Implantologie 18.05.2011

Zurück zu festsitzendem Zahnersatz



Zurück zu festsitzendem Zahnersatz

Eine Fallpräsentation

Nicht immer muss der Verlust von Zähnen eine dauerhafte Einschränkung im Alltag sein. Der folgende Fallbericht zeigt eine Option auf, um Schritt für Schritt einen festsitzenden Zahnersatz für Patienten zu ermöglichen.

Eine 80-jährige Patientin stellte sich erstmalig im Jahr 2009 mit dem Wunsch einer Sanierung in meiner Praxis vor (Abb. 1). Nach eingehender Untersuchung und ausgiebiger ZE-Beratung wurde eine entsprechende Vorbehandlung (Extraktion der zerstörten Zähne, Prophylaxe und PA-Behandlung) vorgenommen und ein Interimszahnersatz eingesetzt. Die Patientin konnte sich mit dem herausnehmbaren Interimsersatz aber nicht anfreunden, sie wollte wieder zurück zu festsitzendem Zahnersatz. Eine weitere Untersuchung nach der zahnerhaltenden Therapie ergab, dass eine festsitzende Versorgung auf Implantaten und Restzähnen möglich ist.

Behandlungsplan

Auf Wunsch der Patientin soll vorab nur der Oberkiefer versorgt werden. Aufgrund der Knochenverhältnisse wird zunächst im zweiten Quadranten ein offener Sinuslift durchgeführt. Nach vier Monaten erfolgt die Insertion von insgesamt sieben Implantaten plus zwei Interimsimplantaten zur Stabilisierung der provisorischen Versorgung. Nach weiteren vier Monaten wird die Freilegung und prothetische Rehabilitation vorgenommen.

Sinuslift

Nach örtlicher Betäubung wurden die Inzisionen auf Kieferkammmitte und eine mesiale Entlastung mit
s-förmigem Schnittverlauf angelegt.1 Das auftretende Blut wurde von der Helferin mit einer Spritze aufgenommen. Auf eine distale Entlastung wurde zugunsten einer besseren Lappenversorgung verzichtet.2 Es folgte die Darstellung des Knochenfensters. Hierbei stellte sich die minimale Restknochenhöhe von nur ca. 1mm sehr gut dar. Nach vollständiger Präparation der Kieferhöhlenschleimhaut bis zur medialen Wand wurde der Hohlraum mit synthetischem Knochenaufbaumaterial ­(NanoBone®) aufgefüllt, das vorab mit dem entnommenen Blut vermischt wurde. Es folgte der Wundverschluss ohne Membran mit einem 5/0 Resolonfaden (Abb. 3 bis 6). Die Fäden wurden nach einer Woche entfernt. Bereits vor der Nahtentfernung stellte sich die hervorragende Wundheilung (Abb. 7) dar. Die Patientin verzichtete während dieser Zeit auf das Tragen ihres Interimsersatzes. Eine Woche vor der geplanten Implantation wurde die alte Brücke entfernt und eine Positionierungsschiene angefertigt. 

