Implantologie 23.04.2014

Implantatprothetische Rehabilitation nach Frontzahnverlust



Implantatprothetische Rehabilitation nach Frontzahnverlust

Foto: © Autor

Der Behandlungsverlauf eines jungen Patienten nach schwerem Gesichtstrauma mit Verlust mehrerer Ober- und Unterkiefer-Frontzähne mit großem Knochendefekt wird vorgestellt: Nach chirurgischer Primärversorgung, nachfolgender Knochenaugmentation und Erstimplantation konnte im Oberkiefer erst mit einer Distraktion Knochen in ausreichender Quantität und Qualität für kosmetisch zufriedenstellenden festsitzenden Zahnersatz gewonnen werden. Das Vorgehen bei der prothetischen Versorgung von der Erstabformung über eine Provisorienphase bis zum Einsetzen CAD/CAM-gefertigter individueller Abutments und verblendeter verblockter Kronen bzw. einer Brücke aus Zirkonoxid wird beschrieben und diskutiert.

Das ästhetische Ergebnis bei implantatgetragenen Kronen und Brücken im anterioren Bereich hängt in erster Linie von der Ausgangssituation und dem chirurgischen Vorgehen ab. Eine geplante Extraktion nicht erhaltungswürdiger Zähne erlaubt nach möglichst schonender Zahnentfernung eine Vorbereitung des zukünftigen Implantatbetts, z.B. im Sinne eines Extraction Socket Sealing oder einer Socket Preservation für eine verzögerte oder späte Implantation. Bei Abwesenheit eines entzündlichen Prozesses können unter Umständen gute Hart- und Weichgewebsverhältnisse mit einer Sofortimplantation optimal erhalten werden, insbesondere wenn eine bukkale Knochenlamelle mit einer Wandstärke von mindestens 2 mm stehen bleibt.1 Auch die kieferorthopädische Extrusion nicht erhaltungswürdiger Zähne kann zur Optimierung der Knochenverhältnisse vor der Implantation dienen.2–4 Ein unzureichendes horizontales oder vertikales Knochenlager lässt sich durch augmentative Verfahren, z.B. Guided Bone Regeneration oder ein Knochentransplantat, oder durch eine Distraktions-Osteoneogenese verbessern.5–9 Die Implantatinsertion selbst sollte dann nach konventioneller Planung oder computernavigiert in optimaler dreidimensionaler Position mit ausreichendem Abstand zu Nachbarzähnen oder benachbarten Implantaten erfolgen.10 Auch die Implantatauswahl (Bone Level-Implantat ermöglichen z.B. ein optimales Emergenzprofil, Platform Switching fördert die Erhaltung des krestalen Knochens 11–13) sowie das prothetische Vorgehen (zunächst provisorische Versorgung 14–16) sind für das kosmetische Endergebnis relevant. Der folgende Fallbericht mit schwieriger Ausgangssituation (Verlust mehrerer benachbarter Frontzähne mit ausgedehntem Knochendefekt) zeigt die Grenzen der Knochenaugmentation bzw. die schlechte Vorhersagbarkeit der horizontalen und vertikalen Resorption eines Beckenkammtransplantats sowie Strategien auf, auch bei zunächst nicht optimalem chirurgischen Behandlungsverlauf ein kosmetisch akzeptables prothetisches Resultat zu erzielen.

 

 

Kasuistik

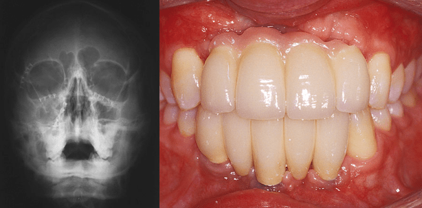
Der 16-jährige Patient erlitt bei einem Autounfall im August 2006 ein schweres Polytrauma mit lebensbedrohlichen Weichteil- bzw. Organverletzungen und Knochenbrüchen und musste nach unfall- und allgemeinchirurgischer Erstversorgung intensivmedizinisch betreut werden. An Gesichtsverletzungen bestanden ausgedehnte enorale Weichteilverletzungen sowie beidseitige zentrolaterale Mittelgesichtsfrakturen, die an der Abteilung für Mund-, Kiefer- und Gesichtschirurgie nach Einbinden von labialen Knopfdrahtschienen im Ober- und Unterkiefer mit Plattenosteosynthesen versorgt wurden (Abb. 1). Das drei Monate später aufgenommene Kontroll-Orthopantomogramm dokumentiert den Verlust der Zähne 12 bis 22 und 32 bis 43 mit ausgedehntem Knochendefekt (Abb. 2). Im August 2007 erfolgte die Entfernung des Osteosynthesematerials und die Augmentation im Ober- und Unterkieferfrontbereich mit Beckenknochen (Abb. 3). Im Februar 2008 wurden vier Implantate im Ober-, im März 2008 drei Implantate im Unterkiefer gesetzt (Abb. 4). Nach einer mehrmonatigen Einheilzeit stellte sich der Patient an der Abteilung Prothetik zur weiteren Behandlung vor (Abb. 5). Mit individuellen Löffeln wurde eine offene Abformung der Bone Level-Implantate (Fa. Straumann) durchgeführt (Abb. 6 a und b). Anhand der einartikulierten Modelle mit eingeschraubten provisorischen Implantataufbauten wird bei der Betrachtung von der Seite deutlich, dass im Oberkiefer nach wie vor neben einem ausgeprägten vertikalen Defekt auch ein starkes horizontales Knochendefizit bestand (Abb. 7). Die auf den Modellen angefertigten Provisorien (Abb. 8) wurden im September 2008 eingesetzt (Abb. 9). Ein gutes Jahr später hatte sich der Knochen vor allem im Bereich der beiden anterioren Implantate relativ stark resorbiert (Abb. 10), das kosmetische Bild war unbefriedigend (Abb. 11). In den nächsten Monaten kam nach Abnahme des Oberkiefer-Provisoriums und Entfernung der Implantate in den Regionen 11, 12 und 21 ein Knochendistraktor zum Einsatz (Abb. 12). Der Patient trug während dieser Zeit (ebenso wie vor der ersten festsitzenden provisorischen Versorgung) eine abnehmbare Klammerprothese im Oberkiefer. Im April 2011 wurden in den durch Distraktions-Osteoneogenese gewonnenen Knochen wieder drei Implantate nachgesetzt (Abb. 13). Im Juli 2011 wurde nach Abformung der Implantate ein neues Provisorium hergestellt und eingegliedert, das mithilfe von rosa Kunststoff die immer noch nicht optimale Weichteilkonfiguration im Bereich des vernarbten Alveolarkamms kaschierte (Abb. 14). Nach einer Tragedauer von knapp zwei Jahren (Abb. 15) wünschte der Patient die Umsetzung in eine definitive Versorgung.

