Implantologie 05.02.2026

Miesbacher Konzept zur Sofortimplantation

Die Versorgung von Extraktionsalveolen durch Sofortimplantation im ästhetisch hochrelevanten Frontzahnbereich erfordert eine multidisziplinäre Strategie, um sowohl die Weichgewebsretention als auch die mechanische Entlastung des frisch inserierten Implantats zu gewährleisten. Das hier präsentierte Miesbacher Konzept stellt einen digital gestützten Workflow vor, der die Sofortversorgung mit einer festsitzenden, nicht belastenden Provisorik kombiniert.

Miesbacher Konzept zur Sofortimplantation

Foto: © Priv.-Doz. Dr. Dr. Florian Bauer

Die sofortige Implantation nach Zahnextraktion im ästhetisch anspruchsvollen Frontzahnbereich stellt eine besondere Herausforderung dar. Um eine optimale Versorgung zu gewährleisten, ist eine multidisziplinäre Herangehensweise erforderlich, die sowohl die Retention des Weichgewebes als auch die mechanische Stabilität des frisch gesetzten Implantats berücksichtigt. Aufgrund der anfänglich niedrigen stabilen Verankerung im Kieferknochen ist eine Übergangsphase ohne funktionale Belastung entscheidend für den erfolgreichen Heilungsprozess und die Osseointegration des Implantats.

Durch den Einsatz eines individuell gefertigten Gingivaformers in Kombination mit einer adhäsiven Marylandbrücke werden folgende therapeutische Ziele simultan erreicht:

  1. Lückenlose festsitzende Sofortversorgung: Erhöhung der Patientenakzeptanz und Vermeidung der konventionellen Lückenphase.
  2. Kontrolliertes Emergenzprofiling: Gezielte Formung der Gingiva zur Optimierung der Rot-Weiß-Ästhetik und Erhalt der Papillengeometrie.
  3. Biomechanischer Schutz: Prävention lateraler und axialer Implantatbelastungen (insbesondere bei initialer apikaler Stabilisierung) durch eine spannungsfreie suprastrukturelle Auflage.
  4. Effizienzgewinn: Antizipation der definitiven Versorgung und Vermeidung eines Zweiteingriffs.

Die vorgestellte Methode ist somit ein minimalinvasiver, gewebeschonender und hoch vorhersagbarer Ansatz für die Sofortversorgung im ästhetischen Bereich.

Material und Methoden: Der digital gestützte Workflow

Das Behandlungskonzept integriert chirurgische Sofortimplantation, digitales Provisorien-Design und gezieltes Weichgewebsmanagement zu einem kohärenten Protokoll

Biomechanische Prinzipien

Die Strategie basiert auf der funktionsfreien Belastung des Implantats während der Einheilphase. Die Provisorien sind so konzipiert, dass sie keine Okklusionskontakte und keine vestibulären/lateralen Kräfte auf das Implantat übertragen.

Digitale Technologie

Der Workflow stützt sich auf die Integration von hochauflösenden Intraoralscans, hier exemplarisch dokumentiert durch den Medit i900M Scanner. Die Nutzung des Medit Link Express Workflows auf mobilen Endgeräten (iPad/MacBook Pro) über Wi-Fi 6E ermöglicht eine nahtlose, zeitnahe Übertragung der postoperativen Daten an das Labor für eine schnelle Fertigung der Provisorien.

Provisorische Versorgungssysteme

Zwei valide Versorgungstypen kamen zur Anwendung, die beide die Implantatentlastung sicherstellen:

© Priv.-Doz. Dr. Dr. Florian Bauer

Klinische Fallbeispiele

Beide vorgestellten Fälle demonstrieren die Anwendung des Konzepts im Bereich der Oberkieferfrontzahnregion nach Zahnextraktion. In beiden Fällen wurde primär ein Implantat (Straumann® BLX) inseriert, das eine ausreichende apikale Primärstabilität zur Aufnahme der Sofortversorgung ermöglichte.

