Implantologie 31.03.2026

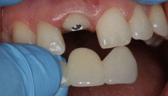
Implantatfraktur bei Sofortversorgung



Die Sofortimplantation mit sofortiger prothetischer Versorgung stellt heute ein etabliertes und klinisch gut dokumentiertes Behandlungskonzept dar. Therapiekonzepte wie das Chamber-Konzept, das Stable Tissue Concept sowie das Zero Bone Loss-Konzept zeigen bei korrekter Indikationsstellung reproduzierbar stabile Hart- und Weichgewebsverhältnisse.

Implantatfraktur bei Sofortversorgung

Foto: Dr. Ila Davarpanah

Unabhängig davon bleibt das Risikomanagement ein zentraler Bestandteil jeder implantologischen Therapie, insbesondere bei Sofortimplantationen mit unmittelbarer funktioneller Belastung. 

Neben patientenbezogenen und chirurgischen Faktoren spielt dabei auch das Implantatdesign eine wesentliche Rolle. Die vorliegende Falldokumentation zeigt eine Sofortimplantation Regio 11 mit digitaler Planung anhand von DICOM- und STL-Daten. Die präoperative Planung erfolgte softwaregestützt, die Implantatposition wurde prothetisch orientiert festgelegt. Klinisch und radiologisch lagen günstige Ausgangsbedingungen für eine Sofortimplantation mit Sofortversorgung vor.

Implantatdesign und operative Umsetzung

Zur Erreichung einer hohen Primärstabilität wurde ein Implantat mit aggressivem Gewinde bei einem Außendurchmesser von 3,5 mm und einem Kerndurchmesser von ca. 2,8 mm eingesetzt. Ergänzend erfolgte eine unterpräparierte Bohrung. Solche Kombinationen aus Gewindedesign, Implantatgeometrie und Bohrprotokoll sind in der klinischen Praxis etabliert, erfordern jedoch eine sorgfältige Risikoabschätzung hinsichtlich der mechanischen Belastung des Implantatkörpers.

Komplikation: Implantatfraktur

Postoperativ kam es trotz korrekter Implantatpositionierung und regelrechter Sofortversorgung zu einer Fraktur des Implantatkörpers im Bereich der Implantatschulter. Die radiologische Diagnostik mittels Röntgen und DVT zeigte ein Aufplatzen des Implantats im Übergangsbereich zwischen Konusverbindung und Implantatplattform. Das Frakturmuster deutete auf eine strukturelle Überlastung im hoch beanspruchten Schulterbereich hin. Implantatfrakturen stellen insgesamt eine seltene, jedoch für Patient und Behandler belastende Komplikation dar. Sie treten bevorzugt in Regionen mit erhöhten Biege- und Querkräften auf, insbesondere in der Frontzahnregion und bei frühzeitiger funktioneller Belastung.

Bild von einem Quotenzeichen
„Ein ausgewogenes Verhältnis zwischen Primärstabilität und biologischer Schonung ist essenziell.“

Diskussion

Im vorliegenden Fall lag der Fokus der Analyse weniger auf der chirurgischen Umsetzung oder der Indikationsstellung, sondern auf der mechanischen Belastbarkeit. Der Schulterbereich eines Implantats ist biomechanisch besonders exponiert, da hier funktionelle Kräfte konzentriert eingeleitet werden. Unterschiedliche konstruktive Ansätze versuchen, diese Belastung durch Modifikationen der Verbindung oder der Kraftübertragung zu reduzieren. Insbesondere bei Sofortimplantationen mit Sofortversorgung ergeben sich erhöhte Anforderungen an die mechanische Reserve des Systems.

Neben mechanischen Aspekten sind auch biologische Faktoren zu berücksichtigen. Eine hohe Kompression des Knochens zur Steigerung der Primärstabilität kann lokal die physiologische Belastbarkeit des Gewebes überschreiten und somit die Knochenreaktion beeinflussen. Ein ausgewogenes Verhältnis zwischen Primärstabilität und biologischer Schonung ist daher essenziell.

Therapie und Reimplantation

Nach Entfernung des frakturierten Implantatkörpers erfolgte eine erneute Sofortimplantation mit einem alternativen Implantatdesign. Begleitend wurden Maßnahmen zur Stabilisierung von Hart- und Weichgewebe durchgeführt.

Die postoperativen Verlaufskontrollen zeigten stabile periimplantäre Verhältnisse ohne weitere Komplikationen. Die Osseointegration sowie die Weichgewebesituation stellten sich unauffällig dar.

Klinische Konsequenzen und Risikomanagement

Die Sofortimplantation im Sinne des Chamber-Konzepts, des Stable Tissue Concepts und des Zero Bone Loss-Konzepts ist ein bewährtes und funktionierendes Therapiekonzept. Implantatfrakturen können jedoch mit relevanten klinischen Konsequenzen verbunden sein. Neben patientenindividuellen Faktoren sollten daher auch biomechanische Grundlagen und Belastungsszenarien bereits in der Planungsphase kritisch berücksichtigt werden.

Ein besonderes Augenmerk sollte auf Implantatdesigns gelegt werden, die im Schulterbereich ausreichende mechanische Stabilität bieten, um funktionelle Belastungen – insbesondere bei Sofortversorgungen – langfristig sicher aufzunehmen.

Fazit

Implantatfrakturen stellen eine relevante Komplikation in der implantologischen Therapie dar. Der vorliegende Fall zeigt, dass trotz korrekter Indikationsstellung und Umsetzung eine strukturelle Überlastung des Implantats auftreten kann. Für die klinische Praxis ergibt sich daraus die Notwendigkeit eines konsequenten Risikomanagements, das neben chirurgischen und prothetischen Aspekten auch die mechanische Belastbarkeit des Implantatsystems berücksichtigt.

Im Sinne der Patientensicherheit und Behandlungsqualität sollten biomechanische Grundlagen ein fester Bestandteil der Entscheidungsfindung bei Sofortimplantationen mit Sofortversorgung sein.

Implantologie Journal 02/26

Implantologie Journal


Dieser Fachbeitrag ist im IJ Implantologie Journal erschienen.

Das Implantologie Journal hat sich als eine unverzichtbare Informationsquelle für Fachleute der zahnärztlichen Implantologie etabliert. Das Themenspektrum reicht von Fachbeiträgen über aktuelle Entwicklungen in der Forschung bis hin zu Expertenmeinungen, Kongressberichten und Neuigkeiten zu den Aktivitäten der DGZI sowie Industrie. Jede Ausgabe widmet sich einem spezifischen Fokusthema, das einen Teilbereich der Implantologie vertieft.

Jetzt das ePaper lesen.

Mehr Fachartikel aus Implantologie

ePaper