Implantologie 28.02.2011

Sofortimplantation bei Verlust der Milchzähne



Sofortimplantation bei Verlust der Milchzähne

Bekanntlich können Zähne der ersten Dentition bei Nichtanlage der bleibenden Zähne oft bis ins Erwachsenenalter persistieren. Viele Patienten entscheiden sich erst spät zu einem Ersatz dieser Milchzähne. Die Sofortimplantation mit einer sofortigen provisorischen Versorgung kann hier das geeignete Verfahren sein, um dem funktionellen und ästhetischen Anspruch gerecht zu werden.

Bei Nichtanlagen von Zähnen der zweiten Dentition und der Persistenz von Milchzähnen kommt es oft im mittleren Erwachsenenalter zum Verlust dieser Milchzähne. Einerseits haben die Milchzähne auf Dauer nicht die Widerstandskraft gegen die funktionelle Belastung. Andererseits kommt besonders im Oberkiefer die Nachfrage der Patienten nach einer ästhetisch besseren Lösung. Vor der Entscheidung der Extraktion muss daher mit dem Patienten die spätere Versorgung, konventionell mit einer Brücke oder implantatprothetisch, geklärt sein.


Sofortimplantation nach der Extraktion von Milch­zähnen hat den Vorteil, dass dieses Vorgehen im Vergleich zu einer Spätimplantation weniger chirurgische Eingriffe für den Patienten bedeutet und die Behandlungsdauer deutlich verkürzt werden kann. Da nach der Extraktion von Milchzähnen nur verhältnismäßig kleine Extraktionsalveolen bestehen, sowohl in apikaler Ausrichtung wie auch im Durchmesser, ist es keine Schwierigkeit, mit dem nachfolgenden Implantat diesen Raum vollständig zu verschließen. Das häufig auftretende Problem bei Sofortimplantationen, dass ein Spalt zwischen Knochen und Implantat durch die Formabweichung zwischen Implantat und Alveolenwand entsteht, ist dadurch in der Regel nicht vorhanden. Damit fallen begleitende augmentative Maßnahmen bei diesem Vorgehen selten an. Mögliche Komplikationen wie Resorptionen oder Infektionen können so minimiert werden.

Der Verzicht auf eine provisorische Versorgung nach der Implantatinsertion durch eine Interimsprothese oder eine geklebte Adhäsivbrücke bringt dem Patienten einen hohen Komfortvorteil. Hinzu kommt, dass bei einer implantologischen Versorgung der Erhalt der Strukturen des Weichgewebes durch eine provisorische Sofortversorgung leichter möglich ist, da insbesondere die Papillen sofort nach der Extraktion gestützt werden können. Die Risiken, die in der Einheilungszeit durch Mikrobewegungen des Implantates entstehen können, sind dagegen abzuwägen.

Kasus

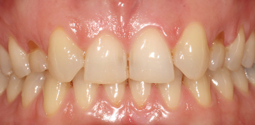
Die 33-jährige Patientin stellte sich in unserer Praxis vor mit dem Wunsch auf einen ästhetischen Ersatz für ihre verbliebenen Milchzähne 54 und 64. Die Zähne 14 und 24 waren nicht angelegt. Das ästhetische Problem trat besonders hervor, da auch die Zähne 12 und 22 nicht angelegt waren und die Milchzähne auf der gut einsichtigen Position der Zähne 13 und 23 standen (Abb. 1). Die Zähne 54 und 64 hatten den Lockerungsgrad II und bildeten für die Patientin damit auch ein funktionelles Problem. Die unterschiedlichen Versorgungsmöglichkeiten wurden mit der Patientin diskutiert. Eine konventionelle Brückenversorgung schied schnell aus, da die lückenbegrenzenden Nachbarzähne füllungs- und kariesfrei waren. Bei der präimplantologischen Planung musste berücksichtigt werden, dass der Alveolarknochen – wohl durch einen mangelnden Wachstumsreiz im Bereich der persistierenden Milchzähne – in oral-palatinaler Richtung geringer war als bei den Nachbarzähnen (Abb. 2). Augmentative Maßnahmen oder eine Verbesserung der Weichteilästhetik durch Einlagerung eines Bindegewebstransplantates wurden in dieser Phase nicht vorgesehen. Die röntgenologische Untersuchung mittels einer digitalen Volumentomografie zeigte das zweite Problem: eine starke Divergenz der Achsen zwischen Krone und Alveolarfortsatz (Abb. 3). So stand schon vor der Implantation fest, dass mit einem abgewinkelten Aufbau oder auch einem individuellen Aufbau die prothetische Versorgung erfolgen wird.

