Implantologie 03.08.2016
Sofort- und Spätimplantate aus Keramik in Kombination
share
Im Gegensatz zur konventionellen Vorgehensweise mit Zahnextraktion, Vollprothese und langer Wartezeit sind bei der Sofortimplantation der Zeit- und Kostenaufwand für den Patienten deutlich reduziert. Im vorliegenden Fall wird ein Patient mit herausnehmbaren erneuerungsbedürftigen Zahnersatz in nur einer Behandlungssitzung festsitzend versorgt.
Anamnese und Befund
Anfang 2015 stellte sich ein 80-jähriger Patient mit erneuerungsbedürftiger Oberkieferteleskopprothese vor. Laut Überweisung sollten alle verbliebenen Zähne im Oberkiefer entfernt werden und der Patient eine Vollprothese erhalten, da er zu alt für Implantate wäre.
Bereits bei der Erstuntersuchung zeigte sich ein klinisch desolater Zustand (Abb. 1 und 2). Die Zähne 17, 14, 12, 11, 21 reagierten auf die Vitalitätsprobe negativ und waren teilweise gelockert. Sowohl auf der initialen Panoramarekonstruktion (Abb. 3) als auch auf der anschließenden DVT-Bildgebung wurde die Nichterhaltungswürdigkeit der Zähne 17, 14, 12, 11, 21 bestätigt. Die 3-D-Aufnahme zeigte insuffiziente Wurzelfüllungen mit apikaler Ostitis in den Regionen 14 und 21, eine starke parodontale Schädigung des Zahnes 17 und apikale osteolytische Prozesse an den Zähnen 11 und 12.
Idealerweise konnte in Regio 23 und 25 ausreichend Knochen gemessen werden. Im Bereich 26 bis 27 wäre zur weiteren Implantation ein Sinuslift notwendig gewesen. Ein Sinuslift kam für den Patienten nicht infrage.
Planung und Therapie
Die Entscheidung fiel auf die Sofortimplantation der Zähne 17, 14, 11, 21 (SCC – Short Cut Concept®) und Spätimplantation in den Bereichen 13, 23, 25. Die Therapie wurde entgegen der Meinung des Überweisers und auf Wunsch des Patienten geplant. Im Vorfeld der Operation wurde eine Mundhygienephase durchgeführt.
Zur Vorbereitung auf die große Operation wurden die beiden nicht erhaltungswürdigen Zähne 45 und 46 entfernt und mit Sofortimplantaten versorgt. Da der Patient bei diesem Eingriff keinerlei Probleme oder Schmerzen hatte, stand dem größeren Eingriff im Oberkiefer nichts entgegen.
Auf dem präoperativen DVT (Morita Veraviewepocs 3D) wurde die geplante Implantation mit dem Patienten besprochen.
Direkt vor der Operation wurde dem Patienten Blut abgenommen, um eine PRGF-Membran (PRGF®-Endoret®- Plasmamembran) herstellen zu können.
Das hier gewählte vollkeramische Implantatsystem (SDS1.1 und SDS2.0 aus Y-TZP) mit besonders aggressivem Gewindedesign (Dynamic Thread) steht in den enossalen Durchmessern 3,8 mm und 4,6 mm zur Verfügung und wird in drei Implantatlängen 8, 11 und 14 mm angeboten. Sowohl das einteilige als auch das zweiteilige Implantat ist mit einer ausgeprägten Tulpe von 3 mm Höhe versehen, um die optimale biologische Breite der Gingiva erhalten und stützen zu können. Der Schulterdurchmesser beträgt auf Weichgewebeniveau 5 mm beim durchmesserreduzierten Implantat und 6 mm beim 4,6-mm-Implantat. Das zweiteilige Implantat ist also quasi ein reduziertes einteiliges Implantat, das nach erfolgter Einheilung lediglich oberhalb der Gingiva verlängert wird. Das eigentliche Implantat ist komplett im Knochen und dadurch sogar in der durchmesserreduzierten Variante stabiler als vergleichbare Implantatsysteme aus Titan. Je nach Höhe und Beschaffenheit der Gingiva kann das Implantat auch ein wenig tiefer oder kürzer inseriert werden, falls mehr als 3 mm Gingiva vorhanden sein sollten. Diese Flexibilität erlaubt es dem Chirurgen, Implantatlängen von 7–15 mm mit einem System zu nutzen. Insbesondere kommt hinzu, dass die Tulpe beschleifbar ist, sodass der Behandler komplett nach anatomischen Gegebenheiten operieren kann. Vor allem im Bereich der Sofortimplantationen sind Achsneigungen nicht zu vermeiden, da das Implantat in die Mitte des Kieferkamms positioniert werden sollte und dieser in den meisten Fällen nicht mit der anatomischen Positionierung der Zähne korreliert. Es besteht also die Möglichkeit, schon während der chirurgischen Phase die Achsneigung durch Beschleifen zu korrigieren und damit bereits intraoperativ ein individuelles Abutment herzustellen. Eine Achsabweichung von bis zu 20 Grad ist durch die ausgeprägte prothetische Plattform ohne Probleme zu bewerkstelligen.