Nach neuerlicher Implantatabformung im Ober- und Unterkiefer (Abb. 16a und b, Abb. 17) zur Übertragung der aktuellen Weichteilsituation (Abb. 18) auf die Meistermodelle wurden mit CAD/CAM-Technik Implantataufbauten gefertigt: Im Oberkiefer wurden bei hohem ästhetischen Anspruch individuelle, mit einer Titanbasis verklebte Zirkonoxidaufbauten, im Unterkiefer individuelle Aufbauten aus Titan (Fa. Straumann) gewählt (Abb. 19). Entsprechend der Empfehlung eines Zirkonoxid-Konsenses17 wurde eine zementierbare prothetische Arbeit geplant: CAD/CAM-gefertigte Brückengerüste aus Zirkonoxid (Fa. Wieladent) wurde mit e.max-Keramik (Fa. Ivoclar Vivadent) verblendet, wobei im Oberkiefer in Analogie zum Provisorium auch rosa Keramik für einen möglichst natürlichen Aspekt verwendet wurde. Bei sehr engen Implantatzwischenräumen wurden Führungsrillen für Superfloss (Fa. Oral-B) bzw. sehr dünne Interdentalbürstchen eingearbeitet (Abb. 20). Die Abbildungen 21 und 22 zeigen die konventionell zementierte Arbeit im Mund. Der Patient kommt damit gut zurecht und ist zufrieden. Die Röntgen-Einzelbilder dokumentieren den einwandfreien Sitz der verblockten Kronen bzw. der Brücke, aber auch einen weiteren vertikalen Knochenverlust: Die Bone Level-Implantate ragen etwas über das Knochenniveau (Abb 23a bis c). Regelmäßige klinische und radiologische Kontrollen sind vorgesehen.

Diskussion

Mit Zunahme des Ausmaßes eines Knochendefektes nach (traumatischem) Zahnverlust wird ein vollständiges Wiedergewinnen der ursprünglichen Form und Funktion weniger vorhersagbar und schwieriger.6, 18, 8 Im vorliegenden Fall resorbierte sich der augmentierte Knochen im Oberkieferfrontbereich sehr stark. Auch mit einer Knochendistraktion konnte keine Restitutio ad integrum erreicht werden, wohl aber ein stabiles Knochenlager für die Aufnahme von Implantaten. Zum „Halten“ des Knochens wurden vier Implantate gesetzt. Aus prothetischer Sicht hätten wohl zwei Implantate in der Region der zweiten Incisivi genügt: Mit einer Brückenversorgung mit zwei Zwischengliedern wäre – nach Ausformung der Weichteile mit einem Provisorium – ein gutes kosmetisches Ergebnis erzielbar gewesen, die Hygienefähigkeit wäre eventuell besser. Die CAD/CAM-Technologie bietet die Möglichkeit, individuelle, den Schleimhautverhältnissen angepasste, für verblockte Arbeiten parallel ausgerichtete und passend dimensionierte Implantataufbauten aus Titan oder Zirkonoxid (verklebt mit einer Titanbasis) herzustellen. Auch die CAD/CAM-Fertigung von Brückengerüsten aus Zirkonoxid ist Routine, erfordert allerdings ein entsprechendes Know-how. Es stehen Produkte einer Reihe von Anbietern zur Verfügung.19 Ein Konsensuspapier gibt klare Richtlinien für die Indikation, technische Verarbeitung von Gerüst und Verblendung und die klinische Verarbeitung bzw. Befestigung von Restaurationen aus Zirkonoxid vor.17 Generell ist eine zielorientierte Zusammenarbeit von Chirurgen, Zahntechnikern und Prothetikern in der Planung und Umsetzung einer prothetischen Implantatversorgung Voraussetzung für ein zufriedenstellendes Resultat.7 Herzlicher Dank gebührt Herrn ZT Robert Seelaus für die ausgezeichnete technische Arbeit.

Die Literaturliste finden Sie hier.

Autoren: DDr. Dagmar Schnabl, DDr. Stefan Gerhard

Mehr Fachartikel aus Implantologie

ePaper