Implantologie 14.04.2015

Ästhetische Misserfolge in der Implantologie: Ursachen und Therapie



Ästhetische Misserfolge in der Implantologie: Ursachen und Therapie

Beunruhigende Zunahme von „Komplikationen“: Die Negativentwicklung birgt das Risiko in sich, dass die Implantologie in Misskredit gebracht werden kann. Von Prof. Dr. Daniel Buser, Universität Bern, Schweiz.

Die Behandlung teilbezahnter und zahnloser Patienten mit implantatgestütztem Zahnersatz ist heute tägliche Routine. Dank großer Fortschritte in den verschiedensten Bereichen der Implantologie in den letzten 25 Jahren ist diese Behandlungsmethode aus der modernen Zahnmedizin nicht mehr wegzudenken. An der Klinik für Oralchirurgie und Stomatologie der Universität Bern werden pro Jahr mehr als 500 Patienten mit Implantaten operiert. Mit den aktuellen Behandlungsmethoden werden ausgesprochen zuverlässige Ergebnisse erzielt. So liegt die Frühmisserfolgsrate seit mehr als zehn Jahren bei rund 0,6 Prozent (Bornstein et al. 2008, Engel Brügger et al. 2014). Ebenso erfreulich sind die Langzeitergebnisse, lag doch die Verlustrate bei einer 10-Jahres-Studie mit mehr als 500 Implantaten mit den heute verwendeten Implantattypen unter zwei Prozent (Buser et al. 2012), während sie bei einer 20-Jahres-Studie mit den in den 1980er-Jahren verwendeten Hohlzylinder- und Hohlschraubenimplantaten bei rund zehn Prozent lag (Chappuis et al. 2013a).

Die Zuverlässigkeit wissenschaftlich gut dokumentierter Behandlungsmethoden hat zu einer markanten Zunahme der Implantattherapie geführt. Diese Entwicklung ist einerseits positiv zu werten, weil so deutlich weniger gesunde Zähne beschliffen werden, so lange die Behandlungen mit der notwendigen Sorgfalt und Präzision ausgeführt werden. Als Negativpunkt ist jedoch festzustellen, dass in den letzten 15 Jahren eine beunruhigende Zunahme von ästhetischen Misserfolgen zu beobachten ist. Die Zuweisung von ästhetischen „Horrorfällen“ an unsere Klinik hat in den letzten Jahren stark zugenommen. Diese Beobachtung wird von vielen Kollegen an anderen Implantatzentren bestätigt. Diese Negativentwicklung birgt das Risiko in sich, dass die Implantologie damit in Misskredit gebracht wird.

Ursachen ästhetischer Misserfolge

Unsere klinische Erfahrung hat gezeigt, dass verschiedene Faktoren einen ästhetischen Misserfolg auslösen können. Die verschiedenen Faktoren treten oft kombiniert auf:

  • Fehlpositionierte Implantate
  • Überdimensionierte Implantate mit zu großer Plattform
  • Zu viele Implantate bei Mehrfachlücken
  • Zu aggressive Operationsmethode, welche das biologische Heilungsvermögen der Gewebe überfordert
  • Periimplantäre Infektion mit vertikalem Knochenverlust.

Vier der fünf aufgezeigten Faktoren sind abhängig von der Erfahrung und dem chirurgischen Talent des Implantatchirurgen.

Fehlpositionierte Implantate und überdimensionierte Implantate

Die Erfahrung der letzten Jahre hat gezeigt, dass die häufigste Ursache ästhetischer Misserfolge fehlpositionierte Implantate sind (Chen & Buser 2010). Die korrekte dreidimensionale (3D) Position der Implantatplattform ist eine wichtige Voraussetzung für ein gutes ästhetisches Ergebnis (Buser et al. 2004, Grunder et al. 2005). Dabei wird zwischen der mesiodistalen, der orofazialen und der koronoapikalen Position der Implantatschulter unterschieden. Das Konzept der „Comfort & Danger Zones“ hat sich dabei in der klinischen Anwendung gut bewährt mit dem Ziel, die Implantatschulter in den drei Komfortzonen zu positionieren (Abb. 1). Ist ein Implantat zu nahe an einen Nachbarzahn gesetzt, dann kommt es in der Regel zu einer verkürzten Papille, was die Ästhetik massiv beeinträchtigen kann (Abb. 2a, b). Ein zu weit fazial gesetztes Implantat führt oft zu einer unschönen Weichteilrezession mit verlängerter Krone, was die ästhetische Harmonie massiv stört (Abb. 3a, b). Beide Komplikationen werden oft durch überdimensionierte Implantate verstärkt. Solche 6 bis 7 mm große Implantate, z.B. beim Frialit 2 System, sind noch vor rund zehn Jahren von vielen, zum Teil renommierten Referenten empfohlen worden. Aus diesem Grund ist es wichtig, einen Implantatdurchmesser von maximal 4–5 mm zu wählen. Eine apikale Fehlposition kann eine Rezession verstärken, wenn die Schulter auch zu weit fazial platziert ist (Abb. 4). Eine koronale Fehlposition führt je nach Schweregrad zu einer sichtbaren Metallschulter (Abb. 5).