Fall 1: Fokus auf Gingivaformer – Konzept A

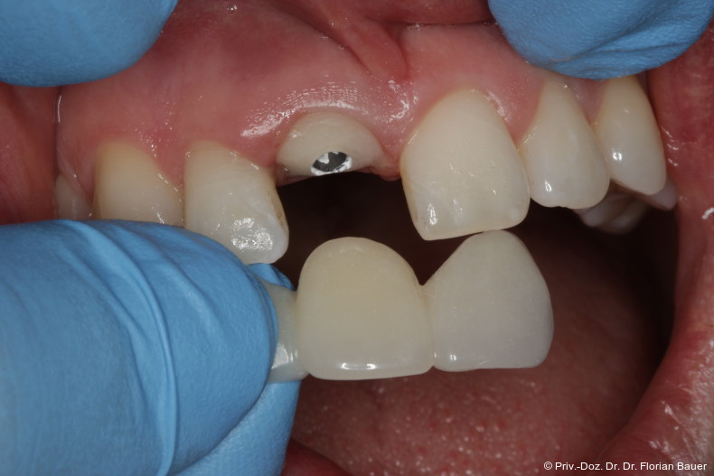
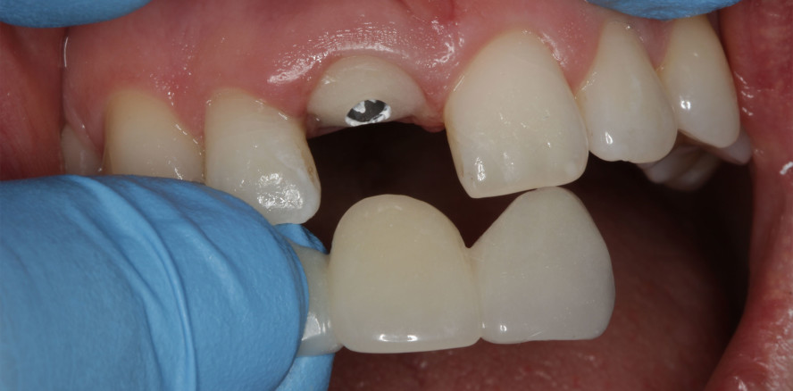
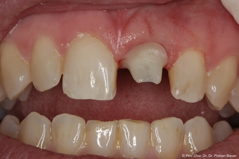
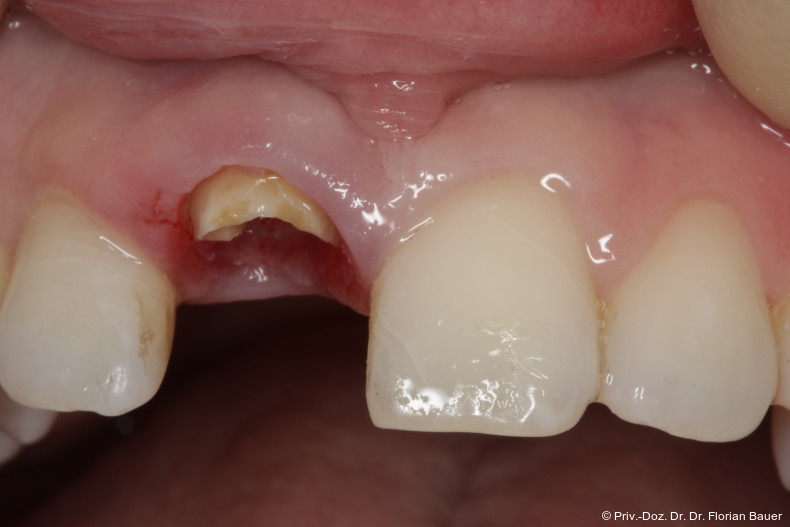
Der 37-jährige Patient präsentierte sich mit einer Kronenfraktur an Zahn 11 (Abb. 1–3), die eine sofortige Versorgung erforderte. Nach der atraumatischen Extraktion des Zahns erfolgte die Implantation eines Implantats, welches palatinal positioniert wurde, um die Option einer okklusalen Verschraubung zu ermöglichen (Abb. 4).

Direkt nach der chirurgischen Intervention wurde ein präziser Scan des Operationsgebiets durchgeführt, um einen individuellen, laborgefertigten Gingivaformer auf Titanbasis zu erstellen (Abb. 5). Dieser wurde so angefertigt, dass er exakt bündig mit der marginalen Schleimhaut abschloss und gezielt vestibulär abfiel, um Druckstellen bei einer möglichen vestibulären Auslenkung des späteren Provisoriums zu vermeiden (Abb. 6). Auf diesen Gingivaformer wurde eine plan aufliegende provisorische Krone gesetzt (Abb. 7), die als vestibulär verklebte Marylandbrücke (Abb. 8) fixiert wurde, um eine funktionale und ästhetische Übergangslösung zu bieten.

