Cosmetic Dentistry 02.11.2025

Keine Grenzen mit Komposit – eine umfassende orale Rehabilitation

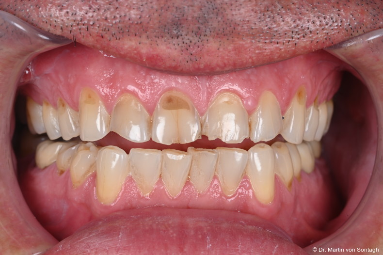
Dr. Martin von Sontagh, Lustenau, Österreich, erklärt in seinem Patientenfall, dass das Abschleifen der Zähne nicht um jeden Preis noch zeitgemäß ist. Der vorliegende Bericht beschreibt die vollständige Mundrehabilitation eines 52-jährigen männlichen Patienten mit schwerem Bruxismus, der zu erheblichem Zahnhartsubstanzverlust sowie einer deutlichen Reduktion der vertikalen Dimension geführt hatte (Abb. 1).

Keine Grenzen mit Komposit – eine umfassende orale Rehabilitation

Foto: Dr. Martin von Sontagh

Da der Patient eine Präparation der Restzahnsubstanz zur Aufnahme konventioneller Kronen strikt ablehnte, wurde ein konsequent minimalinvasives Behandlungskonzept gewählt. Unter Verwendung direkter Kompositrestaurationen konnte sowohl die funktionelle Okklusion als auch die dentofaziale Ästhetik wiederhergestellt werden.

Die Therapieplanung umfasste eine präzise klinische und instrumentelle Funktionsdiagnostik, die Umsetzung eines digitalen sowie analogen Mock-up-Protokolls, funktionelle Belastungstests sowie die Anwendung transparenter Silikonschienen zur exakten intraoralen Übertragung des diagnostischen Wax-ups. Bereits vorhandene keramische Kronen wurden durch Kompositrestaurationen ersetzt, um Materialhomogenität und biomechanische Kompatibilität zu gewährleisten.

Zur Sicherung des neuen okklusalen Schemas wurde eine adjustierte Oberkiefer-Aufbissschiene angefertigt. Der Patient wurde in ein strukturiertes Recall- und Nachsorgeprogramm aufgenommen, um die Langzeitprognose zu gewährleisten.

Einleitung

Bruxismus ist eine parafunktionelle Aktivität, die durch unwillkürliches Pressen und Knirschen der Zähne charakterisiert wird und wesentlich zum Verlust von Zahnhartsubstanz sowie zur Entstehung okklusaler Instabilitäten beiträgt.1 Die Prävalenz in der erwachsenen Bevölkerung wird auf etwa 8 bis 31 Prozent geschätzt. Sowohl Schlaf- als auch Wachbruxismus führen zu einer erheblichen biomechanischen Überlastung des stomatognathen Systems.2

Unbehandelt kann chronischer Bruxismus einen progressiven Verlust der vertikalen Dimension der Okklusion (VDO) induzieren, Funktionsstörungen im Bereich des Kiefergelenks (TMG) begünstigen und zugleich erhebliche ästhetische Einschränkungen nach sich ziehen.3

Das Ziel einer vollständigen oralen Rehabilitation in diesen Fällen besteht in der Wiederherstellung der Kaufunktion, der Stabilisierung der Okklusion sowie in einer nachhaltigen Verbesserung der Lebensqualität des Patienten.4