Zu viele Implantate bei Mehrfachlücken

Die klinische Erfahrung zeigte, dass bei benachbarten Implantaten die interimplantäre Papille deutlich verkürzt werden kann, vor allem wenn die Position des seitlichen Schneidezahns mitbetroffen ist (Abb. 6a, b). Aus diesem Grund sehen wir viele ästhetische Misserfolgsfälle, wenn zum Beispiel bei Dreifach-Lücken drei Implantate verwendet werden, vor allem auch wenn die Implantate in einer Fehlposition eingesetzt werden (Abb. 7a, b).

Zu aggressive Operationsmethode, die das Heilungspotenzial der Gewebe überfordert

Bei diesem Punkt steht vor allem die Sofortimplantation im Vordergrund. Ab 2000 waren während einiger Jahre auffallend viele ästhetische Katastrophenfälle mit extremen Weichteilrezessionen nach Sofortimplantation zu sehen (Abb. 8a, b). Dieses Risiko nach Sofortimplantation ist inzwischen in diversen Reviewarbeiten belegt worden (Chen & Buser2009, Chen & Buser 2014). Zwei Ursachen stehen dabei im Vordergrund. Zum einen eine faziale Fehlposition, welche bei Sofortimplantaten öfter gesehen wird, weil die faziale Position der Alveole das Implantat leicht in diese Fehlposition führen kann (Evans & Chen 2008). Zum anderen ist oft eine fehlende faziale Knochenwand die Ursache für die ästhetische Komplikation, da es nach Extraktion innerhalb von vier Wochen zu einer Resorption des Bündelknochens kommt (Araujio & Lindhe 2005). Diese biologisch bedingten Vorgänge führen vor allem bei einer dünnen Alveolenwand zu einer markanten vertikalen Knochenresorption von durchschnittlich 7,5 mm (Chappuis et al. 2013), die mit einer Augmentation kompensiert werden muss. Da im Oberkieferfrontbereich der faziale Knochen in 90–95 Prozent dünner als 1 mm ist (Braut et al. 2011), ist die Implantation mit simultaner Konturaugmentation mithilfe der GBR-Technik zur Routine geworden (Buser et al. 2008).

Periimplantäre Infektion mit Knochenabbau

Solche Komplikationen treten meist erst Jahre nach der Implantation auf und können zu einem markanten vertikalen Knochenverlust führen. Solche Knochendefizite können dann eine Weichteilrezession verursachen.

Chirurgische Herausforderungen bei der Therapie ästhetischer Misserfolge

Bei minimalen Weichteilproblemen kann eine weichteilchirurgische Korrektur in Betracht gezogen werden, wobei der koronale Verschiebelappen mit Bindegewebstransplantaten im Vordergrund steht (Burkhardt et al. 2008). Das Potenzial zur Deckung von Weichteilrezessionen ist jedoch begrenzt und ist kontraindiziert bei fazial fehlpositionierten Implantaten.

Die klinische Erfahrung der letzten 15 Jahre zeigte, dass in den meisten Fällen die einzige Behandlungsmöglichkeit in der Implantatentfernung besteht, um das Problem in den Griff zu bekommen. Bei der Implantatentfernung stehen drei Ziele im Vordergrund:

  • 1. Entfernung des Implantates ohne zusätzlichen Knochenverlust
  • 2. Wiederherstellung keratinisierter Mukosa, falls diese nicht ausreichend vorhanden ist
  • 3. Elimination einer chronischen oder akuten Infektion, falls eine solche vorhanden ist.

