Endodontologie 12.05.2017

Pink Spot – Was nun?



Pink Spot – Was nun?

Foto: Autorin

In der täglichen Praxis ist eine interne Resorption im Erscheinungsbild des Pink Spot ein eher seltener Fall und meist ein Zufallsbefund, der ein vom üblichen Arbeitsaufkommen abweichendes Handeln bedingt. Einmal diagnostiziert verlangt die interne Resorption ein proaktives Behandlungskonzept. Untherapiert wirkt die interne Resorption des Zahnes rasch destruktiv. Der vorliegende Fall beschreibt einen Pink Spot als Zeichen einer internen Resorption an einem mittleren Frontzahn und die konservative endodontische Therapie des Zahnes, die zum Stoppen der resorptiven Prozesse notwendig geworden war.

Bei der internen Resorption handelt es sich um einen pathologischen Prozess – den Abbau der inneren Zahnwand von der Pulpa her. Das vom Nerv eingenommene Lumen vergrößert sich dabei, Zahnhartsubstanz geht verloren. Die interne Resorption kommt relativ selten vor. In der Literatur wird sie mit einer Prävalenz von 0,01 bis 1,0 % angegeben.1 In den meisten Fällen ist sie die Folge einer Verletzung der Pulpa, wie z. B. ein physikalisches Trauma oder eine kariesinduzierte Pulpitis. Häufiger werden interne Resorptionen bei männlichen als bei weiblichen Perso­nen beobachtet.2 Meist ist nur ein Zahn betroffen, davon am häufigsten der Oberkieferfrontzahn.1 Gehäuft treten interne Resorptionen nach zahnärztlichen Therapien wie z. B. Auto­transplantation auf.3

Eine interne Resorption kann trotz progressivem Verlauf über Jahre unbemerkt verlaufen. Patienten werden sich des Befundes aufgrund des asymptomatischen Verlaufs zunächst oft nicht bewusst. Symptome einer Pulpitis mit Schmerzen treten erst auf, wenn es z. B. zu einer Perforation und damit zu einer Invasion von Bakterien gekommen ist.4 Voraussetzungen für die interne Resorption ist eine Schädigung des Prädentins. Die Odontoblastenschicht wird dabei zerstört. Ohne die schützende Schicht ist das darunter liegende Dentin der Aktivität der Odontoklasten ausgesetzt.

Die Resorption schreitet aktiv voran, solange vitales Gewebe existiert. Es handelt sich dabei um einen intermittierenden Prozess, Phasen aktiver Resorption wechseln sich mit inaktiven Phasen ab. Sie endet, wenn Pulpa­gewebe in Verbindung zu periodontalem Gewebe kommt oder die Durchblutung nicht mehr sichergestellt ist. Am Ort der Resorption befindet sich vitales Gewebe, koronal der Resorption kann das Gewebe bereits nekrotisch sein. Erst mit der Nekrose der Pulpa kommt die Resorption zum Stillstand.

Zervikale Regionen sind häufiger von internen Resorptionen betroffen. Das betroffene Areal erscheint radiologisch als runde oder ovale, scharf begrenzte, symmetrische Vergrößerung der Pulpakammer oder des Kanals mit gleichmäßiger Radioluzenz. Durch die interne Resorption wird der Zahn zunehmend geschwächt und es kann letztendlich zur spontanen Fraktur des Zahnes kommen. Bei einer supraossalen oder koronalen Beteiligung scheint das stark durchblutete Gewebe wie im unten beschriebenen Fall durch den dünnen Schmelz als pinke Einfärbung. Dieses Phänomen ist auch bekannt als „Pink tooth of Mummery“, nach dem Anatomen James Howard Mummery.5 Die Ätiologie der internen Resorption ist nicht eindeutig geklärt.6 Vielfältige Ursachen werden diskutiert, wie Traumata, Karies, periodontale Infektionen, chronische Pulpitiden, restaurative Maßnahmen (Überhitzung), direkte Überkappungen und kieferorthopädische Behandlungen.3,7–13 In einer Studie von 25 Zähnen mit interner Resorption war das Trauma der am häufigsten auftretende Faktor und war bei 45 % der Fälle Verursacher.14 Die am zweithäufigsten angenommene Ursache der verbleibenden Fälle waren Entzündungen als Resultat einer kariösen Läsion (25 %) und kariöse/periodontale Läsionen (14 %). In den übrigen Fällen (16 %) war die Ursache gänzlich unbekannt. Andere Studien in der Literatur vertreten die Ansicht, dass Traumata und Pulpainfektionen die Hauptursache von internen Resorptionen darstellen.15 Auch genetische Faktoren werden diskutiert.

