Endodontologie 21.02.2023

Regenerative Endodontie – auch langfristig erfolgreich?



Regenerative Endodontie – auch langfristig erfolgreich?

Foto: © Dr. Schmoeckel

Bei avitalen Zähnen mit nicht abgeschlossenem Wurzelwachstum stellt eine Wurzelkanalbehandlung eine besondere zahnärztliche Herausforderung dar.1 Insbesondere der große Wurzelkanaldurchmesser (Abb. 1a), die dünnen Kanalwände (Abb. 1b) und der weit offene Apex bereiten dabei Schwierigkeiten (Abb. 1c).2 Die sogenannte Apexifikation stellte bislang eine gängige Therapieoption für avitale Zähne mit nicht abgeschlossenem Wurzelwachstum dar.3 Bei dieser Behandlung soll durch die Anwendung von Calciumhydroxid über einen längeren Zeitraum eine apikale Barriere geschaffen werden.4 Die wesentlichen Nachteile der Apexifikation sind die insgesamt lange Behandlungs- und Nachbeobachtungszeit, da diverse Behandlungssitzungen benötigt werden, sowie die trotz Behandlung verbleibenden dünnen Wurzelkanalwände, die Frakturen begünstigen.5 Eine weitere regelmäßig angewandte Behandlungsoption nutzt Mineral Trioxid Aggregat (MTA)6,7, um damit in einem einzigen Termin eine „künstliche apikale Barriere“ am weit geöffneten Apex zu schaffen. Die Verwendung von MTA reduziert die benötigte Zeit deutlich im Vergleich zur Apexifikation, jedoch bleibt als gravierender Nachteil, dass die Wurzelkanalwände auch nach Anwendung dieser Technik immer dünn und daher fragil bleiben.7

RET

Die Revaskularisation oder heutzutage eher als regenerative endodontische Therapie (RET) bezeichnet, ist eine neuartige Behandlungsoption, die einen biologischen Ansatz zur Behandlung von avitalen bleibenden Zähnen mit nicht abgeschlossenem Wurzelwachstum bietet. Die RET liefert zugleich sehr erfolgreiche Ergebnisse8 und versetzt den Zahnarzt somit in die Lage, eine weitere Behandlungsoption anzubieten. Dabei wird dem nekrotischen Zahn mit nicht abgeschlossenem Wurzelwachstum gar die Möglichkeit auf eine (scheinbare) „Wiederbelebung der Pulpa“ gegeben und das Wurzelwachstum kann somit weiter fortschreiten.9,10

Wesentliche Voraussetzungen für die gewünschte Reaktion des Gewebes nach regenerativer endodontischer Behandlung stellen die vollständige Entfernung der nekrotischen Pulpa und die ordnungsgemäße Desinfektion des Wurzelkanals dar.11,12

Die Wurzelkanaldesinfektion erfolgt hingegen nicht genauso wie bei der konventionellen Wurzelkanaltherapie, bei der eine deutliche Bearbeitung des Wurzelkanals mit endodontischen Feilen durchgeführt wird. Bei der RET sollte die Instrumentierung des Wurzelkanals auf ein Minimum beschränkt werden, bevor ein desinfizierendes Medikament ins Wurzelkanalsystem appliziert wird.13,14

In der wissenschaftlichen Literatur sind für die Desinfektion im Rahmen der RET die Verwendung einer Triple-Antibiotika-Paste (TAP), einer doppelten Antibiotika-Paste (DAP) und von Calciumhydroxid beschrieben.15–17

Im folgenden Beitrag wird ein Fall präsentiert und diskutiert, bei dem die RET als Therapieoption einer irreversiblen Pulpitis und teilweise nekrotischer Pulpa bei einem Molaren mit nicht abgeschlossenem Wurzelwachstum angewandt wurde und über einen langen Zeitraum von knapp acht Jahren nachverfolgt und dokumentiert werden konnte.