Bei der Entfernung eines Implantates muss das vorhandene Knochenvolumen möglichst erhalten werden, um eine erneute Implantatbehandlung zu ermöglichen. Dabei ist die Erhaltung der palatinalen Knochenwand am wichtigsten, weil eine horizontale Knochenaugmentation nach fazial in der Regel gut möglich ist. In den letzten Jahren sind große Fortschritte erzielt worden mit der Entwicklung von Spezialinstrumenten, mit welchen ein osseointegriertes Implantat durch ein hohes Drehmoment im Gegenuhrzeigersinn aus der Knochenverankerung gelöst werden kann. Dazu wird eine Ratsche verwendet, um die nötige Kraft aufzubauen. Seit zwei Jahren verwenden wir dazu das BTI Implant Extraction Kit (Abb. 9; Biotechnology Institute BTI, Vitoria-Gasteiz, Spanien), welches sich in der klinischen Anwendung hervorragend bewährt hat, da es einfach und flexibel einsetzbar ist (Anitua & Orive 2012). Ist an der zukünftigen Implantationsstelle keine keratinisierte Mukosa vorhanden, kann diese nach der Implantatentfernung direkt korrigiert werden mit einem Vollschleimhauttransplantat. Ist eine Infektion vorhanden, so heilt diese nach Entfernung der Infektionsursache in der Regel innert einigen Tagen ab.

Fallberichte

Beim ersten Patienten wird die Entfernung eines fehlpositionierten Implantates mit dem BTI-System gezeigt. Das Implantat im Bereich des seitlichen Schneidezahnes rechts war deutlich überdimensioniert und zu groß für die Zahnlücke. Zudem war das Implantat in einer fazialen Fehlposition und Fehlachse inseriert worden. Die Folge war eine extreme Weichteilrezession (Abb. 10a, b). Bei der Explantation wurde das Spezialinstrument in das Implantat inseriert und im Gegenuhrzeigersinn festgezogen. Mithilfe der stark dimensionierten Ratsche konnte das Drehmoment so stark erhöht werden, bis die Implantatverankerung im Knochen brach und das Implantat entfernt werden konnte (Abb. 10c–e). Der Weichteildefekt wurde mit einem Vollschleimhauttransplantat verschlossen, um im zukünftigen Implantatlager die keratinisierte Mukosa wiederherzustellen (Abb. 10f, g).

Beim zweiten Fall war ein Implantat im linken Oberkiefer in einer fazialen und koronalen Fehlposition eingesetzt und prothetisch versorgt worden (Abb. 11a). Das klinische Ergebnis war für die junge Patientin eine große Enttäuschung und sie kam vier Jahre nach der Implantation an unsere Klinik mit dem Wunsch, die ästhetische Komplikation zu beheben. Das Implantat musste entfernt werden mit gleichzeitiger Korrektur der fehlenden keratinisierten Schleimhaut durch ein Vollschleimhauttransplantat aus dem Tuberbereich (Abb. 11b, c).

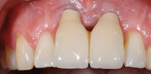
Sechs Monate später wurde ein neues Implantat eingesetzt, diesmal in einer korrekten 3-D-Position mit simultaner Konturaugmentation mithilfe von autologen Knochenchips, Bio-Oss Granulat und einer Bio-Gide Membran (Abb. 11d–h; Buser et al. 2008). Nach einer zweimonatigen Einheilung erfolgte die Freilegung und die prothetische Versorgung mit einer Krone. Die klinische Kontrolle nach zwei Jahren zeigte ein schönes ästhetisches Ergebnis mit einem stabilen periimplantären Knochen (Abb. 11i, j).

Zusammenfassung

Die Mehrzahl ästhetischer Misserfolge wird durch eine unsachgemäße Behandlungsqualität verursacht, das heißt, die Komplikation ist meist iatrogen bedingt. Wichtigste Ursachen sind fehlpositionierte Implantate, überdimensionierte Implantate oder Sofortimplantate. Die Implantattherapie im ästhetischen Bereich ist anspruchsvoll und sollte nur von Zahnärzten mit der nötigen Ausbildung und der nötigen Erfahrung ausgeführt werden. Daraus ist ersichtlich, dass die Universitätszentren und die involvierten Fachgesellschaften ihre Aufgabe im Bereich der Weiter- und Fortbildung des Nachwuchses und der niedergelassenen Kollegen erfüllen müssen, um einen wichtigen Beitrag zur Qualitätssicherung in der Implantologie zu leisten.

Hier gibt es die vollständige Literaturliste

Mehr Fachartikel aus Implantologie

ePaper