Implantologie 24.06.2011
Optimale Knochenregeneration erreichen
share
Ein gravierendes Problem der Implantologie ist, wenn Knochenverlust zu beklagen ist. Zur Regeneration können konzentriertes Knochenmark oder bovines Knochenersatzmaterial verwendet werden.
Nicht nur Trauma und Tumorerkrankungen können zu einem Defizit an Knochensubstanz führen, sondern auch der Verlust von Zähnen führt zu einer beschleunigten Resorption des Alveolarkammes. Dies bedeutet ein geringeres Angebot an vertikalem und horizontalem Knochen für eine Implantation. Tumorerkrankungen und Zahnlosigkeit sind Probleme, die sich in naher Zukunft mit der zunehmenden „Veralterung“ der Gesellschaft verstärken werden. Um Knochendefekte zu rekonstruieren gilt noch heute als Material der Wahl der autologe Knochen vom Beckenkamm.1–5
Vielen
 Vorteilen, besonders fehlende Immunreaktionen, stehen eine ganze Anzahl
 an Nachteilen gegenüber: begrenzte Menge des für die Augmentation 
benötigten Materials, der unverzichtbare zusätzliche chirurgische 
Eingriff mit der damit verbundenen Narkose und Morbidität der 
Spenderregion.6–8 Als regenerative Medizin bezeichnet man 
Verfahren, mit denen man die Nachteile der autologen 
Transplantatentnahme minimieren oder umgehen möchte. Die regenerative 
Medizin hat in den vergangenen zehn Jahren große Fortschritte gemacht. 
In der Zeit zwischen 1995 und 2002 wurde fast ausschließlich 
Grundlagenforschung betrieben. Dieser Zeitraum wird von Chris Mason, 
einem britischen Stammzellforscher, als das Zeitalter der regenerativen 
Medizin 1.0 beschrieben.9 Die Bezeichnung 1.0 ist der 
Nomenklatur von Computerprogrammen entliehen, die sich in ständigem 
Wandel befinden. In den Jahren 2002 bis 2006 erfolgte der Übergang von 
der Grundlagenforschung in die Praxis. Erste Konzepte wurden einer 
klinischen Prüfung unterzogen.10 In dieser Euphorie wurden 
etliche Unternehmen gegründet und an der Börse notiert. Die Ergebnisse 
waren durchwachsen: Neben Schwierigkeiten bei der Integration und 
Ernährung großvolumiger, gezüchteter Transplantate stellte der hohe 
logistische und finanzielle Aufwand ein erhebliches Problem für die 
junge Branche der Biotechnologieunternehmen dar. Strenge gesetzliche 
Auflagen, engmaschige Qualitätskontrollen, hohe Fixkosten durch Personal
 und Material waren Gründe für Insolvenzen. Chris Mason nennt die Zeit 
ab dem Jahr 2006 das Zeitalter der regenerativen Medizin 2.0, weil sich 
seitdem klare wirtschaftliche Perspektiven abzeichneten.11 
Die Industrie fasst wieder Fuß und investiert erneut in die klinische 
Anwendung von Technologien, die in der Grundlagenforschung entstanden 
sind. Neue Biomaterialien und Zelltypen wurden getestet und die 
Verfahren kostengünstiger und praktikabler gestaltet.
Studienübersicht
In
 der vorliegenden Übersicht werden In-vivo-Arbeiten vorgestellt, in 
denen überprüft wurde, ob eine Kombination von bovinem Biomaterial 
(Abkürzung: BBM, Bio-Oss, Geistlich, Wolhusen, CH) mit mesenchymalen 
Stammzellen aus dem Knochenmark (MSCs) ein im wie schon genannten Sinne 
praktikables Ersatzverfahren ist. Mesenchymale Stammzellen sind im 
Rahmen der desmalen Osteogenese an der Knochenneubildung beteiligt. 
Dabei erfolgt die Knochenneubildung ohne knorpelige Vorstufe direkt aus
 Stammzellen des embryonalen Bindegewebes (Mesenchym). Im Gegensatz zu 
Osteoblasten sind mesenchymale Stammzellen (MSCs) weniger anfällig 
gegenüber niedrigen Sauerstoffpartialdrücken.12 Wie bei der 
Frakturheilung wandern Stammzellen oder Progenitorzellen aus dem 
umgebenden vitalen Knochen zu den nicht vitalen Knochentransplantaten. 
Dort lassen sie sich nieder, proliferieren, differenzieren in 
Osteoblasten und bilden neues Knochengewebe. Die zellulären Elemente 
enthalten Wachstumsfaktoren, die eine starke osteogenetische Potenz 
besitzen.13 Osteogenetische Potenz bedeutet, dass die 
Faktoren Osteoblasten zur Bildung von neuem Knochen stimulieren können.
 Wachstumsfaktoren sind auch in der Knochenmatrix enthalten und werden 
durch Osteoklasten im Rahmen der Ab- und Umbauvorgänge freigelegt. Die 