Implantation
Die Sofortimplantation erfolgte unter Lokalanästhesie in die Alveolen der Zähne 14, 11 und 21 mit einteiligen Implantaten (SDS1.1 Monkey). In Regio 17 kam ein zweiteiliges Implantat zum Einsatz (SDS2.0). Die Spätimplantate 13, 23, 25 wurden ebenfalls einteilig gewählt, um den Patienten direkt mit einem festsitzenden Full-Arch-Provisorium versorgen zu können.
In Regio 17 konnte ein 4,6 x 11 mm-Implantat mit einer Primärstabilität von 35 Ncm in die palatinale Alveole eingebracht werden. Die bukkale Alveole wurde mit einer Membran gefüllt und mit einer gekreuzten Matrazennaht gesichert (PTFE). In Regio 14 kam ein einteiliges 38 x 14 mm-Implantat zum Einsatz. Um eine verbesserte Prothetik gewährleisten zu können, wurde es leicht distal exzentrisch inseriert, sodass die Tulpe in der Fünfer-Region platziert werden konnte. Im Bereich 11, 21 wurden einteilige vollkeramische Implantate der Länge 14 mm und Durchmesser 4,6 mm eingesetzt. Dasselbe Implantat wurde auch in den Regionen 13 und 23 benutzt. Beide Spätimplantate konnten flapless durch die Gingiva operiert werden. Lediglich in Regio 25 wurde ein kleiner Schnitt benötigt, um befestigte Gingiva nach bukkal verlagern zu können. Hier wurde ein einteiliges Implantat mit 11 mm Länge und einem Durchmesser von 3,8 mm, ähnlich zur Regio 14, distal exzentrisch inseriert, um mit der Tulpe prothetisch weiter distal im Bereich 26 zu landen (Abb. 4). Alle Implantate wurden mit circa 35 Ncm primärstabil eingesetzt (Abb. 5).
Allein durch die Sofortimplantation wird bereits eine Aktivierung des Knochens erzielt. Da üblicherweise über die Alveole hinaus gebohrt wird, finden sich hier sehr häufig osteolytische Knochenareale, die bei der klassischen Zahnentfernung nicht mit behandelt werden. Nach mechanischer Reinigung der Alveolen erfolgt die Desinfektion mit Ozon und einer neuraltherapeutischen Lösung. Da Zirkonimplantate nur in absolut gesunden Knochen einheilen, sollte auch auf osteolytische Seitenlakunen und generell gelbe Knochenareale geachtet werden (LDL, fettige Degeneration des Knochens ist ein Entzündungszeichen). Um einem Nichteinheilen entgegenzuwirken, ist dieses detektivische Verfahren äußerst wichtig.
Provisorium
Das Full-Arch-Provisorium Regio 15 bis 25 wurde im Anschluss an die Operation vom Behandler selbst (MaxiTemp® HP, Henry Schein) chairside gefertigt (Durelon™, 3M ESPE) und eingegliedert (Abb. 6).
Auf eine Sofortversorgung in Regio 17 wurde aus Sicherheitsgründen verzichtet. Das zweiteilige Implantat wurde auf Zahnfleischniveau (Tissue Level) inseriert. Dieses Vorgehen stellt im nicht ästhetischen, jedoch funktionell riskanterem Gebiet aus Sicht des Autors eine optimale Lösung dar.
