Implantologie 03.07.2013

Vollkeramische Implantatversorgung leicht gemacht



Vollkeramische Implantatversorgung leicht gemacht

Foto: © Peter Neumeier

Eine der häufigsten Indikationen in der Implantologie ist die Versorgung von Einzelimplantaten. Hierbei wird es vor allem immer wichtiger, auf eine möglichst hohe Effizienz und Wirtschaftlichkeit zu achten, ohne bei der Qualität Abstriche machen zu müssen.

Um dies zu erreichen ist es wichtig, die Sitzungsanzahl zu reduzieren. Dies ist wiederum möglich, wenn die Implantatpositionsbestimmung bereits während der OP, also direkt nach dem Setzen des Implantats, geschieht.

Dafür gibt es verschiedene Möglichkeiten. Durch die digitale Abformung ist es möglich, ein Scanabutment auf das Implantat zu setzen und dieses, sowie die Nachbarzähne im Mund während der OP einzuscannen. Die Schwierigkeiten hierbei sind zum einen der Kamerakopf, welcher vor allem bei geringen Platzverhältnissen, zum Beispiel bei geringer Mundöffnung oder im Bereich von 16,17 distal, an seine Grenzen stößt, und zum anderen der Umstand, dass während der OP eine offene Wunde vorliegt, die einerseits den Einsatz von Scanpuder verbietet und andererseits verantwortlich für Blut ist, das den Scanprozess stört. Nebenbei ist diese Möglichkeit nur für Praxen gegeben, die einen intraoralen Scanner besitzen, welcher für eine Praxis eine sehr große Investition darstellt.

Eine andere Möglichkeit ist das Verwenden konventioneller Abdruckpfosten, die intraoperativ durch einen Lichtkunststoff mit den Nachbarzähnen verbunden werden. Dadurch kann später das Laboranalog an der analogen Stelle in das Gipsmodell eingebracht werden. Hierbei ist der Nachteil, dass das Handling mit dem Lichtkunststoff in unmittelbarer Nähe zur OP-Wunde nicht ganz unproblematisch und zudem das Verfahren relativ zeitaufwendig ist. Um Abhilfe zu schaffen, wurde von der Firma CADstar ein patentierter Prozess entwickelt, mit dem es einfach ist, schnell und sicher die Implantatposition während der OP zu bestimmen. Der Prozess besteht zum einen aus einem speziell dafür entwickelten Hybridscanabutment und einer speziellen Software.

Vorbereitung

Vor Beginn der OP wird ein Situationsmodell erstellt, anschließend wird während der OP nach dem Platzieren des ­Implantats das Hybridscanabutment aufgesetzt. Dieses hat okklusal konkave rotationsgeschützte Geometrien. Anschließend wird auf dem Abutment und den anderen Zähnen ein Quetschbiss mit einem scanbaren Material genommen, in diesem Fall METAL-BITE. Der Biss ist nach 40 Sekunden ausgehärtet, und das Hybridscanabutment kann wieder entfernt und die OP abgeschlossen werden. Dabei ist es unerheblich, ob das Implantat für eine offene oder geschlossene Einheilung vorgesehen ist. Das Situationsmodell und der Biss werden anschließend eingescannt und mit einer speziellen Software die Implantatposition ermittelt (Abb. 1–4).

Da alle Informationen der Nachbarzähne und der Antagonisten sowie der Biss und die Implantatposition mit diesen einfachen Mitteln vorliegen, kann nun die komplette Versorgung am Computer erstellt werden. Dabei wird das Folgende konstruiert (Abb. 5–7):

  • ein individuelles Abutment
  • ein anatomisch reduziertes Gerüst
  • eine Verblendung
  • sowie ein Provisorium


Materialauswahl


Beim Material hat man die freie Auswahl. Es können beim Abutment Titan oder Zirkonoxid, beim Gerüst Zirkon oder NEM, bei der Verblendung Wachs oder klarer Kunststoff und beim Provisorium verschiedene Kunststoffe gewählt werden. Es besteht sogar die Möglichkeit, die Krone monolithisch aus einem Material fertigen zu lassen, wie Zirkon, e.max oder 3M Lava Ultimate. Als Kombination wurden in diesem Fall ein Abutment aus Volltitan, ein Gerüst aus Zirkondioxid und eine Verblendung aus Wachs sowie ein Provisorium aus PMMA gewählt (Abb. 8). Diese vier Teile werden im Dentallabor angeliefert. Das Einzige, was das Labor nun tun muss, ist die Verblendung mit dem Gerüst mit einem ausbrennbaren Material (zum Beispiel Wachs) zu verbinden (Abb. 9a–c).