Kombination aus einem osteokonduktiven Biomaterial mit Progenitorzellen 
aus dem Knochenmark kann die lokale Konzentration an 
Osteoprogenitorzellen verbessern, die in der Lage sind, in Osteoblasten 
zu differenzieren.14
Wissenschaftliche Vergleiche
In
 der präklinischen Phase des Projektes wurde bei Schafen der Oberkiefer 
mit der Sinuslifttechnik augmentiert. Dabei wurde die Kombination vom 
BBM und MSCs in „Cross-Over“-Studien einmal mit autologer 
Beckenspongiosa (AB) und einmal mit BBM alleine verglichen. Die 
BBM-MSC-Kombination war der AB mit einer besseren Volumenstabilität bei 
vergleichbarer Knochenneubildung überlegen.15 Eine dem autologen 
Knochentransplantat vergleichbare Knochenneubildung ist bei der 
Verwendung von Biomaterial alleine nicht zu erwarten.16 
Übereinstimmend mit den hier vorgelegten Ergebnissen fanden Jaquiéry et 
al. Hinweise auf osteoinduktive Eigenschaften von BBM und MSCs, als die 
Konstrukte subkutan in Mäuse implementiert wurden.17 Im 
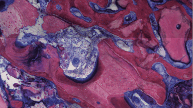
Vergleich zu BBM alleine konnte bei der BBM-MSCs-Kombination 49% mehr 
Knochenneubildung in der gleichen Zeitspanne beobachtet werden (Abb. 1).18
 Auch bei einer Studie mit Minischweinen fanden Pieri et al. bei den 
Fluorohydroxyapatit-Gerüsten mit MSCs nach drei Monaten 24% mehr neu 
gebildeten Knochen und 17% mehr Knochen-Implantat-Kontakt als bei jenen 
Gerüsten, die ohne MSCs getestet wurden.19 Im Tierversuch und
 bei der humanen Pilotstudie wurde das sogenannte FICOLL-Verfahren, ein 
chemischer Dichtegradient, zur Anreicherung der Zellen verwendet. Der 
Nachteil dieser Methode ist die Abhängigkeit des Verfahrens von einem 
Zelllabor. Dieser Umstand bedeutet für eine breite klinische Anwendung 
hohe logistische und rechtliche Hürden. Daher wurde nach einer 
„chair-side“ Methode gesucht, die direkt im Operationssaal angewendet 
werden kann. Die Konzentrierung von Knochenmarkaspirat mit dem 
BMAC-Verfahren (Bone Marrow Aspirate Concentrate, Harvest Technologies 
Corporation, Plymouth, MA, USA) hat sich dabei als praktikabel erwiesen 
(Abb. 2–5).20 Die BMAC-BBM-Kombination war der FICOLL-Methode
 gleichwertig bei der Knochenneubildung im augmentierten humanen 
Sinus.21 Im konzentrierten Knochenmarkaspirat (BMAC, Bone Marrow Aspirat
 Concentrat) liegen auch Thrombozyten vor. Diese enthalten 
Wachstumsfaktoren wie VEGF (Vasoendothelialer Wachstumsfaktor) und PDGF 
(Plateletderived Wachstumsfaktor).19 Die Thrombozyten setzen diese 
Faktoren besonders beim Koagulationsprozess frei. Daher ist bei der 
Anwendung von BMAC auf eine gute Gerinnung zu achten, die durch Zugabe 
von Thrombin erreicht werden kann. Das Thrombin kann, wie hier in der 
klinischen Anwendung geschehen, als autologes Material aus venösem Blut 
hergestellt werden. Dieser Vorgang kann zeitgleich mit dem 
Konzentrierungsprozess des Knochenmarkes erfolgen, sodass die OP-Zeit 
nicht verlängert wird. Das Koagel stabilisiert zusätzlich das 
Biomaterial und verleiht ihm eine anwenderfreundliche Konsistenz. In den
 vorliegenden Tierversuchen und in der FICOLL-Gruppe der Pilotstudie 
wurde die Thrombinkomponente des Fibrinklebers Tissue Col (Baxter, 
Heidelberg) zur Fixierung der Zellen auf dem Biomaterial verwendet. Die 
kommerzielle Thrombinkomponente führt zu einer festeren Konsistenz des 
Zellkonzentrat-Biomaterial-Gemisches als bei der Verwendung von 
autologem Thrombin, das mit dem Thrombin-Kit aus dem BMAC-Set (Harvest 
Technologies Corporation, Plymouth, MA, USA) gewonnen wurde. Durch die 
feste Konistenz, welche die Tissue Col-Thrombinkomponente verursachte, 
konnten die Biomaterialpartikel in der FICOLL-Gruppe nicht so dicht 
gepackt werden wie in der BMAC-Gruppe. Dies zeigt sich auch in der 
histomorphometrischen Auswertung.21
