Implantologie 10.01.2018

Der geriatrische Patient und Implantate – Fluch oder Segen?



Der geriatrische Patient und Implantate – Fluch oder Segen?

Foto: Autor

Ein neues Implantatsystem übertrifft das andere, neue Oberflächen und Designs versprechen Langzeit­erfolge. Der Schlüssel zu einer erfolgreichen Implantattherapie liegt jedoch in der täglichen Pflege, der Minimierung von erworbenen Risikofaktoren, der Beachtung von parodontalen Erkrankungen in der Vor- und Nachsorge sowie eines regelmäßigen professionellen Recalls.

Beim alternden Patienten kann es plötzlich, aber auch allmählich zum Ausfall dieser Schlüsselparameter kommen – gesteigert durch eine erhöhte Entzündungsbereitschaft im Alter selbst, abnehmende Fähigkeit, eine adäquate Mundhygiene eigenständig durchzu­führen, gepaart mit Multimorbidität, Polypharmazie und allen negativen Aus­wirkungen, die damit vergesellschaftet sind.

Gerontologie – Geriatrie – Implantate

Die Alterszahnheilkunde mit ihren Teilbereichen der Oralen Gerontologie, die sich mit physiologischen Veränderungen des Alterns beschäftigt, sowie der Oralen Geriatrie, welche krankhafte Veränderungen umfasst, ist vielerorts nach wie vor ein Stiefkind in der Zahnme­di­zin. Dies betrifft auch die zahnärztliche Ausbildung, in der dieser immer prä­senter werdende zahnmedizinische Bereich vielerorts nur eine Randerscheinung darstellt. Andere Teilbereiche, wie Gesundheits-, Ernährungs- und Pflegewissenschaften, sind eng mit der Alterszahnheilkunde verwoben.

Die geriatrische Medizin als Überbegriff umfasst noch wesentlich mehr Dimensionen, wie beispielsweise Schutz von Rechten, Einwilligungsfähigkeit, Umfeldbezogenheit, Polarität, aber auch die Angehörigenarbeit. Zu einer dieser Dimensionen gehört auch die senile Demenz. Sie tritt immer mehr in den gesellschaftlichen Vordergrund, wird jedoch sowohl von der Politik als auch Teilbereichen der Medizin nicht ausreichend beachtet. Hier wird der Zahnmedizin eine besonders verantwortungsvolle Rolle beigemessen. Zum einen ist die orale Gesundheit ein wesentlicher Einflussfaktor für im Alter dominierende Allgemeinerkrankungen (Stichwort Diabetes und Parodontitis), zum anderen ist eine adäquate Kaufunktion wichtig, um die mundbezogene Lebensqualität bis ins hohe Alter aufrechtzuerhalten und Zustände wie Malnutrition zu verhindern.

Hier stellen sich eine Reihe an Fragen: Schaffe ich eine solche Lebensqualität nur durch festsitzenden Zahnersatz? Sind Implantate das Allheilmittel, der gefürchteten abnehmbaren Prothese und womöglich auch noch einer Totalprothese zu entkommen? Und wenn eine Prothese unausweichlich wird, muss diese dann wiederum bevorzugt implantatgetragen sein?

Implantate: Tendenz steigend

In Österreich wird laut Statistik Austria (www.statistik.at) davon ausgegangen, dass im Jahr 2050 1,58 Millionen Menschen im Alter von über 75 Jahren leben werden – ein neuer Rekord. Wie viele Menschen werden dann Implantate in ihren Mündern haben und wie viele davon werden nicht von einer Periimplantitis heimgesucht werden? Epidemiologische Daten fehlen in Österreich gänzlich; ein Blick nach Deutschland lässt ungefähr erahnen, in welchem Ausmaß der Periimplan­titis-Tsunami sich auch bis zu den Alpen und darüber hinaus ausgebreitet hat. Laut DMS V verfügen heute mehr als zehnmal so viele Menschen über Implantate wie im Jahr 1997, Tendenz steigend.

Wenn man die Tatsache berücksich­tigt, dass 30 Prozent der Menschen mit Pflegebedarf nicht mehr selbst in der Lage sind, die eigenen Zähne oder den Zahnersatz eigenständig zu reinigen, so sollten in der Versorgung älte­rer Patienten schon im Hinblick darauf die Alarmglocken schrillen. „Selbst wird es einen schon nicht er­wischen – und die Dementen finden ohnehin nicht in die Praxis.“ Der erste Gedanke erscheint blauäugig, der zweite Gedanke kann jedoch als richtig betrachtet werden, zumal 60 Prozent der Menschen mit Pflegebedarf laut DMS V nicht mehr in der Lage sind, einen Zahnarzttermin zu vereinbaren und dann die Praxis aufzusuchen.