Klinische Untersuchung

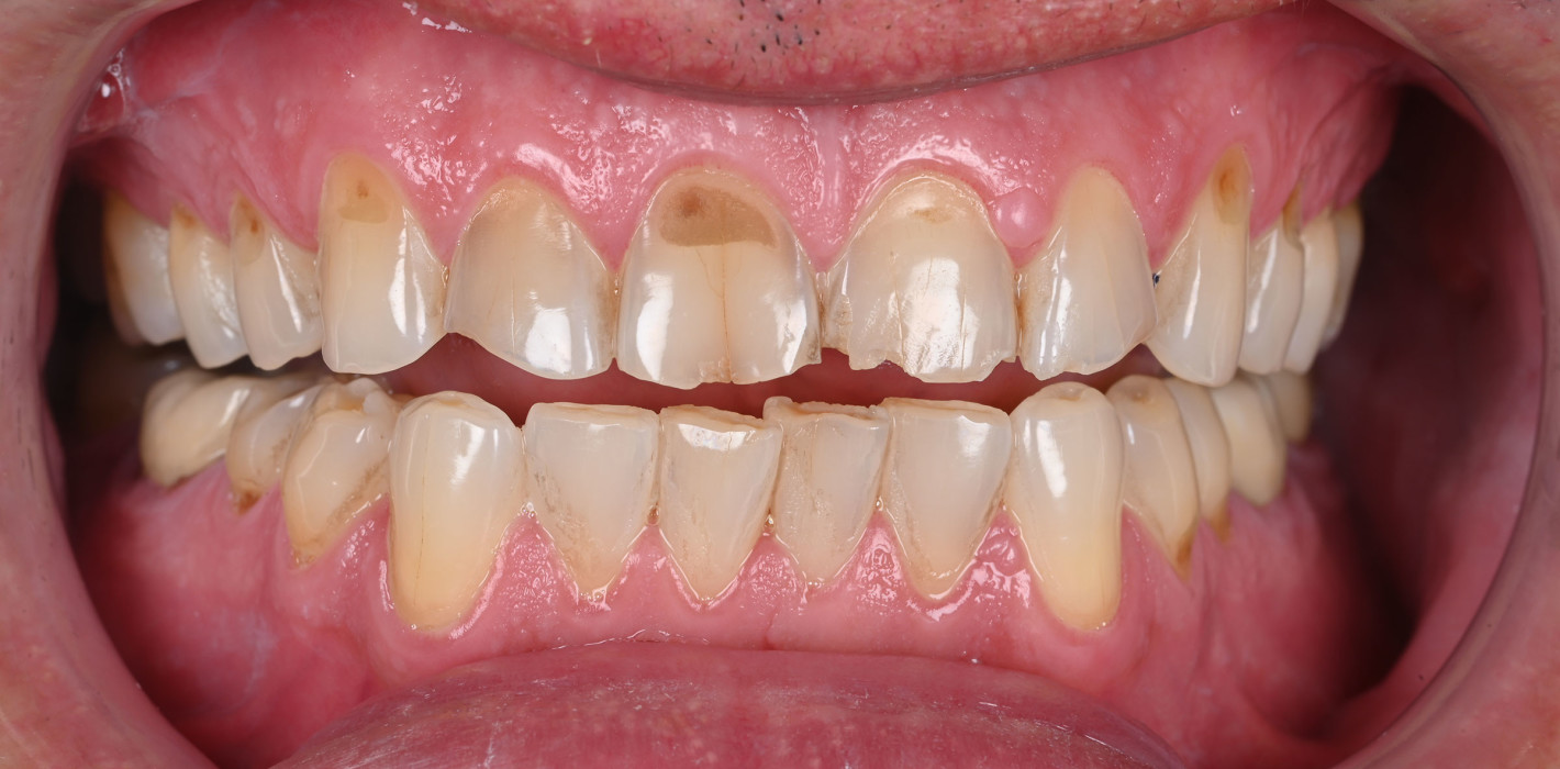
Der Patient stellte sich mit dem primären Wunsch vor, wieder unbeschwert und mit einem natürlichen Erscheinungsbild lächeln zu können. Klinisch zeigten sämtliche Zähne deutliche Abrasions- und Attritionsspuren infolge des langjährigen Bruxismus. Der ausdrückliche Wunsch des Patienten bestand darin, die vorhandene Zahnhartsubstanz maximal zu erhalten. Vor diesem Hintergrund entschieden wir uns für ein direktes, minimalinvasives Restaurationskonzept unter Verwendung hochgefüllter Komposite als Material der Wahl.

Die extraorale Untersuchung ergab eine leichte Hypertrophie der Kaumuskulatur mit palpatorischer Druckempfindlichkeit, was auf eine parafunktionelle Überlastung hindeutete. Intraoral präsentierten sich generalisierte Attritionen mit Dentinexposition, eine abgeflachte okklusale Morphologie, verkürzte klinische Kronen sowie ein Kollaps der vertikalen Dimension. Im anterioren Bereich waren die Inzisiven aufgrund der Substanzverluste funktionell und ästhetisch stark beeinträchtigt, teils unregelmäßig und im Lächeln nicht mehr sichtbar.
Das übergeordnete Ziel der geplanten Rehabilitation bestand nicht nur in der Wiederherstellung der dentalen Ästhetik, sondern vor allem in der funktionellen Rekonstruktion der Okklusion sowie im Schutz der zukünftigen Restaurationen vor erneuter parafunktioneller Überlastung.