Fallbericht

Ein achtjähriges Kind wurde von seinem Hauszahnarzt zur Abteilung Kinderzahnheilkunde des Zentrums für Zahn-, Mund- und Kieferheilkunde (ZZMK) der Universitätsmedizin Greifswald mit dem Verweis „Behandlung der kariösen Läsionen wegen mangelnder Kooperation“ überwiesen. Der Patient berichtete über spontane Schmerzen auf der rechten Seite des mandibulären Molarenbereichs (Regio 46).

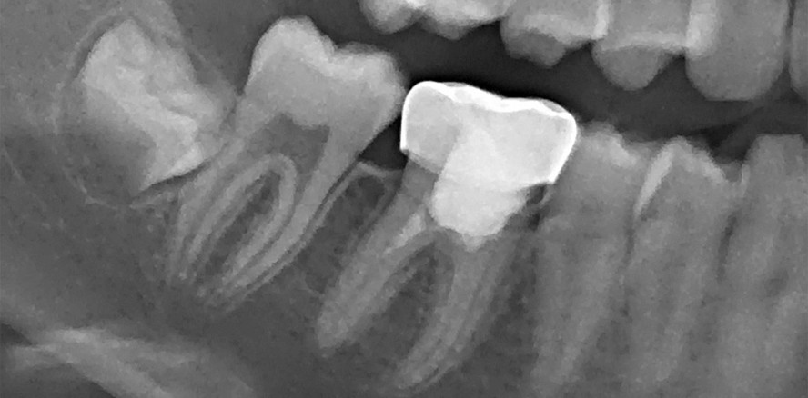
Nach klinischer Untersuchung erfolgte die radiologische Untersuchung: Im Röntgenbild war im Unterkiefer rechts am ersten permanenten Molaren eine tiefe kariöse approximale Läsion mit Pulpabeteiligung und einer wahrscheinlichen periapikalen Läsion (mesiale Wurzel) bei nicht abgeschlossenem Wurzelwachstum und dünnen Wurzelkanalwänden zu befunden (Abb. 2).

Aufgrund der vorliegenden klinischen und radiologischen Befunde wurde für den Zahn 46 die Diagnose irreversible Pulpitis und teilweise nekrotische Pulpa mit Verdacht auf Parodontitis apicalis gestellt. Die Eltern wurden mittels informierter Zustimmung (informed consent) ausführlich über die oben genannten Therapiemöglichkeiten wie die Apexifikation, das Schaffen einer apikalen Barriere mit MTA, die Extraktion (mit der Möglichkeit auf spontanen oder kieferorthopädischen Lückenschluss) und den schließlich beschlossenen Versuch einer RET aufgeklärt.

1. Behandlungssitzung bei der RET

Da der Patient zwar ängstlich doch potenziell behandlungswillig war, wurde die Behandlung mittels Lachgassedierung empfohlen und durchgeführt. Mit der Zahnbehandlung 46 wurde nach Aufklärung und Applikation einer Lokalanästhesie (Ultracain D-S, Sanofi Aventis) im Unterkiefer rechts sowie der Applikation von Kofferdam für eine absolute Trockenlegung begonnen (Abb. 3).

Zunächst wurde die gesamte Pulpa entfernt und im Zuge der minimalen Aufbereitung der Kanalwände wurden die Kanäle mit 20 ml 0,6%igen NaOCl (je Kanal) mit einer „side-vents“ Nadel (Canal Clean, Biodent) mit abgeschlossenem Ende gespült. Dies sollte das Risiko der Applikation von NaOCl in den periapikalen Raum minimieren.

Das Trocknen der Kanäle erfolgte mit sterilen Papierspitzen. Anschließend wurde eine TAP (Abb. 4), die Ciprofloxacin (250 mg), Metronidazol (500 mg) und Minocyclin (50 mg) enthielt, unter Verwendung einer Lentulospirale mit einem langsamen Handstück in die Kanäle eingebracht (Abb. 5). Auf die Kanaleingänge wurde ein Wattepellet platziert und der Zahn temporär verschlossen (IRM, Dentsply Sirona). Zur Weiterbehandlung eine Woche später war der Zahn nun asymptomatisch.