Nun heißt „alt“ nicht gleich pflegebe­dürftig, „hochbetagt“ oder „langlebig“ jedoch so gut wie sicher. Die Zahl der Pflegebedürftigkeit liegt bei 50 Prozent der über 90-jährigen Männer sowie 70 Prozent der über 90-jährigen Frauen (Grafik 1). Dabei werden mehr als die Hälfte der Pflegebedürftigen dieser Altersgruppe zu Hause gepflegt!

Die Anzahl zahnmedizinischer Behandlungen bei Pflegebedürftigen lässt sich nur bedingt eruieren und erfasst nicht die Behandlungsbedürftigkeit in diesen Alterskohorten. Die Zahlen der allge­meinen Ambulanz der Wiener Univer­sitätszahnklinik geben Einblick in die mangelnde Versorgung geriatrischer Patienten in unserer Gesellschaft. Nur 4 Prozent der Patienten, die beispielsweise im ersten Halbjahr 2013 die Ambulanz aufsuchten, waren über 75 Jahre alt.

Wo sind nun die Hochbetagten und geriatrischen Patienten? In einem sehr ambitionierten Projekt „Mobile Zahn­gesundheit“ rund um Prof. Arnetzl in Graz wurde dieser Frage in der Steiermark auf den Grund gegangen, um unterversorgte Heimbewohner aufzuspüren und zu behandeln. Von 409 gescreenten institutionalisierten Per­sonen wiesen sogar 30 Prozent akute Zahnschmerzen und 84 Prozent akut entzündliche Prozesse am Parodon­-tium auf. In anderen Bundesländern wurden ähnliche Initiativen ergriffen, um die Patienten in den Heimen zu erreichen.

Laut Statistik Austria sind „die Alten“ nicht nur am Rande der Gesellschaft, sondern auch am geografischen Rand Österreichs. Der Anteil der alten Menschen nimmt jedoch auch in den Städten stetig zu. So geht die Statistik Austria davon aus, dass im Jahr 2050 der Anteil der über 65-Jährigen in den Landeshauptstädten bei 25 Prozent und mehr liegen wird. Spitzenreiter wird hierbei Innsbruck sein. Gepaart mit zunehmender Singularisierung – der Zunahme der Singles in der Altersgruppe über 65 Jahre wird bis zum Jahr 2030 auf +46 Prozent geschätzt – wird es für diese Personengruppe auch nicht leichter werden, zahnärzt­liche Hilfe in Anspruch zu nehmen.

Implantate bei „älteren Patienten“

Laut einer Schweizer Untersuchung bei über 70-Jährigen sieht man die häufigsten Indikationen für Implantate in der distalen Extension, gefolgt von der Einzelzahnlücke, mehreren fehlenden Zähnen sowie völliger Zahnlosigkeit. Dabei rücken auch wieder alternative Indikationen in den Vordergrund, wie strategische (Mini-)Implantate, um eine bestehende Prothese nach Verlust von Pfeilerzähnen erhalten zu können. Es wird dabei angeführt, dass ein hohes Alter keine Kontraindikation für eine Implantation darstellt, jedoch sollten kognitive und physische Einschränkungen wie auch Familienangehörige und gegebenenfalls Pflegekräfte in die prothetische Planung miteinbezogen werden (Schimmel et al. 2017).

Es ist verständlich, dass man älteren Patienten den Wunsch nach einer Implantatversorgung nicht verwehren sollte unter dem durchaus realistischen Vorwand, dass diese in wenigen Jahren ohnehin pflegebedürftig und höchstwahrscheinlich durch ihre Demenz nicht mehr autonom sein werden. Eine vorausschauende implantatprothetische Planung, die einen problemlosen späteren Umbau einer festsitzenden in eine abnehmbare Prothese ermöglicht, sollte beachtet werden, um das Risiko einer Periimplantitis zu minimieren (Tab. 1). Eine permanent verschraubte Versorgung kann zwar lange komfortabel sein, sich nach einem Schlaganfall und Verlust der Fähigkeit, den Zahnersatz selbst zu pflegen, jedoch als Fluch erweisen. Gleichwohl können herausnehmbare implantatgetragene Arbeiten zum Problem werden, wenn sich im Falle einer Implantatkomplikation die­-ses nicht einfach beheben lässt (siehe Patientenfall).

90 Prozent der älteren Senioren weisen statistisch gesehen eine moderate bis schwere Parodontitis auf, ähnliche Prävalenzzahlen lassen sich für die Peri­implantitis umlegen, der Behandlungsbedarf steigt mit der Morbiditätskompression.

