Endodontologie 09.08.2013
Postendodontische Versorgung: Ästhetisch und funktionell
share
Die Wiederherstellung verloren gegangener Zahnhartsubstanz sollte grundsätzlich unter dem Gesichtspunkt der Erhaltung der restlichen gesunden Zahnsubstanz und einer hohen Langlebigkeit und Funktionstüchtigkeit der Restauration gesehen werden. Idealerweise sollte gleichzeitig die Restauration so naturgetreu wie möglich gestaltet werden. Der nachfolgende Patientenfall zeigt die endodontische und restaurative Behandlung eines tief zerstörten Zahnes unter Berücksichtigung der beschriebenen Parameter.
Die Restauration der Zähne mit endodontischer Vorgeschichte nach o.g. Zielrichtungen ist eine Herausforderung für den Behandler. Verschiedene Parameter spielen bei endodontisch versorgten Zähnen für eine gute Langzeitprognose eine entscheidene Rolle:
- endodontische Behandlung
- Restzahnhartsubstanz/Destruktionsgrad
- bakteriendichter Verschluss
- Präparationsdesign
Unter den o.g. Punkten gilt es abzuwägen, ob der Zahn mit einer plastischen direkten Restauration, einer indirekten Versorgung (Teilkrone/Krone) oder gar erst mit einem adhäsiven Stiftstumpfaufbau und Krone versorgt wird, um eine gute Langzeitprognose zu erhalten.
Falldarstellung
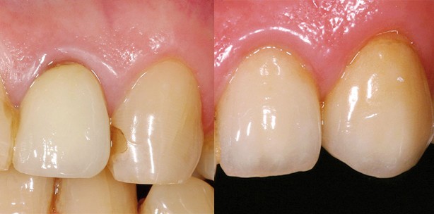
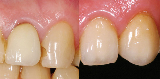
Ein 52-jähriger Patient stellte sich mit multiplen großflächigen indirekten erneuerungsbedürftigen Restaurationen im Frontzahnbereich vor, der Zahn 22 war mit einer insuffizienten VMK-Krone versorgt, welche ästhetisch nicht mehr den Ansprüchen des Patienten entsprach (Abb. 1). Klinisch war der Zahn 22 leicht perkussionsempfindlich und druckdolent in Höhe der Wurzelspitze. Röntgenologisch war der Zahn 22 endodontisch versorgt, wobei sich die endodontische Versorgung/Behandlung auf den Siftaufbau beschränkte. Die Länge dieser „Wurzelfüllung“ endete im mittleren Drittel der Wurzel; eine leichte Erweiterung des Parodontalspaltes apikal war zu erkennen (Abb. 2). Nach entsprechender Aufklärung entschied sich der Patient für eine Restauration der Zähne 13–23 mit vollkeramischen Kronen/Teilkronen. Am Zahn 22 sollte zunächst die orthograde Revision durchgeführt werden, von einer chirurgischen Revision im Sinne einer WSR mit retrograder Füllung wurde aufgrund der schlechteren Prognose abgesehen.
Vorbereitung
Nach Entfernen der alten insuffizienten Krone am Zahn 22 zeigte sich ein kariöser Stumpf (koronales Leakage), der gegossene Stiftaufbau ließ sich mithilfe von speziellen Ultraschallansätzen unter Kofferdam substanzschonend nach kurzer Zeit entfernen. Ein koronales und ein intrakanaläres Leakage waren die Gründe für das Scheitern der endodontischen Behandlung (Abb. 3). Zu diesem Zeitpunkt muss man entscheiden, ob der Zahn gemessen an der Restzahnhartsubstanz und Frakturen überhaupt langfristig restaurierbar ist. Eine durchgängige Längsfraktur ist eine eindeutige Indikation für eine Extraktion. In diesem Fall war noch genügend Substanz vorhanden (Dentinwandstärke > 1 mm) und eine Fraktur nicht zu lokalisieren, zusätzlich war eine 2–3 mm hohe Dentinmanschette (Ferrule) vorhanden, sodass eine gute Langzeitprognose zu erwarten war. Falls der geforderte Ferrule nicht primär präparationstechnisch möglich ist, ohne die biologische Breite zu verletzen, muss über eine chirurgische Kronenverlängerung oder über eine kieferorthopädische Extrusion nachgedacht werden.
Behandlung
Es erfolgte eine Revision der Wurzelbehandlung mit der chemomechanischen Aufbereitung des gesamten Kanalsystems (Patency-Technik). Die Aufbereitung und Obturation wurden in einer Sitzung durchgeführt, da der Kanal nach Aufbereitung trocken war (Abb. 4). Das Ausmaß des Substanzverlustes gibt die Indikation für einen Stiftaufbau vor, heutzutage ist es nicht zwingend erforderlich, jeden endodontisch behandelten Zahn mit einem Stift zu versorgen. In diesem Fall stellte sich die Frage nicht, da der Zahn schon mit einem Stift versorgt war. Anschließend wurde das Stiftbett „präpariert“; der Kanal wurde nicht zusätzlich erweitert, da alio loco ein großer Durchmesser vorlag und eine zusätzliche Erweiterung nur eine Schwächung des Zahnes bzw. der Wurzel hervorruft. Mittlerweile ist man sich einig, dass ein wurzelbehandelter Zahn sich physikalisch von den Schmelz- und Dentineigenschaften nicht von einem vitalen Zahn unterscheidet. Die Frakturanfälligkeit ergibt sich aus dem starken Substanzverlust wie dem Verlust des Pulpakammerdaches, der Aufbereitung der Kanäle wie auch der Stiftbettpräparation.