Chirurgisches Vorgehen

Unter örtlicher Anästhesie wurden die Zähne 54 und 64 entfernt. Nach Durchtrennung der parodontalen Fasern mit einem Mikroskalpell konnten die Zähne ohne Kraft aus der Alveole entnommen werden (Abb. 4). Im Anschluss an die Kürettage der Extraktionsalveole wurden gemäß dem Protokoll des Implantatherstellers die Auf­bereitungen der Implantatbetten durchgeführt (Abb. 5 und 6). Die Implantate (tioLogic, Dentaurum Implants) mit einem Durchmesser von 3,3 mm und einer Länge von 13 mm konnten primär stabil mit einem Eindrehmoment von 40 Ncm eingebracht werden (Abb. 7). Die durch den Knochenverlauf vorgegebene Achsneigung nach bukkal wurde hierbei deutlich. Nach Entfernung des Einbringpfostens wurde das provisorische Abutment eingesetzt (Abb. 8). Höhe und Gingivaverlauf können im Mund mit ­einem Stift angezeichnet werden, damit extraoral die ­Vorpräparation des Aufbaus erfolgen kann. Im Labor wurde der Kunststoffkörper des Abutments bearbeitet und geglättet. Die Ausarbeitung im Mund des Patienten sollte sich auf ein Minimum beschränken, in diesem Fall wurde ausschließlich aus ästhetischen Erwägungen die Hohlkehlpräparation bukkal auf Höhe der Gingiva etwas nachbearbeitet und verfeinert. Mit einem Formteil, das auf dem dublierten Wax-up-Modell hergestellt wurde, kann die provisorische Krone einfach hergestellt werden (Abb. 10). Die Okklusion und Artikulation der provisorischen Versorgung ist genau zu überprüfen. Nach unserem Protokoll ist bei Sofortversorgungen von Einzelzahnlücken nur eine eingeschränkte Sofortbelastung vorgesehen. Dies bedeutet, dass beim Schlussbiss keine Okklusions- oder Artikulationskontakte auf dem Provisorium zu verzeichnen sind, aber eine Belastung bei der Nahrungsaufnahme oder durch die Lippe und Zunge nicht zu vermeiden ist. Insbesondere ist, wie in diesem Fall, bei einer beidseitigen Versorgung eine Belastung der Implantate beim Kauen nicht auszuschließen. Die anschließende Röntgenkontrolle (Abb. 12) verdeutlicht das geringe Platzangebot zwischen den Wurzeln der Nachbarzähne.

Prothetische Versorgung

Nach einer komplikationsfreien Einheilungszeit von vier Monaten erfolgte die prothetische Versorgung. Nach Abnahme der provisorischen Versorgung (Abb. 13) wurde eine Abformung im offenen Verfahren durchgeführt. Zur Erleichterung der Platzierung des Abutments ist ein vom Zahntechniker hergestellter Einbringschlüssel eine große Hilfe. (Abb. 14). Mit diesem ­präzisen Schlüssel kann zudem die Passung des Abutments, genauer gesagt die korrekte Lage des Implantates im Meistermodell, sehr genau überprüft werden. Aufgrund der ­notwendigen starken Angulation und der geringen Höhe entschieden wir uns in Absprache mit dem zahntechnischen Labor für abgewinkelte Titanabutments (Abb. 15). Auf die ­ursprünglich geplanten Zirkonoxid­abutments wurde verzichtet, da hier keine möglichen materialbedingten Komplikationen herausgefordert werden sollten. Die vollkeramischen Kronen mit Zirkonoxid­gerüsten zeigten eine optimale ­Passung mit einer guten Weichteilunterstützung. Die Papillen konnten mit diesem Verfahren vollständig erhalten werden (Abb. 16).

