Implantologie 24.07.2019

Geführte Sofortimplantation und -versorgung im Unterkiefer



Geführte Sofortimplantation und -versorgung im Unterkiefer

Foto: Autor

Bedingt festsitzende herausnehmbare Totalprothetik

Der Wunsch zahnloser Patienten nach festsitzendem Zahnersatz ist nachvollziehbar, da dieser in hohem Maß zu einer mundgesundheitsbezogenen Lebensqualität beitragen kann. Vielfach scheuen Patienten jedoch den Eingriff, da sie diesen mit Schmerzen, Komplikationen und einem hohen zeitlichen sowie finanziellen Aufwand in Verbindung bringen. Seit einiger Zeit gibt es bewährte Versorgungskonzepte, die es ermöglichen, zahnlose Patienten schnell, vorhersehbar und minimalinvasiv mit implantatgetragenem Zahnersatz zu versorgen. Vorliegender Fallbericht stellt die prothetische Versorgung eines zahnlosen Patienten unmittelbar nach schablonengeführter, minimalinvasiver Insertion von vier Implantaten vor.

Ein 62-jähriger Patient war nach parodontal bedingtem Zahnverlust für einen Zeitraum von circa zehn Jahren im Ober- und Unterkiefer mit herausnehmbaren, schleimhautgelagerten Totalprothesen versorgt gewesen. Er stellte sich zu dem Masterkurs in Oralchirurgie, Implantologie und Parodontologie von der Universität León (Spanien) mit dem Wunsch nach einer implantatgetragenen prothetischen Versorgung im Unterkiefer vor, da der Prothesenhalt dort nicht ausreichend war. Zudem wünschte er eine möglichst schnelle und kostengünstige Umsetzung der implantatprothetischen Therapie.

Diagnostik und Therapieplanung

Die röntgenologische Diagnostik erfolgte dreidimensional mittels digitaler Volumentomografie (DVT). Die Knochenqualität nach Misch wurde im interforaminalen Bereich als D1 und im Seitenzahnbereich als D2 eingestuft.1 Im anterioren Bereich des Unterkiefers lag bukkal eine typische Konkavität des Alveolarfortsatzes vor und es bestand eine Resorptionsklasse Typ III nach Atwood.2 Trotz der langen Tragezeit waren die Dimensionen des Alveolarfortsatzes mit einer Höhe von 20 mm und einer Breite von 7 mm im anterioren und von 9 mm im posterioren Anteil des Kiefers relativ gut erhalten (Abb. 1). In der Fachliteratur wird davon ausgegangen, dass bei einem Restknochen von weniger als 5 mm Breite im Zusammenhang mit Implantatbehandlungen Knochenaufbaumaßnahmen erfolgen müssen, um ein ausreichend dimensioniertes Knochenlager für die Implantate zu erhalten.3 Aufgrund des guten Alveolarfortsatzvolumens waren keine Maßnahmen zur Kieferkammaugmentation notwendig.

Es wurde sich, trotz der eingeschränkten Knochenqualität im Unterkiefer, nach eingehender Aufklärung des Patienten, für ein Sofortbelastungsprotokoll entschieden. Die Implantatinsertion sollte schablonengeführt und vollnavigiert durchgeführt werden. Die Planung der Implantatpositionen erfolgte mit einer speziellen Planungssoftware (Nemotec) und anhand eines Duplikates der Unterkieferprothese, in welches zur exakten Positionierung der Implantate an dessen Außenfläche röntgenopakes Guttapercha punktförmig eingebracht wurde (Abb. 2 und 3). Anhand der DVT-Daten und der dreimensionalen Planung der Implantatpositionen wurde eine vollnavigierte Schablone aus kalthärtendem Kunststoff mit einem 3-D-Design und Abdruckverfahren hergestellt. Um eine gute Führung der Implantatbohrer zu erreichen und somit eine möglichst genaue Präparation des Implantatbetts zu ermöglichen, wurden die Bohrlöcher mit Metallringen verstärkt (Abb. 4). Die Fixierung der Suprakonstruktion sollte auf vier Implantaten in Regio 35, 32, 42 und 45 erfolgen. Als Implantate wurden Semados SC-Implantate aus Titan Grade 4 (BEGO Implant Systems) mit einer Länge von 15,0 mm und einem Durchmesser von 3,75 mm (Regio 32 und 42) sowie 4,1 mm (Regio 35 und 45) ausgewählt. Um ein ausreichendes Drehmoment und eine gute Osseointegration der Implantate sowie ein günstiges Unterstützungspolygon für den implantatgetragenen Zahnersatz zu erreichen, sollten die distalen Implantate nach dem All-on-Four-Konzept geneigt eingesetzt werden.4,5 Um dem Wunsch des Patienten nach einer schnellen Versorgung und Verkürzung der Therapiedauer zu entsprechen, wurde im Vorfeld eine Unterkiefer-Deckprothese hergestellt, die nach Implantatinsertion mit den Implantaten (MultiPlus System, BEGO Implant Systems) fixiert werden sollte.