Diagnostik- und Planungsprotokoll

Bei komplexen Rehabilitationsfällen ist eine strukturierte Vorgehensweise essenziell. Entsprechend wurde ein standardisiertes Protokoll angewandt und jeder Behandlungsschritt detailliert dokumentiert. Die foto- und videografische Erfassung der Ausgangssituation diente nicht nur der Befund- und Therapiedokumentation, sondern auch der Kommunikation mit dem zahntechnischen Labor, das für die Anfertigung des diagnostischen Wax-ups verantwortlich war. Auf diese Weise konnte jederzeit ein direkter Vergleich zwischen Ausgangssituation und den Folgen der parafunktionellen Belastung hergestellt werden.

Im Anschluss erfolgte die Abformung zur Herstellung des ästhetisch-funktionellen Wax-ups. Dieses wurde zunächst intraoral mittels Mock-up überprüft. Die Mock-up-Phase ist entscheidend, um die Länge, Achsrichtung und Form der Frontzähne in Relation zu den fazialen Referenzlinien zu beurteilen und gegebenenfalls zu modifizieren.

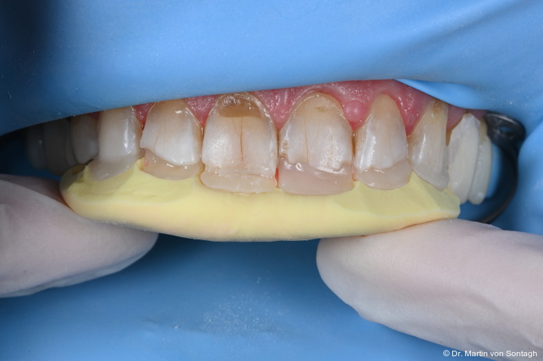
Die Bissregistrierung wurde in zentrischer Relation (CR) durchgeführt, unter Anwendung der intraoralen stützstiftgeführten Registrierung nach Prof. Dr. A. Gerber (Abb. 2). Daraufhin wurde ein vollständiges Wax-up mit einer Erhöhung der vertikalen Dimension um 5 mm erstellt. Auf dessen Basis wurde eine Polycarbonat-Schiene, angefertigt, die der Patient tagsüber trug.

Das diagnostische Wax-up diente gleichzeitig der phonetischen und ästhetischen Evaluierung sowie der funktionellen Okklusionsanalyse. Dadurch konnte sichergestellt werden, dass die geplante vertikale Dimension und das rekonstruierte Okklusionsschema mit den funktionellen Anforderungen des stomatognathen Systems kompatibel sind.

Fallbeschreibung

Die Rehabilitation begann aus ästhetischen und symmetrischen Gründen im Oberkieferfrontzahnbereich von Zahn 13 bis 23. Zunächst wurde die geteilte Kofferdam-Technik (Split-Dam) angewandt, um mithilfe eines Silikonschlüssels die palatinale Wand von 13-23 zu rekonstruieren (Abb. 3). Diese Technik erleichtert das Entfernen des Split-Dams und ermöglicht eine direkte Kontrolle der Okklusion. Anschließend erfolgte die vollständige Isolation der Regio 17-27 unter Einbeziehung von Ligaturen, um optimale Feuchtigkeitskontrolle, Übersicht und damit verlässliche Haftwerte sicherzustellen.

Die simultane Rekonstruktion der Zähne 11 und 21 erfolgte unter Verwendung beidseitig angebrachter B4-Klammern, wodurch die gesamte Zahnoberfläche zugänglich war (Abb. 4). Sämtliche Zähne wurden (wie im gesamten Fall) mit dem Aquacare-System und 29 µm Aluminiumoxid partikulär sandgestrahlt. Eine Präparation der Zahnhartsubstanz war nicht erforderlich.

Die Schmelzoberflächen wurden für 30 Sekunden mit 35-prozentiger Phosphorsäure konditioniert. Auf exponierten Dentinarealen wurde Chlorhexidin 2 % appliziert, um die Aktivität der Matrix-Metalloproteinasen (MMP) zu hemmen. Als Adhäsiv kam Adhese Universal® (Ivoclar) in der VivaPen-Applikationsform zur Anwendung. Das Dentin wurde mit einer dünnen Schicht fließfähigen Komposits (Tetric EvoCeram® Flow, Farbton A2, Ivoclar) versiegelt.

Für die approximalen Ränder wurden Unica-Matrizen (Polydentia) eingesetzt. Anschließend erfolgte der Aufbau der Ränder mit einer Dentin-
Schicht (Tetric EvoCeram® A1), die mithilfe des OP 43-Instruments (Deppeler) modelliert wurde. Auf diese Weise konnte die Kavität in eine stabile Boxform überführt und die Grundlage für die weiteren Schichttechniken geschaffen werden.