Das Abutment, das Gerüst mit verbundener Verblendung und das Provisorium liegen nun zum Zeitpunkt der Freilegung vor. Der Behandler kann so nach dem Freilegen und definitiven Einsetzen des Abutments erst das Gerüst mit Verblendung einpassen – analog zu einer Rohbrandeinprobe. Dabei können eventuelle Ungenauigkeiten entweder durch Einschleifen, Auftragen von Wachs oder ausbrennbarem Kunststoff überprüft und sofort behoben werden. Wenn dies geschehen ist, wird die Krone wieder abgenommen und das Provisorium eingesetzt.

Das Gerüst mit Verblendung geht nun ins Labor und wird, ohne dass noch Nacharbeit notwendig ist, angestiftet, eingebettet und durch ein Pressverfahren mit einer Glaskeramik überzogen. Da das Wax-up nicht mehr entfernt werden kann, sollte dabei eine Presskeramik ­verwendet werden, die direkt ohne Liner auf das Zirkongerüst gepresst wird. Nach dem Pressvorgang wird die Krone noch einem Malfarbenbrand unterzogen, womit ein hochästhetisches Ergebnis erreicht wird. Da die Krone vorher im Mund eingepasst wurde, ist beim Einsetzen kein Einschleifen mehr nötig. Natürlich muss der nachträglich aufgebrachte Malfarbenbrand bei der Einprobe mit einkalkuliert werden, was aber mit dicker Artikulationsfolie (40 Mikrometer), die leicht durchziehbar sein muss, kein Problem ist (Abb. 10).

Durch den geringen Aufwand ist es sogar möglich, die Krone noch am Tag der Einprobe mit der defintiven Krone zu versorgen, vorausgesetzt, das Labor ist nicht allzu weit entfernt.

Fazit

Die Vorteile für diesen einfachen Prozess liegen auf der Hand. Zum einen können so herstellerunabhängig alle wichtigen Implantattypen mit einem günstigen individuellen Abutment aus Titan oder Zirkon auf Klebebasis versorgt werden. Zum anderen kann jede Praxis diese Technik nutzen, ohne Investitionskosten tätigen zu müssen. Die verwendeten Materialien sind jeder Praxis bekannt, und der tägliche Umgang mit Quetschbissen ist unproblematisch. Desweiteren wird durch die sinnvolle Verknüpfung von konventionellen und neuen digitalen Technologien die Herstellung vereinfacht und günstiger.

Bei einer Einzelkrone sind bei diesem Prozess

  • kein Sägemodell
  • kein Abformpfosten
  • kein Laboranalog
  • keine Artikulation
  • keine eventuelle Rohbrandeinprobe
  • nur 2–3 Sitzungen notwendig.


Für den Zahntechniker reduziert sich der Aufwand auf wenige Arbeitsschritte. Er kann sich ganz der Ästhetik widmen und mit geringem Zeitaufwand einen ­hohen Umsatz erzielen.

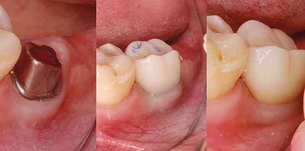
Ganz nebenbei wird auch im wissenschaftlichen Sinne gehandelt, der besagt, dass ein häufiges Wechseln der Aufbauten ein Verlagern des Attachments nach apikal bewirkt und dadurch das ­Periimplantitisrisiko steigt.1 Im Idealfall wird das Abutment also gleich definitiv bei der Freilegung eingebracht. Und um eine schöne rote Ästhetik gewährleisten zu können, ist ein ideales Emergenzprofil, welches nur mit einem individuellen Abutment zu erreichen ist, unumgänglich. So kommen wir und der Patient letztendlich schnell, einfach und kostengünstig zu einer idealen und ästhetisch sehr hochwertigen Implantatversorgung (Abb. 11a–c).

Quellen:
1 Abrahamsson I, J Clin Periodontol. 1997 Aug;24(8):568–72.

Mehr Fachartikel aus Implantologie

ePaper