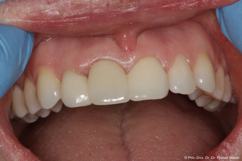
Sechs Monate nach der Implantation konnte basierend auf den ISQ-Messungen eine erfolgreiche Osseointegration des Implantats nachgewiesen werden. Im Anschluss wurde die finale Zirkonkrone mit okklusal verschraubtem System eingesetzt, wobei das Emergenzprofil exakt dem des vorherigen provisorischen Aufbaus entsprach.

Fall 2: Fokus auf Abutment – Konzept B

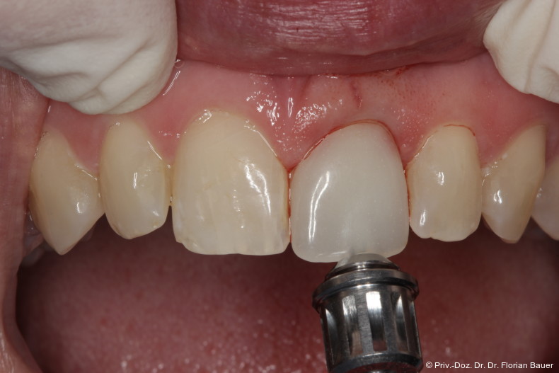
Der 46-jährige Patient stellte sich mit einem insuffizienten und devitalen Zahn 21 vor, der eine zahnärztliche Versorgung erforderte. Nach der Extraktion des Zahns wurde ein Implantat inseriert, wobei der Fokus auf einer zukünftigen verschraubten Krone lag (Abb. 9).

Direkt nach der chirurgischen Intervention wurde ein präziser postoperativer Scan durchgeführt, um die Herstellung eines individuellen Abutments zu ermöglichen, das als isogingivaler Zahnstumpf gestaltet wurde (Abb. 10). Auf dieses Abutment wurde eine provisorische Marylandkrone konstruiert (Abb. 12). Die Krone wurde dabei nicht zementiert, sondern stattdessen adhäsiv befestigt, indem sie mit zwei palatinalen Flügeln an den benachbarten Zähnen fixiert wurde (Abb. 13). Diese Technik gewährleistete eine spannungsfreie Auflage und eine Entlastung des Implantats während der Heilungsphase.

Sechs Monate nach der Implantation wurde die Osseointegration des Implantats mithilfe der ISQ-Messung (Osstell®) überprüft. Nachdem die erfolgreiche Integration bestätigt war, wurde die finale, identisch geformte Zirkonkrone mit einer okklusal verschraubten Verbindung eingesetzt.

Diskussion

Die vorgestellte Methode des Miesbacher Konzepts adressiert die zentralen biomechanischen und ästhetischen Herausforderungen der Sofortimplantation im anterioren Oberkiefer. Der Erfolg der Sofortimplantation ist maßgeblich von der apikalen Primärstabilität und dem konsequenten Schutz vor biomechanischer Überlastung abhängig.1 Unsere Strategie, die provisorische Krone mittels einer adhäsiv fixierten Marylandbrücke zu verankern, stellt sicher, dass das Implantat während der kritischen Einheilphase (Osseointegration) funktionsfrei bleibt. Dies ist ein entscheidender Vorteil gegenüber direkt verschraubten oder zementierten Sofortversorgungen, die unweigerlich zu einer gewissen Belastung des Implantats führen können, insbesondere bei unvermeidbaren lateralen oder okklusalen Kontakten.

Weichgewebsmanagement und Ästhetik

Ein Schwerpunkt liegt auf dem kontrollierten Emergenzprofiling. Durch die Verwendung des individuellen Gin- givaformers (Konzept A) oder des isogingivalen Abutments (Konzept B) in Kombination mit einer exakt plan aufliegenden provisorischen Krone wird die Schleimhaut aktiv in die gewünschte Form modelliert. Dies ist fundamental für die Langzeitstabilität der marginalen Gingiva und zur Vermeidung des häufig beobachteten krestalen Knochen- und Weichgewebsverlusts. Die Vermeidung von Spalten und Unebenheiten am Übergang zur Schleimhaut, wie in den klinischen Fällen demonstriert, minimiert zudem die Plaqueakkumulation und unterstützt die Heilung. Die Erhaltung der interdentalen Papillen wird durch die schonende Fixierung der Provisorik an den Nachbarzähnen begünstigt, wodurch das Risiko von sogenannten Black Triangles – ein ästhetisch inakzeptables Ergebnis im Frontzahnbereich – signifikant reduziert wird.