2. Behandlungssitzung bei der RET

Die Behandlung wurde, erneut unter Lachgassedierung, Lokalanästhesie und Kofferdam zur absoluten Trockenlegung, weitergeführt. Die Spülung der Kanäle erfolgte wieder mit 20 ml 0,6%igen NaOCl, und die Trocknung mit sterilen Papierspitzen. Als finale Spüllösung wurde 17%ige EDTA in die Kanäle eingebracht. Mit einer sterilen K-Feile (ISO 30) wurde anschließend die Blutung in den Wurzelkanälen induziert. Als das Blut das Niveau der Kanaleingänge erreichte, wurden kleine Stücke Gelasponschwamm (Gelaspon, Bausch+Lomb) auf den Blutungsbereich am Eingang des Kanals gelegt. MTA (Ledermix® MTA, RIEMSER Pharma) wurde mit sterilem Wasser vermischt und über das Blutgerinnsel aufgetragen. Der Zahn wurde mit IRM (Dentsply Sirona) gefüllt und mit einer konfektionierten Stahlkrone (3M Espe) unter Verwendung eines dünnfließenden Glasionomerzements (Fuji Triage, GC) zur Zementierung versorgt.

Kontrollsitzungen bis zu acht Jahre nach der RET

Zu den ersten drei Kontrollbesuchen, die nach drei, neun und 16 Monaten erfolgten, war der Zahn 46 stets asymptomatisch. Auch nach zwei Jahren war der Zahn klinisch funktional und ohne pathologische Befunde (Abb. 6). Die röntgenologische Kontrolle zeigte zudem eine eindrucksvolle vollständige periapikale Heilung mit apikalem Verschluss sowie eine signifikante Zunahme der Wurzellänge und -dicke (Abb. 7 und 8). Der letzte Kontrolltermin nach RET erfolgte bislang nach acht Jahren, bei dem der Zahn sich immer noch sowohl klinisch als auch röntgenologisch funktional und asymptomatisch darstellte (Abb. 9–11). Das Kind ist nun im Jugendalter (16 Jahre alt) und weist ein juveniles permanentes Gebiss auf.

Diskussion

Durch die RET bzw. Revaskularisation konnten bei diesem Patientenfall die Nachteile der traditionellen Behandlungsoptionen bei der Apexifikation oder der MTA-Technik (mit apikalem Plug), die wegen sprödem denaturiertem Dentin häufig zu Frakturen führt, überwunden werden.

Die RET bietet, wie auch dieser Fall zeigt, gar eine Chance für weitere Wurzelentwicklung, welche die Prognose für den Zahn verbessert, da insbesondere dadurch das Frakturrisiko sinkt.18,19

Eine ausreichende Desinfektion des Wurzelkanalraums wird entweder mit Calciumhydroxid oder einer Antibiotika-Paste als intrakanaläres Medikament erreicht.16 Laut der American Association of Endodontics [AAE 2017] wird die TAP (Gemisch aus 1:1:1 Ciprofloxacin : Metronidazol : Minocyclin) bis zu einer Endkonzentration von 0,1 bis 1,0 mg /ml für das regenerative Verfahren bei Zähnen mit nicht abgeschlossenem Wurzelwachstum empfohlen. Bei diesem Patientenfall wurde daher dieser Empfehlung gefolgt.

