten für den Patienten einen hohen Tragekomfort und eine signifikante Verbesserung der Lebensqualität gegenüber einer Totalprothese. 

Interessanterweise ist für eine signifikante Verbesserung der Lebensqualität eine festsitzende Versorgung auf Implantaten nicht zwingend erforderlich. Auch mit abnehmbaren Konstruktionen kommt es für die Patienten zu einer deutlichen Verbesserung von Kaufunktion, Tragekomfort, Sprechfunktion und Ästhetik gegenüber einer konventionellen Totalprothese. Sofern im Oberkiefer eine gaumenfreie Konstruktion realisiert werden kann, wird auch eine Beeinträchtigung der Geschmacksempfindung, wie sie bei einer konventionellen Totalprothese unvermeidlich ist, vermieden (Abb. 8a–b). 


Kein Erfolg ohne Nachsorge 

Ein weiteres Element des umfassenden perioprothetischen Behandlungskonzeptes ist ein risikoadäquates Nachsorgekonzept. Diese Anforderung wird auch in der aktuellen wissenschaftlichen Mitteilung der DGPRO zu Nachsorgestrategien bei Zahnersatzversorgungen klar herausgestellt: „Für die dauerhafte Erhaltung der Mundgesundheit von mit Zahnersatz versorgten Patienten ist ein Nachsorgesystem unabdingbar, das eine risikoadaptierte und regelmäßige Teilnahme der Patienten gewährleistet.“ Die Nachsorgeintervalle werden dabei im Wesentlichen durch die folgenden Risikofaktoren bestimmt:
– Alter des Patienten
– Zahnersatzdesign
– Pfeilerverteilung
– Parodontale Vorerkrankung
– Raucherstatus. 

Aus dieser Aufstellung wird deutlich, dass bei der Zielgruppe 50+ eine Kumulation von Risikofaktoren möglich ist, die ein stringentes Recall-Management erfordert. Dies ist insbesondere bei implantatprothetischen Versorgungen von essenzieller Bedeutung. Bei einer parodontalen Vorerkrankung ist von einem tendenziell höheren Periimplantitisrisiko auszugehen. Eine professionelle Hygienebetreuung stellt derzeit die einzige nachweisbar effektive Maßnahme zur Senkung des Erkrankungsrisikos dar. 


Zusammenfassung 

Restaurative Maßnahmen bei Patienten aus der Zielgruppe 50+ müssen den Besonderheiten dieser Altersgruppe Rechnung tragen. Dabei steht die hohe Prävalenz von parodontalen Vorerkrankungen an erster Stelle. Entsprechend hat die Integration von perioprotheischen Konzepten unter Einschluss eines risikoadaptierten Nachsorgesystems einen hohen Stellenwert.   

Boom-Branche Zahnheilkunde 50+
Mehr Fachartikel aus Parodontologie

ePaper