Der Fall

Im Dezember 2016 stellt sich ein 17-jähriger Patient zur Routineuntersuchung bei uns vor. In den letzten zehn Jahren erfolgten regelmäßig Vorsorgeunter­suchungen, abgesehen von Individualprophylaxe waren nie Behandlungen notwendig. Es sind keine medizinischen Vorerkrankungen bekannt. Er befindet sich alio loco in kieferorthopädischer Behandlung mit herausnehmbaren Apparaturen. Sechs Monate zuvor wurden die Weisheitszähne beim Mund-Kiefer-Gesichtschirurgen entfernt. Unmittelbar vor dem Termin in unserer Praxis fand eine Behandlung beim Kieferorthopäden statt. Bei der Sitzung beim Kieferorthopäden sei nichts auffällig gewesen, man hätte lediglich Abrücke genommen.

Befund

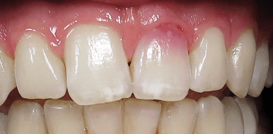
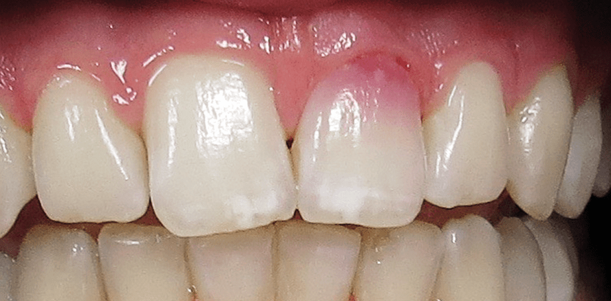
Der Patient war symptomlos und beschwerdefrei. Der extraorale Befund war unauffällig. Es besteht ein kariesfreies Gebiss. Intraoral imponierte eine pinke Einfärbung im zervikalen Bereich des Zahnes 21 (Abb. 1). Diese fiel dem Patienten selbst erst auf, nachdem er von zahnärztlicher Seite darauf hingewiesen worden war, da die Oberlippe den Zahnhals selbst beim Lachen bedeckt. Der Zahn reagierte positiv auf die Sensibilitätsprüfung mittels Kältemittel. Der Zahn war nicht perkussionsempfindlich. Beim vorsichtigen Sondieren der Zahnoberfläche konnte ein Einbruch der Zahnhartsubstanz auf Höhe der marginalen Gingiva ertastet werden.

Radiologische Untersuchung

Auf dem angefertigten Zahnfilm Regio 21 (Abb. 2) zeigt sich eine transluzente runde bis ovale Zone im zervikalen Anteil der Zahnkrone. Das Pulpenkavum erscheint im koronalen Anteil oval symmetrisch erweitert mit einem Durchbruch der Zahnhartsubstanz unterhalb des distalen Approximalkontaktes. Der Parodontalspalt scheint nicht erweitert, es besteht keine apikale Veränderung. Hierzu passt auch die unauffällige Reaktion beim Sensibilitätstest.

Diagnose

Verdacht auf internes Granulom mit ausgeprägter Resorption im koronalen Bereich: Pink Tooth. Differenzialdia­gnostisch konnte aufgrund der niedrigen Kariesaktivität und des ansonsten kariesfreien Gebisszustand eine Karies ausgeschlossen werden. Die Ursache für die interne Resorption konnte nicht abschließend geklärt werden. Die Anamnese des Patienten schließt ein Trauma aus. Das beim Mund-Kiefer-Gesichtschirurgen angefertigte OPG ein halbes Jahr vor der Dia­gnosestellung zeigt ein bereits erweitertes Kanallumen im koronalen Anteil der Zahnes 21 (Abb. 3). Hier besteht der Verdacht, dass die Resorptionsvorgänge bereits begonnen hatten.