Hier wurde in der BMAC-Gruppe signifikant (p = 0,019) 12,2% (90%-Konfidenzintervall: 4,32% bis 20%) mehr Biomaterial und signifikant (p 0,01) 17,4 % (90%-Konfidenzintervall: -27,2% bis -7,48%) weniger Bindegewebsraum als in der FICOLL-Gruppe bei ähnlicher Knochenneubildung gefunden. Diese ist ebenfalls vergleichbar mit der Knochenneubildung, die in den Tierversuchen mit der FICOLL-Methode erreicht wurde.15,18 Ein aus neu gebildetem Knochen und Biomaterial zusammengesetzter höherer Hartgewebsanteil in der BMAC-Gruppe bedeutet, dass unter Anwendung der autologen Thrombinkomponente ein kompakterer Knochenaufbau erzielt werden kann.
In einer randomisierten, kontrollierten Studie im 
„Cross-Over-Design“ wurde bei zwölf Patienten/-innen eine beidseitige 
Sinusbodenaugmentation durchgeführt.22 Auf der einen Seite 
wurde BMAC-BBM und auf der anderen Seite AB-BBM verwendet. Dabei zeigte 
sich nach 3,8 (± 0,2) Monaten auf der BMAC-BBM-Seite mit 17,7% (± 7,3%) 
signifikant (p = 0,01) mehr neuer Knochen als auf der AB-BBM-Seite 
(12,2% ± 6,6%). In einer weiteren partiellen Cross-Over-Studie an 45 
stark atrophierten Sinus wurde auf der BMAC-BBM-Seite mit 12,6% (± 1,7%)
 eine vergleichbare Knochenneubildung wie auf der AB-BBM-Seite (14,3% ± 
 1,8%) gefunden. Auf der BMAC-BBM-Seite wurde ein signifikant 
(p<0,0001) höherer Biomaterialanteil gefunden.25 Wie im 
vorangegangenen Tierversuch war die Volumenpersistenz auf BMAC-BBM-Seite
 signifikant besser (p=0,02). In einer Fallstudie bei einer Patientin 
mit kompromittierter Knochenheilung wurde BMAC dem autologen Knochen 
zugesetzt, um das Regenerationspotenzial bei der 
Unterkieferrekonstruktion positiv zu beeinflussen.23 In der 
Onkologie wird das dynamische kontrastmittelverstärkte MRT (DCE-MRI) zum
 Monitoring der Tumorangiogenese in der Therapieüberwachung eingesetzt. 
Es konnte an einer Patientin mit dem DCE-MRI repetitiv und non-invasiv 
die Integration von Biomaterialien im Verlauf der Zeit beurteilt 
werden, d.h. 11, 25, 53 und 104 Tage nach dem Sinuslift.24 
Es war möglich, die Daten für jede Oberkieferseite und jeden Zeitpunkt 
getrennt zu bestimmen. Bei der Insertion dentaler Implantate drei Monate
 nach der Augmentation wurden Biopsien entnommen, die 
histomorphometrisch ausgewertet wurden. Hohe DCE-Parameter für 
Vaskularisation des Augmentates gingen mit einer hohen Knochenneubildung
 in den Biopsien einher (Abb. 6–8 und Tab. 1).
Schlussfolgerung
Die
 Punktion des Knochenmarkes ist im Rahmen von kieferchirurgischen 
Operationen durchführbar. Die Aspiration von Knochenmark ist eine 
einfache Methode zur Gewinnung von mononukleären Zellen, darunter auch 
mesenchymalen Stammzellen. Diese können mit dem BMAC-Verfahren einfach 
und ohne Zelllabor „chair-side“, das bedeutet im OP, fünffach 
konzentriert werden. Autologes Thrombin kann ebenfalls „chair-side“ aus 
venösem Blut aufbereitet werden. Das mit mesenchymalen Stammzellen 
vitalisierte Biomaterial kann vom Operateur in gewohnter Weise, d.h. wie
 autologer Knochen, im Sinuslift verarbeitet werden. Die 
Knochenneubildung ist bei der Verwendung von konzentiertem Knochenmark 
in Kombination mit Biomaterial vergleichbar mit der in Transplantaten 
aus autologem Knochen und Biomaterial. Sie ist schneller als bei der 
Verwendung von Biomaterial alleine. Da beim BMAC-Verfahren kein 
autologer Knochen verwendet wird, findet im Augmentat auch keine 
Resorption statt, was zu einer besseren Volumenstabilität führt. 
Stammzellen aus konzentriertem Knochenmark können auch für die 
rekonstruktive Chirurgie eingesetzt werden. Für eine Ausweitung der 
Indikation sind weitere Studien notwendig. Das mit dynamischen 
Kontrastmittel verstärkte MRT (DCR-MRI) ist zur klinischen, repetitiven 
Untersuchung von Biomaterialien im Patienten geeignet. 
copyright Fotos: Dr. Dr. Sauerbier
 
                             
                                         
                                                                                     
                 
                 
                 
                 
                 
                 
                 
                 
                 
                                 
                         
                         
                         
                         
                        