Effizienz durch Digitalisierung

Die vollständige Integration eines digitalen Workflows mit dem Intraoralscanner (Medit i900M) verbessert die Präzision und Effizienz des Protokolls erheblich. Die postoperative Sofortscannung eliminiert die Notwendigkeit konventioneller Abformungen – eine Vorgehensweise, die traumatisch für das chirurgische Gebiet sein kann und Ungenauigkeiten birgt. Die Mobilität des Scanners erlaubt eine schnelle Datenübermittlung an das Labor, wodurch die provisorische Versorgung oft noch am selben Tag oder am Folgetag eingesetzt werden kann. Diese Beschleunigung ist klinisch und patientenorientiert von großem Wert. Die digitale Konstruktion des individuellen Emergenzprofils am Bildschirm ermöglicht zudem eine hohe Reproduzierbarkeit des definitiven Profils, was den prothetischen Folgeprozess vereinfacht.

Bild von einem Quotenzeichen
„Um eine optimale Versorgung zu gewährleisten, ist eine multidisziplinäre Herangehensweise erforderlich, die sowohl die Retention des Weichgewebes als auch die mechanische Stabilität des frisch gesetzten Implantats berücksichtigt.“

Biomechanische Aspekte der Provisorik

Die hier angewandten Provisorien, ob mit oder ohne individuellen Gingivaformer, erfüllen die Forderung nach einer festsitzenden, aber entlastenden Versorgung (non-occlusal loading). Die temporäre Marylandbrücke nutzt die Restzahnhärte der Nachbarzähne zur Fixierung. Dies stellt einen wichtigen Unterschied zu herkömmlichen Provisorien (z. B. herausnehmbare Prothesen oderdirekt auf dem Implantat verankerte Provisorien) dar, die entweder die Ästhetik kompromittieren oder das Implantat unnötig stressen können.4 Die gewählte Fixierung über die palatinalen Flügel gewährleistet eine ästhetisch anspruchsvolle Sofortlösung, ohne die Stabilität der Nachbarzähne negativ zu beeinflussen.

Limitationen

Obwohl die Ergebnisse vielversprechend sind, muss die strikte Indikationsstellung betont werden. Das Konzept setzt eine ausreichende apikale Knochenstruktur und eine hohe Primärstabilität des Implantats voraus. Bei stark reduzierter Knochenqualität oder ungünstiger Okklusion ist eine verzögerte Versorgung weiterhin die Methode der Wahl. Die Patientencompliance hinsichtlich der verminderten Belastung des Provisoriums während der Einheilphase ist ebenfalls entscheidend für den Langzeiterfolg.

Die vorgestellte Methode ermöglicht somit die gleichzeitige Erreichung biomechanischer Entlastung, Ästhetik und Weichgewebsmanagement in einem einzigen chirurgischen Schritt.

Fazit und Ausblick

Das „Miesbacher Konzept zur Sofortimplantation“ stellt einen validen, digital unterstützten Behandlungsstandard für ästhetische Sofortimplantationen dar.

Es bietet die Möglichkeit, chirurgische Präzision, fortschrittliches Weichgewebsmanagement und maximale Patientenkonformität in einer einzigen Sitzung zu vereinen. Der Schlüssel zum langfristigen Erfolg liegt in der strengen Entlastung des Implantats durch die temporären, individuell angepassten Suprakonstruktionen.

Autor: Priv.-Doz. Dr. Dr. Florian Bauer

Literatur

Implantologie Journal 01/26

Implantologie Journal


Dieser Beitrag ist im IJ Implantologie Journal erschienen.

Das Implantologie Journal hat sich als eine unverzichtbare Informationsquelle für Fachleute der zahnärztlichen Implantologie etabliert. Das Themenspektrum reicht von Fachbeiträgen über aktuelle Entwicklungen in der Forschung bis hin zu Expertenmeinungen, Kongressberichten und Neuigkeiten zu den Aktivitäten der DGZI sowie Industrie. Jede Ausgabe widmet sich einem spezifischen Fokusthema, das einen Teilbereich der Implantologie vertieft.

Jetzt das ePaper lesen.

Dieser Beitrag stammt von dem Anbieter und spiegelt nicht die Meinung der Redaktion wider.
Mehr Fachartikel aus Implantologie

ePaper