Der Patient und die Mutter wurden über die behobenen Befunde aufgeklärt. Wir empfahlen die endodontische Therapie des Zahnes. Die Risiken einer Wurzelkanalbehandlung wurden erörtert. Die Prognose war fraglich, da der koronalen Anteil der Zahnhartsubstanz durch die Resorption betroffen war. Alternative Behandlungswege sahen wir nicht, da das Voranschreiten der Resorption nur durch die Entfernung des Pulpa­gewebes aufgehalten werden kann. Weiteres Warten hätte zur Folge gehabt, dass mehr Zahnhartsubstanz abgebaut wird. Die letztendliche rekonstruktive Therapie, die sich der endodontischen Therapie anschließt, konnte nicht vorhergesagt werden. Die mögliche Versorgung mit einem Stift und eine Überkronung des Zahnes wurde besprochen, ebenso ein möglicher Verlust des Zahnes bei Komplikationen.

Therapie

Kurzfristig wurde die Behandlung begonnen. Nach Infiltrationsanästhesie (Ubistesin 1:100 000 Articain mit Epi-nephrin, 3M ESPE) wurde der Zahn von palatinal trepaniert (Abb. 4). Da sich die Ausdehnung der Resorption genau auf Höhe des Zahnhalses befand, wurde kein Kofferdam gelegt, um nicht ggf. einen Bruch oder Einbruch zu provozieren. Die Resorptionslakune war stark durchblutet und mit weichem, rötlichem Gewebe gefüllt. Unter Anwendung des OP-Mikroskopes (M320 F12, Leica) wurde der Wurzelkanal aufgesucht und das weiche Gewebe vollständig mit Exkavatoren von palatinal ausgeräumt. Hierbei trat eine große subgingivale Perforation des Dentins und des Schmelzes nach vestibulär auf (Abb. 5). Erst nach vollständiger Entfernung des Resorptionsgewebes kam die Blutung zum Stillstand (Abb. 6).

Die Arbeitslänge des Zahnes wurde elektrometrisch (Raypex® 6, VDW) auf 24 mm bestimmt und nach der radiologischen Messaufnahme mit einer K-Feile Größe #25 auf 25 mm korrigiert, Referenzpunkt inzisale Schneidekante (Abb. 7). Der Kanals wurde mit 3,5 % Natriumhypochlorid gespült. Die Instru­mentierung des Kanals erfolgte mit K-Feilen. Der Kanal wurde während der gesamten Behandlung wiederholt mit Natriumhypochlorid 3,5 % gespült. Die marginale Gingiva war vestibulär durch die Exkavation leicht traumatisiert und die Trockenlegung schwierig (Abb. 8), sodass wir uns nach der Trocknung des Kanals mit Papierspitzen zunächst für eine medikamentöse Einlage mit Kalziumhydroxid und einen Verschluss des Zahnes von vestibulär und palatinal mit Cavit™ (3M ESPE) entschieden (Abb. 9). Das entnommene Gewebe wurde zur histologischen Untersuchung eingeschickt. Der Patient wurde über die erhöhte Bruchgefahr des Zahnes aufgeklärt und zu vorsichtigem Verhalten aufgefordert.