Fazit

Die Sofortimplantation mit einer provisorischen Sofortversorgung nach Extraktion von persistierenden Milchzähnen bei Nichtanlagen von bleibenden Zähnen stellt eine optimale und voraussagbare Therapieform dar. Die Überlebensraten von Sofortimplantaten in Extraktionsalveolen von bleibenden Zähnen im Vergleich zu Spätimplantaten liegen auf dem Niveau von Spätimplantaten (Stephen, 2005). Durch die geringere Dimension der Extraktionsalveole bei Milchzähnen kommt die Implantation einer Spätimplantation näher, da das Implantat weitaus mehr im ortsständigen Knochen inseriert ­werden kann. Das lappenlose Verfahren bietet sich als minimalinvasives Verfahren an. Die postoperativen Beschwerden sind nur marginal und die ästhetischen Effekte auf das Weichgewebe bei korrekter chirurgischer Technik voraussagbar gut (Rocci et al. 2003). Die Kombination einer Sofortimplantation mit einer provisorischen Sofortbelastung ohne Funktion kann in solchen Fällen ebenso als sicheres Verfahren anerkannt werden. In einer Literaturübersicht von Quirynen et al. (2007) wurde der Zusammenhang zwischen Implantatverlust und Zeitpunkt der Implantatinsertion nach Extraktion untersucht. Die Verlustrate für die Sofortimplantation bewegte sich zwischen null und neun Prozent. In dieser Gruppe stellte er aber auch eine höhere Verlustrate bei Implantaten mit einer sofortigen Belastung fest. Voraussetzung für die komplikationslose Umsetzung ist eine sehr gute primäre Stabilität des Implantates. Dies wird durch eine entsprechende Makrostruktur des Implantates erreicht. So ist für die Sofortbelastung eine konische Form des Grundkörpers besser als ein zylindrischer Schaft, da beim Eindrehen höhere Eindrehmomente erreichbar sind (O’Sullivan et al. 2002). Ebenso hat die Geometrie des Schraubengewindes einen erheblichen Einfluss auf die primäre Stabilität des Implantates. Eine hohe Stabilität kann im spongiösen Knochen durch hohe Differenzen von Implantataußendurchmesser zum Innendurchmesser erzielt werden. Im Bereich der Kortikalis kann jedoch ein solches Design zu erheblichen Spannungen und damit Schädigungen führen (Romanos 2009). So sollte im kortikalen Bereich das Implantat ein deutlich flacheres Gewinde aufweisen.

Unter Beachtung der korrekten chirurgischen Technik und der indikationsgerechten Auswahl des Implantates kann das beschriebene Verfahren als vorhersagbar und sicher gelten. Die Behandlung mit Sofortimplantation und Sofortbelastung wird aber auch als fortgeschritten bis komplex bewertet und ist daher für Zahnärzte mit nötiger Erfahrung und Kompetenz zu empfehlen (Cochran, 2005). Voraussetzung ist, wie wohl bei jeglichem zahnärztlichen Handeln, eine umfassende Diagnose und Behandlungsplanung, die die Richtigkeit der Entscheidung zum gewählten Therapieverfahren belegt. Die Patienten schätzen bei dieser Therapieform besonders, dass sie eine sichere und komfortable Versorgung während der Einheilungszeit des Implantates erhalten. Auch löst das minimal­invasive Vorgehen und die kurze Behandlungszeit eine hohe Akzeptanz aus. 

Eine ausführliche Literaturliste finden Sie hier.

Autor: Dr. Sigmar Schnutenhaus, M.Sc. Parodontologie, M.Sc. Implantologie


Mehr Fachartikel aus Implantologie

ePaper