Implantation

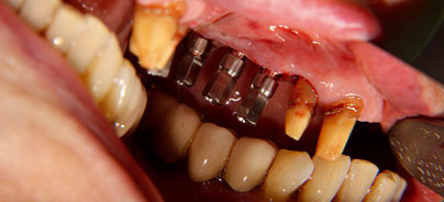
Wie im Behandlungsplan definiert, kam die Patientin nach vier Monaten zur geplanten Implantation in die Praxis. Die definitiven sieben Implantate (tioLogic®)  wurden in Regio 16 mit mesialisiertem Apex zur Vermeidung eines Sinusliftes (Abb. 8), sowie in Regio 14, 11, 21, 25, 26, 27 geplant. Ebenfalls sollten zwei Interimsimplantate zur Verstärkung des Provisoriums in Regio 12 und 22 platziert werden. Nach Lokalanästhesie wurde im ersten Quadranten begonnen. Auf Entlastungsschnitte wurde in allen Bereichen verzichtet. Um eine korrekte Position der Implantate zu gewährleisten, wurde im Vorfeld eine Bohrschablone angefertigt (Abb. 9). Dazu wurden ein Planungsmodell und der alte Zahn­ersatz verwendet. Die Bohrschablone enthält keine Bohrhülsen und zeigt nur die orale Hälfte der Zähne. Dadurch ist einerseits eine genaue Positionierung möglich, andererseits ist man für Richtungswechsel sehr flexibel. Da sich die Knochenqualität der Oberkieferknochen als sehr spongiös erwies, erfolgte die ­Aufbereitung des Lagers mit Osteo­tomtechnik (Abb. 10), um bei der Insertion der Implantate durch das Implantatgewinde eine weitere Knochenkondensation und damit einhergehende erhöhte Primärstabilität zu erzielen. Es konnten zwei Implantate mit 3,7mm Durchmesser primärstabil inseriert werden. Die Längen betrugen 11,0mm für Regio 16 und 13,0mm für Regio 14. Die Schleimhaut wurde nicht bis über die mukogingivale Grenzlinie präpariert, sodass nicht mit postoperativen Beschwerden gerechnet werden muss. Nach Wundverschluss des ersten Quadranten wurde der zweite Quadrant anästhesiert. Auch hier wurde die Schleimhaut entsprechend schmal präpariert und die Implantatlager mit Osteotomen aufbereitet, sodass alle drei Implantate primärstabil inseriert werden konnten. Es wurden in Regio 25 ein Implantat ø 3,7mm, L 11,0mm, bei 26 ein Implantat ø 4,8mm, L 9,0mm und bei 27 ein Implantat ø 4,2mm, L 11,0mm Länge primärstabil inseriert (Abb. 11 und 12). Anschließend erfolgte der Wundverschluss des zweiten Quadranten.

In der Front wurde nochmals etwas weniger Schleimhaut abpräpariert, sodass lediglich ein schmaler Zugang zum krestalen Knochen vorhanden war (Abb. 13). Durch diese Öffnung wurden zentral zwei Implantate ø 3,7mm, L 13,0mm gesetzt. Bereits während der Aufbereitung wurden die speziellen Implantatkavitäten für die beiden Interimsimplantate (immediate provisional implants®) angelegt. Die definitiven  Implantate konnten in der Front mit normalem Bohrprotokoll ohne Gewindeschnitt inseriert werden (Abb. 15). Zur besseren Orientierung verblieben die Spiralbohrer bzw. die Einbringhilfen in situ (Abb. 14). Abschließend wurde auch dieser Bereich vernäht (Abb. 16). Nach der Röntgenkontrolle (Abb. 17) erfolgte die Pro­visoriumsherstellung unter Kofferdam und Verwendung der Copings auf den Interimsimplantaten (Abb. 18 und 19). Das Provisorium reichte dabei von Regio 15 nach Regio 25, der Interimsersatz der Seitenzähne wurde von der Patientin nicht mehr getragen. Nach einer Woche wurden die Fäden entfernt. Die Wundbereiche stellten sich durch die schonende und minimale Präparation erwartungsgemäß reizlos dar. Die Patientin empfand keine Einschränkung. In der viermonatigen Einheilphase wurden in regelmäßigen Abständen Kontrollen durchgeführt, die die problemlose Wundheilung bestätigen.

Freilegung und prothetische Versorgung

Nach diesen vier Monaten wurden die Implantate mit minimalen Schlitzinzisionen freigelegt, um keine Attached gingiva zu verlieren. Wichtig ist es dabei, den Gewebedruck zu beobachten, um eine ausreichende Versorgung bei maximalem Gewebeerhalt zu gewährleisten. Bei der darauffolgenden Sitzung wurden die natürlichen Zähne nachpräpariert und die Interimsimplantate entfernt. Neben den exakten Abformungen beider Kiefer ist dabei besonderes Augenmerk auf die ­Kieferrelationsbestimmung und die Programmierung des Artikulators zu legen, da keine Remontage im klassischen Sinne möglich ist und nur eine korrekte statische und dynamische Okklusion eine Langzeitstabilität gewährleistet. Die letzten Bilder zeigen die fertige Versorgung und die Eingliederung (Abb. 20 bis 24).

Eine ausführliche Literaturliste finden Sie hier.

Mehr Fachartikel aus Implantologie

ePaper