Die ästhetisch anspruchsvolle Frontzahnregion erfordert vollkeramische Versorgungen; der endodontisch versorgte Zahn mit Stift und Aufbau sollte ebenfalls zahnfarben sein und ähnliche biomechanische Eigenschaften (E-Modul) wie ein natürlicher Zahn besitzen. Diese erforderlichen optischen wie auch mechanischen Attribute vereinigt der zahnfarbene Glasfaserstift (Abb. 5). Wir benutzen seit über zehn Jahren Glasfaserstifte zur Retention von endodontischen Aufbauten (Aufbaustift). In einer Vielzahl von postendodontischen Versorgungen verzichten wir auf eine Stiftversorgung, da Stiftbettbohrungen grundsätzlich die Festigkeit des Zahnes schwächen und die Frakturgefahr erhöhen.
Entscheidend für den endodontischen Erfolg bei der postendodontischen Versorgung ist der bakteriendichte Verschluss zur Vermeidung eines koronalen Leakages (Ray und Trope 1995). Vorteilhaft für eine adhäsive Versorgung ist die Anwendung von Kofferdam, Reste von NaOCl und Sealer beeinträchtigen negativ die Adhäsivwerte. Zum Zeitpunkt dieser Falldarstellung (2003) wurde der Glasfaserstift adhäsiv zementiert, anschließend der Aufbau aus einem dualhärtenden Core-Material angefertigt. Heutzutage bieten zahlreiche Hersteller Systeme für die adhäsive Stiftinsertion und den Aufbau an, welche sehr einfach zu handhaben sind. Die Abbildung 5 zeigt den fertigen Aufbau; nach der Kronenpräparation zeigt sich sehr deutlich aufgrund der Farbunterschiede das Gestaltungsprinzip des Ferrule-Design, eine circa 2 mm zirkuläre hohe Stumpfumfassung im Dentin, welche, wie in zahlreichen Sudien gezeigt, einen signifikanten Einfluss auf die Langlebigkeit der Restauration hat (Abb. 6).
Die röntgenologische Kontrolle zeigt den wandständigen Verbund mit dem Glasfaserstift. Aus substanzschonenden Gründen reicht in der Regel 4–5 mm Präparationstiefe (Abb. 7). Beim Einsatz vollkeramischer Systeme ist die Präparationsstufe von ganz entscheidender Bedeutung, eine Hohlkehle oder eine Stufe mit abgerundetem Innenwinkel sind empfehlenswert, bei Kronen wird eine Präparationstiefe von 1 mm als ausreichend erachtet. Bei adhäsiver Eingliederung und schmelzbegrenzter Präparationsstufe versuchen wir die Stufe auf bis zu 0,5 mm zu verringern, dabei spricht man von sogenannten 360°-Veneers.
In diesem Fall wurde eine Präparationstiefe von mindestens 1 mm gewählt, um die Krone so zu schichten, dass der etwas dunklere Zahnstumpf nicht durchschimmert, auch eine gewisse Grundstabilität der Krone war gewünscht, sodass ein Bleichen des Zahnstumpfes nicht unbedingt indiziert war, bei einer helleren gewünschten Farbe sollte grundsätzlich über ein Bleichen des Stumpfes nachgedacht werden, aber man sollte sich nicht darauf verlassen, da ein Nachdunkeln des Stumpfes das definitive Ergebnis nachhaltig verschlechtert. Anschließend erfolgt die Abformung mit einem individualisierten Löffel für die Zähne 13–23 (Doppelmischabformung, Doppelfadentechnik). Um ein ästhetisch optimales Ergebnis zu erreichen, kamen glaskeramische Restaurationen zur Auswahl. Die vollkeramischen Kronen aus Silikatkeramik wurden unter absoluter Trockenlegung adhäsiv eingegliedert. In der Abbildung 8 wird die eingegliederte Krone nach zwei Wochen gezeigt. Abbildung 9 zeigt die adhäsiv befestigte Krone nach acht Jahren, auch die röntgenologische Kontrolle zeigt keine apikalen Auffälligkeiten.
Entscheidend für den langfristigen Erfolg war und ist die strenge Indikationsstellung für die Restaurationsfähigkeit, die Restzahnsubstanz und das Präparationsdesign (Stufe, Ferrule). Wichtig sind die approximale Abstützung des Zahnes 22 und die Funktion. In diesem Fall übt die statische und dynamische Okklusion keine Kräfte/Kontakte auf den Zahn aus.
Fazit
Die Versorgung von endodontisch versorgten Zähnen mit adhäsiv befestigten Glasfaserstiften mit adhäsivem Aufbau ist ästhetisch und funktionell mit indirekten Restaurationen sehr gut möglich. Der klinische endodontische Langzeiterfolg ist jedoch von vielen einzelnen Faktoren abhängig:
- endodontische Kenntnisse, speziell Revision (OP-Mikroskop)
- Destruktionsgrad des Zahnes
- Adhäsivtechnik (adhäsive Eingliederung Krone/Stift)
- Werkstoffkunde (Keramik, Stift)
Durch Abwägung aller Faktoren und entsprechender Indikationsstellung sind gute Langzeitprognosen zu erwarten. Natürlich haben sich die Materialien wie Stift, Komposit und Keramik in den letzten acht Jahren weiterentwickelt, sodass dieser Fall heutzutage materialtechnisch anders versorgt werden würde, doch das sollte die Prognose eher noch weiter verbessern. Entscheidender Faktor für die Restaurationsfähigkeit ist aber immer noch die strenge Indikationsstellung speziell bei solch hohem Destruktionsgrad.
 
                             
                                         
                                                                                     
                 
                 
                 
                 
                 
                 
                 
                 
                 
                                 
                                 
                         
                         
                         
                         
                        