Die beste „Therapie“ für die Periimplantitis liegt nach wie vor in der Prävention, daher sollte bei älteren Patienten die Maintenance bzw. der Recall restriktiv eingehalten werden (Tab. 2). Dabei hat das CIST-Modell nach Mombelli und Lang immer noch Gültigkeit unter Verwendung lokaler antimikrobieller Substanzen wie Chlorhexidin. Die totale Bakterienlast sowie Präsenz der Paropathogenen kann dadurch reduziert werden (Paolantonio 2008). Weitere Studien über die Gesunderhaltung von Implantaten sind übersichtlich in der S3-Leitlinie der DGI/DGZMK zusammengefasst. Zudem bietet das Portal www.gesundes-implantat.de einen Überblick der aktuellen Periimplantitis- Prophylaxerichtlinien.

In der UPT ist ein regelmäßiges Update der allgemeinmedizinischen und Medikamentenanamnese gerade bei geria­trischen Patienten unabdingbar. Darü­-ber hinaus erweist sich die Kontrolle der Mundschleimhaut als essenziell, da eine Prothesenstomatitis nicht selten zu beobachten ist. Die Mundhygieneinstruktion für die Patienten sollte bei der Behandlung einen wesentlichen Stellenwert einnehmen und angepasste Hilfsmittel – Griffverstärker für Zahnbürsten (z.B. TePe® Extra Grip), spezielle Interdentalbürsten zur Implantatreinigung (Circum® 2brush, Top Caredent) oder ähnliche Hilfsmittel – bei motorischer Einschränkung empfohlen werden. Nach dem Debridement mit Schall-/Ultraschall/Vector-System oder auch Luft-Pulver-Wasser-Strahlgeräte mit speziellen Implantataufsätzen kann mit feinster Polierpaste poliert werden. Eine Chlorhexidinspülung und Applikation von chlorhexidinhaltigen Gelen bildet den Abschluss der Sitzung und hat sich als förderlich gegen bestehende periimplantäre Entzündungen erwiesen.

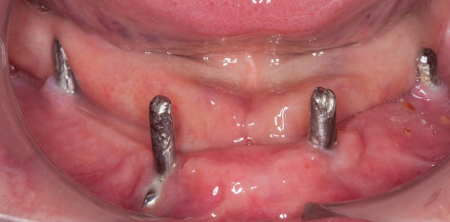
Patientenfall

Patient über 80 Jahre mit Periimplan­-titis sowie unzureichender prothetischer Versorgung im Ober- als auch Unter­kiefer. Die Implantate im Oberkiefer tragen nicht zum Prothesenhalt bei. Das Konzept der Protektion für den Pfeilerbestand durch strategische In­sertion von Pfeilerimplantaten zur Vergrößerung des Unterstützungsfelds im Oberkiefer wurde für die be­stehende Prothese missinterpretiert (Kaufmann et al. 2009). Die Oberkieferimplantate weisen eine Periim­plantitis mit Pusaustritt auf. Eine Explantation wird auch ob des redu­zierten Allgemeinzustands seitens des Patienten abgelehnt. Aufgrund mangelnder Com­pliance war eine adä­quate Therapie nicht durchführ­bar. Der Pa­tient kommt in unregelmäßigen Ab­ständen bei wiederauftretenden akuten Beschwerden.

Zusammenfassung

Implantate können bei geriatrischen Patienten zum Problemfall werden, wenn die Behandlungsplanung implantatfokussiert erfolgt und nicht an die Patientensituation angepasst wird. Dabei ist folgendes zu beachten:

• Der Anteil geriatrischer Patienten steigt stetig.
• Der Erfolg einer Periimplantitistherapie ist nicht vor­hersehbar und meist nur chirurgisch zu lösen – dies ist beim multimorbiden pflegebedürftigen Patienten nur unter erschwerten Bedingungen (wenn über­-haupt) möglich.
• Implantatkonstruktionen sollten putzbar und umbaufähig gestaltet werden.
• Miniimplantate oder Implantate als Pfeilervermehrung für bestehende Prothesen rücken beim geriatrischen Patienten in den Vordergrund.
• Es bestehen derzeit große Lücken in der Erfassung zahnmedizi­nischer Behandlungsbedürftig­keit, der entsprechenden Therapie und Pflege bei geriatrischen Patienten.
• Unter Beachtung der Risikofaktoren sowie unter Einhaltung eines strikten Recallintervalls können peri­implantäre Erkrankungen idealerweise verhindert werden.
• Abhängige ältere Menschen können von Implan­taten profitieren, vorausgesetzt, dass eine adäquate Mundpflege und Nachsorge bereitgestellt wird (Visser et al. 2008).

Der Beitrag erschien in ZWP Zahnarzt Wirtschaft Praxis 9/17.

Mehr Fachartikel aus Implantologie

ePaper