Veneer-Schichtung und morphologische Rekonstruktion

Im nächsten Schritt erfolgte die Rekonstruktion der natürlichen Zahnmorphologie einschließlich der Inzisalmamelons. Hierfür kam das von uns entwickelte Spatel-Instrument OP 43 (Deppeler) zum Einsatz (Abb. 5). Mit nur einem Instrument lässt sich das gesamte Veneer präzise modellieren. Die Neigung der Instrumentenspitze entspricht dabei der Neigung der natürlichen Zahnoberfläche (Abb. 6), wodurch eine glatte, exakte Randgestaltung erleichtert wird.Zur Gestaltung der Mamelons wurde die integrierte Kerbe des OP 43 genutzt: Das Instrument wurde an der Inzisalkante positioniert und in mesio distaler Richtung geführt. Überschüssiges Komposit konnte so entfernt und zugleich der erforderliche Raum für interne Charakterisierungen und die abschließende Schmelzschicht geschaffen werden. Mit der feinen Kerbenspitze wurden die Mamelonstrukturen plastisch nachgebildet.

Im Anschluss erfolgte die Charakterisierung durch das gezielte Einbringen verschiedener Flow-ables: weiß, blau, ockerfarben sowie transopal (Abb. 7). Zur Betonung des Halo-Effekts wurde zusätzlich eine dünne weiße Flowable-Schicht im Bereich der Schneidekante appliziert (Abb. 8).

Für den Schmelzmantel kamen unterschiedliche Materialien zum Einsatz: im inzisalen Bereich Trans 20 (Ivoclar) zur Betonung der Helligkeit und im mittleren Bereich Enamel A1 (Ivoclar) zur chromatischen Anpassung. Zur Randgestaltung und zur Vermeidung von Adhäsionen an benachbarte Zähne wurde die Mylar-Pull-through-Technik angewendet.

Für die lateralen Inzisivi wurden zusätzlich Unica Anterior Minideep-Matrizen (Polydentia) eingesetzt (Abb. 9). Abhängig von der jeweiligen Zahnsituation erfolgte eine Kombination unterschiedlicher Matrizensysteme, um optimale Approximalränder und eine harmonische Zahnform zu erzielen.

Im Unterkiefer erfolgte der Längenaufbau der Inzisivi mithilfe eines Silikonschlüssels. Um eine harmonische Zahnreihe herzustellen, war bei einzelnen Zähnen eine minimale Schmelzpräparation erforderlich. Die Isolation erfolgte unter Verwendung von B4-Klammern und Approximalmatrizen (Abb. 10). Für die Schichttechnik kam (analog zum Oberkiefer) das gleiche Schichtschema zur Anwendung (Abb. 11).

Rekonstruktion der Seitenzähne

Nach der schrittweisen Entfernung der Mock-ups wurden die Seitenzähne nacheinander aufgebaut. Dabei erfolgte ausschließlich die Entfernung insuffizienter alter Restaurationen sowie die Kariesexkavation. Anschließend wurden die Zahnoberflächen sandgestrahlt und selektiv geätzt (Abb. 12). Die Kavitäten wurden mit Chlorhexidin 2 % gespült, anschließend gebondet und mit einem fließfähigen Komposit als Liner beschichtet. Nach dem Aufbau der approximalen Wände kam zur Dentinverstärkung Ribbond®-Faser zum Einsatz. Der schichtweise Aufbau erfolgte mit Empress Direct Dentin A2 (Ivoclar) für den Kern und Empress Direct T20 (Ivoclar) für die Schmelzanteile.

Direkte Kompositkronen

Die vier Jahre alten Zirkonoxidkronen wurden entfernt und durch direkt im Mund schichtweise aufgebaute Kompositkronen ersetzt. Unter den alten Kronen fanden sich kariöse Läsionen, die röntgenologisch nicht erkennbar waren (Abb. 13). Ein wesentlicher Vorteil der direkten Kompositkronen liegt in der erleichterten frühzeitigen Detektion von Sekundärkaries.

Die Wiederherstellung erfolgte nach den zuvor beschriebenen Protokollen. Vor der Entfernung der Kronen empfiehlt sich eine fotografische Dokumentation der okklusalen Kontaktpunkte, um die anatomische Schichtung präzise zu gestalten und überschüssiges Material zu vermeiden. Für die Modellierung der Höcker erwies sich das CK 10 Instrument (Deppeler) als besonders effektiv: Durch die konische Form folgt es der natürlichen Höckergeometrie und reduziert erforderliche Anpassungen auf ein Minimum.

