Implantologie 18.02.2020

Ästhetisch rekonstruktive Full-Mouth-Rehabilitation



Ästhetisch rekonstruktive Full-Mouth-Rehabilitation

In diesem Beitrag wird die Behandlung eines 37-jährigen Patienten mit guter allgemeiner Gesundheit vorgestellt. Die Ausgangssituation in diesem Patientenfall zeigt ein prothetisch und konservierend insuffizient versorgtes Erwachsenengebiss mit NA 22 und bereits inserierten Einzelzahnimplantaten mit darauf provisorisch eingesetzten Langzeitprovisorien aus Kunststoff im Unterkiefer. Bei der klinischen Funktionsanalyse zeigten sich Anzeichen einer parafunktionellen Störung. Die ästhetisch rekonstruktive Behandlung erfolgte nach Schienenvorbehandlung und semipermanenten Kompositaufbauten mit Presskeramikteilkronen und Veneers.

Anamnese

Der Patient ist kerngesund und nimmt keinerlei Medikamente. Die letzte zahnärztliche Untersuchung fand vor circa einem halben Jahr statt. Bis zu diesem Zeitpunkt suchte der Patient jährlich seinen Hauszahnarzt zur Kontrolle und Zahnreinigung auf. Der Patient leidet unter starken chronischen (Zahn-)Beschwerden, die sich als stärkste Pulpitiden an zum Teil füllungs- und kariesfreien Zähnen manifestieren.

In der Vergangenheit mussten daher bereits zwei Zähne (46 und 47) entfernt werden, da auch eine endodontische Behandlung keine Linderung der Beschwerden brachte. Um weitere Extraktionen zu verhindern, wurde der Patient nach zwei weiteren Wurzelbehandlungen an 36 und 45 in die MAP-Sprechstunde (Klinik für Rekonstruktive Zahnmedizin und Myoarthropathien, Prof. Dr. J.  C. Türp) am Zentrum für Zahnmedizin Basel überwiesen. Als Befund wurde ein chronisch dysfunktionaler Schmerz evaluiert. Kausal wurde eine rheumatologische Abklärung sowie ein kognitiv-verhaltenstherapeutisches Training verordnet. Als Schmerzmedikation wurde Amitriptylin sowie Flupirtin (Katadolon) verschrieben. Zusätzlich wurde das Erlernen eines Entspannungsverfahrens zwecks Stressreduktion und Senkung der gesteigerten Muskelspannung empfohlen.

Einstellung des Patienten

Der Patient ist nach Aufklärung und eingehender Beratung an einer Gesamtbehandlung seines Kauorgans interessiert. Diese sollte jedoch erst nach Abklingen der asymptomatischen plötzlich auftretenden „pulpitischen Beschwerden“, wie sie in der Vergangenheit auch noch an den Zähnen 11, 16, 25, 34, 35 und 44 auftraten, begonnen werden. Er legt Wert auf eine ästhetisch-funktionelle und dauerhafte Verbesserung seiner Situation und steht einer notwendigen umfangreichen ästhetisch-rekonstruktiven Rehabilitation aufgeschlossen gegenüber.

Klinischer Befund

Rote Ästhetik

Es zeigte sich ein harmonischer Gingivaverlauf im Frontzahnbereich sowie Rezessionen an 16, 25, 35, 45 und 46. Der Patient verfügt über eine normale und schmal geformte Oberlippe. Ein labialer Korridor fehlt.

Weiße Ästhetik

Die Oberkieferfront empfindet der Patient von der Länge als ausreichend, das entspannte Lächeln zeigt ungefähr 5–6 mm der Frontzahnreihe. Es zeigen sich generalisierte Abrasionen im Ober- und Unterkiefer. Die Breite des Lächelns misst bis in den Bereich der ersten Molaren – die Interinzisallinie und Mittellinie stimmen aufgrund des Lückenschlusses in Regio 22 nicht überein. Die Okklusionsebene steht parallel zur Kommissurenlinie (Horizontalen). Die quadratisch imponierende Zahnform erscheint harmonisch zur Gesichtsform des Patienten.

Dentalstatus

An den Zähnen 15 und 25 imponieren keilförmige Defekte. Neben den bereits erwähnten abrasiven Zahnhartsubstanzverlusten ist die ursprünglich okklusale Morphologie im Front- und Seitenzahnbereich nur noch ansatzweise vorhanden. Aufgrund der verfärbten Kompositrestaurationen sowie des abrasiv bedingten Schmelzverlustes erscheint die Farbe der Zähne etwas zu dunkel. Der Patient wünscht sich im Rahmen der Rehabilitation in dieser Frage noch eine deutliche Verbesserung.