Eine retrospektive Auswertung von Röntgenaufnahmen bei Zähnen, die mit RET unter Verwendung von TAP als intrakanaläres Medikament im Vergleich zu anderen Materialien wie Calciumhydroxid oder Formocresol behandelt wurden, zeigte, dass bei Verwendung von TAP eine signifikant erhöhte Dicke der Wurzelkanalwand erreicht werden konnte.20

Die Stammzellen der apikalen Papilla (SCAP) gelten als Hauptquelle der Zellen für die Pulparegeneration bei Zähnen mit nicht abgeschlossenem Wurzelwachstum.21 Ein geeignetes Spülprotokoll sollte daher Anwendung finden, um eine hohe Überlebensrate des SCAP zu gewährleisten.22 Die endgültige Spülung mit 17%iger EDTA hat sich bei regenerativen endodontischen Prozeduren als vorteilhaft erwiesen, da EDTA die größte Zellüberlebensrate (89 Prozent Lebensfähigkeit) für die Stammzellen der apikalen Papilla aufweist.22

Die traditionellen MTA-Materialien, wie in diesem Fall genutzt, weisen in der klinischen Applikation jedoch einige Nachteile auf (Risiko von Farbveränderungen und teilweise nicht ganz einfache Applikation des Materials sowie oftmals teuer). Mittlerweile sind auch synthetische Materialien aus Trikalziumsilikat, wie z. B. Biodentine, verfügbar, was zwar eine geringere Röntgensichtbarkeit aber ein deutlich geringeres Verfärbungsrisiko aufweist. Zudem ist es relativ preiswert und einfach in der Handhabung und kann in einer Vielzahl an klinischen Situationen zum Einsatz kommen.23 Bei der RET eines Molaren spielt das Verfärbungsrisiko zwar eigentlich keine Rolle, aber für Frontzähne mit schwerem Trauma bei nicht abgeschlossenem Wurzelwachstum (Altersgruppe ca. sieben bis neun Jahre) ist dies doch relevant.

Nach Chen et al. (2012)24 können fünf verschiedene Typen der Gewebereaktion nach RET an permanenten Zähnen mit nicht abgeschlossenem Wurzelwachstum, nekrotischer Pulpa und apikaler Läsion beobachtet werden (Abb. 12). In diesem Fall wurde die primär erwünschte Typ-1-Gewebereaktion als apikaler Verschluss beobachtet, die eine Zunahme der Wurzellänge sowie der Wurzeldentindicke beschreibt.

Die Art der finalen restaurativen Versorgung stellt sicherlich einen der wichtigsten Aspekte für einen langfristigen Therapieerfolg dar. In diesem Fall wurde die Stahlkrone als Versorgungsoption genutzt, da Stahlkronen auch bei bleibenden Molaren eine höhere Erfolgsquote verglichen mit anderen Materialien, wie Amalgam oder Komposit, aufweisen und ein recht guter langfristiger Randschluss gewährleistet werden kann.25

In diesem Fall wurden also, zumindest bis zur Nachkontrolle nach acht Jahren, die Hauptziele der regenerativen Endodontie erreicht: guter Heilungsprozess und Abwesenheit von klinischen oder radiologischen Symptomen.26,27 Es ist aber sehr wahrscheinlich davon auszugehen, dass der risikobehaftete Zeitraum für einen Misserfolg in der Vergangenheit liegt und dieser Zahn für viele weitere Jahre oder gar Jahrzehnte erfolgreich ohne Re-Intervention im Mund verbleiben wird. Einzig bleibt die Frage, ob die Versorgung der Stahlkrone für den Patienten ästhetisch weiterhin zufriedenstellend bleibt oder eine zahnfarbene Krone gewünscht wird.

Fazit

Die regenerative endodontische Behandlung kann als biologische Behandlungsoption für das Management von avitalen, permanenten Zähnen mit nicht abgeschlossenem Wurzelwachstum langfristig erfolgreich sein und sollte aufgrund zahlreicher Vorteile bei der Therapieentscheidung mit in Betracht gezogen werden.

Dieser Beitrag ist im ZWP Spezial erschienen.

Mehr Fachartikel aus Endodontologie

ePaper