Histologische Untersuchung

Die histologische Untersuchung ergab fibromyxoides Gewebe von 4 mm Durchmesser, Anteile eines Nervs, entzündliches Infiltrat mit granulierender Entzündung und spärlichem Hartgewebe. Keine sichere Zystenbildung. Das von uns als Verdachtsdiagnose angegebene interne Granulom wurde vom Analyselabor als „möglich“ angegeben. Eine Woche nach der ersten endodontischen Sitzung erfolgte nach Entfernung des provisorischen Verschlusses und der medikamentösen Einlage die mechanische Aufbereitung mit RECIPROC®-Feilen (R50/gelb, ­RECIPROC®, VDW) unter Anwendung von 15 %igem EDTA als Gleitmittel in Gelform (FileCare® EDTA, VDW) unter intensiver Spülung mit Natriumhypo­chlorid 3,5 %. Das Natriumhypochlorid wurde mittels Ultraschall zwei bis drei Minuten lang über eine Polyamidspitze (EDDY™, VDW) aktiviert. Unmittelbar vor der Wurzelfüllung wurde der Kanal zur Trocknung mit Alkohol gespült und mit Papierspitzen getrocknet, anschließend erfolgte die Wurzelfüllung mit 2Seal® (VDW) auf Epoxid-Aminharz-Basis und der zum RECIPROC® (VDW) passenden Guttapercha-Stifte mittels kalter Obturationstechnik. Die Guttapercha wurde unterhalb der Resorptionslakune abgetrennt.Um zunächst eine schnelle ästhetisch akzeptable Lösung herbeizuführen (einen Tag vor Heiligabend), wurde der Zahn mit einem Komposit (Filtek™ ­Supreme XTE Universal Composite, 3M ESPE) mittels Säure-Ätz-Technik von palatinal und vestibulär rekonstruiert (Abb. 10). Das postoperative Röntgenkontrollbild zeigt die homogene bis apikal reichende Wurzelfüllung und die Ausdehnung der Resorptionslakune durch den röntgenopaken Kunststoff (Abb. 11). Fraglich war, ob der subgingival gelegene Defekt Reizungen der marginalen Gingiva verursachen würde.

In der Nachkontrolle drei Wochen später zeigten sich reizlose Verhältnisse (Abb. 12). Der Zahn war klinisch und röntgenlogisch symptomfrei. Von der Oberlippe ohnehin kaschiert ist der Patient zufrieden (Abb. 13). Der Zahn ist sicherlich frakturgefährdet, sodass noch über eine Versorgung mit einem Stift diskutiert werden kann. Sollte sich in weiteren Kontrollen eine Irritation der marginalen Gingiva oder ein sondierbarer Füllungsrand basal herausstellen, wurde dem Patienten zur Freilegung und Trockenlegung der Perforationsstelle mit einem Lappen, ggf. zusammen mit einer Kronenverlängerung, geraten.

Diskussion

Die rechtzeitige Diagnostik der internen Resorption ist ausschlaggebend für die Prognose des Zahnes. Durch den progredienten Verlauf ist eine rasche Behandlung mit Entfernung des resorptiv-entzündlichen Granulationsgewebes wichtig. Die in den meisten Fällen vitale Pulpa muss entfernt werden, welche die resorbtiv tätigen Zellen über die Blutbahn unterstützt.16

Im Falle einer nicht perforierten internen Resorption ist die orthograde Wurzelkanalbehandlung das Mittel der Wahl. Im fortgeschrittenen Stadium kann es jedoch zur Perforation der Zahnhartsubstanzbarriere kommen. Hier wird zwischen supraossären und intraossären Perforationen unterschieden. Supraossäre Perforationen können im koronalen Anteil wie im geschilderten Fall durch eine adhäsive Füllung geschlossen werden. Intraossäre Perfo­rationen stellen ein größeres Problem dar und können unter chirurgischer Darstellung z. B. mittels MTA (Mineral Trioxide Aggregate) gedeckt werden. Bei größeren Perforationen kann der Zahnerhalt gefährdet sein. Eine baldmögliche Stabilisierung des Zahnes ist anzustreben.

Der Behandlungserfolg korreliert stark mit der Größe der Resorption und der Lokalisation. Ebenso ist entscheidend, ob es zu einer Perforation gekommen ist. Die Prognose ist gut, auch wenn der Patient regelmäßig kontrolliert werden muss, da der resorptive Prozess wieder auftreten kann.

Zusammenfassung

Die Pulpektomie ist die einzige Therapie, die interne Resorption zu stoppen. Die frühzeitige Behandlung ist essenziell für die Prognose und verhindert den Verlust von Zahnhartsubstanz und eine Perforation in das umliegende Gewebe. Eine rechtzeitige Diagnose, sichtbar durch den Pink Spot, machte eine erfolgreiche Behandlung des Zahnes möglich.

Eine ausführliche Literaturliste finden Sie hier.

Der Beitrag ist im Endodontie Journal 2/ 2017 erschienen.

Mehr Fachartikel aus Endodontologie

ePaper