Implantologie 29.09.2015

Abformung von Implantaten mit extremer Neigung



Abformung von Implantaten mit extremer Neigung

Foto: © Autor

In dem vorliegenden Bericht wird eine Technik demonstriert, mit der die Abdrucknahme sowie die Übertragung der Implantatposition in Fällen, bei denen die Implantate mit sehr starker ­Neigung inseriert wurden, möglich ist.

Die Versorgung zahnloser Bereiche mit implantatgetragenem Zahnersatz hat sich inzwischen als routinemäßige zahnmedizinische Behandlung etabliert. Sowohl in der Implantatchirurgie als auch in der Implantatprothetik wurden in den letzten Dekaden große Fortschritte gemacht, die die Versorgung von sowohl teilzahnloser Areale als auch ganz zahnloser Kiefer mit gut funktionierenden und ästhetisch anspruchsvollen implantatgetragenen Restaurationen ermöglichen.1,2 Dennoch werden manchmal die Implantate voneinander nicht parallel und/oder ohne genügenden Abstand gesetzt, sodass die spätere Abdrucknahme sehr schwer oder fast unmöglich ist. Obwohl solche Fälle/Komplikationen heutzutage sporadisch auftreten, können sie die Rehabilitation eines bereits implantierten Bereiches stark erschweren.3,4 In dem vorliegenden Bericht wird anhand eines Falles eine Methode zur Bewältigung einer solchen Komplikation vorgestellt.

Fallpräsentation

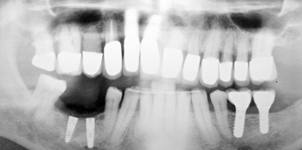
Ein Patient (männlich, 60 Jahre alt) hat sich zwecks Versorgung der vor drei ­Monaten inserierten Implantate Regio 45–46 vorgestellt (Abb. 1). Anhand der vorgelegten Behandlungs­unterlagen wurde festgestellt, dass keine Implantationsschablone angefertigt bzw. intraoperativ verwendet wurde. Aufgrund der extremen Neigung des ­Implantats 45 (die das Einsetzen von zwei Abdruckpfosten nebeneinander nicht erlaubte) war eine Abformung (weder geschlossen noch offen) undurchführbar. Diese Problematik ist in Abbildung 2 zu erkennen, wo die Kollision von ­Abdruckpfosten grafisch dargestellt wurde. Zur Lösung des Problems wurde folgendermaßen vorgegangen:

 

1. Das Implantat Regio 46 war vertikal und mit geringer ­mesialer Neigung inseriert. Ein systemspezifisches Abdrucksystem für geschlossenes ­Abformungsverfahren wurde ausgesucht, bestehend aus einem Titanpfosten und einem Kunststoff-Übertragungskäppchen (Dentegris). Der Titanpfosten wurde auf dem Implantat 46 montiert (Abb. 3).

2. Auf dem Implantat Regio 45 (starke distale Neigung) wurden diverse vorgefertigte Titanabutments (Dentegris) mit unterschiedlicher Neigung anprobiert und es wurde festgestellt, dass ein Abutment mit 25-Grad-Neigung relativ parallel zum Titanpfosten Regio 46 lag (Abb. 3 und 4).

3. Das ausgewählte Abutment wurde eingescannt und mittels CAD/CAM wurde ein exakt passendes Käppchen aus Nichtedelmetall (CrCo, Zenotec NP) gefräst, welches zur Übertragung der Implantatposition verwendet werden konnte (Abb.5). Das auf diese Art und Weise geschaffene individuelle Übertragungskäppchen wurde mit einer sehr dünnen Schicht Modellierkunststoff (Pattern Resin) überzogen. Im koronalen sowie im labialen und lingualen Bereich wurden kleine Retentionskügelchen für die ­Abformung modelliert (Abb. 6).

4. Auf dem Implantat 46 wurden der Titanpfosten und das Kunststoff-Übertragungskäppchen und auf dem Implantat 45 das Titanabutment mit 25-Grad-Neigung (dies hatte die Funktion eines Titanpfostens) und das individuelle Übertragungskäppchen montiert (Abb. 7). Anschließend wurde die Abformung mittels Polyether-Material (Impregum, 3M ESPE) durchgeführt (Abb. 8).

5. Auf dem Meistermodell wurden zwei individuelle Abutments her­gestellt (Abb. 8), die anschließend mit zwei Metallkeramik-Kronen versorgt wurden (Abb. 9 und 10).

6. Die Abutments wurden auf den Implantaten mithilfe eines Übertragungsschlüssels angebracht und mit 35 Nm verschraubt (Abb. 11). Die Kronen wurden auf den Abutments mit eugenolfreiem provisorischen Zement eingesetzt (Abb. 12 und 13).

Die in diesem Bericht vorgestellte Technik kann in Situationen von subopti­maler Implantatinsertion angewandt werden. Selbstverständlich ist immer sinnvoller, eine genaue Analyse und Planung der Implantation vorzunehmen, sodass der unnötige Stress sowohl für den ­Patienten als auch für den Behandler vermieden wird.

Eine ausführliche Literaturliste finden Sie hier.

Mehr Fachartikel aus Implantologie

ePaper