Operatives Vorgehen

Der chirurgische Eingriff wurde unter Lokalanästhesie durchgeführt. Zunächst wurde die Passgenauigkeit der Bohrschablone überprüft. Anschließend erfolgte das Stanzen der Mukosa im Bereich der vorgesehenen Implantatpositionen mit der systemeigenen Stanze durch die Bohrlöcher der Bohrschablone hindurch. Zur besseren Sichtbarkeit wurden die gestanzten Bereiche violett angefärbt (Abb. 5). Nach Freilegung im Bereich der geplanten Implantatpositionen erfolgten die intraossäre Fixierung der Bohrschablone mit den drei dafür vorgesehenen Minischrauben mit einer Länge von 9 mm und einem Durchmesser von 1,8 mm und die anschließende vollnavigierte Implantatpräparation nach Herstellerangaben (Abb. 6). Die Implantatinsertion wurde ebenfalls mit der Bohrschablone in situ durchgeführt (Abb. 7). Die Implantate wurden 1,5 mm subkrestal mit einem Insertionstorque von 40 Ncm eingesetzt. Dieser entspricht fast dem Grenzwert von 45 Ncm, der in der Literatur als ausreichend für die Primärstabilität eines Implantats und als geeignet für ein Sofortbelastungsprotokoll bezeichnet wird, da in diesen Fällen keine signifikant erhöhten Implantatverlustraten und/oder krestale Knochenverluste beobachtet werden konnten.6 Das anschließend angefertigte Übersichtsröntgenbild ergab eine gute Positionierung der Implantate (Abb. 8).

Prothetische Versorgung

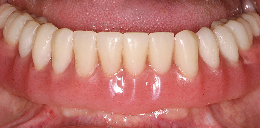
Zunächst wurden nach Abschluss der Implantatinsertion die Pfosten eingesetzt (Abb. 9). Anschließend wurden die Retentionselemente auf den Pfosten befestigt (Abb. 10) und die vorher angefertigte Prothese eingesetzt (Abb. 11).

Vier Monate später zeigten sich klinisch reizlose Verhältnisse. Eine indirekte Unterfütterung der Prothese war jedoch notwendig, um die Passform wiederherzustellen. Dazu wurde eine geschlossene Abformung konventionell als Doppelmischabdruck mit einem additionsvernetzenden Silikon und einem konfektionierten Abformlöffel über die entsprechenden systemeigenen Übertragungshilfen durchgeführt (Abb. 12 und 13). Nach Unterfütterung konnte die Prothese wieder problemlos und mit einer verbesserten Passgenauigkeit eingesetzt werden (Abb. 14 und 15). Die Unterfütterung der Prothese wurde in der Klinik durchgeführt. Der Patient erhielt die definitive Prothese direkt nach dem chirurgischen Eingriff.

Diskussion

Beim klassischen All-on-Four-System werden die prothetischen Suprastruktionen grundsätzlich festsitzend konzipiert.5 Im vorliegenden Fall wurde sich allerdings für eine herausnehmbare Versorgung, mit Blick auf die reduzierte Knochenqualität im interforaminalen Bereich, entschieden. Die Entscheidung lag auch aus dem Grund nahe, da bei fest zementiertem implantatgetragenem Zahnersatz häufiger technische und biologische Komplikationen beobachtet werden, als bei herausnehmbarem Zahnersatz.7

Neben der Umgehung augmentativer Maßnahmen trägt eine Implantatinsertion ohne Bildung eines Mukoperiostlappens zusätzlich dazu bei, dass der Patient während des chirurgischen Eingriffs nicht zusätzlich belastet wird. Um die Implantatpositionierung vorhersehbar durchführen zu können, ist jedoch der Einsatz einer Bohrschablone unerlässlich.