Der Patient wurde im Vorfeld darüber aufgeklärt, während der dreimonatigen Einheilphase nur weiche Kost zu sich zu nehmen. Das Provisorium wurde in Gruppenführung mit gleichmäßigen Okklusionskontakten eingeschliffen.
Prothetische Versorgung
Nach drei Monaten Einheilzeit wurden die Implantate freigelegt und in Regio 17 ein Standardabutment (Ketac Cem™) eingesetzt (Abb. 7). Der Halt des Abutments kommt primär durch den chemischen Verbund des Glasionomerzements mit der Zirkonoberfläche.
Die beschleifbaren Zirkonimplantate (SDS) wurden mit Rotringdiamanten am Beispiel eines natürlichen Zahnes minimal subgingival präpariert (Abb. 8 und 9). Da zu diesem Zeitpunkt bereits eine Anhaftung des keratinisierten periimplantären Weichgewebes mit der Keramikoberfläche besteht, sollte unter keinen Umständen ein Retraktionsfaden gelegt werden. Anschließend erfolgte ein Abdruck (Impregum™, 3M ESPE). Die provisorische Versorgung wurde unterfüttert (MaxiTemp® HP, Henry Schein) und wieder eingesetzt (Abb. 10).
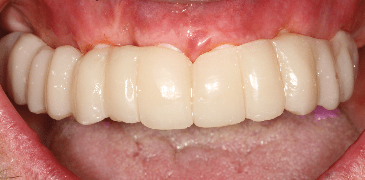
Zehn Tage nach der Abdrucknahme erfolgte eine Gerüsteinprobe zusammen mit dem Zahntechniker. Zwei Wochen nach der Freilegung wurden die definitiven Zirkonbrücken (17 bis 14, 11 bis 13, 21 bis 25 mit Anhänger) ebenfalls mit einem Glasionomerzement (Ketac Cem™) eingesetzt. Bei der abschließenden Okklusions- und Artikulationskontrolle wurde der Zahnersatz in gleichmäßiger Okklusion und Gruppenführung eingeschliffen (Abb. 11).
Im weiteren Verlauf wurde im Unterkieferseitenzahngebiet die prothetische Versorgung eingegliedert. Aktuell wurden die Unterkieferfrontzähne aus parodontalen Gründen entfernt und mit zwei Sofortimplantaten versorgt.
Zusammenfassung
Der optimale Zeitpunkt zur Implantation ist nach Ansicht des Autors die Zahnextraktion (SCC – Short Cut Concept®). Das Implantat fungiert sozusagen als optimale Socket Preservation. Knochen- und Weichgewebe werden gestützt. Im vorliegenden Fall konnte der Patient direkt festsitzend versorgt werden. Im Gegensatz zur konventionellen Vorgehensweise mit Zahnextraktion, Vollprothese und langer Wartezeit sind bei der Sofortimplantation der Zeit- und Kostenaufwand für den Patienten deutlich reduziert, ganz zu schweigen von den verminderten Schmerzen. Mit den ein- und zweiteiligen Vollkeramikimplantaten (Swiss Dental Solutions) ist es nun auch möglich, riskantere Sofortimplantationen im Seitenzahngebiet durchzuführen, ohne dass aufwendige und unangenehme Schutzmaßnahmen benötigt werden. Natürlich ist das Operationsprotokoll entscheidend. Ein besonders großes Augenmerk liegt bei Zirkonimplantaten auf der absolut gründlichen Säuberung und Desinfektion des Operationsgebietes, da diese nur in völlig gesundem Knochen einheilen. Dieses Protokoll umfasst die orthomolekulare Unterstützung mit Nährstoffen vorab, die lokale Desinfektion mit Ozon und Neuraltherapie (nähere Informationen beim Autor erhältlich). Auf ein Antibiotikum kann damit in den meisten Fällen verzichtet werden. Bei größeren Knochenaufbauten, wie der Knochenringtechnik oder einem externen Sinuslift, ist eine präoperative, antibiotische Single-Short-Gabe ideal, da das Antibiotikum auf diese Weise den Körper nicht übermäßig belastet.