Zusammenfassung

Im Oberkiefer erscheint der Zahnbogen quadratisch. Der OK-Frontüberbiss ist mit circa 2 mm zu klein. Die überdimensionierten Kompositaufbauten in Regio 33 und 43 dienten in der Vergangenheit zur Entlastung der Seitenzahnbereiche, vor allem des Oberkiefers, um (deeskalierend) weitere Wurzelbehandlungen sowie Extraktionen zu vermeiden. Es zeigt sich hinsichtlich der Länge (Seitenzähne, Lächeln), Stellung (Fronzähne OK/UK), Farbe und Form der Zähne ein objektiv verbesserungswürdiger Zustand, welcher auf Wunsch des Patienten im Rahmen einer umfassenden prothetischen Rehabilitation erreicht werden soll.

Das OPG zeigt keinen Anhalt auf zahnverursachte Prozesse. Es sind insuffiziente Kompositfüllungen vor allem im Oberkiefer vorhanden. Des Weiteren soll die insuffiziente langzeitprovisorische Versorgung der Implantate im Unterkieferseitenzahnbereich neu versorgt werden. Die Bissflügelaufnahme rechts zeigt C3-Karies an Zahn 17 mesial, Randspalten der Kompositfüllungen an 16 mesial und 15 distal sowie C3-Karies. Die Bissflügelaufnahme links zeigt C1-Karies an Zahn 24 distal und C3-Karies an Zahn 25 distal sowie C2-Karies mesial.

Diagnosen

Es handelt sich um ein konservierend-prothetisch insuffizient versorgtes Erwachsenengebiss mit Parafunktion und Zahnhartsubstanzverlust vor allem im Ober- und Unterkieferfrontzahnbereich sowie NA 22 (Lückenschluss).

Behandlungsablauf

Im ersten Schritt erfolgt eine Prophylaxesitzung einschließlich Reevaluation und professioneller Zahnreinigung. Im Anschluss daran erfolgt die Abformung des Ober- und Unterkiefers mit Alginat zur Herstellung von Situationsmodellen, ein Bissregistrat mit Frontjig in zentrischer Kondylenposition (ZKP), die Gesichtsbogen- und Clinometerübertragung sowie ein CMD-Screening.

Im weiteren Verlauf folgen Fotostatus, klinisch instrumentelle Funktionsanalyse und Etablierung einer neuen vertikalen und horizontalen Relation des Unterkiefers in ZKP mit temporären Kompositaufbauten im Ober- und Unterkiefer auf Basis des Wax-ups mittels transparenter Silikonschlüssel.

Das Auffüllen der transluzenten Schlüssel erfolgt mit vorgewärmtem Komposit, um Verzerrungen zu vermeiden, und wird anschließend auf die zuvor konditionierte Zahnoberfläche aufgesetzt und lichtgehärtet.

Eine Reevaluation nach einer Adaptationsphase von drei Monaten ergab positive Ergebnisse – sämtliche für die definitive Versorgung vorgesehenen Zähne schienen sicher erhaltungswürdig.

Der Patient fühlt sich mit der neuen horizontalen und vertikalen Bisslage sehr wohl und es liegen keine Anzeichen oder Symptome einer Kiefergelenkdysfunktion vor.

Im nächsten Schritt erfolgt zuerst die Präparation der Zähne im Unterkiefer, dann im Oberkiefer und nach Abformung die Herstellung der Presskeramikteilkronen, Frontzahnveneers und Implantatkronen im zahntechnischen Labor.

Die definitiven Versorgungen im Ober- und Unterkiefer wurden adhäsiv eingegliedert. Die Implantatkronen wurden provisorisch auf Zirkonabutments zementiert.