Mittels Bohrschablonen werden statistisch signifikant geringere Winkelabweichungen sowie geringere lineare Abweichungen im Halsbereich und am Apex von Implantaten erreicht.8,9 Die Reproduktionsgenauigkeit einer computergestützten, dreidimensionalen Implantatplanung am Patienten kann dabei durchaus anhand bestimmter Faktoren negativ beeinflusst werden. Zu den Einflussfaktoren zählen u. a. die Lagerung der Schablone (Zahn-, Knochen- und Schleimhautlagerung bzw. Kombinationen daraus) und die Art ihrer Fixierung.9 Dabei sind die Aussagen zum Einfluss dieser Faktoren in der wissenschaftlichen Literatur zum Teil widersprüchlich. So scheinen einerseits zahngestützte Bohrschablonen am Patienten reproduzierbarer platziert werden zu können und zu genaueren Ergebnissen zu führen als Schablonen, die auf Knochen oder Schleimhaut gelagert werden.10 Andererseits wurden in anderen Veröffentlichungen genauere Ergebnisse bei schleimhaut- bzw. knochengelagerten Bohrschablonen im Vergleich zu zahn- bzw. kombiniert zahn- und schleimhautgelagerten Schablonen ermittelt.11 In einer aktuellen Übersichtsarbeit konnten die geringsten Genauigkeitsverluste bei der Platzierung von Implantaten ohne Bildung eines Mukoperiostlappens und Fixierung der schleimhautgelagerten Bohrschablone mittels Minischrauben ermittelt werden.9

Daher erschien die vollnavigierte Präparation des Implantatbetts unter Einsatz einer schraubenfixierten Bohrschablone auch im vorliegenden Patientenfall als bestmögliche Therapieoption, da durch die geringeren Abweichungen von der geplanten Implantatposition eine höhere Passgenauigkeit der Prothese erzielt und dadurch erst eine Sofortversorgung und Sofortbelastung der Suprastruktion ermöglicht wurde. Zudem konnte dadurch dem Patientenwunsch einer verkürzten Behandlungsdauer entsprochen werden. Da die Mehrzahl der Patienten ein minimalinvasives Vorgehen als Behandlungsoption favorisiert, erschien diese Therapiewahl nicht nur in technischer, sondern auch in patientenspezifischer Hinsicht als gut geeignet.12 Durch die Minimalinvasivität des Vorgehens konnten die Belastung des Patienten sowie die Operationsdauer infolge der geführten Implantation ohne Bildung eines Mukoperiostlappens im Vergleich zur Freihandmethode gering gehalten werden.15 Das lappenlose Verfahren führte zusätzlich zu weniger postoperativen Beschwerden, was sich in einer geringen Einnahme der verordneten Schmerzmedikamente und in der hohen Akzeptanz der Behandlungsmaßnahme beim Patienten äußerte.16–20 Auch die Tatsache, dass außer einer notwendigen Unterfütterung der Prothese vier Monate unter funktioneller Belastung keine biologischen oder technischen Komplikationen beobachtet wurden, spricht für die gewählte Therapieoption.

Zusammenfassung

Die Art der Verbindung ist bei Versorgungen mit herausnehmbarem implantatgetragenem Zahnersatz Gegenstand zahlreicher Veröffentlichungen. Aus den derzeit verfügbaren wissenschaftlichen Erkenntnissen geht nicht hervor, welche Therapieoption bei Versorgung mit implantatgetragenem Zahnersatz die bestmögliche Verbindungsform darstellt.20

Das hier verwendete System bietet dem Behandler verschiedene Möglichkeiten, Patienten mit abnehmbarem, bedingt herausnehmbarem (verschraubtem) sowie festsitzendem implantatgetragenem Zahnersatz zu versorgen. Durch die unterschiedlichen Designs der Aufbauten und der Möglichkeit, starke Divergenzen der Implantate durch unterschiedliche Neigungswinkel der Abutments auszugleichen, eignete sich das System im vorliegenden Patientenfall sehr gut für die Versorgung mit zwei axialen und zwei geneigten Implantaten und einer herausnehmbaren prothetischen Rekonstruktion. Da weder biologische noch größere technische Komplikationen beobachtet werden konnten, stellt dieses System eine praxistaugliche Lösung zur schnellen und kostengünstigen Sofortversorgung und Sofortbelastung mit herausnehmbarem Zahnersatz dar.

Co-Autoren: Dr. Mariano del Canto Pingarrón M.D., D.D.S., PhD, Dr. Pantelis Petrakakis

Die vollständige Literaturliste gibt es hier.

Der Fachbeitrag ist im Implantologie Journal erschienen.

Mehr Fachartikel aus Implantologie

ePaper