Die Isolation erfolgte mittels zwei B4-Klammern, um den Kofferdam zu stabilisieren und die Ränder sauber zu halten. Das Klebeprotokoll entsprach dem zuvor beschriebenen Standard. Für die Approximalwandgestaltung wurden zwei Quickmat FiT Matrizen (Polydentia) eingesetzt und mit myWedge-Keilen (Polydentia) sowie den B4-Klammern fixiert (Abb. 14).

Die Schichtung begann konsequent mit den approximalen Wänden, um die Restauration gleichzeitig mithilfe von Ribbond®-Fasern zu verstärken (Abb. 15). Anschließend wurde der Dentinkern schichtweise aufgebaut, bevor der Schmelzmantel modelliert wurde, bis die anatomische Zahnform vollständig wiederhergestellt war (Abb. 16).

Finieren und Polieren

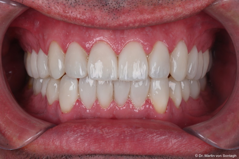
Der abschließende Behandlungstermin diente der präzisen Ausarbeitung und Politur der Kompositrestaurationen. Bei sorgfältig geschichteten Kompositen ist eine intensive Politur nicht zwingend erforderlich; die Sekundär- und Tertiäranatomie sowie ein hochglänzendes Finish verleihen der Restauration jedoch natürliche Lebendigkeit. Zur Formgebung wurden Diamant- und Hartmetallfräser eingesetzt. Für die Endpolitur kam der rotierende Polierer DIACOMP plus (Eve) zum Einsatz.

Schlussfolgerung

Die Materialwahl für die Rehabilitation berücksichtigt klinische Anforderungen, Patientenvorgaben und langfristige Funktionalität. Komposit wurde aufgrund seiner Vielseitigkeit, minimalinvasiven Applikation, zuverlässigen Haftung an der Zahnhartsubstanz sowie der einfachen intraoralen Modifizierbarkeit gewählt. Die direkte Technik erlaubt zudem eine sofortige visuelle und funktionelle Rückmeldung für den Patienten. Die Kompositrestaurationen weisen eine hohe klinische Erfolgsrate mit mittlerer bis langer Überlebenszeit auf.5 Sie könnten als Material der Wahl für die Restauration mittlerer, ausgedehnter und in manchen klinischen Situationen auch großer Präparationen im Seitenzahnbereich gelten. Direkte Kompositrestaurationen mit vergrößerter vertikaler Okklusion zeigen eine gute klinische Langzeitperformance bei Patienten mit starkem Zahnverschleiß.6 Bei Fehlfunktionen des Komposits konnten lediglich Absplitterungen repariert werden. Bei Fehlfunktionen von Metallkeramikkronen wurden Wurzelkanalbehandlungen und Extraktionen durchgeführt.7

Die direkte Kompositrehabilitation zur Wiederherstellung der vertikalen Okklusion (VDO) stellt eine wertvolle, additive und reversible Behandlungsoption für Patienten mit starkem Bruxismus dar. Im Gegensatz zu traditionellen Keramik- oder Vollrestaurationen, die invasiver und kostspieliger sind, erlaubt Komposit eine schrittweise Anpassung an die neuromuskuläre Funktion des Patienten.

Für den langfristigen Erfolg ist die individuelle Analyse des Patienten entscheidend: Kauverhalten, Atemwege, muskuläre Einschränkungen, Ernährung und Okklusion müssen verstanden und berücksichtigt werden. Die kontinuierliche Begleitung des Patienten sowie das Tragen einer individuell angepassten Aufbissschiene sind wesentliche Faktoren für die Stabilität und Langlebigkeit der Rehabilitation.

Literaturliste

Dental Tribune German Edition 07/25

Dental Tribune German Edition


Dieser Fachbeitrag ist in der Dental Tribune Deutschland erschienen.

Die Dental Tribune Deutschland ist Teil eines weltweit etablierten Fachzeitschriften-Netzwerks, das jeweils in Landessprache erscheint. Sie richtet sich gezielt an fortbildungsorientierte Zahnärzte, die sich kontinuierlich über neueste wissenschaftliche Erkenntnisse, praxisrelevante Innovationen und Weiterbildungsangebote informieren möchten. Im Mittelpunkt der Berichterstattung stehen der kompetente Know-how-Transfer sowie relevante Inhalte für den unmittelbaren beruflichen Nutzen.

Jetzt das ePaper lesen.

Mehr Fachartikel aus Cosmetic Dentistry

ePaper