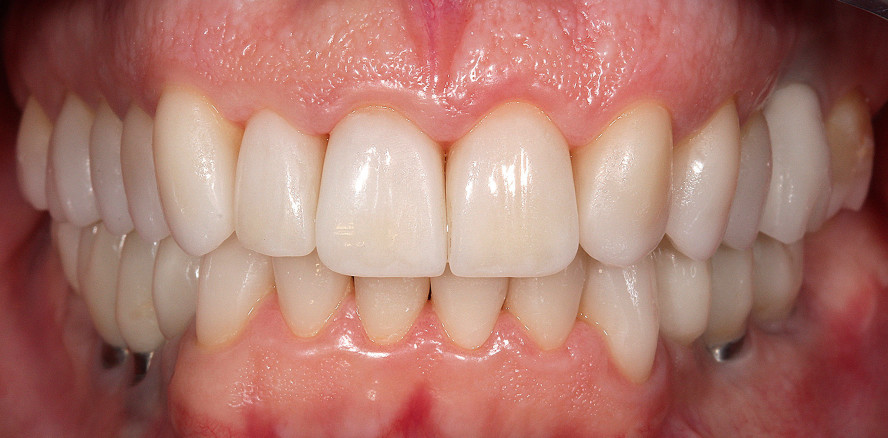
Behandlungsergebnisse

Rote Ästhetik

Es zeigen sich stabile und gesunde Weichgewebsverhältnisse nach abgeschlossener Behandlung. Die Disharmonie (Weichgewebsrezession) im Bereich der Implantate konnte durch das Abutmentdesign im Zuge der prothetischen Rehabilitation teilweise korrigiert werden. Beim Lächeln entspricht die Kurve der Schneidekanten der Krümmung der Unterlippe.

Weiße Ästhetik

Die Oberkieferfront empfindet der Patient von der Länge als sehr angenehm, das entspannte Lächeln zeigt ungefähr 9–10 mm der Frontzahnreihe. Die leicht quadratisch imponierende Zahnform wurde beibehalten und fügt sich nun harmonisch zur Gesichtsform des Patienten.

Dentalstatus

Die keilförmigen Defekte im Bereich 15 und 25 sowie die okklusale Morphologie bei den konservierend insuffizient versorgten Seitenzähnen des Ober- und Unterkiefers konnten durch die prothetische Sanierung wiederhergestellt werden .

Epikrise

In dem vorliegenden Fall handelt es sich um eine adhäsive Full-Mouth-Rehabilitation, mit deren Ergebnis sich der Patient vollumfänglich zufrieden zeigt.1–3 Aufgrund der funktionellen Vorbehandlung (vertikale und horizontale Kieferrelationsbestimmung in ZKP) mit Interimskompositen sowie der konservativen Zahnpräparationen im Teilkronen- und Fullveneerdesign sind okklusionsprophylaktisch und biologisch (Zahnvitalität) alle Anforderungen an eine moderne zahnsubstanzschonende Vorgehensweise erfüllt worden.4–7 Nach wie vor zeigen sich leichte Beschwerden im Kiefergelenkbereich (rechts). Zahn 25 musste vor der Sanierung des Oberkiefers aufgrund pulpitischer Beschwerden devitalisiert und eine Wurzelkanalbehandlung durchgeführt werden.

Nach zwei Jahren (September 2017) nahmen im Bereich des rechten Kiefergelenks die Beschwerden wieder zu und es erfolgte eine Überweisung an die Medeco Dental Clinic in Bonn, Prof. Dr. Markus Greven, M.Sc., PhD (Specialist Temporo-Mandibular Disorders, DGFDT). Dort wurde nach Initialdiagnostik, Funktionsanalyse (vollständige klinische und instrumentelle Diagnostik) sowie MRT-Aufnahme eine Diskus-/Kondylusverlagerung („ältere Läsion“) des rechten Kiefergelenks diagnostiziert, welche die Lage des Unterkiefers und damit die Muskulatur in Statik (Schlussbiss) und Dynamik (Ausweichphänomen) kompromittiert hat. Eine mögliche (Schmerz-)Projektion auf die Zähne des Ober- und Unterkiefers ist hierbei nicht auszuschließen. Therapeutisch sollten daher, auf Grundlage der durchgeführten Bewegungsanalytik, die Kiefergelenke selektiv mittels UK-Positionierungsschiene mechanisch entlastet werden (Unterkiefer Aufbisschiene mit Retrusivstopp).

Aufgrund des asymptomatisch, chronisch dysfunktionellen Beschwerdebildes ist für die vorliegende Versorgung vorerst nur unter Vorbehalt eine gute Langzeitprognose formulierbar.

Der Literaturliste ist eine Produktliste der verwendeten Materialien beigefügt.

Der Beitrag ist im Implantologie Journal erschienen.

Foto: Autoren

Mehr Fachartikel aus Implantologie

ePaper